病因
甲狀腺乳頭狀癌的發生會受到激素、遺傳、環境等因素的影響,如放射性、致甲狀腺腫物質、碘缺乏等,此外,橋本甲狀腺炎也可能導致甲狀腺乳頭狀癌的出現。
臨床表現
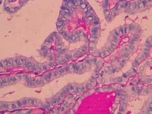
甲狀腺乳頭狀癌鏡下 診斷
1.超聲檢查
患上甲狀腺囊腫後患者會出現如圖症狀 2.CT或MRI
可以進一步了解甲狀腺腫物、腫大淋巴結與周圍組織結構如氣管、食管、喉、頸部大血管等的關係。局部晚期病例行此項檢查對外科醫生有很大幫助。
3.喉鏡檢查
了解聲帶活動是否正常,以判斷喉返神經受累的情況。
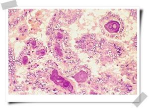
4.細胞學檢查
診斷準確率可達85%以上,對頸部轉移淋巴結診斷準確率更高。屬有創檢查,需要有經驗的細胞學醫生。我國絕大部分基層醫院無法開展。
5.PET-CT
對判斷甲狀腺癌是否發生肺部、全身骨骼等遠處轉移有很大幫助,但價格昂貴,不作為常規檢查。
6.甲狀腺掃描
甲狀腺核素掃描常呈“冷結節”,但特異性不高,不建議常規檢查。
治療
1.手術治療
徹底的手術切除是甲狀腺乳頭狀癌最基本的治療方法。根據甲狀腺腫瘤病變情況選擇一側甲狀腺葉加峽部切除或全甲狀腺切除,根據頸淋巴結轉移情況選擇中央區淋巴結清掃或頸淋巴結清掃。不主張行甲狀腺腫瘤摘除或甲狀腺次全切除。
2.甲狀腺激素治療
甲狀腺激素治療可抑制人體生成血清促甲狀腺素,而血清促甲狀腺素能促進甲狀腺癌細胞的生長。因此,甲狀腺激素治療能夠去除促進甲狀腺癌細胞的生長的環境,達到治療的目的。
3.同位素治療
出現肺部或骨骼轉移的晚期病例及某些高危病例應行碘治療。同位素治療前需行全甲狀腺切除術。
4.放化療
由於甲狀腺乳頭狀癌對放化療不敏感,故不作為常規治療手段。
預後
定期隨訪有助於及時發現甲狀腺癌復發病灶。及時發現、及時治療仍有完全治癒的機會。

