疾病簡介
大細胞未分化癌小細胞肺癌的臨床症狀與腫瘤位於肺門區及壓迫相鄰組織器官有關。與局部擴散的鱗狀細胞癌相比,喘鳴和咯血相對少見而聲嘶和嗆咳更為常見,10%患者由於腫瘤壓迫上腔靜脈而表現為上腔靜脈綜合徵。臨床症狀與轉移性病變密切相關,例如體重減輕,由於肝、腎上腺或胰腺轉移引起的腹痛,由於骨轉移引起的骨痛等。5~10%的患者在作出原發性診斷時就已發生腦轉移,並引起中樞神經系統症狀,但大多數病例更傾向於在疾病進展過程中發生。屍檢證實小細胞肺癌腦轉移常為多發。副腫瘤綜合症也常與小細胞肺癌相關,約10%分泌異常ACTH,有可能伴有糖尿病,但Cushing綜合徵少見,15%因分泌抗利尿激素(ADH)導致水腫,副腫瘤綜合症亦可引起神經學症狀,可累及神經系統的任何部位,如腦、脊髓、周圍神經、神經-肌肉接頭和肌肉等。
與其他類型非小細胞肺癌相比,大細胞肺癌臨床症狀並無特殊之處。常見的症狀有:咳嗽(約半數以上肺癌患者在就診時會伴有咳嗽,尤其是典型的刺激性乾咳),痰中帶血和咯血(以痰中帶血為首發症狀的肺癌患者大約占25%~35%),胸痛,發熱(以發熱為首發症狀的肺癌患者大約占20%左右),氣促(大約6.6%的肺癌患者以氣促為首發症狀)。大細胞肺癌異位激素分泌較為少見。
致病過程
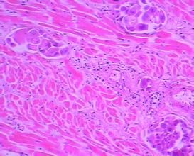
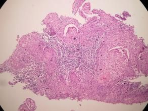
巨細胞型癌細胞團周圍常有多核巨細胞和炎症細胞浸潤。透明細胞型易誤認為轉移性腎腺癌。大細胞癌轉移較小細胞未分化癌晚,手術切除機會較大。
治療方法
手術、放療、化療、中藥治療,1983年,北川勛首次從紅參中分離出20(S)-人參皂苷-Rh2。現在已經證實人參皂苷Rh2具有誘導癌細胞凋亡、分化及調控細胞周期的抗癌活性,通過增強人體的自然免疫能力,抑制癌細胞增殖和轉移的作用。

