簡介
惡性淋巴瘤惡性淋巴瘤實際上是一類全身性疾病,與機體免疫系統功能狀態密切相關,既不同於其他實體惡性淋巴腫瘤,也有別於血液腫瘤。它包括了霍奇金淋巴瘤一種疾病和非霍奇金淋巴瘤一組疾病,臨床表現因病理類型、分期及侵犯部位不同而錯綜複雜。
治療方面目前多採用綜合治療,即根據不同腫瘤、不同病理類型及亞型、不同生物學行為、不同病期及發展趨向、不同機體的行為狀態及重要臟器功能,有計畫的、合理地套用現有的各種治療手段,以期最大限度地保護機體、最大限度地殺滅腫瘤細胞,達到提高治癒率,改善生活質量的目的。
惡性淋巴瘤是一類全身性疾病,與機體免疫功能狀態密切相關,即不同與其它實體惡性腫瘤,也有別於血液腫瘤,目前多主張綜合治療措施,即根據不同腫瘤,不同病理類型,不同病期及發展趨向,不同機體的行為狀態及重要器官功能,有計畫的合理地套用現有的各種治療手段,以最大限度地保護機體,最大限度地殺死腫瘤細胞,達到提高治癒率,改善生活質量的目的。在手術、放、化療、中醫藥等治療措施中,中醫藥貫穿於整個過程,對增強和恢復機體免疫功能,調動抗病能力,減輕機體對放化療所致的不良反應方面起到增效減毒作用。
目前常用於惡性淋巴瘤的治療手段包括外科手術切除、放射治療(放療)、化學治療(化療)、中醫中藥、生物反應修飾劑(BRM)等。手術結合放化療對惡性淋巴瘤有較高的治癒率或緩解率,中醫中藥則對增強和恢復機體免疫功能,調動抗病能力,減輕機體對放化療所致的不良反應方面起到增效減毒作用。
病因學
惡性淋巴瘤1、EB病毒:又叫人類皰疹病毒,1964年Epein等首先從st非洲兒童Burkitt淋巴瘤組織傳代培養中分離得Epstein-Barr(EB)病毒後,這種DNA皰疹型可引起人類B淋巴細胞惡變而致Burkitt淋巴瘤。Burkitt淋巴瘤有明顯地方性流行發病規律,這類病人80%以上的血清中EB病毒抗體滴定度明顯增高,而非Burkitt淋巴耬者滴定度增高者僅14%,滴定度高者日後發生Burkitt淋巴瘤的機會也明顯增多。反此都說明EB病毒可能是Burkitt淋巴瘤的原因。用螢光免疫法部分HD病人血清也可以發現高價抗EB病毒抗體,HD患者淋巴結連續組織培養,在電鏡下可見EB病毒顆粒,在20%HD的里-斯(R-S)細胞中也可找到EB病毒。
2、逆轉錄病毒:70年代後期,美國Gallo和日本Yoshida發現逆錄病毒與淋巴瘤發病有密切關係。1976年日本發現成人T細胞淋巴瘤/白血病有明顯的家族集中趨勢,且呈季節性和地區性流行。HTLVⅠ被證明是這類T細胞淋巴瘤的病因。另一逆轉錄病毒HTLVⅡ進來被認為與T細胞皮膚淋巴瘤-蕈樣肉芽腫的發病有關。
3、免疫功能低下與免疫抑制劑的套用:宿主的免疫功能決定對淋巴瘤得易感性,近年來發現遺傳性或獲得性免疫缺陷伴發淋巴瘤者較正常人為多;器官移植後長期套用免疫抑制劑而發生惡性腫瘤者,其中1/3為淋巴瘤,乾燥綜合症中淋巴瘤發病數比一般人高,在免疫缺陷下,反覆感染、異體器官移植以及淋巴細胞對宿主的抗原刺激等均可引起淋巴組織的增殖反應,由於T抑制細胞缺失或功能障礙,機體缺少自動調節的反饋控制,淋巴組織無限增殖,終而導致淋巴瘤的發生。
4、幽門螺桿菌:胃黏膜淋巴瘤是一種B細胞黏膜相關的淋巴樣組織淋巴瘤,幽門螺桿菌抗原的存在與其發病有密切關係,抗幽門螺桿菌治療可改善其病情,幽門螺桿菌可能是該類淋巴瘤的病因。
組織類型
惡性淋巴瘤(一)霍奇金淋巴瘤臨床病理分型:①淋巴細胞為主型(LP);②結節硬化型(NS);③混合細胞型(MC);④淋巴細胞削減型(LD)。
(二)非霍奇金淋巴瘤臨床分型
對非霍奇金淋巴瘤的工作分類
低度惡性小細胞型淋巴瘤(SLL)
濾泡性小裂細胞為主型淋巴瘤(FSCL)
濾泡性小裂細胞與大裂細胞混合性淋巴瘤(FML)
中度惡性濾泡性大細胞型淋巴瘤(FLL)
瀰漫性小裂細胞為主型淋巴瘤(DSCL)
瀰漫性小裂細胞與大細胞混合型淋巴瘤(DML)
瀰漫性大細胞型淋巴瘤(DLL)
高度惡性免疫母細胞型淋巴瘤(IBL)
淋巴母細胞型淋巴瘤(LBL)(曲折核或非曲折核)
小無裂細胞型淋巴瘤(SNCL)(Burkitt或非Burkitt淋巴瘤)
雜類複合型、蕈樣肉芽腫病、組織細胞型、髓外漿細胞瘤、未能分型及其他
診斷惡性淋巴瘤
淋巴系統在人體中是一種比較獨立的系統,它的組成部分是因為炎症及創傷等造成的機械性或功能性的梗阻、腫瘤轉移等。而淋巴系統最為常見的疾病就是炎性疾病、淋巴水腫、淋巴循環障礙,以及淋巴瘤。
在不同時期,淋巴結雖然都是腫大,並不疼痛,但卻會越長越大,在檢查時還會有肝、脾腫大,除此之外,皮膚也可以直接出現損害,如皮內小結節、剝脫性紅
皮病、蕈樣肉芽腫、瘙癢、紅斑、濕疹、帶狀皰疹及潰瘍。患者的全省表現為發熱、盜汗、消瘦、乏力。一些病人會有周期性發熱,噁心、嘔吐、腹痛、便血等都可
以作為檢查惡性淋巴瘤的依據。
對於惡性淋巴瘤的診斷,主要依靠的是臨床上惡性淋巴瘤的症狀表現,如果我們不清楚原因,就算進行淋巴結腫大的檢查,我們還是不能夠確診,肝脾腫大或周期性發熱伴淋巴結腫大,在人們參考X射線、B超、CT的檢查結果使,專家確診仍需淋巴結或腫塊穿刺的病理學檢查。
惡性淋巴瘤的具體症狀
1、局部表現(1)淋巴結腫大:包括淺表和深部淋巴結,其特點是淋巴結呈進行性、無痛性腫大,質硬,多可推動,早期彼此不粘連,晚期則可融合,抗炎、抗結核治療無效。淺表淋巴結以頸部為多見,其次為腋下及腹股溝。深部以縱隔、腹主動脈旁為多見。(2)淋巴結腫大引起局部壓迫症狀:主要是指深部淋巴結,如腫大的縱隔淋巴結,壓迫食道可引起吞咽困難;壓迫上腔靜脈引起上腔靜脈綜合症;壓迫氣管導致咳嗽、胸悶、呼吸困難及紫紺等。這也是屬於惡性淋巴瘤的症狀。
2、全身症狀(1)發熱——熱型多不規則,多在38~39度之間,部分病人可呈持續高熱,也可間歇低熱,少數有周期熱。(2)消瘦——多數病人有體重減輕的表現,在6個月內減少原體重的10%以上。(3)盜汗——夜間或入睡後出汗。
臨床表現
惡性淋巴瘤一、症狀
惡性淋巴瘤的全身症狀因疾病類型及所處的時期不同而差異很大,部分患者可無全身症狀。有症狀者以發熱、消瘦(體重減輕10%以上)、盜汗等較為常見,其次有欲減退、易疲勞、瘙癢等。全身症狀和發病年齡、腫瘤範圍、機體免疫力等有關。老年患者、免疫功能差或多灶性起病者,全身症狀顯著。無全身症狀者,其存活率較有症狀者大3倍。
1、發熱
熱型多不規則,可呈持續高熱,也可間歇低熱,少數有周期熱,後者約見於1/6霍奇金病患者。早期發熱者霍奇金病約占30%一50%,但非霍奇金淋巴瘤一般在病變較廣泛時才發熱。熱退時大汗淋漓可為本病特徵。
2、皮膚瘙癢
這是霍奇金病較特異的表現。局灶性瘙癢發生於病變部淋巴引流的區域,全身瘙癢大多發生於縱隔或腹部有病變的病例。
3、酒精疼痛
約17%一20%霍奇金病患者,在飲酒後20分鐘,病變局部發生疼痛。其症狀可早於其他症狀及X線表現,具有一定的診斷意義。當病變緩解後,酒精疼痛即行消失,復發時又重現。酒精疼痛的機理不明。
4、結外病變的症狀
(1)胃腸道:食慾減退、腹痛,腹瀉、腹塊、腸梗阻和出血等。
(2)肝膽:肝實質受侵可引起肝區疼痛。
(3)骨骼:臨床表現有局部骨骼疼痛及繼發性神經壓迫症狀。
(4)皮膚:非特異性損害常見的有皮膚瘙癢症及痒疹。瘙癢症在霍奇金病較為多見(占85%)。
(5)扁桃體和口、鼻、咽部淋巴瘤侵犯口、鼻、咽部者,臨床有吞咽困難、鼻塞、鼻衄。
(6)其他淋巴瘤尚可浸潤胰腺,發生吸收不良綜合徵。
二、體徵
1、淋巴結腫大
淋巴結腫大為本病特徵。淺表淋巴結的無痛性、進行性腫大常是首發表現,尤以頸部淋巴結為多見,其次為腋下,首發於腹股溝或滑車上的較少。霍奇金病首發於頸淋巴結者占60%一70%,左多於右。鎖骨上淋巴結腫大提示病灶已有播散,右側來自縱隔或兩肺,左側常來自腹膜後。
2、胃腸道
淋巴結外淋巴組織產生淋巴瘤病變比胃腸道多,臨床症狀是食慾下降、腹痛、腹瀉、腹塊、腸梗阻及出血等。侵及位置以小腸據多,其中一半上面是迴腸,再有就是胃,結腸很少受累。胃腸道病變通常經過腸系膜淋巴管,由腹膜後淋巴結播散而來。
2、結外病變的體徵
(1)肝脾 肝實質受侵可引起腫大,活組織檢查約25%一50%的非霍奇金淋巴瘤有肝累及,尤多見於濾泡或瀰漫性小裂細胞非霍奇金淋巴瘤。脾臟浸潤大多由腹部淋巴結病灶經淋巴管擴散而來。
(2)胸部在非霍奇金淋巴瘤中,約25%在病程中發生胸腔積液,除腫瘤浸潤外也可能因縱隔累及,淋巴阻塞所致。
(3)骨骼惡性淋巴瘤侵犯骨骼可有局部按壓痛、病理性骨折。
(4)皮膚特異性皮膚損害多見於T細胞成人白血病佛巴瘤綜合徵或蕈樣肉芽腫,表現多樣化,包括腫塊、皮下結節、浸潤性斑塊、潰瘍,丘疹、斑疹等,常先見於頭頸部。帶狀皰疹也好發於霍奇金病,占5%一16%。
(5) 扁桃體和口、鼻、咽部淋巴瘤侵犯口、鼻、咽部者,96%為瀰漫性原淋巴細胞及組織細胞型非霍奇金淋巴瘤,發生部位最多在軟齶、扁桃體,其次為鼻腔及鼻竇,鼻咽部和舌根較少。臨床可見局部腫物及頜下淋巴結腫大。
(6)腎 腎腫大、高血壓及尿素氮瀦留,其他尚見腎盂腎炎、腎盂積水、腎梗塞、澱粉樣變等。
(7)神經系統 中樞神經系統累及而引起的症狀者約見於10%的非霍奇金淋巴瘤,尤其是瀰漫性原淋巴細胞、小無裂及大細胞型淋巴瘤。
(8)其他 淋巴瘤尚可浸潤胰腺,發生吸收不良綜合徵。
臨床常見的症型
(1)陰寒凝滯型: 證見頸部淋巴結腫大,不痛不癢,皮色如常,堅硬如石,伴有神疲乏力,形寒肢冷,胃納不佳,舌淡紅,舌苔厚膩,脈沉細。(2)肝氣鬱結型:證見頸部、腋下及腹股溝部淋巴結腫大,皮色如常,推之不移,不痛不癢,伴有情緒急躁,胸悶不舒,兩脅發脹,體弱乏力,舌苔薄或有瘀點,脈弦或弦滑。
(3)肝腎陰虛型:證見五心煩熱,午後潮熱,腰膝腿軟,疲乏無力,形體消瘦,多處淋巴結腫大,舌質紅,舌苔薄,脈沉細或細小弦。
(4)脾氣虛弱型:證見頸項腫核,四肢無力,面色蒼白,胃納不佳,動則氣短,舌苔薄膩,脈細無力。
診斷
經細胞診斷和全身詳細檢查而明確診斷。
1.詳細詢問病史,包括首發症狀、淋巴結腫大出現的時間與以後的增大速度、有無全身症狀,如發熱、盜汗、皮膚搔癢、消瘦等,非何杰金淋巴瘤應詢問有無消化道症狀等。
2.體徵
(1)全身淺表淋巴結是否腫大,皮膚及附屬檔案有否侵犯,應注意咽淋巴環、乳腺、睪丸等有否侵犯。
(2)其他靜脈或淋巴回流受阻,氣管受壓,上腔靜脈綜合症等。
3.細胞診斷和組織活檢檢查。
惡性淋巴瘤的確切診斷是病理醫生用顯微鏡對從病灶部位所採取的組織標本進行觀察而得到的。為此,淋巴瘤位於皮膚時,則切開皮膚摘取局部的淋巴結;淋巴瘤位於胃腸時,則用纖維內窺鏡,既觀察腫瘤的有關情況,又做腫瘤的部分組織的活檢。來確定診斷。
對非何杰金淋巴瘤,從低度惡性到高度惡性可再細分為10個階段。對此,有國際分類和日本的LSG分類兩種,而用單克隆抗體試驗又可概分為T細胞型和B細胞型兩類。
4.全身檢查
惡性淋巴瘤的病理診斷一經確定,為了解病灶的擴散情況,需要做全身檢查。體表的淋巴結經觸診可測定,腹膜後淋巴結可通過CT和腹部超音波診斷加以明確。CT和B超檢查也可明確肝、脾等腹腔內臟器的異常。
套用放射性同位素Y射線掃描檢查,可探知體內潛在的腫大的淋巴結。淋巴瘤細胞多可隨血流周轉全身,所以骨髓穿刺檢查,明確其有否骨髓內轉移也實屬必要。
此外,對瓦爾代爾環受浸潤的病例,應到耳鼻咽喉科檢查、診斷,並做胃X線檢查。消化道發現淋巴結腫大時,應從胃開始直至大腸為止做全消化道方面的檢查,或做X線檢查,或做纖維內窺鏡檢查。當肺、肝、眼、腦、睪丸等臟器發現病灶時,要和相關臟器的專科醫生邊商量邊做有關檢查。
5.實驗室檢查
影像學表現
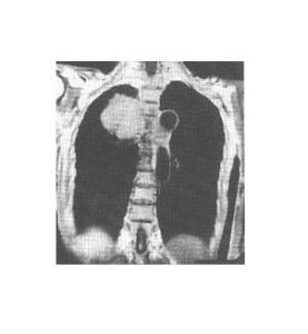
惡性淋巴瘤主要為兩側氣管旁和肺門淋巴結腫大。通常以氣管旁淋巴結腫大為主,並且多為兩側對稱性。早期可能僅表現為氣管兩旁上縱膈陰影輕度增寬。由於此類腫瘤生長迅速,發現病變時,多數明顯腫大的淋巴結均已融合成塊,使上縱膈向兩側明顯增寬,輪廓清楚而呈波浪狀,密度均勻。側位胸片見腫瘤位於中縱膈上中部,即氣管及肺門區,腫塊邊界不清楚。前縱膈胸骨後淋巴結也常被侵及,表現為緊貼於胸骨後的圓形或橢圓形帶有波浪狀向後突出的陰影。
CT掃描對顯示縱膈各組淋巴結腫大有特殊的優點,顯著優於常規X線檢查。在早期病變,縱膈輕度增寬時,CT掃描可顯示腫塊的部位和形態符合縱膈的腫大淋巴結,以及各組淋巴結受侵的範圍,對診斷很有幫助。何杰金病侵犯縱膈交非何杰金病更為多見,而且較易表現兩側病變大小不對稱。孤立的前縱膈病變,不伴有氣管旁和肺門淋巴結異常,但常伴有頸部淋巴結腫大。這類類型的淋巴瘤在X線表現上甚似胸腺瘤,在病理上常可見在腫瘤內有殘留的兇險組織。
淋巴瘤對放射治療甚為敏感,可於短期內明顯縮小以至完全消退。但對於某些何杰金病,優於合併增生的纖維住址,致放射治療後仍可保持一定體積而不完全消失。對放射治療效果好的淋巴瘤,經數年後可見鈣化影。縱膈的淋巴瘤也可侵犯膈神經、喉返神經、交感神經,出現相應的神經麻痹症狀,但一般不如轉移性淋巴結易發和顯著。
侵犯心包產生心包積液。瘤住址可經肺門沿支氣管周圍的間質向肺門侵潤,形成自肺門向肺野呈放射狀的侵潤性條狀影及細小結節影。常侵及胸膜產生胸腔積液。胸腔積液也可因縱膈的淋巴瘤阻塞了淋巴液的引流造成。此型胸腔積液,在縱膈淋巴瘤經放射治療好轉後可自行吸收。
原因而惡性淋巴瘤的原因還主要發生於3~12歲的兒童,與一定氣候條件有關,可占當地兒童腫瘤的半數以上,只有5%的患者年齡超過20歲。在世界其他地
區雖然也有散發的病人,但均屬較罕見的病例。通過細胞生物學技術業已證明在Burkitt淋巴瘤98%的腫瘤中可找到EB病毒的基因組,但在散發的
Burkitt淋巴瘤中則只有15%~20%含有EB病毒。
流行區病人EB病毒的殼抗原抗體全部陽性,且滴度高。殼抗原陽性的兒童中發生此種腫瘤的風險為對照組的30倍。用EB病毒感染某些猿類,可引起與
Burkitt淋巴瘤相似的惡性淋巴組織增生病變。因此,目前認為本病是非洲兒童在嬰幼兒期重度和持續EB病毒感染,免疫功能受到抑制,癌基因被激活,導
致B淋巴細胞惡性增殖的後果。
診斷檢查
惡性淋巴瘤一、霍奇金病
(一)血液血象變化較早,常有輕或中等貧血,偶伴抗人球蛋白試驗陽性,少數白細胞輕度或明顯增加,伴中性粒細胞增多。約1/5患者嗜酸粒細胞升高。晚期淋巴細胞減少。骨髓被廣泛浸潤或發生脾功能亢進時,可有全血細胞減少。
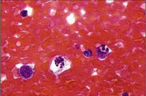
(二)骨髓大多為非特異性。如能找到里-斯細胞對診斷有助。里-斯細胞大小不一,約20μm-60μm,多數較大,形態極不規則。胞漿嗜雙色性,核外形不規則,可呈“鏡影”狀,也可多葉或多核,偶有單核,核染質粗細不等,核仁可大達核的1/3。結節硬化型HD中里-斯細胞由於變形,漿濃縮,兩細胞核之間似有空隙,稱為腔隙型里-斯細胞。浸潤大多由血源播散而來,骨髓穿刺塗片陽性率僅3%,但活檢法可提高至9%~22%,用以探索骨髓轉移,意義較大。
(三)其他化驗疾病活動期有血沉增速,血清乳酸脫氫酶活力增高,α球蛋白及結合珠蛋白及血漿銅藍蛋白增多。當血清鹼性磷酸酶活力或血鈣增加,提示骨骼累及。
二、非霍奇金淋巴瘤
(一)血液和骨髓白細胞數多正常,伴有淋巴細胞絕對和相對增多。NHL血源播散較早,約20%原淋巴細胞型在晚期並發白血病,此時血象酷似急性淋巴細胞白血病。約5%組織細胞性淋巴瘤,晚期也可發生急性組織細胞性或單核細胞性白血病。
(二)其他可並發抗人球蛋白試驗陽性的溶血性貧血。原免疫細胞或瀰漫性原淋巴細胞型常有多克隆球蛋白增多,少數瀰漫性小淋巴細胞型可出現單克隆IgG或IgM,以後者為多見。診斷和鑑別診斷:對慢性、進行性、無痛性淋巴結腫大要考慮本病的可能,應做淋巴結穿刺物塗片、淋巴結印片及病理切片檢查。當有皮膚損害可作皮膚活檢及印片。如有血細胞減少,血清鹼性磷酶增高或有骨骼病變時,可我作骨髓活檢和塗片以尋找里-斯細胞或淋巴瘤細胞。現在報導里-斯細胞偶可見於傳染性單核細胞增多症、結締組織病及其他惡性腫瘤,因此在缺乏HD其他組織學改變時。結核性淋巴結炎多局限於頸兩側,可彼此融合,與周圍組織粘連,晚期與軟化、潰破而形成竇道。以發熱為主要表現淋巴瘤,須和結核病、敗血症、結締組織病等鑑別。結外淋巴瘤須和相應器官的其他惡性腫瘤向鑑別。
治療方案
惡性淋巴瘤由於放射療法的合理套用和聯合化療的積極推廣,淋巴瘤的療效有較快提高,尤以HD無,大多早期病例都能長期無病存活。NHL的療效雖較HD差,但長期緩解或無並存活者也逐漸增多。組織學類型和臨床分期對治療方法和預後都有密切關係。
一、放射治療
HD的放射治療已取得顯著成就。較為有效,但最好套用直線加速器。用高能射線大面積照射HDⅠA至ⅡB的方法有擴大及全身淋巴結照射兩種。擴大照射除被累計的淋巴結及腫瘤組織外,尚須包括附近可能侵及的淋巴結區,例如病變在隔上採用斗篷式。隔下倒“Y”字式。斗篷式照射部位包括兩側從乳突端之鎖骨上下,腋下、肺門、縱隔以至隔的淋巴結;要保護肱骨頭、喉部及肺部免收照射。倒“Y”式照射包括從膈下淋巴結至腹主動脈旁、盆腔及腹股溝的淋巴結,同時照射脾區。劑量為30~40Gy,3~4周為一療程。全身淋巴結照射即膈上為斗篷式並加照膈下倒“Y”字式。 HNL對放療也敏感但復發率高。由於其蔓延途徑不是沿淋巴區,所以斗篷和倒“Y”字式大面積不規則照射野的重要性遠較HD為差。治療劑量要大於HD。目前僅低度惡性組臨床Ⅰ及Ⅱ期及中度惡性組病理分期Ⅰ期可單獨套用擴大野照射或單用累及野局部照射。放療後愛否再用化療,意見尚不統一。Ⅲ及Ⅳ期多採用華萊為主,必要時局部放療為姑息治療。二、化學治療
極大多數採用聯合化療,要爭取首次治療即獲得完全緩解,為長期無並存活創造有利條件。(一)霍奇金病1964年DeVita創用MOPP方案以來,晚期HD預後大有改觀,初治者的完全緩解率由65%增至85%。MOPP方案至少用6療程,或一直用至完全緩解,在額外給2療程。對有明顯全身症狀;骨髓累及;反覆化療史;屬淋巴耗竭型或結節硬化型伴縱隔累及者,MOPP的療效較差。對MOPP也乃要可採用ABVD,75%~80%可以緩解,也有用MOPP與ABVD交替治療,用MOPP治療復發的病例可再用MOPP,59%獲得第二次緩解。第一次緩解期超過一年,則93%有二次緩解希望。
(二)非霍傑金淋巴瘤化療療效決定於病理組織類型,而臨床分期的重要性不如HD。按病理學分類的惡性程度,分別選擇聯合化療方案:
1、低度惡性組(表6-10-2)該組Ⅰ及Ⅱ期放療後可無復發,存活達10年;但Ⅲ及Ⅳ期,無論放療和化療都未能取得痊癒。強烈化療雖效果尚好,但復發率高。Portlock回顧性分析44例低度惡性組患者的推遲治療的結果,全部患者中數生存時間為10年,而且7例有自發性腫瘤消退。所以主張本組患者儘可能推遲化療治療,定期密切觀察。如病情有進展或發生併發症者可給COP或CHOP。對有全身症狀者可單獨給以苯丁酸氮芥(4~12mg,每日口服按)或環磷醯胺(每日口服100mg),以減輕症狀。如血象抑制不明顯,可連續口服幾個月。
2、中度惡性組本組各型,一旦診斷明確而臨床分期屬Ⅲ、Ⅳ積累及範圍較廣Ⅱ的期,均應即予COP、CHOP(表6-10-6)等每月一療程,計6~9個月,可使70%獲得完全緩解,而35%~45%可有較場期緩解期。新一代化療方案尚有m-BACOD、ProMACE-MOPP等(表6-10-6),可使長期無並存活期患者增加至55%~60%。新方案中加入等劑量甲氨蝶呤,目的是防止中樞神經系統淋巴瘤。更強烈的地三代治療方案有COP-BLAM-Ⅲ及MACOP-B,可使長期無病存活增加至60%~70%,但因毒性過大,不適於老年及體弱者。MACOP-B的特點是骨髓抑制藥與非抑藥交替使用,所以緩解率(84%)及無復發生存率(90%)均有提高。COP-BLAM尤使用與瀰漫性大細胞性。
3、高度惡性組都應給以強烈聯合化療。選淋巴細胞型及Burkitt淋巴瘤進展較快啊,如不治療,幾周或幾個月內死亡。對高度惡性組以第二代或第三代聯合化療較差。
三、骨髓移植
對60歲以下患者,能耐受大劑量化療者可考慮全淋巴結放療及大劑量聯合化療,結合異基因或自身骨髓移植,以期取得較長期緩解和無病存活期。目前國內外研究自身骨髓移植對瀰漫性、進展性淋巴瘤取得令人鼓舞的結果,其中40恩%~50%以上獲得腫瘤負荷縮小,18%~25%復發病例被治癒。自身骨髓移植尚存在自身骨髓體外淨化問題有待解決。四、手術治療
僅限於活組織檢查;合併脾機能亢進者則有切脾指征,以提高血象,為以後化療創造有利條件。五、干擾素
有生長調節及抗增殖效應。對蕈樣肉芽腫,濾泡性小裂細胞為主及瀰漫性大細胞型有部分緩解作用。套用方法和確切療效尚在實踐探索中。
預後:霍奇金病的預後與組織類型及臨床分期緊密相關,淋巴細胞為主型預後最好,5年生存率為94.3%而淋巴細胞耗竭型最差,5年生存率僅27.4%;結節硬化及混合細胞型在兩者之間。霍奇金病臨床分期,Ⅰ期5年生存率為92.5%,Ⅱ期86.3%,Ⅲ期69.5%,Ⅳ期為31.9%;有全身症狀較無全身症狀為差。兒童及老年預後一般比中青年為差;女性治療後較男性為好。非霍奇金淋巴瘤的預後,病理類型較為重要。瀰漫性淋巴細胞分化好,6恩年生存率為61%,瀰漫性淋巴細胞分化差。6年生存率為42%,淋巴母細胞型淋巴瘤4年生存率僅為30%。有無全身症狀對預後影響較HD小。低惡性組非霍奇金淋巴瘤病程相對緩和,但缺乏有效根治方法,所以呈慢性過程而伴多次復發,也有因轉化至其他羅星,對化療產生耐藥而致死亡。但低度惡性組如發現較早,經合理治療可取5~10年甚至更長存活期。
六、淨血再生免疫療法治療
淨血再生免疫療法是一種純中醫的血液病治療方法,通過純中醫藥對患者的身體進行調理。利用“淨血、再生、免疫”等方法來對患者的疾病進行治療,達到祛除血液毒素,再生免疫細胞,理氣活血,增強身體免疫力的目的。讓血液病的治療更安全,更有效。降低了患者治療疾病的風險,是治療血液病的最佳方法。而在國際血液病診療技術交流大會上,來自國際的專家學者也點評:淨血再生免疫療法是一種全面,系統性的,帶有中國特色的治療方法,它採用國際倡導的個性化治療體系,避免了千人一方的情況出現,開闢了血液病治療的新篇章。
淨血再生免疫療法是由北京德勝門中醫院權威血液病專家張廣蕊領銜研發的血液病特色療法,該療法根據傳統中醫理論,調整患者陰陽平衡,扶正祛邪,補虛瀉實,從而達到臨床治療的目的。隨著臨床上不斷的完善和總結,目前已經成為了帶有中國特色的血液病治療方法,並且受到了國際權威機構的認可。
治療原則
頸部惡性淋巴瘤1、何杰金氏病的治療原則
(1)ⅠA、ⅡA期:以放射治療為主,如有大的縱隔腫塊,應採用化療與放療綜合,病理為淋巴細胞消減型,套用全淋巴結放射。
(2)ⅡB期:一般採用全淋巴結放射,也可單用聯合化療。
(3)Ⅲ1A:單純放射治療。
(4)Ⅲ2A期:放射與化療綜合治療。
(5)ⅢB期:單用化療或化療加放療。
(6)Ⅳ期:單用化療
2、非何杰金氏淋巴瘤的治療原則
(1)低度惡性:①I、Ⅱ期:大多採用放療,放療後套用化療不能解決數年後仍復發的問題。②Ⅲ、Ⅳ期:大多採用化療。(2)中度惡性:I期病人可單用放療。Ⅱ期以上採用以阿黴素為主的化療方案。(3)高度惡性:淋巴母細胞型淋巴瘤,採用白血病樣治療方案。
3、手術作為治療手段的惡性淋巴瘤適應症很局限,而且治癒率也低,常需輔以放療或化療。
治療誤區
臨床上惡性淋巴瘤常易被誤診,例如:以表淺淋巴結腫大為首發表現的惡性淋巴瘤患者,有70%80%在初診的時候被診斷為淋巴結炎或淋巴結結核,以致延誤治療。
1、慢性淋巴結炎:多有明顯的感染灶,且常為局灶性淋巴結腫大,有疼痛及壓痛,一般不超過2-3厘米抗炎治療後可縮小。
2、巨大淋巴結增生:為一種原因不明的淋巴結腫大,主要侵犯胸腔,以縱膈最為多見,也可侵犯肺門與肺內。
3、假性淋巴瘤:常發生在淋巴結外的部位,如眼眶、胃的假性淋巴瘤等。
4、結核性淋巴結炎:有時很難與惡性淋巴瘤鑑別。比較典型的患者常有肺結核。
5、淋巴結轉移癌:淋巴結常較硬,質地不均勻,可找到原發灶,很少全身性淋巴結腫大。
預防措施
1、要均衡膳食,正常成人可攝入蛋白質食物總量150~200克/日或攝入蛋白質70克/日,兒童攝入魚、肉、蛋食物100~150克/日。攝入碳水化合物、脂肪適量。多吃各種綠色蔬菜,成人進食綠色蔬菜500克/日,兒童攝入綠色蔬菜200~300克/日。不要經常大量攝入雞、鴨、魚、肉、蛋、海鮮、餅乾、炒豆(花生、黃豆、蠶豆等)及其他油炸食物。
2、多喝水,成人飲水1500毫升/日,兒童飲水800~1000毫升/日。特別是夏季,在戶外工作、活動,一定要足量喝水。
3、適當運動,每天慢跑半小時或散步(做健身操等)2小時左右。
4、兒童要養成不挑食,不偏食的習慣,保證營養物質供給,保持人體熱能的平衡,減少腫瘤的發生。
5、惡性淋巴瘤患者嚴格控制蛋白質等高熱能食物攝入,多吃綠色蔬菜,有益於控制淋巴瘤的進一步發展。
6、惡性淋巴瘤患者同時要防治淋巴外疾病。如扁桃體、口腔、鼻咽部、甲狀腺、胃腸道、骨、肝、膽等器官疾病。
7、不要過度勞累,特別是有胃腸道、骨、肝等疾病者,否則會損傷這些器官,從而刺激淋巴結增生。
8、患者不喝酒,酒的熱作用可引起淋巴結疼痛增生。
疾病護理
惡性淋巴瘤病情觀察
1、觀察病人活動受限的程度、有無感染的症狀和體徵。
2、腫大淋巴結的部位、大小、活動度。
3、觀察有無尿量減少。
症狀護理
1、感染的護理:
2、縱隔淋巴結腫大的護理:
(1)遵醫囑給予氧氣吸人。根據病人情況採取舒適體位。
(2)根據病人情況遵醫囑給予化療。
3.咽淋巴結病變的護理:
(1)鼓勵病人進流食,對於嚴重吞咽困難的病人給予鼻飼飲食。
(2)對於鼻塞的病人經口呼吸者,注意保護口腔黏膜。
一般護理
1、密切觀察有無深部淋巴結腫大引起的壓迫症狀。
2、對於病人脫髮、皮膚變黑情況,護士可以組織同病種病人組成小組,大家可以互通信息,相互支持。
健康指導
1、注意個人清潔衛生,勤換內衣,適當鍛鍊,增強體質。
2、教會病人自查淋巴結的方法。
3、加強營養,提高抵抗力,定期複診。
常見危害
1.瀰漫性大B細胞淋巴瘤是最常見的非霍奇金淋巴瘤,占成人非霍奇金淋巴瘤的25%-30%。它可見於各種年齡組,但40~50歲多見。在臨床上,
患者常表現為迅速增大的淋巴結,10%~15%患者有骨髓侵犯,40%~50%患者有淋巴結外病變。淋巴瘤的危害很大,病程進展迅速,如不予以積極治療,
生存期不足一年。
2.於淋巴瘤轉移來說,惡性淋巴瘤肝脾轉移會引起肝脾腫大,胃腸道轉移有腹痛、腹脹、腸梗阻和出血的表現,肺和胸膜是晚期惡性淋巴瘤常見轉移部位,引
起咳嗽、胸腔積液,惡性淋巴瘤骨骼轉移會引發一系列骨事件,如骨痛、病理性骨折等,皮膚轉移引起皮膚搔癢、皮下結節,惡性淋巴瘤扁桃體和口、鼻、咽部轉移
引起吞咽困難、鼻塞、鼻紐,另外,惡性淋巴瘤神經系統轉移可引起脊髓壓迫、顱神經病變等等。
化療後注意事項
1、化療後應補充高蛋白質飲食,如牛奶、大豆、瘦肉、豬蹄、海參、魚、動物肝臟及紅棗、花生、核桃、黑木耳、胡蘿蔔、赤小豆等。2、化療可造成骨髓再生不良,尤以白血球下降最為明顯。在化療過程中,應按期檢查血象變化,每周檢查l~2次。
3、患者如血小板數下降應及時處理,並避免撞傷。
4、有些化療藥可致脫髮,可預備好假髮,一般停用化療後2~3個月即可長出新發。
5、應避免去人多的場所,以免增加細菌或病毒交叉感染機會。
6、如化療後出現胃腸道反應,可進行一般對症處理,也可在醫生指導下適當服用止吐藥物。應注意口腔衛生,堅持每餐後漱口,以免出現口腔潰瘍。
7、化療後如出現腹瀉,尤其是每天超過5次時應及時就診。淋巴癌化療後需要注意哪些事項?
8、可在醫生指導下適當服用中藥以提高機體免疫功能,防止轉移和復發
9、化療結束後應定期進行複診,以觀察緩解期的長短與遠期毒性。
飲食方面性的提示
羊骨粥食療一、果蔬療法
1、南瓜150克、水適量,調料少許。燉至無水時服用。
2、甘蔗2節,榨汁飲。
3、蘆筍200克,加入適當調料炒熟即可食用。
二、藥膳療法
1、羊骨粥
原料:羊骨1000克、粳米100克、細鹽少許、蔥白2根、生薑3片。
製法:將鮮羊骨洗淨敲碎,加水煎湯,取湯代水,同粳米煮粥,待粥將成時,加入細鹽、生薑、蔥白調料,稍煮二三沸即可。
適應症:惡性淋巴瘤放療後肝腎陰虛。服法:每日1-2次食用。
2、枸杞松子肉糜
原料:肉糜100-150克,枸杞子、松子各100克。
製法:將肉糜加入黃酒、鹽、調料,在鍋中炒至半熟時,加入枸杞子、松子,再同炒即可。
適應症:惡性淋巴瘤放療後陰虛內熱。服法:每日1次,作副食服之。
3、豬腎茨菰湯
原料:光茨菰30克、豬腎及睪丸各1個,鹽、蔥、姜各少許。
製法:將光茨菰浸泡2小時後,煎湯,濾過湯液,再將豬腎、睪丸洗淨,去掉雜物,切成方塊狀,加入光茨菰濾過後湯液,一同煮後加入鹽、蔥、姜文火煮至熟即可。
適應症:惡性淋巴瘤化療後精血虧虛。服法:喝湯吃豬腎、睪丸,每日作副食食之,可常服。
4、山藥枸杞三七湯
配方:三七17g,淮山藥32g,枸杞子26g,桂圓肉25g,豬排骨300g。食鹽、胡椒粉適量。
製法:三七、山藥等中藥均用布袋扎口後,和豬排骨放在一起,加4大碗清水。先大火後小火,燉煮2-3小時。放入鹽、胡椒粉調味即可。可煎煮出3小碗。每次1小碗,吃肉喝湯。每1-2天吃1次。
功效:生血補血,開胃健脾。本膳適用於惡性淋巴瘤腫塊增大迅速而舌有暗紫斑。
5、豆芽涼麵
配方:綠豆芽150g,細麵條300g,瘦肉絲75g,雞蛋1個,黃瓜1條,蒜末少許,醬油、麻油各4-6毫升。鹽、蔥花、芝麻醬、沙拉油、冰開水、冷水適量。製法:麵條煮熟,冰開水淋濾2次,加麻油拌勻放入碗中,存於冰櫃中備用。芝麻醬同醋、食鹽調勻,加入蒜末,瘦肉絲用沙拉油、蔥花炒香,加醬油和冷水,熬成肉汁。雞蛋攤成薄皮切絲,黃瓜擦絲,綠豆芽去尾用開水略燙。將上述調料和菜放入麵條中,拌勻後即可食用。喜食醋者,可加少許米醋。
功效:清熱解毒,通利三焦。本膳主要適用於淋巴肉瘤熱毒盛者。
易混淆病種
1、慢性淋巴結炎:多有明顯的感染灶,且常為局灶性淋巴結腫大,有疼痛及壓痛,一般不超過2-3厘米抗炎治療後可縮小。
2、巨大淋巴結增生:為一種原因不明的淋巴結腫大,主要侵犯胸腔,以縱膈最為多見,也可侵犯肺門與肺內。
3、假性淋巴瘤:常發生在淋巴結外的部位,如眼眶、胃的假性淋巴瘤等。
4、結核性淋巴結炎:有時很難與惡性淋巴瘤鑑別。比較典型的患者常有肺結核。
5、淋巴結轉移癌:淋巴結常較硬,質地不均勻,可找到原發灶,很少全身性淋巴結腫大。
專家提醒
惡性淋巴瘤專家提醒,由於淋巴瘤初期淋巴結腫大多無痛感,多數人容易誤認為只是感冒或勞累引起的淋巴結腫大,忽視早期檢查極其危險。專家建議,身體出現以上異常情況時,應及時到正規醫院接受檢查,以免延誤病情。
發病呈現年輕化趨勢 淋巴瘤“盯上”青壯年
近年來,淋巴瘤已成為增長最快的一種惡性腫瘤,並呈現出年輕化的趨勢。相比胃癌、腸癌等實體腫瘤,淋巴瘤的平均發病年齡要年輕10歲。據統計,中國淋巴瘤的年發病率為4.5/10萬,且以每年7.5%的速度增加,目前全球平均每9分鐘就有1名淋巴瘤新發病人。
“這幾年,淋巴瘤患者明顯增多了,而且有年輕化趨勢。”劉愛春博士說。雖然淋巴瘤發病的確切病因至今不明,但環境污染加重、接觸有害物質增多、生活節奏加快、病毒感染等,都可能是導致淋巴瘤高發的原因。“辦公室白領族不僅承受著巨大的工作壓力,還需要經常加班。一些年輕人由於頻繁熬夜加班,導致長期過度疲勞,機體免疫功能下降,此外長時間處於電子輻射環境或放射性的環境中,也可能與淋巴瘤發病有關。”劉愛春博士分析說,自身免疫力弱,感染病毒的機會也就增多,因此容易惹病上身。
惡性腫瘤也可治癒 治療一定要“趁早”
談到腫瘤,人們總會了解某種腫瘤是良性的還是惡性的。常識告訴人們,良性腫瘤治療及時有痊癒的可能,而惡性腫瘤會危及生命,但是淋巴瘤卻絕不能這樣理解。
劉愛春博士介紹,淋巴瘤是一種惡性腫瘤,但並不是不可治癒的疾病。淋巴瘤的惡性程度有高低之分,其自然病程也有快慢的差異。霍奇金氏淋巴瘤的惡性度較非霍奇金氏淋巴瘤為低,是目前可望治癒的腫瘤之一。
有些類型的淋巴瘤惡性度低,病程長,即所謂的惰性淋巴瘤,但其治癒可能有一定的困難;而另一些淋巴瘤進展速度快,惡性度高,即醫生所說的侵襲性淋巴瘤,雖然這類腫瘤對生命更具有威脅性,但隨著醫學的發展,其中部分類型已經有很高的治癒率。當然,目前仍然有一些類型淋巴瘤尚屬醫學難題。
劉愛春博士介紹,“病需淺中醫”的道理毋庸置疑,淋巴瘤早診斷早治療預後更好。淋巴瘤臨床表現十分複雜,但最常見的初發症狀是淋巴結腫大,可表現為無痛性、進行性淺表淋巴結腫大或結外淋巴組織腫大;尤以頸部淋巴結為多見,其次為腋下、腹股溝。有些病人會出現全身性症狀,如進行性虛弱、體重減輕、四肢無力、夜間盜汗、發燒等。
淋巴瘤的治療效果相差較大,有些淋巴瘤5年存活率可達80%,而有些類型的淋巴瘤年存活率只有20%-30%甚至更低。是否能夠治癒,首先要通過正確的診斷分型來判斷,同時也要結合臨床的分期等詳細的指標加以估計。隨著我國醫療條件的不斷提升,目前淋巴瘤的確診病例呈逐年增長的趨勢,但淋巴瘤的分型診斷更新速度較快,診斷要求甚高,對部分基礎醫療單位而言的確存在一定的困難。所以,專家強調,一旦被告知可能患有淋巴瘤後,應到具有診斷條件的醫療單位就診,以便得到更為合適的治療。
相關新聞
惡性淋巴瘤從2011年5月14日召開的第十二屆中國抗癌協會全國淋巴瘤學術大會上了解到,山西省淋巴瘤發病率呈逐年上升趨勢,食品添加劑或成引發淋巴瘤的重要原因之一。“近年來惡性淋巴瘤在中國的發病率逐年上升,每年至少超過25000例,而在歐洲、美洲和澳大利亞等西方國家的發病率可高達11/10萬-18/10萬,略高於各類白血病的總和。中國惡性淋巴瘤的死亡率為1.5/10萬,占所有惡性腫瘤死亡位數的第11-13位。”山西省衛生廳副廳長劉星介紹,山西省作為高發區之一,淋巴瘤患者也呈上升趨勢。
中國抗癌協會淋巴癌專業委員會委員王晉芬說,“現在許多食品中含有添加劑,這可能是發病的原因之一;此外,現在好多人為了時尚去染髮,而染髮劑的致癌物也非常多,顏色越深毒性越強;環境污染、農藥殘留都是引發淋巴癌的因素。”
根據王晉芬在會議上公布的其對山西2069例淋巴癌患者臨床研究,淋巴癌患者以50歲左右的中老年為主,其中男性發病率高於女性,比例為1.5:1。“隨著醫療手段提高,基因靶向治療的引進,淋巴瘤的死亡率有所下降。”
淋巴系統是身體的重要防禦系統,它可以幫助人體抵抗病毒、細菌等有害外來物的侵害,被稱為人體“衛隊”。當病菌等有害物質入侵人體時,淋巴組織就容易脫離人體的控制,變成“壞分子”。“壞分子”越來越多時,加上不良環境等因素的作用,淋巴細胞就可能在生長過程中發生變異,形成淋巴瘤。
會上淋巴瘤學術領域專家提醒,淋巴瘤早期症狀不易被察覺,要經常體檢,早發現早治療;此外要養成良好的生活習慣,勞逸結合,增強自身的抵抗力。
常識
一、惡性淋巴瘤的病因1、病毒感染:目前認為是引起淋巴瘤的重要原因,實驗證明,非洲淋巴瘤(Burkitt淋巴瘤)患者EB病毒抗體明顯增高,在患者腫瘤組織中,電鏡下可找到病毒顆粒。據觀察認為病毒可能引起淋巴組織發生變化,使患者易感或因免疫功能暫時低下引起腫瘤。
2、理化因素:某些物理、化學損傷是淋巴瘤誘發因素。據有關資料統計,廣島核子彈受害倖存者中,淋巴瘤發病率較高。另外,某些化學藥物,如免疫抑制劑、抗癲癇藥、皮質激素等長期套用,均可導致淋巴網狀組織增生,最終出現淋巴瘤。
二、惡性淋巴瘤傳染嗎
惡性淋巴瘤會不會傳染是需要大家知道的,一般情況下,傳染性疾病是由病毒和細菌傳染的,例如肺結核、B肝等都是有病毒引起的,因此也會傳染。而惡性淋
巴瘤是由於惡性淋巴瘤是淋巴結和結外部位淋巴組織的免疫細胞腫瘤,來源於淋巴細胞或組織細胞的惡變引起的,惡性淋巴瘤是不會傳染的
預防方法
1.惡性淋巴瘤的預防:大家是時刻留意淺表腫大的淋巴結的變化,如果家裡面有患過淋巴瘤的人員,那么就更要時時刻刻留意了。還應留心天氣的變化,通過積極的預防和治療讓自己
遠離病毒感染。如果您的淺表已經發生病變,那么就要注意皮膚的清潔了,千萬不要受到損傷與刺激。大家應通過加強對身體的鍛鍊,從而提升自身的免疫力和抵抗
力。積極的治療和惡性淋巴瘤出現有關係的慢性病症,例如慢性淋巴結炎、自體免疫性疾病等等。與此同時,大家還需多吃一些具有抗癌與防癌物質的食物。
2、要合理的飲食,平時不要過多地吃鹹而辣的食物,不吃過冷、過熱、過期及變質的食物,年老體弱或有某種疾病遺傳基因者,平時應酌情吃一些防癌食品和含鹼量高的鹼性食品,還有就是不要食用被污染的食物,如被污染的水,農作物,家禽魚蛋,發霉的食品等,要吃一些綠色有機食品,要防止病從口入,同時還要保持良好的精神狀態。
危險因素
1、物理因素相關專家指出得知,造成惡性淋巴瘤的原因不僅與病毒有一定的關係,
而且還與輻射有關係,多數以30隨以下的人最容易患病。30歲以下接受輻射的人群中惡性淋巴瘤的發病率比其他沒有接受輻射的人群高。醫用輻射對人類腫瘤的
發病影響越來越受到重視,特別是大劑量輻射對人類惡性淋巴瘤的發病有促進的作用。
2、化學因素
芳香胺類化合物、化學致癌物中的烷化劑、多環芳烴類化合物與惡性淋巴瘤的發病原因有一定的關係。化學藥物引起惡性淋巴瘤的發病率也不少見,如環磷醯
胺、左鏇苯丙氨酸氮芥、甲基苄肼等藥物引起惡性淋巴瘤均有資料報導。農業中農藥、化學肥料的使用,也使惡性淋巴瘤的發病率和死亡率不斷地增長。
腫瘤靶向新技術--緩釋庫療法
圖緩釋庫療法的適應症
適應症:鼻咽癌、口腔癌、肺癌、食道癌、胃癌、腸癌;肝癌、膽囊癌、膽管癌、胰腺癌、腎癌、膀胱癌;子宮癌、卵巢癌、乳腺癌、前列腺癌、睪丸癌;甲狀腺癌、皮膚癌、惡性淋巴瘤、骨腫瘤、原發或轉移的各種實體腫瘤。
