症狀體徵
老年人肺癌1、症狀
(1)、咳嗽:主要是由於腫瘤或它的分泌物刺激支氣管黏膜所引起,通常為肺癌的首發症狀,中心型肺癌更為突出。腫瘤在支氣管管壁呈浸潤性生長時即出現陣發性刺激性嗆咳,亦稱為乾咳、無痰或存有少量白色泡沫樣黏痰。發生混合感染後痰液可呈膿性,痰量也可增加。若腫瘤位於細小支氣管黏膜上,常無咳嗽或咳嗽不明顯,所以周圍型肺癌以咳嗽為首發症者較中央型肺癌為少。武警北京總隊醫院專家馮國安講解:警惕咳嗽是肺癌最常見的症狀
咳嗽是最常見的症狀,以咳嗽為首發症狀者占35%~75%。肺癌所致的咳嗽可能與支氣管黏液分泌的改變、阻塞性肺炎、胸膜侵犯、肺不張及其他胸內合併症有關。腫瘤生長於管徑較大、對外來刺激落敏感的段以上支氣管黏膜時,可產生類似異物樣刺激引起的咳嗽,典型的表現為陣發性刺激性乾咳,一般止咳藥常不易控制。腫瘤生長在段以下較細小支氣管黏膜時,咳嗽多不明顯,甚至無咳嗽。對於吸菸或患慢支氣管炎的病人,如咳嗽程度加重,次數變頻,咳嗽性質改變如呈高音調金屬音時,尤其在老年人,要高度警惕肺癌的可能性。
(2)、咯血和血痰:咯血為肺癌首發症狀之一,患者中以咯血為首發症狀者占35.9%,其特徵為間斷性反覆少量血痰,
老年人肺癌(3)、發熱:肺癌以發熱為首發症狀者占21.2%,發熱分為2 種,一種是由於支氣管阻塞或管腔受壓後引起的炎性發熱。中央型肺癌常因較大的支氣管被腫瘤阻塞或狹窄致遠側的支氣管內分泌物滯留而引起感染發熱;有些肺癌病人,發熱原因很難用上述理由解釋,即使消炎治療,發熱不退,此即所謂癌性發熱。臨床上經常見到肺癌病人以發熱或所謂的感染而起病,經X 線透視後以“肺內感染”的診斷進行治療,並可獲得暫時的效果。但X 線複查時,肺內陰影不會完全消失。此外,若遇病人在同一部位反覆發生肺炎時,應高度懷疑支氣管肺癌的可能。
(4)、胸痛:肺癌早期,通常可有不定時的胸悶、壓迫感或鈍痛,這可能是由於腫瘤侵襲所在組織所致。支氣管阻塞發生肺不張,造成壁層胸膜牽引,可能引起反射性胸痛。周圍型肺癌病人以胸痛、背痛、肩痛、上肢痛、肋間神經痛等為首發症狀就診者占24%。因而切不可輕易地按“肩關節周圍炎”、“頸椎病”、“神經性胸痛”等進行治療,一定要警惕是否有肺內病變。
(5)、胸悶、氣急:腫瘤在葉支氣管或主支氣管口時,大支氣管突然被阻,病雖未屬晚期但出現胸悶、氣急等症狀。瀰漫性細支氣管-肺泡癌和支氣管播散性腺癌也常出現氣急,以前者為甚,因肺泡上皮已變為癌細胞,通氣/血流比例嚴重失常和彌散功能障礙。
(6)、鎖骨上淋巴結腫大及聲音嘶啞:同側或對側鎖骨上淋巴結轉移意味著縱隔內淋巴結存在著廣泛轉移,無疑屬晚期。患側聲帶麻痹和聲音嘶啞則由於肺癌縱隔淋巴轉移或癌瘤直接侵襲喉返神經所致。以往認為這類病人屬於肺癌Ⅲ期,不宜手術,現今學者很多主張仍可手術。
(7)、上腔靜脈綜合徵:當腫瘤直接侵犯上腔靜脈,或轉移性淋巴結壓迫上腔靜脈和奇靜脈時,靜脈回流受阻,可產生頭暈、眼花、胸悶、頭頸部水腫等症狀。查體可見頭面部和頸部腫脹,眼結膜充血、水腫,唇部發紺,頸部及胸壁靜脈怒張。
(8)、頸交感神經叢和臂叢神經受侵:多見於肺尖癌,當腫瘤侵及第7 頸椎和第1 胸椎外側近脊柱旁的交感神經節時,可引起Horner 氏症,表現為患側眼球凹陷、上眼瞼下垂、瞳孔縮小、瞼裂狹小。同時也可產生臂叢神經的壓迫症狀,該側上肢有火灼樣劇痛,自腋部內側開始向遠端放射,局部皮膚感覺異常。
(9)、胸膜轉移:多見於未分化癌及腺癌,鱗癌較少,為肺癌直接侵犯或種植的結果,診斷措施為穿刺抽液細胞學檢查。臨床上常表現為胸液增長極快,抽後不出2~3 天,又復增多。血性胸液中常能找到癌細胞。非血性胸液亦不能除外癌症,可能由於胸膜癌灶少之故。
老年人肺癌(10)、血行性轉移:血行性轉移常見部位是骨、肝、腦,其次為腎、腎上腺、皮下組織等。
①骨轉移:受累骨常見者為肋骨、椎骨、顱骨、髂骨、骶骨等,其中以肋骨轉移最多。局部疼痛最早出現,常在骨質破壞1~2 個月之前,轉為局部劇烈頑固性疼痛。脊柱轉移可壓迫或侵犯脊髓造成截癱。
②肝轉移:表現為食慾減退、噁心、消瘦、肝區痛,有時可出現黃疸。診斷的主要特點為肝臟在短期內進行性增大,正常輪廓消失,柔韌度不一致,觸之有結節。轉移灶大於2cm 時,超音波、CT 可查出。血清鹼性磷酸酶可呈進行性增高,常超過20 個金阿單位,γ-谷氨醯轉肽酶(γ-GT)可能陽性。谷丙轉氨酶及其他肝功能改變不明顯。患者多在短期內死亡。
③腦轉移:預後極差,一般以顱內壓增高的表現較為多見,常有劇烈頭痛,噴射性嘔吐或內耳性眩暈症。轉移到小腦後,可有共濟失調,指鼻、眼試驗,膝腱試驗陽性。有時有偏癱、譫妄、眼球震顫、復視等症狀出現,甚至有少數病例可出現幻覺、妄想、性格改變等症狀。有時第一症狀即出現抽搐和突然昏厥。CT、MRI 有助於明確診斷。
④腎、腎上腺及皮下轉移:當腎上腺轉移時可出現阿狄森綜合徵,皮下轉移時可出現皮下結節等。
2、肺外症狀 現已發現肺癌分泌的異位激素和類似物質,主要有促腎上腺皮質激素(ACTH),抗利尿激素(ADH),促性腺激素(GTH),降鈣素(CT),血清素(γ-HT),胰島素類似物,腎素樣物質等,均可引起相應的臨床表現。
(1)、類癌綜合徵:是血清素(5-羥色胺)引起的皮膚潮紅、腹瀉、水腫、喘息以及陣發性心動過速等症狀。還有黑色棘皮症及皮肌炎、掌趾皮膚過度角化症、硬皮症,以及栓塞性靜脈炎、非細菌性栓塞性心內膜炎、血小板減少性紫癜、毛細血管病性滲血性貧血等肺外表現。
(2)、庫欣綜合征:是由於未分化細胞癌分泌促腎上腺素皮質激素的結果。臨床表現為向心性肥胖,紫紋,多血質,骨質疏鬆等,各種表現充分者為數很少,因癌細胞分化的大分子量ACTH 的活性僅是腦垂體性ACTH 的1/10。為了鑑別,必須注意其他代謝方面的異常表現,如低血鉀伴有低氯性鹼中毒,血糖值升高及糖尿病等。
(3)、未分化細胞癌:尤其是燕麥細胞癌尚可分泌抗利尿激素(ADH),引起不適當的“抗利尿激素分泌綜合徵”。此綜合徵表現為低滲透壓性低鈉血症,臨床表現水過多和水中毒症狀,嚴重者有腦水腫表現,尿中持續性排鈉,不伴有腎、腎上腺功能衰竭,治療上僅投給鈉不足,必須限制水攝入量,並輔以強利尿劑才能收效。
(4)、某些肺癌產生異位前列腺素,可有高鈣血症表現。常見於鱗癌,病人表現為嗜睡、厭食、噁心、嘔吐和體重減輕及精神變化。
(5)、異位促性腺激素綜合徵:主要表現是男性乳房發育及性早熟,女性月經失調,多發性卵巢囊腫等,血漿中黃體生成激素(LH)及卵泡刺激素(FSH)增高。
(6)、異位生長激素綜合徵:主要表現為肺原發性肥大性骨關節病,四肢關節腫脹,疼痛,骨膜增生,杵狀指(趾)及肢端肥大症等,血漿生長激素高達20mg/ml,正常為5~9μg/ml。
(7)、除此之外還有一些特殊表現,如神經肌肉系統:小腦皮質退行性變,運動失調,腦病,痴呆,眼球震顫,重症肌無力,多發性神經炎等。
3、體徵 早期肺癌胸部查體,可表現為部分氣道阻塞及肺部感染體徵,聽診時可發現局限或單側哮鳴音及乾、濕囉音,肺部呼吸音減弱或消失。叩診呈濁音或實音時,考慮為部分或完全肺不張及累及胸膜所致。當腫瘤向肺外組織器官浸潤生長,查體可捫及鎖骨上或腋下淋巴結腫大;縱隔淋巴結腫大壓迫上腔靜脈時,表現為頭面部、上肢及胸部淤血水腫、頸部腫脹、頸靜脈怒張。肺尖部肺癌,壓迫頸部交感神經引起同側瞳孔縮小,上眼瞼下垂,額部少汗等體徵。肺癌晚期形成顱內、骨、腹部臟器轉移時出現項強、偏癱、小腦定向力和功能障礙,神經肌肉病變,意識障礙,骨折及黃疸、腹水等到全身症狀。慢性消耗可致貧血、周身水腫及惡病質狀態。
肩壁症狀
1、初起時輕度酸脹,以後以痛為主,劇烈時則呈放電樣疼痛。用止痛藥只能暫緩解痛,不能阻止疼痛進行性加重。
2、多伴有肢體乏力或麻木,不能抬舉,不能持物。
3、大部分疼痛發生在癌腫的同側肩臂,少數為雙臂痛。
4、常伴有頸部或鎖骨上淋巴結腫大,甚至上腔靜脈出現綜合症,如臉部浮腫、頸粗、上胸臂靜脈怒脹。
5、多數伴有呼吸道症狀,如咳嗽、血痰等。
、初起時輕度酸脹,以後以痛為主,劇烈時則呈放電樣疼痛。用止痛藥只能暫緩解痛,不能阻止疼痛進行性加重。
2、多伴有肢體乏力或麻木,不能抬舉,不能持物。
3、大部分疼痛發生在癌腫的同側肩臂,少數為雙臂痛。
4、常伴有頸部或鎖骨上淋巴結腫大,甚至上腔靜脈出現綜合症,如臉部浮腫、頸粗、上胸臂靜脈怒脹。
5、多數伴有呼吸道症狀,如咳嗽、血痰等。
疾病病因
老年人肺癌2、職業與肺癌 工業生產中接觸與肺癌發病有關的特殊物質有石棉、砷、鉻、苯芘、煤焦油、三氯甲醚、菸草的加熱產物及鈾、鐳等放射性物質衰變時產生的氡和氡子氣、電離輻射和微波輻射等。這些因素可使肺癌的發生危險性增加3~30 倍。
(1)、石棉在各種石棉工業中,包括礦工、紡織、絕緣材料、造船等工人中的肺癌、間皮瘤和石棉沉著病明顯高。在接觸石棉強度大、時間長的工人中,肺癌可占全部死者的20%,二次世界大戰期間在美國造船廠工作的男性工人肺癌危險性增高60%~70%,從接觸石棉到發病一般要經過20 年或更長。石棉與吸菸在引起肺癌發生上有協同作用,重度吸菸的石棉工人其患肺癌的危險性為不吸菸或不接觸石棉工人的90 倍。
(2)、砷可引起皮膚癌、肺癌和肝癌:長期吸入含砷化合物所致的肺癌以鱗癌為主,其次是未分化癌。有關砷化物引起的職業癌的報導已有很多,其中不少為多部位的原發癌。足以誘發癌的吸入量差異很大。我國雲南錫礦山的氧化礦中平均含量1%,坑下作業環境中含砷量和礦工肺組織中難溶性砷含量為其他地區肺癌的幾十倍,因之目前認為是主要的致癌因素之一。礦工中同時患肺癌和皮膚癌或砷性皮炎的相當多見。套用含砷礦塵誘發大鼠的肺鱗癌已獲成功。
(3)、氯甲醚從1973 年開始發現生產離子交換樹脂時,暴露於二氯甲醚和氯甲甲醚的工人肺癌高發,為小細胞癌。氯甲醚經呼吸、皮膚或皮下注射對齧齒動物有強致癌作用。商品級的氯甲甲醚經常被氯甲醚所污染。商品級的氯甲甲醚的致癌性比較低。
3、大氣污染與肺癌 無論是美國還是英國,城市居民的肺癌病死率均高於鄉村,而且隨城市化的程度而升高。在重工業城市大氣中,存在著3,4-苯並芘、氧化亞砷、放射性物質、不燃的脂肪族碳氫化合物等致癌物質。污染嚴重的大城市中,居民每天吸入空氣的苯並芘量可超過20 支紙菸的含量,並增加紙菸的致癌作用。大氣中苯並芘含量每增加1~6.2μg/1000m3,肺癌的病死率可增加1%~15%。
4、飲食 一些研究已表明,血清中β-胡蘿蔔素水平低的人,肺癌發生的危險性也高。流行病學調查資料表明,較多的食用含β-胡蘿蔔素的綠色、黃色和橘黃色的蔬菜和水果,可減少肺癌發生的危險性。
5、其他危險因素 某些肺疾病與肺癌發病相關。如有慢性支氣管炎者較無此病者的肺癌發病率高1倍;已癒合的結核灶斑痕中可發生腺癌。此外病毒和真菌感染、遺傳因素也可能與肺癌發生有關。
病理生理
老年人肺癌2、肺癌的解剖學分類
(1)、中央型肺癌發生在段支氣管以上至主支氣管的癌稱為中央型,約占3/4,鱗狀上皮細胞癌和小細胞未分化癌較多見。
(2)、周圍型肺癌發生在段支氣管以下的癌稱為周圍型,約占1/4,以腺癌較多見。
3、肺癌的組織學分類 目前國內外對癌組織學分類仍不十分統一,但多數按細胞分化程度和形態特徵分為鱗狀上皮細胞癌,小細胞未分化癌,大細胞未分化癌和腺癌。
(1)、鱗癌(表皮樣癌):為一種具有角化和(或)細胞間橋的惡性上皮性腫瘤,按組織學分化程度分為3 級:
高分化:具有組織學和細胞學特徵,如分層明顯,細胞清晰,間橋和角化, 角珠形成。
中分化:介於高低分化之間。
低分化:腫瘤具有角化和(或)間橋,但大部分呈未分化或難辨認出鱗狀細胞癌的特徵。
鱗癌是肺癌中最常見者,鱗癌的發病因素與吸菸關係密切。多為男性吸菸者,年齡在50 歲以上,其進展在肺癌各類型中比較慢,遠處轉移率較低,5 年存活率較高。但對放射治療(簡稱放療)、化學藥物治療(簡稱化療)不如小細胞未分化癌敏感。鱗癌早期侵犯支氣管黏膜,逐漸向管腔內增殖,常早期引起支氣管狹窄,導致肺不張、肺炎或肺膿腫。癌組織亦可浸潤發展包圍支氣管,受侵犯的支氣管黏膜亦可壞死、潰瘍、出血。發生於肺周邊區的鱗癌,有10%~15%的癌灶中心部發生壞死,並空洞形成。
(2)、小細胞癌可分為3 個亞型:
①燕麥細胞癌:為一種由均勻一致的小細胞組成的惡性腫瘤,一般比淋巴細胞大。核緻密呈圓形或卵圓形,染色質彌散分布,核仁不顯,胞質極少,活檢標本常因擠壓而變形。電鏡下,胞質含有緻密軸心顆粒為其特點或見有發育差的橋粒。
②中間細胞型:為一種由小細胞組成的惡性腫瘤,細胞核的特徵與燕麥細胞癌相似。但胞質較豐富,細胞形態較不規則,可呈多角形或梭形。組織學和生物學特徵與燕麥細胞相似。
③複合燕麥細胞癌:有明確的燕麥細胞癌成分及鱗癌和(或)腺癌成分的腫瘤。小細胞癌是未分化癌之一種,常發生於主支氣管或葉支氣管,是肺癌中最惡的一種類型。早期在支氣管內沿黏膜下擴展生長,被覆的黏膜上皮稍隆起,皺襞消失,但上皮完整,在痰里很難檢查出脫落細胞。因此,纖維支氣管鏡檢查,對早期發現很重要。此癌分化差,生長迅速,很快通過淋巴和血流播散。腫瘤亦可直接浸潤到縱隔。
(3)、大細胞癌為一種惡性上皮性腫瘤。細胞核大,核仁明顯,胞質豐富,細胞界限清楚,無鱗癌、小細胞癌及腺癌的特徵,排列緊密的腫瘤細胞較均一,排列疏鬆者,癌細胞常顯多形性。分2 型:
①巨細胞癌:為大細胞癌的一種亞型:具有明顯的高度異形的巨核和多核細胞成分,腫瘤細胞可高度畸形。胞質內可含有多核白細胞,該型不包括伴有瘤巨細胞的鱗癌和腺癌。
②透明細胞癌:為大細胞癌的一種罕見類型。癌細胞胞質透明或泡沫狀,沒有黏液,伴或不伴糖原。該型不包括伴有透明細胞的鱗癌和腺癌,診斷時須排除腎癌轉移。大細胞癌轉移較小細胞未分化癌晚,手術切除機會較大。
(4)、腺癌分下列亞型:
①腺泡狀腺癌:以腺結構為主,即腺泡、腺管狀伴或不伴有乳頭或實體區域。
②乳頭狀腺癌:以乳頭結構為主的腺癌。
③細支氣管-肺泡細胞癌:為一種柱狀或高柱狀腫瘤細胞沿原有的肺泡壁生長的腺癌。
④實體癌伴黏液形成:為一種分化差的腺癌。缺乏腺泡及乳頭狀結構。但在許多癌細胞內含有黏液空泡。組織學特徵是核大,核仁明顯,胞質豐富,排列緊密,此型以是否伴黏液形成與大細胞癌做鑑別,診斷腺癌時須特別注意排除轉移癌的可能。腺癌常見於女性,多發於肺周邊部,其發生可能與肺慢性炎症及肺內瘢痕灶有關。與吸菸關係不大,易轉移至肝、腦和骨,更易累及胸膜而引起胸腔積液。
(5)、其他類型:
①腺鱗癌為一種具有腺癌和鱗癌兩種成分的癌。一般觀察其生物學行為與腺癌相似。本型在各型肺癌中的比例逐漸上升,日益引起重視。
②類癌為一種從枯氏(Kultschitzky)型細胞來源的內分泌系統腫瘤。腫瘤常為中央型,細胞呈多角型。胞質透亮或呈嗜伊紅顆粒狀,核大小規則呈橢圓形,核仁明顯,核分裂象罕見。細胞呈鑲嵌狀或小梁狀排列。肺類癌的嗜銀染色Fontana-Masson 染色,可能陰性,而大多數病例的嗜銀染色可以陽性。腫瘤可以多發。該型屬低度惡性,瘤體小,通常不伴類癌綜合徵,極少肺外轉移。
診斷檢查
老年人肺癌實驗室檢查:
1、痰細胞學檢查 一般認為中心型肺癌痰檢的陽性率較周邊型高。如果痰標本收集得當,3 次以上取系列痰標本可使中央型肺癌的診斷率提高80%。小細胞肺癌細胞學診斷與病理組織學診斷的符合率最高,其次為鱗癌。腺癌的符合率最低,主要原因是某些低分化腺癌、鱗癌和大細胞未分化癌在鑑別上有一定困難,有時很難定型。陽性率的高低還取決於標本的質量和送檢次數。一般認為送檢4~6 次為妥。
2、支氣管鏡檢查 纖維內鏡檢查發展迅速,目前已成為很多內臟疾病不可缺少的檢查手段之一。纖維支氣管鏡可在局麻下進行,操作方便,患者痛苦較少,可視範圍大。主支氣管、葉支氣管、段和次段支氣管的病變均可看到並可取活檢、刷片、照片。不但可診斷肺癌,對癌前病變也可確定性質和範圍。在肺癌的診治上已成為常規的方法之一。氣管內的腫瘤通過活檢、刷取或沖洗得到細胞學檢查來診斷。周邊腫瘤也可以通過螢光導引經支氣管吸取細胞進行診斷。近年來並發展可在鏡下注射藥物或導入雷射治療。經支氣管鏡活檢的主要併發症是出血、喉痙攣、低氧血症、氣胸和感染加重。
3、經胸腔的細針穿刺活檢 經胸腔的針刺活檢診斷,對可疑的周邊病灶比支氣鏡檢查更為可靠。通常是在X 線透視下進行,如果病灶靠近胸壁在超聲指引下進行更有幫助。如果病灶在透視下不容易看到或是靠近致命器官大血管,在CT指引下針刺取活檢更好。經胸腔針刺活檢的常見併發症是氣胸。
4、開胸活檢 開胸活檢是損傷最多的檢查方法。但是在其他方法不能作出肯定診斷時,開胸活檢有時也是必要的。對於一個有肺實質孤立結節,除非放射或臨床能夠肯定是良性的之外,“觀察等待”的態度對肺癌是不可取的。如果病人一般情況好應當開胸活檢。肺癌即使腫瘤直徑小於2cm,仍可以轉移至局部淋巴結和全身擴散。
5、血清學檢查 部分肺癌患者的血清和切除的腫瘤組織中含有一種或多種生物活性物質,如激素、酶、抗原和癌胚抗原等。其中神經特異性烯醇化酶(NEC)在小細胞癌中的陽性率可達成100%,敏感度為70%,與病情分期、腫瘤負荷密切相關,可考慮作為小細胞癌的血清標誌物。癌胚抗原(CEA)在肺腺癌中陽性率達60%~80%,反映病情變化。但是,上述檢查都缺乏特異性,僅有參考意義。
其他輔助檢查:
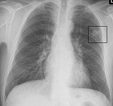
1、影像室檢查 肺癌的影像診斷中,最基本的是胸部X 線攝片,體層攝影則是胸片的補充檢查方法。但我們也得承認隨著CT、MRI 在傳統的胸部X 線診斷基礎上,對肺癌的定性、定位、分期的診斷有了很大的提高。
(1)、肺癌的X 線表現:
老年人肺癌A、瘤體徵象:體層片上可顯示病變支氣管腔的狹窄和其周圍的管壁腫塊,並可顯示管內型癌腫在胸片上一般不能明確顯示的軟組織腫物陰影。支氣管體層片上可表現為支氣管腔狹窄呈鼠尾狀,或支氣管管腔呈局限性環形狹窄;也可見支氣管腔突然呈杯口狀;或可見支氣管管腔閉塞,漸而變細,呈漏斗狀,中心常偏一側。
B、支氣管阻塞徵象:
a、局限性肺氣腫:是中央型肺癌的早期徵象,表現為受累範圍內肺體積增大,肺野透亮度增加,肺紋理稀少。
b、阻塞性肺炎:中央型肺癌60%~80%發生於段支氣管內,部分涉及葉支氣管。胸片顯示段或葉分布的淡薄陰影伴肺紋理增深。
c、肺不張:腫瘤增大,加上炎性分泌物和水腫所致支氣管完全阻塞的結果。肺不張的直接徵象為:葉間裂移位,阻塞的肺葉、肺段密度增高,血管和支氣管影聚攏。間接徵象有縱隔和肺門向患側牽拉移位,膈肌升高,肋間隙狹窄,胸廓變狹。如肺不張伴有肺門腫塊時,可見肺不張下緣伸橫“S”形邊緣。
②周圍型肺癌:表現為密度不勻之不規則浸潤樣影,瘤體可呈平滑邊緣的無分葉球形,但多數情況下,瘤體邊緣是分葉狀的,即謂之“分葉征”。肺癌的分葉徵象出現率較高達80%,故對其鑑別診斷有一定意義。瘤體陰影的邊緣在X 線片上常較模糊而不銳利,典型者為細短狀毛刺影。如發生癌性空洞,形態可分為厚壁空洞、薄壁空洞和多發小空洞。空洞壁的各部分厚薄不勻,內壁不整,有時可見附壁結節。空洞多見於鱗癌。
③細支氣管-肺泡癌:有2 種類型的表現:結節型與圓型肺癌的病灶不易區別。瀰漫型者為兩肺大小不等的結節狀播散病灶,邊界清楚,密度較深,隨病情發展逐漸增多和增大,常伴有較深的網織狀陰影,表現頗似血行播散型肺結核,應予鑑別。
④肺癌轉移的X 線徵象:
A、淋巴結腫大:通常X 線平片上就能夠顯示,主要表現為肺門陰影增大,肺門腫塊。
B、血行轉移:可發生在同側或對側肺,也可兩側肺均發生。X 線表現為肺內多髮結節狀或小斑片狀陰影,大小不等,密度均勻較淡,少部分轉移灶可有空洞形成,單個孤立性轉移灶可有分葉。
C、胸腔侵犯:肺癌侵犯胸膜,可產生胸腔積液,大多數為血性。積液量往往較大,且發展很快。有時,胸腔積液可由於包裹局限在葉間裂,也可在肺底部積聚。
D、胸壁侵犯:肺癌直接侵犯胸壁、肋骨、脊柱,產生軟組織腫塊和肋骨、脊柱骨破壞。
E、心包侵犯:主要表現為心包積液,心影增大,呈燒瓶樣,心臟搏動減弱。
(2)、肺癌的CT 表現:胸部CT 對常規胸片上難以顯示的肺隱蔽部位,如胸骨後方、心後區、脊椎旁、奇靜脈食管窩、肺尖部肺門後方、後肋膈角等處腫瘤的顯示明顯優於X 線片。螺鏇CT(spiral CT)對病灶大於3mm 者多能發現。它對轉移癌的發現率比普通段層高。
3、核素檢查 套用放射性核素顯影的方法診斷肺癌,已成為肺部疾病的重要輔助診方法。根據核素顯影方式的不同,而分為兩類:一類是由於肺部病變性質不同,局部肺功能受損狀態也不同,可在核素顯像圖上呈現相應的放射性缺損區,從而可做出病變性質的分析,此種肺顯像稱為陰性顯像。另一類是根據腫瘤對某種核素的特殊親和性而得出腫瘤部位核素聚集的顯影圖像,稱為陽性顯像。目前對肺癌多用半衰期短的陽性顯影劑,如枸緣酸鎵、鈷博來黴素等有親腫瘤特性。在正常和非腫瘤部位濃聚減少,可以此來鑑別肺腫瘤的良惡性,但特異性差,假陽性高達35.7%。
上述分期試用於臨床治療。T、N、M 的含意,分別解釋於下:
T 原發支氣管肺癌。
T0 未發支氣管肺癌。
Tx 細胞學陰性,未找到腫瘤。Tis 原位癌。
T1 腫瘤的最大直徑≤3.0cm,周圍為肺組織或髒層胸膜所包繞。支氣管鏡檢查時未見向葉支氣管侵犯。
T2 腫瘤的最大直徑>3.0cm,或侵犯髒層胸膜或擴展到肺門區的肺不張、阻塞性肺炎者。支氣管鏡可見腫瘤的近端位於葉支氣管內或距離支氣管隆凸2.0cm以上。
T3 腫瘤大小不論,直接擴張到胸壁(包括上溝瘤),橫膈或縱隔胸膜或心包,未侵犯心臟、大血管、氣管、食管或椎體者或未侵及氣管隆凸的位於主支氣管離氣管隆凸2.0cm 以內的腫瘤。
T4 腫瘤大小不論,侵犯縱隔或心臟、大血管、食管、椎體或氣管隆凸者,或有惡性胸腔積液者。或有PANCOAST 綜合徵。
N0 未證實有區域淋巴結的轉移。
N1 轉移至支氣管周淋巴結或同側肺門區淋巴結或向二者轉移,包括直接擴展。
N2 轉移至同側縱隔淋巴結及氣管隆凸下淋巴結。
N3 轉移至對側縱隔淋巴結,對側肺門淋巴結,同側或對側斜角肌或鎖骨上淋巴結。
N0 尚未有遠處轉移。
M1 有遠處轉移——說明部位。
鑑別診斷
1、肺結核
(1)、結核球:常位於結核好發部位,邊界清楚,可有包膜。密度較高時可有鈣化點,周圍可見纖維結節狀衛星病灶。
(2)、肺門淋巴結結核:多有發熱等中毒症狀,結核菌素試驗強陽性,抗結核治療有效。
(3)、粟粒性肺結核:發熱等全身症狀,X 線見雙肺病灶呈大小均等、分布均勻、密度較淡的粟粒狀結節。
2、肺炎 起病急,有中毒症狀,抗生素治療病灶吸收快;炎性假瘤往往形態不規整,邊緣不齊,有密度較深核心,常伴有胸膜增厚,病灶長期無變化。但需注意腫瘤致阻塞性肺炎可能。
3、肺膿腫 急性起病,全身中毒症狀重伴有大量膿痰,X 線見均勻的大片炎性陰影,其間可見薄壁空洞和液平。血象明顯增高,中性粒細胞分類增高,抗生素治療有效。
4、結核性胸膜炎 癌性胸腔積液應與結核性胸膜炎鑑別,癌性多無中毒症狀,胸水多為血性,增長迅速,有胸痛時呈持續性進行性加重,胸水反覆多次找癌細胞有助於鑑別。
治療方案
化療 (1)、綜合治療方案:對於多數早期NSCLC 和SCLC 病例,通過綜合治療可以提高病人的治癒率和生活質量;對中晚期病人,通過綜合治療也有相當部分可得緩解,並能延長生存期和改善生活質量。不難理解,肺癌的治療應當首先考慮病理類型,其次要明確侵犯的範圍,並且還要注意機體免疫和疾病之間的平衡。實際上是辨證論治的治療。
①SCLC 的綜合治療方案:SCLC 綜合治療優於單一治療已為學術界公認。放射治療和化學治療的近期療效都較好,有效率在80%左右,有20%~80%的病人治療後可達完全緩解,但遠期結果較差。20 年前文獻報導中SCLC 的5 年生存率局限期為7%(58/862),廣泛期為1%(14/1144)。較近的幾組報導有了一定提高,但差異很大。小細胞肺癌全身化療肯定能延長生存,改善症狀,對以前未曾治療過的大多數病人可以縮小腫塊。但是單獨化療很少能達到治癒,由於耐藥問題通常緩解不足1 年。因此綜合治療就是達到根治的關鍵。
A、局限期SCLC 的治療:
a、首先化療和放療,加或不加顱照射。
b、化療和放射治療後手術切除受侵的肺葉。
B、廣泛期SCLC 的治療:
a、化療加局部放療。
b、骨、顱內、脊柱等處病變首選放療以儘快解除症狀。
C、復發SCLC 的處理:
a、放療或化療以解除症狀。
b、試用新藥。
②NSCLC 的綜合治療:儘管多年來人們試圖通過綜合治療提高NSCLC 的治癒率,但成功的經驗不多。目前各期NSCLC 綜合治療原則,美國國立癌症研究所各期NSCIC 的處理方案如下:
A.0 期NSCLC 的處理:在定位前不應貿然手術。對可疑病變應採用雷射治療。爭取定位後手術切除。
B、Ⅰ期NSCLC 的處理:
手術治療b、不能耐受手術的病人酌情放療。
c、手術後輔助化療尚無一致意見,有建議用生物治療。
d、化學預防。
C、Ⅱ期NSCLC 的處理:
a、手術切除腫瘤和區域淋巴結。
b、不能耐受手術的病人可放療。
c、手術或放療後較多贊同輔助化療。
D、Ⅲa 期NSCLC 的處理:
a、手術術後輔助化療和(或)放療。
b、術前誘導化療後手術,手術後根據情況進行其他治療。
c、放療加化療。
E、Ⅲb 期NSCLC 的處理:
a、化療或加放療後有條件者爭取手術,術後化療。
b、放療(化療)後手術。
c、化療。
F、Ⅳ期NSCLC 的處理:化療或輔以放療。
G、復發病人的處理:
a、放療控制症狀。
b、化療。
c、放療加化療。
d、顱內病變如很小可進行γ刀治療;如多發應全顱照射。
e、骨轉移可進行內或外照射。
f、局部復發也可考慮再手術。
(2)、手術治療:
①非小細胞肺癌(NSCLC):Ⅱ期NSCLC 手術治療效果良好,只要病人一般狀況允許,心肺功能能耐受即可行,可取得良好的效果。對Ⅲa 病人首先進行手術切除治療,T3 是原發腫瘤已有局部周圍組織受侵,很難完全切淨,遠期結果不理想,所以術後多主張進行化療。對於Ⅲb 病人一般認為已無手術指征。但由於袖式手術的開展,對某些T4 病變如隆突受侵已能完全切除,所以也有人首先進行手術治療。現在十分受人重視的是先期化療,以後再手術。美國退伍軍人肺癌研究組曾將132 例可手術的NSCLC 病人隨機分為2 組:一組在術前先作化療;另一組只作手術。結果兩組5 年生存率T1~T2N0 病人分別為60%及28%;T1~T2N1病人為31%和9%;T3或N2 病人為3.6%和0,說明先做化療後手術病人的生存率高於單純手術的病人。
②小細胞肺癌(SCLC):早年的報導在少見的孤立性小細胞肺癌,手術治療的效果良好。如Higgins 在1975 年報導11 例Ⅰ期病人,手術切除後5 年生存率為36%。但這樣的病人只占就診人數的1%。近年來很多人重新對SCLC 的手術治療有興趣, 其原因有二:
A、有效的輔助化療可以提高Ⅰ、Ⅱ期SCLC 患者的生存率。
B、化療及(或)放療後手術切除殘存的耐藥細胞及可能存在的非小細胞成分,能在相當程度上提高治癒率。SCLC 的手術切除在化療後進行,理論上可能比化療前進行更為有效。化療可以有效地殺滅潛在的遠處轉移腫瘤病灶,後者是治療失敗的主要原因。對化療有效的病人進行手術治療才能獲得益處。化療後腫瘤縮小,可增加手術切除的機會。
③肺癌外科治療的新發展:
A、胸腔鏡下手術:1986 年突起在電視監視下經胸鏡做肺切除術,現在許多國家都在開展。通過胸部幾個小切口,經肋間插入胸腔鏡管,從電視螢幕上觀察胸內情況,進行各種胸內手術,包括肺楔形切除,肺葉切除,甚至全肺切除,縱隔腫瘤切除,食管部分切除等手術。手術的優點是創傷小,恢復快,一般1 周左右可以出院。術後痛苦少是突出優點。
B、光動力學治療:利用血卟啉(HPD)和雷射治療早期肺癌的光動力學治療(PDT)。靜脈注射:HPD2.5~5mg/kg 或photoforⅡ2mg/kg,用100J/cm3 能量的雷射對淺表直徑<0.5cm 的早期鱗癌,通過支氣管鏡把腫瘤燒灼切除乾淨。因此只有在鏡下可以完全看到腫瘤者有其適應證。不開胸能切肺是其優點,但局部復發也常有發生,而且適應證比較局限。
放射治療①非小細胞肺癌(NSCLC)的放射治療:放射治療對較早期病人,有相當比率可以達到根治效果。
A、根治性放射治療:有關資料報導經放射治療後腫瘤量達60Gy 可使50%的原發灶消失,而肺門淋巴結及縱隔淋巴結消失率更高。大多數病人能耐受而無嚴重的近期或後期併發症。根治性放射治療一般使用常規照射方法,即1 次/d,每次1.8~2Gy,每周照射5 次。亞臨床灶劑量45~50Gy,原發灶和臨床可見肺門縱隔淋巴結為60~65Gy,腺癌可達70Gy。採用非常規放射治療方法者,一般放療劑量需增加10%,即70Gy 左右。
B、術前放射治療:目前對肺癌術前放療價值尚有爭論,但在下列幾方面,其作用是肯定的。①半數左右病例的局部肺癌及60%左右的肺門縱隔淋巴結轉移灶,在較高劑量的術前放療後可以得到局部控制。②術前放療雖未能顯著提高肺癌的5 年生存率,但它有助於提高肺癌手術切除率。③術前放療有助於縮小手術範圍,單純手術需全肺切除者可改成肺葉切除術,改善病人生存質量。術前放療多採用根治劑量50~69Gy/5~6 周,休息4~8 周后手術;多數採用常規放療方法,腫瘤量40~50Gy/4~5 周,放療結束後1 個月左右進行手術。
C、術後放射治療:因肺癌為全身性疾病,手術切除瘤體的同時,亦增加了血行、淋巴轉移的機會,故我們的臨床治療體會為術後先內科輔助化療4~6 周期,再行放療。術後放療對病理證實手術切緣陽性,肺門和縱隔淋巴結轉移或腫瘤殘留於胸腔內的病例能提高生存率。
D、姑息性放射治療:對中晚期肺癌進行姑息性放療原則上應不增加病人體質負擔,爭取減輕痛苦,緩解症狀,改善其生存質量。對於上腔靜脈壓迫症的肺癌(SVCS)、肺癌合併肺不張、肺癌肺內轉移、腦轉移、骨轉移,放療有良好的姑息性效果,可達部分臨床緩解,但不能達到根治。
②小細胞肺癌(SCLC)的放射治療:SCLC 是全身性疾病,治療以全身化療為主,放射治療對局限期小細胞肺癌經很多研究者證實有良好療效。目前的熱點是放療加化療的結果。BUNN(1993)曾分析過去20 年內12 組隨機對比研究的結果,不論從完全有效率、局部完全控制率、遠期生存情況均說明綜合治療優於單放療或單化療。SCLC 放療技術基本同NSCLC,放療範圍應包括原發灶、同側肺門及縱隔和已有淋巴結轉移灶,並包括較廣泛的鄰近淋巴引流區。它雖然對放射線最為敏感,但為有效的控制腫瘤,總劑量仍需與其他類型肺癌相同,原發灶腫瘤是60Gy/(30次/6 周)。
(4)、藥物治療:由於肺癌病人在診斷時有2/3 已經超越了手術切除的範圍,1/2 已經有了臨床或潛在的播散,化療在臨床上占較重要的地位。肺癌的藥物治療有化學治療、生物治療、中醫中藥治療、基因治療等。肺癌放射治療後有哪些不良反應
一、放射性肺炎:肺癌病人放療中或放療後,出現咳嗽,氣急,胸悶氣短,口乾,發熱,吐黃痰背疼痛,舌質紅,苔黃,脈弦數。X片示放射區域炎症。
二、消化道反應:肺癌放療中噁心嘔吐,食慾減退,腹脹,疲憊無力,舌質淡紅,苔薄黃燥,脈細弱。
三、骨髓抑制:患者臉色無華,頭暈目眩,氣短乏力,夜寐不寧,舌質淡紅,脈細無力。肺癌放射治療後需要注意哪些事項?
四、放射性皮炎:放療可直接引起皮膚損害,輕者色素沉著,皮膚粗糙,痙癢,重者皮膚增厚,水腫,疹甚者破潰、滲液,難以癒合。
五、放療後遺症:口咽部反應。放療後出現口乾舌燥,咽部疼痛,唾液分泌減少,舌質淡紅,苔薄黃燥,脈細。
①肺癌有效的抗腫瘤藥物
A、長春鹼類:有長春新鹼(VCR)、硫酸長春鹼(長春花鹼;VLB),它作用於細胞的M 期,對NSCLC 的有效率(responsive rate)RR 為22%,SCLC 為24%,其主要副反應為神經系和骨髓。近幾年問世的長春地辛(長春鹼醯胺;VDS),其骨髓抑制介於長春新鹼和硫酸長春鹼(長春花鹼)之間。
B、鬼臼類藥物:如依託泊苷(鬼臼乙叉甙;Vp16-213),它有2 種劑型靜脈注射和近年研製的口服軟膠囊。替尼泊苷(鬼臼噻吩;Vm26 威猛;SVp-16)。二者對SCLC 均有效,且無交叉耐藥。後者的口服軟膠囊(威克)對復治的SCLC,即使以往曾用過依託泊苷(Vp16)靜脈注液治療者亦有的45.5%~55%的RR。因此依託泊苷(Vp16),軟膠囊被譽為治療SCLC 的一種新藥,依託泊苷(Vp16)軟膠囊為50mg 2 次/d×10 天,繼以50mg ,1 次/d×10 天。Vm26 具有能進入血腦屏障的優點,故可用於腦轉移,其劑量為100mg,1 次/d,靜滴3 次,它是1989年國際肺癌研究協會專題討論中作為SCIC 的推薦用藥,並可和鉑類化合物合用有一定的協同作用。
C、金屬鉑類藥物:它在肺癌治療中也占有重要的地位,順鉑對NSCLC 的作用更為重要,高劑量可提高療效,劑量為80~120mg/m2。自從抗5H3 受體止吐藥物的出現為高劑量順鉑的套用創造有利條件。卡鉑對SCLC 的套用頗具前景,劑量可逐漸增加,甚至達到1.6~2g/m2,其嘔吐、腎臟的副反應雖輕,但一旦出現骨髓抑制則持續時間較長不易恢復,嚴重者可致死亡。化療周期結束後應配合套用G-CSF 等生物反應調節劑。
D、環磷醯胺(CTX):環磷醯胺(CTX)目前仍常套用於肺癌治療,不失為有效的細胞毒藥物,其同類衍生物異環磷醯胺(Ifos)對SCLC 效果令人滿意,如CAO 方案的RR 至45%~60%間,異環磷醯胺(Ifos)代替環磷醯胺(CTX)的LAO 方案,RR可達78.6%。
E、紫杉醇(Paclitaxel):為一種取自紫杉樹皮及針葉中提取的生物鹼類藥物,現已半合成成功(紫杉醇(Taxol)),其作用在於促使微管集合,抑制M 期微管的去聚合作用,以致微束功能異常。它可用於多種腫瘤,包括SCLC、NSCLC在內,單藥RR 分別為50%和33%。和卡鉑或順鉑合用的有效率可達40%~50%,和異環磷醯胺合用為34%。紫杉醇的商品名有:紫素(北京),特素(海南),泰素(美國),安素泰(澳大利亞)等。一般用法為135~170mg/m2,靜脈滴注3h,每3周重複1 次,2~4 周期為1 療程。為了防止不良反應需預處理和在第1 次注射時注意觀察病人的症狀和生命體徵。
F、多西紫杉醇(泰索帝,Taxotere):對NSCLC 的作用也比較肯定,單用有效率為20%~30%,對紫杉醇化療耐藥的復發病人亦有較好的臨床緩解率。
G、吉西他濱(健擇,Gemzar)。為近年來比較突出的對肺癌有效的抗代謝抗腫瘤藥,單藥有效率20%左右,和順鉑合用有效率為42%~58%,也可和其他抗腫瘤藥合用。一般用法為1000mg/m2,靜脈滴注,每周注射1 次,連續3 周,休息1周后再注射3 周。
H、長春瑞濱(去甲長春花鹼)(商品名諾維本,Navelbine):對肺癌的療效已經肯定。最近歐洲對以往報導的612 例進行了隨訪,長春瑞濱(NVB)單藥的1、2年生存率分別為30%和9%;長春瑞濱(NVB)+DDP 組分別為33%和15%;長春地辛(VDS)+DDP 組分別為27%和9%。現在觀察長春瑞濱(NVB)和很多有效新藥聯合套用的結果。在可統計近期療效的552 例中總有效率47.1%,單藥治療對肺癌的有效率為33.3%,和順鉑全用有效率為42.0%。一般用法為25~30mg/m2,在第1、8 天靜脈滴注,每3 周重複1 次。2~4 周為1 療程。本品對靜脈有刺激,滴注後套用生理鹽水沖洗靜脈。
I、喜樹鹼衍生物:主要作用於拓撲異構酶Ⅰ,目前正在進行臨床試用。初步結果明伊立替康(CPT-11)(商品名Irinotecan)在NSCLC 單藥有效率為15%,和放射並用有效率為77%,但由於可能引起嚴重腹瀉臨床套用受到一定限制。另一衍生物拓撲替康(Topotecan)對小細胞肺癌單藥有效率為10%~33%。拓撲替康單藥和常用聯合化療方案CAV 對比前者的有效率為25%(16/64),CAV 為15%(9/61)。
②化療方案介紹:常用的聯合化療方案如下:
SCLC 化療:
A、EP 依託泊苷(VP-16) 80mg/m2 靜脈滴注 第1~5 天DDP 20mg/m2 靜脈滴注 第1~5 天每3 周重複1 次,3 周期為1 療程
B、IEP 異環磷醯胺(IFO) 1.2/m2 靜脈滴注 第1~4 天(同時用尿路保護劑美司鈉0.4 靜注q4hX3)依託泊苷(VP-16) 80mg/m2 靜脈滴注 第1~3 天DDP 20mg/m2 靜脈滴注 第1~3 天每4 周重複1 次,3 周期為1 療程
C、CAV 環磷醯胺(CTX)1000mg/m2 靜脈滴注 第1 天ADM 40mg/m2 靜注 第1 天長春新鹼(VCR )1mg/m2 靜注 第1 天每3 周重複1 次,6 周期為1 療程
D、ACE ADM 40mg/m2 靜注 第1 天環磷醯胺(CTX ) 600mg/m2 靜脈滴注 第1 天依託泊苷(VP-16) 100mg/m2 靜脈滴注 第1~3 天每3 周重複1 次,3 周期為1 療程
E、CVM CBP 300mg/m2 靜脈滴注 第1 天硫酸長春鹼(VLB ) 6mg/m2 靜注 第1 天甲氨蝶呤(MTX ) 30mg/m2 靜注 第1 天每4 周重複1 次,3 周期為1 療程
F、CAVE 環磷醯胺(CTX) 1000mg/m2 靜脈滴注 第1 天ADM 50mg/m2 靜脈滴注 第1 天長春新鹼(VCR ) 1.5mg/m2 靜注 第1 天依託泊苷(VP-16) 60mg/m2 靜脈滴注 第1~5 天每4 周重複1,3 周期為1 療程
③癌性胸水的腔內注射治療:肺癌惡性胸水多發生在肺癌的中晚期,目前治療僅停留在姑息治療階段,通常是以胸腔內局部治療為主。單純反覆多次抽液會導致蛋白質大量丟失。
A、故臨床多採用胸腔內化療,能刺激髒層和壁層胸膜間皮纖維化,抑制癌性積液的再生,常用的化療藥物有博萊黴素、氮芥、順鉑、多柔比星(阿黴素)、依託泊苷(VP16)、5-氟尿嘧啶、塞替派等。
B、另外,胸腔內注射生物製劑和免疫調節劑,不但能使胸膜腔閉塞,且能誘導產生自然殺傷細胞等免疫效應細胞。常用藥物有CP(小棒狀桿菌)、OK-432、阿地白介素(IL-2)、高聚金葡素(BM-828)、紅色諾卡氏菌細胞壁骨架(M-CWS,胞必佳)等。
④免疫治療:隨著動物腫瘤特異性移植抗原的發現,開展了一系列特異和非特異性腫瘤免疫治療的研究。部分免疫調節劑,如凍乾卡介苗(BCG)、短小棒狀桿菌、左鏇咪唑,可溶性腫瘤抗原試用於臨床後,取得了有限的療效。生物製劑如阿地白介素(白細胞介素2,IL-2)、干擾素(IFN)、活性肽/胺基酸(斯普林)及多肽/糖肽(保爾佳)等,可殺滅靜止期腫瘤細胞,起到抗腫瘤目的。胸腺素、TIL 細胞、甘露聚糖肽(多抗甲素)、核糖核酸等也可起到輔助治療作用。
⑤中醫、中藥治療:臨床和實驗研究證明,中醫藥治療具有一定的免疫調節作用和抑瘤作用,不良反應甚小。目前套用到臨床的中藥主要有康萊特、參麥、岩舒、艾迪等,可以促進體力恢復,增強免疫功能,達到協同增效、減毒抗癌的目的。
⑥基因治療:腫瘤被稱之為基因病,是由於腫瘤的發生和發展與基因的異常密切相關聯。影響細胞正常生長和分化的基因,包括了原癌基因、抑癌基因、細胞周期調節基因、DNA 修復基因等,這些基因中的多個基因異常改變,協同作用的結果產生了腫瘤。根據目前已有的大量研究,肺癌主要涉及的癌基因有ras、myc、erbB 等,抑癌基因有3P、Rb、p53 等,這些基因的異常改變,除了與肺癌的發生有關外,還與腫瘤的浸潤、轉移和復發有關。
2、擇優方案
(1)、對SCLC 顯效的標準方案:以套用含有鉑類及其衍生物結果優於其他方案,包括順鉑+依託泊苷(VP-16)(PE)、卡鉑+依託泊苷(VP-16)(CE)、環磷醯胺(CTX)+ADM+依託泊苷(VP-16)(CAE)和CE 或PE 與CAV 交替,並加用羥喜樹鹼(HCFT10~15mg 第1~5 天,靜注)均為4~6 周期,以減少發生耐藥的機會。在適當情況下,套用能夠透過血腦屏
(2)、目前對NSCLC 較好的化療方案:包括長春瑞濱(諾威本)+順鉑、紫杉醇+順鉑、吉西他濱(健擇)+順鉑。對於紫杉醇化療失敗的病人,套用多西紫杉醇(泰索帝),無交叉耐藥,仍可取得一定的緩解率。只是目前紫杉醇,多西紫杉醇(泰索帝)及吉西他濱(健擇)價格昂貴,限制了其廣泛臨床套用。
3、康復治療 治療後康復的目的是防止併發症、改善呼吸功能、減少身體和心理疼痛和幫助病人再適應社會。我們強調以下3 種治療方法的效果。對接受手術治療的病人術後控制疼痛有利於保持胸腔活動和肺的擴張。除了用麻醉鎮痛以外,還應包括肌肉放鬆和心理治療等重要的技術。其他增進肺功能的技術有:早期下床活動;深呼吸運動,最好是直立體位;主動增加咳痰等。有時需要支氣管鏡引流以防止黏膜分泌物瀦留和阻塞性肺炎。重要的長期術後併發症必須控制,如支氣管胸膜瘺或膿胸需要長期引流。對於小劑量姑息放射治療的病人,康復可能不是主要的問題;但對於大劑量胸部照射的病人為了保持照射器官的功能,放療後處理是必要的。皮膚反應一般無大問題,但在放射治療期間和治療後幾星期必須對伴有臨床症狀的放射性食管炎的處理,特別是合併化療的病人。照射部位的正常或有病變的肺臟的肺組織在照射期間和照射後可能有炎性反應並慢慢地進展為纖維化改變,結果會造成一些功能的喪失。鍛鍊、活動、及時治療感染,和提供建議可以幫助病人適應這些改變。有的病人可在照射區域以外的由於放射誘導的體液因子的過敏反應產生有臨床症狀的肺炎,需要激素和其他治療。長期的化療可以導致病人一般狀況下降,並加重放射和手術引起的不良反應。但是,通過仔細監測血象和器官功能,並給予支持治療(如新的止嘔劑藥、造血因子等等)目前已經很少發生嚴重問題。一般用藥時應當注意重要器官(肝、腎、心、肺等)的敏感性,並相應調整劑量。新近的趨向是注意尋找提高病人的生活質量,充分衡量治療帶來效果和負擔以及可能致命的併發症之間的平衡。因之可以理解在這一領域內很多問題有待進一步解決。
併發症
主要併發症有肺不張、阻塞性肺炎、上腔靜脈壓綜合徵和腫瘤隨伴綜合徵等。
預後及預防
老年人肺癌預防:
1、三級預防
一級預防:又稱病因預防。是針對病因及危險因素採取的預防措施。肺癌防治研究在流行病學、病因學以及早診早治中均有極其重要地位。建立肺癌防治研究機構,大力開展防治肺癌的宣傳教育工作,採取各種宣傳方式,普及防治肺癌知識。加強對已知的致癌因素的控制:制定環境保護法規,設立大氣污染的監測機構,嚴格控制工業三廢污染,以求達到減輕大氣污染的目的。對輻射污染問題也應嚴格控制。控制吸菸,大力宣傳吸菸有引起肺癌的危險。禁止未成年者吸菸,禁止在公共場所或通風不良的密閉房間裡吸菸,對吸菸指數(每天吸菸的支數和吸菸年數的乘積)達400 以上的重吸菸者進行定期檢查,建立三防(防癌、防癆、防塵肺)隨訪卡;採取多種形式宣傳闡述戒菸後可降低肺癌的發病率,鼓勵戒菸,特別是對接觸職業性致肺癌因子的職工的宣傳,使之認識到吸菸和職業性致癌因素有相加甚至相乘作用。開展職業性肺癌的流行病學調查,改革工藝過程,做好防煙、防塵、防污工作,最大限度地限制和避免工人和工程技術人員接觸已知的職業性致癌物質。在食物方面應經常攝取胡蘿蔔、菠菜等富於維生素A、維生素C 的蔬菜及南瓜、鮮辣椒等,對預防肺癌的發生也有一定的作用。
二級預防:由於肺癌臨床前期時間較長,症狀和體徵不典型。因此對40 歲以上長期吸菸者、職業接觸致癌物質等高危人群開展肺癌的普查是很必要的。普查方法可分為3 種:影像學檢查,即胸透或胸部X 線攝片檢查,爭取每年檢查1次;細胞學檢查,即痰脫落細胞學檢查,3 次以上的系列痰標本可使中央型肺癌的診斷率提高至80%;血清學檢查,如激素、酶、抗原和癌胚抗原(CEA)等的水平CEA 在肺腺癌中陽性率達60%~80%,可考慮作為小細胞癌的血清標誌物。
三級預防:呼吸道的慢性炎症以及其他一些慢性呼吸道疾病均可引起氣管上皮鱗狀化生,因而積極地防治癌前狀態和癌前病變對預防肺癌是有一定意義的。
2、危險因素及干預措施 通過對肺癌流行病學及病因學的大量研究工作,充分反映了肺癌的發生與環境因素的關係極為密切,因此控制及消除人體內外環境中已知的各種致癌因素,即有可能降低肺癌的發生率和病死率。大力培養訓練肺癌防治研究專業人員,建立肺癌防治網。對高發地區、高發人群中導致肺癌因素進行管理。對高發人群進行定期綜合檢查。加強法制,制定環境保護法規,對新建的工礦企業,應統一規劃,合理布局,嚴格審查設計方案,必須要有完善的消除三廢污染的措施,方能準許投建,要最大限度地減少污染。對現有的企業進行技術改造,對三廢要進行綜合治理,化害為利。制定標準,嚴格控制生產環境中有害物質的濃度。大力宣傳吸菸的危害,鼓勵戒菸,加強職業接觸致癌物的勞動保護,減少肺癌的發病危險。
3、社區干預 採取宣傳欄等多種形式宣傳吸菸有引起肺癌的危險,促使公民禁菸或戒菸,宣傳吸菸對胎兒的危害,極力提倡孕婦戒菸;飲食方面多攝入富於維生素A、C,β-胡蘿蔔素等新鮮水果蔬菜,對預防肺癌有一定作用。增強民眾環保意識,種植花草樹木,美化及改善環境。減輕大氣污染,發展電動車輛,民用燃料電氣化,發展太陽能,套用無害能源。
流行病學
肺癌是當今世界上對人類健康與生命危害最大的惡性腫瘤。估計1985年全世界肺癌發病人數為89.6 萬例,占全部惡性腫瘤的11.8%,居惡性腫瘤的首位。近半個世紀以來,世界上許多國家和地區肺癌的發病率和病死率都有所增加,有些工業發達的國家更為明顯,我國許多地區肺癌亦呈增長趨勢,大城市已占惡性腫瘤的首位。
1、肺癌的地區分布 世界上各地區肺癌發病率和病死率相差很大,一般工業比較發達的國家和地區肺癌發病率高。在男性的常見惡性腫瘤中占首位,在女性的常見惡性腫瘤中占第2、3 位。美國從20 世紀40 年代到80 年代,肺癌發生率在男性提高22.5 倍,由27/10萬人口到89/10 萬人口,幾乎每年增高3%。但在1984 年以後,由於開展戒菸運動,發病率已不再上升。同期女性肺癌由7/10 萬人口上升到35/10 萬人口,而且仍在不斷升高。自1987 年以來,美國女性死於肺癌的人數已超過乳腺癌,已占常見腫瘤的首位。日本從1950~1980 年,肺癌病死率在男性提高10 倍,女性7.5 倍。人們預期到本世紀末,肺癌將占多數已開發國家和其他國家常見惡性腫瘤的第1、2 位。據美國癌症協會(ACS)估計,在1998 年美國肺癌死亡將占癌症死亡總數的28%~29%。所以是一個嚴重威脅人民健康和生命的疾病。我國1973~1975 年全國腫瘤死亡回顧調查表明,當時肺癌占男性常見惡性腫瘤的第4 位,在女性中占第5 位。1990~1992 年的抽樣調查肺癌調整病死率男性由70 年代9.94/10 萬提高到21.96/10 萬,增加120.93%;女性由4.59/10萬提高到8.74/10 萬,增加90.41%。在腫瘤死亡中城市由原來的第4 位上升為第1 位;農村上升最快的也是肺癌。
2、肺癌發病、死亡的增長趨勢 肺癌的發病率和病死率在世界上許多國家呈急劇增長的趨勢。根據15 個國家50~70 年代,肺癌病死率統計資料:除奧地利稍有下降外,其餘14 個國家都呈不同程度的增長,增長最多的是日本408%,其次是愛爾蘭177%,美國148%,澳大利亞146%,紐西蘭137%,挪威118%,丹麥87%,荷蘭89%。國內肺癌發病與死亡在許多地區都呈上升趨勢。上海市區1987~1989 年與1972~1974 年比較,男性肺癌發病率增長了18.7%,居各種惡性腫瘤發病率的首位。女性同期增長了4.5%,占發病的第3 位。北京市區肺癌調查發病率1982~1987 年男性增長了19.5%,女性增長了21.1%,北京市區肺癌調整病死率1985~1986 年與1977~1978 年比較,男性增長了11.5%,女性增長了11.6%。
3、肺癌的性別和年齡分布 幾乎在所有的國家和地區,肺癌的發病和死亡都是男性高於女性。肺癌的發病率隨年齡增長而上升,但30 歲以前,肺癌很少見,40 歲以後發病逐漸增多。一般在65~70 歲病死率達到高峰。
