簡介
支氣管癌支氣管源性肺癌是一種高度惡性的原發性肺部腫瘤,占肺癌的絕大多數,預後極差。
支氣管源性肺癌占所有肺腫瘤比率的90%以上。原發性肺癌是男性第二常見的癌(13%),在女性占第三位(13%)。肺癌是男性和女性癌症死亡的最主要原因,在男性為32%,在女性為25%。女性發病率正在迅速上升,本病大多發生於45~70歲之間。
原發於身體其它部位的惡性腫瘤經血道或淋巴道轉移到肺的相當多見。據統計在死於惡性腫瘤的病例中約20~30%有肺轉移。惡性腫瘤發生肺轉移的時間早晚不一,大多數病例在原發癌腫出現後3年內發生轉移,亦有長達10年以上者,但也有少數病例肺轉移灶比原發腫瘤更早被發現。轉移到肺的原發惡性腫瘤多來自乳腺、骨骼、消化道和泌尿生殖系統。
肺轉移性腫瘤大多為遍及兩側肺的多發性病灶,大小不一,密度均勻,對這些晚期癌腫病例,目前尚無有效的治療方法。少數病例肺內只有單個孤立的轉移病灶則可考慮外科治療。
臨床症狀
孤立性肺轉移病例臨床上一般不呈現明顯症狀,大多在隨診原發腫瘤進行胸部X線檢查時被發現。少數病例則可有咳嗽和痰血。肺部X線徵象與周圍型原發性肺癌相似。
病因學
概況
支氣管癌吸菸是支氣管肺癌的主要原因,占男性患者90%以上,女性80%以上,87%的肺癌與接觸菸草有關。較強
的吸菸劑量-效應關係表現在三種最常見的肺癌上:鱗狀上皮細胞癌,小細胞癌和腺癌;小細胞癌曲線坡度最陡,腺癌最低。最近的流行病學研究支持以往的資料,提示戒菸可延緩肺癌的發生,同時減少發生特異組織類型肺癌的危險性。一小部分肺癌(男15%,女5%)與職業性因素有關,這些因素共同致病,它們是:石棉,輻射,砷,鉻酸鹽類,鎳,氯甲基醚,芥子氣(毒氣戰)及焦炭爐放散物。空氣污染的確切作用尚不了解。少數病例與接觸室內氡氣有重要關係。但在芬蘭,大量的病例對照研究並未證明接觸室內氡氣增加發生肺癌的危險性。偶爾,肺癌,尤其是腺癌和肺泡細胞癌,與肺瘢痕有關,DNA損害,細胞的癌基因的激活和生長因子的刺激被認為在肺癌病理生理學中占重要地位。
肺癌的病因複雜,迄今尚未完全清楚。目前公認的發病因素如下。
吸菸
大量調查資料表明,長期吸紙菸與肺癌的發生有密切關係,特別是鱗狀上皮細胞癌和未分化小細胞癌。紙菸燃燒的煙霧中,主要含有尼古丁、一氧化碳、苯並芘、亞硝胺和少量放射性元素釙等多種致癌物質。國內外均報導,證明吸菸與肺癌的發生呈正相關,且與吸菸量呈正比。吸菸時間愈長,量愈大,開始吸菸的年齡愈小,發病率與死亡率愈高,其中吸菸時間長短比吸菸量多、少更為重要。美國Bruce Arme指出,紙菸中致癌物質,按其重量計算,致癌性不強,但吸入量過大,則致癌性增強。若每日吸菸20支,幾乎相當每天吸1克瀝青塵霧。日本國立癌症中心平山雄研究表明,1支煙的致癌危險性相當於放射線的1~4mrad。若每天吸菸30支,等於受到120mrad的輻射,相當於每天作1次胸部X線透視的射線量。吸菸者肺癌的發病率與死亡率較不吸菸者高10倍以上。戒菸10~15年後,肺癌的發病率與死亡率顯著下降,幾乎與不吸菸者近似。近幾年國外研究證明,丈夫吸菸的妻子(被動吸菸者),發生肺癌2倍於夫婦均不吸菸者。其產生肺癌的危險度隨丈夫的吸菸量增加而增高。病理檢查表明,重度吸菸者有支氣管上皮細胞纖毛脫落、鱗狀上皮化生、非典型增生、核異形等現象,與肺癌的癌前期病變相似。
大氣污染
根據統計,城市肺癌發病率比農村高、大城市比中小城市高、市區比效區高、近郊比遠郊高、工業已開發國家比工業落後國家高。這可能與工業廢氣和致癌物質(主要是苯並芘)污染大氣有關。苯並芘的主要來源為煤和石油燃燒,內燃機的廢氣為主要污染源。
某些職業性致肺癌因素
如石棉、砷、鉻、鎳、鈹、煤焦油、芥子氣、二氯甲醚、氯甲甲醚、菸草的加熱產物,放射性物質如鈾、鐳衰變過程中產生的氡和氡子體、電離輻射、微波輻射等,以及長期接觸與吸入粉塵,均可誘發肺癌。有人觀察接觸石棉而又吸菸者,肺癌發生的危險性可增加約100倍,提示可能有協同作用。
瘢痕組織的刺激
慢性支氣管炎、肺結核、瀰漫性肺間質纖維化患者,肺癌發生率較正常人群高。據英國研究,慢性支氣管炎患者的肺癌發生率,較無慢性支氣管炎者約高出1倍。已癒合的結核病灶所引起的肺部瘢痕中可發生腺癌。我院總結236例肺癌,其中合併肺結核者占8.5%。37例細支氣管肺泡癌中,合併肺結核3例,炎症瘢痕24例,慢性支氣管炎19例。
其他原因
此外,病毒感染、真菌毒素(黃麴黴素)、維生素A缺乏、機體免疫狀態低下、內分泌失調及家族遺傳、原癌基因活化如基因突變、擴增、過度表達,以及抑癌基因缺失、突變,失去了對細胞調控的平衡能力等因素,對肺癌的發生可能起綜合性的作用。
症狀
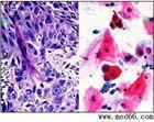
腫瘤的表現取決於其部位和擴散的類型。由於大多數支氣管癌位於支氣管內,病人典型表現為咳嗽,伴或不伴咯血。慢性支氣管炎病人,其原有的咳嗽加劇,頑固,表明有新生物的可能。產生於支氣管腫瘤潰瘍的痰量一般不大(儘管細支氣管肺泡細胞癌的痰有時可以很多且呈水樣),但可含炎症滲出物且往往帶有血絲。小細胞癌不常見有咯血,大量出血(不常見)有力提示大血管受到侵犯。支氣管狹窄可引起氣體陷閉伴局限性哮鳴,常引起肺不張伴縱隔移位,肺膨脹度減少,叩診濁音及呼吸音消失。被堵塞的肺發生感染,則有發熱,胸痛和體重減輕,持續性的局限性胸痛提示新生物侵犯胸壁。外周結節樣腫瘤在未侵犯胸膜或胸壁引起疼痛或轉移到遠處器官之前無症狀。晚期症狀有疲勞,乏力,活動減少,咳嗽加劇,呼吸困難,納差,體重下降和胸痛。惡性腫瘤常引起漿液血性胸膜滲出液,且往往大量,反覆發生。
Horner綜合徵(由於侵犯頸胸段交感神經)表現為眼球內陷,瞳孔縮小,上瞼下垂和同側面部無汗。Pancost綜合徵(由於臂叢和鄰近的肋骨,以及脊椎受到腫瘤浸潤)表現為所受累的上臂疼痛,麻木和乏力。上述兩個綜合徵可同時存在。
體徵
腫瘤可直接侵犯食道,引起阻塞,有時並發瘺管。膈神經受侵犯可引起膈肌麻痹。侵犯心臟出現心律失常,心臟增大和心包積液。上腔靜脈阻塞和左側喉返神經麻痹(引起聲音嘶啞)則是由於腫瘤直接壓迫或鄰近淋巴結壓迫所致。
在上腔靜脈綜合徵中,靜脈回流受阻引起上胸部和頸部側支靜脈擴張;面部,頸部和軀幹上部(包括乳房)水腫,充血;眼結膜紅,腫;仰臥位氣喘;及中樞神經系統症狀(如頭痛,視覺障礙和意識紊亂)。上腔靜脈綜合徵有顯著的臨床表現,雖需密切注意,但不是急症。對原因不明的縱隔腫塊,最重要的是要作出組織學診斷。
原發及繼發癌的肺內擴散可發生淋巴管癌,引起亞急性肺心病,低氧血症加重和嚴重呼吸困難。肺內繼發性血源性淋巴結轉移常見,但繼發性支氣管侵犯很少見。血行轉移至肝臟,腦,腎上腺和骨骼多見,可早期發生,在明顯的肺部症狀出現之前即可產生症狀。
肺癌的副癌綜合徵表現很多,是腫瘤的肺外的遠處效果。它們引起與原發性腫瘤或轉移無關的代謝性和神經肌肉性紊亂,可能為癌腫發生或復發的首發症狀。它們並不表明腫瘤已擴散在胸外。肥大性骨關節病(人所共知)是出現於手指和腳趾的杵狀變形及長骨遠端骨膜隆起。神經系統各部分均可受侵犯---主要為腦病,亞急性小腦變性,腦脊髓炎,Eaton-Lambert綜合徵和周圍神經病變。可發生多發性肌炎和皮肌炎或由於產生具有激素作用的物質而出現代謝綜合徵。小細胞癌可分泌異位性ACTH,導致庫欣綜合徵;或分泌ADH,導致水瀦留和低鈉血症,也可引起類癌綜合徵(面紅,喘鳴,腹瀉及心臟瓣膜損害)。鱗狀上皮細胞瘤可分泌甲狀旁腺激素樣物質而產生高鈣血症。其他與原發性肺癌有關的內分泌綜合徵包括男子乳房增大,高血糖,甲狀腺毒症和皮膚色素沉著。亦可出現血液系統疾病,包括血小板減少性紫癜,白血病樣反應,骨髓癆性貧血,紅細胞增多及衰弱性血栓形成。
診斷
診斷資料的主要來源是病史和胸部X線。病史中如有早期局部症狀,會引起對腫瘤的懷疑;胸部X線檢查可明確病變部位,並可顯示其對周圍組織結構的影響,但多個腫瘤中心的大規模研究並未證實胸部X線和痰標本檢查有助於篩查肺癌。儘管上述方法偶可早期發現肺癌,但早期發現對病人生存率並無影響。
當疑有肺癌時,在胸部攝片後即要獲取組織以從組織學上確診。體溫常無特異性。偶可發現轉移性病變的體徵(腫大的淋巴結或肝臟腫大)。其他肺外體檢表現已在前文討論過。X線表現取決於受累的部位。
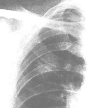
在無症狀的病人,胸部X線常可見一個外周性小結節性腫塊。如腫塊直徑<5~6mm,則難以發現。以往的X線檢查結果對了解新生物頗有價值。對較小的孤立結節,穿透性強的X線和體層攝片可顯示鈣化,鈣化的數量必須超過一個斑點,才能診斷為良性腫瘤或慢性肉芽腫性病變並排除肺癌。CT可顯示其他技術看不到的病變,並可根據有無淋巴結擴散的跡象有助於腫瘤的分期。偶爾需要胸部磁共振成像(MRI)檢查,對顯示肺尖Pancoast瘤有無胸壁及椎體侵犯最有幫助。
有症狀的病人,胸部X線可顯示支氣管狹窄和不規則肺實質浸潤,或肺不張。在阻塞區或在周圍型腫瘤內部可能看到空洞形成。阻塞性肺氣腫不常見。偶爾,X線可顯示在不相鄰的肺葉內有浸潤或阻塞區,此種現象不能用單個腫瘤灶解釋而是支氣管樹瀰漫性黏膜下淋巴滲透的結果。胸膜滲液往往與浸潤性或外周部腫瘤有關,胸液的細胞學檢查或胸膜活檢可提供診斷。極少數情況下,在尚未發現肺內病灶時,痰中即可找到腫瘤細胞。
胸部MRI用於肺癌診斷和療效評估尚屬實驗性。MRI在肺癌術前,可提供腫瘤組織平面的確切定位。
支氣管鏡檢可用來顯示並活檢支氣管腫瘤。用硬質支氣管鏡,可視範圍限於主支氣管及其一級分支,但腫瘤的範圍通過隆突活檢和隨機活檢可確定,而且可感覺到氣管外腫塊產生的阻力。用纖維支氣管鏡可暴露次級支氣管,並可通過沖洗,刷檢和活檢採取腫瘤標本。許多外科醫生在手術前行縱隔鏡檢查以了解縱隔和肺門淋巴結情況,確定診斷以及區分腫瘤能否手術。
不超過10%的病例需要剖胸探查以確定診斷及腫瘤能否切除。禁忌證包括遠處或縱隔轉移及心肺功能不全。當縱隔檢查或胸骨旁縱隔切開術(大多已被斜角肌淋巴結活檢替代)或胸膜,肝臟活檢(參見第65節)證明有轉移灶時,則不必作剖胸探查。可摸到的淋巴結和轉移性皮膚小結是重要的診斷資料。
肺癌的分期有助於判斷預後及治療方法的比較和選擇。可通過臨床表現對肺癌進行分期,但在採用各種手段了解局部及全身病情後,特別是在胸廓切開術後再對肺癌進行分期更為準確。CT可發現肝,腦和腎上腺轉移。放射性核素掃描可提示因轉移而造成的骨骼受累。傳統的骨X線檢查或MRI常用以證實異常骨掃描的發現。痰的細胞學檢查或組織活檢可直接確定腫瘤的存在及其是否轉移。
TNM(腫瘤,淋巴結,轉移)系統是非小細胞肺癌按病期分類的標準(參見第142節的診斷和分期)。小細胞肺癌一般在診斷明確時已轉移。它分為局限性(局限於1側胸腔,伴或不伴縱隔和同側鎖骨下淋巴結受累)或廣泛性(擴散超過以上範圍)。
鑑別診斷
肺結節的鑑別診斷包括異物,非肺段性肺炎,結核的支氣管內病灶性肺部表現,系統性真菌病,自身免疫性疾病,和由胸腔外原發癌引起的轉移性病變。孤立性肺結節尤其難鑑別。
孤立性肺結節是一單發病灶,不管其大小,其周圍2/3的周長有肺實質包圍,不與肺門或縱隔相連,不伴肺不張或胸腔積液。引起孤立性肺結節的重要原因有新生物,感染和膠原性血管疾病。約40%的孤立性肺結節是惡性的,其中90%為原發性支氣管癌。引起感染最常見的原因根據不同的地區可分為粗球孢子菌,莢膜組織胞漿菌或結核分枝桿菌。類風濕關節炎和Wegener肉芽腫病是引起膠原性血管疾病的最常見原因。
對於孤立性肺結節,要首先通過與先前的胸片作比較加以評估。假如病灶在≥2年內無增大,則提示其為良性。CT掃描有助於發現鈣化(一般為良性體徵)和結節。
明確新生或增大病灶的病因需培養或組織學檢查。培養的標本和組織可通過經胸針吸,經纖維支氣管鏡活檢,胸腔鏡或胸廓切開術得到。在未獲得特異性診斷之前,病變應視為良性。
良性病變極少引起上腔靜脈綜合徵(見上文),但結核,真菌感染,胸骨後甲狀腺和主動脈瘤則可能。惡性腫瘤,包括淋巴瘤,霍奇金病,小細胞肺癌,鱗狀細胞癌,生殖細胞腫瘤和乳腺癌常引起上腔靜脈綜合徵。
CLS生物免疫治療
CLS腫瘤生物免疫治療癌症在治療中已得到廣泛認可,CLS生物治療可迅速改善癌症患者症狀,提高癌症患者生存質量,延長壽命。生物治療在抗腫瘤中有獨特的優勢,既能提高癌症患者自身免疫,也能抑制殺滅癌細胞,往往能很好的改癌症善患者的生活質量,延長生存期。CLS生物治療是目前治療腫瘤的最新技術,完全是採集自自體細胞,分離出DC—CIK兩種細胞,經技術培養後,再回輸到直腸癌患者體內,即使是血液、淋巴中的癌細胞也可徹底清除。生物治療與手術、放化療聯合套用,可達最佳治療效果,臨床治癒率高達57%以上,還可有效降低或消除放化療帶來的嚴重副作用,提高生活質量,讓更多的直腸癌患者實現長期帶瘤生存,達到與腫瘤“和諧共處”。
預後和預防
原發性支氣管癌預後不良。一般來講,原發性支氣管癌未經治療者可生存8個月,約10%~35%的腫瘤可切除,但總的5年生存率約13%。邊界清楚,生長緩慢的腫瘤病人,切除腫瘤後5年生存率可在ⅢA期非小細胞肺癌的15%到Ⅰ期非小細胞肺癌的70%範圍內變化。周圍小結節病灶經肺葉切除效果最佳。對於生存者應認真隨訪,因有6%~12%的人會發生第二次肺癌。因大多數小細胞肺癌患者在診斷時癌腫就已擴散至原發病灶以外部位,常無法手術。極少數情況下,早期小細胞肺癌可手術切除,但由於腫瘤容易復發,故主張使用順鉑和依託泊苷輔助化療,早期小細胞肺癌治療後第二次原發性癌發生率為25%~50%。
支氣管肺癌的預防包括戒菸和避免接觸可能的工業性致癌物質。有關對第二次原發性癌症的藥物預防研究正在進行中。
治療
西醫治療
非小細胞肺癌Ⅰ期和Ⅱ期的治療選擇手術切除;Ⅳ期或伴有惡性胸腔積液的ⅢB期的病人不行手術,T3N0M0或T3N1M0分類的病人(因胸壁侵犯)應考慮手術切除。手術切除應在無禁忌證,也就是沒有肺外擴散,氣管內腫瘤位置不太靠近氣管以及無其他嚴重情況(如冠心病或慢性阻塞性肺病的肺功能不全)下進行。對所有考慮手術的病人均應作胸部和上腹部(包括肝和腎上腺)CT掃描。對考慮手術的病人如出現任何神經症狀和體徵(如顱神經麻痹,視野改變,神志不清或定向力障礙),需進行MRI和CT掃描。如病人主訴骨痛,或觸痛,或因骨質破壞增加導致血清鹼性磷酸酶升高時,需行放射性核素骨掃描。
老年病人並不排除在手術切除之外,肺癌在老年人中具高度侵襲性。肺癌未治療的病人生存期常<8個月。相比較而言,美國70歲老人的平均預期壽命為男性11.1年,女性14.8年。限制生存的因素是腫瘤,不是年齡。
為安全起見,中心性支氣管內病變需要作肺切除並摘除鄰近的淋巴結。擴散到胸壁的腫瘤可以整塊切除;有報導手術後放療有好處,尤其是肺尖部腫瘤。
採用新輔助化療能顯著減少腫瘤負荷並提高痊癒及總生存率。某些有關新輔助化療的研究顯示其有較好的前景。然而,綜合所有研究結果,對其在非小細胞肺癌手術切除或定量放療中的作用,尚無法形成統一意見。
中醫中藥治療
支氣管肺癌是腫瘤科常見病,早期治療首選手術切除。但由於種種原因,就醫時大部分患者已至中晚期,喪失了手術治療機會。近年來,中醫藥治療肺癌已獲得確切的療效,在緩解症狀,延長生存期方面發揮了特色。1983年,北川勛首次從紅參中分離出20(S)-人參皂苷-Rh2。現在已經證實人參皂苷Rh2具有誘導癌細胞凋亡、分化及調控細胞周期的抗癌活性,通過增強人體的自然免疫能力,抑制癌細胞增殖和轉移的作用。
中醫中藥治療按病人臨床表現症狀,脈象、舌苔、神色等套用辨證論治法用中藥治療肺癌,可使病人的症狀得到改善;免疫療力提高。減輕痛苦,提高生存質量;延長壽命。中藥用於肺癌治療的各個時期,均取得良好的效果。金復康口服液特異性的靶向治療非小細胞肺癌,早中晚期都可使用;參丹散結膠囊特別適合於中晚期肺癌,能很好的控制肺癌擴散轉移,緩解晚期症狀。肺癌晚期的胸水治療首選臌症丸,中藥利水有西藥不可比擬的優勢,無副作用。
中醫對於肺癌的病因病機、辨證治療的有關論述:
⒈痰結是肺癌的病理基礎
《難經》云:“肺之積,名曰息賁……令人灑息寒熱、咳嗽、發肺壅”。《素問·奇病論》云:“病脅下滿氣逆,二三歲不已……病名曰息積”。《素問·玉機真藏論篇》詳細記載了晚期肺癌發熱、胸痛引肩背、惡液質的症狀,指出“大骨枯槁,大肉陷下,胸中氣滿,喘息不便,內痛引肩項,身熱脫肉破?”。可見,“息賁”、“肺壅”、“息積”、“肺積”均可歸為支氣管肺癌的中醫病名範疇。
肺癌的病因病機,《雜病源流犀燭》論述得較為中肯,認為:“邪積胸中,阻塞氣逆,氣不得通,為痰……為血,皆邪正相搏,邪既勝,正不得制之,遂結成形而有塊”。該文深入認識到痰結而致胸中有形結塊的病機。而無論是正氣內虛、臟腑失調,還是外邪侵肺、寒熱太過,均經過肺氣賁郁,積聚成痰的病理過程。無痰,則無以生肺積,故痰結於肺是肺癌的病理基礎。脾為生痰之源,肺為貯痰之器,肺脾氣虛,陰陽失和,受於風寒或風熱之邪,初未能成積聚,正虛祛邪不力,日久留滯成痰,痰氣膠結,乃成肺積。痰瘀化熱,灼傷血脈,則咳唾痰血。痰凝著於皮下,則見缺盆結核,流著於骨,則成骨痹,流於腦,則頭痛目瞑。肺癌的臟腑病機與肺、脾二髒密切相關,痰結貫穿於肺癌由原發到轉移的整個病程。
辨證分型治療
根據肺癌的病理機轉,按照中醫的辨證分型特點,大體把肺癌分為肺郁痰熱、氣虛痰濕、陰虛痰熱、氣陰兩虛4個常見的臨床證型。其辨證要點和施治方法分述如下。
肺郁痰熱型症
咳嗽不暢,痰中帶血,胸脅痛或胸悶氣促,唇燥口乾,大便秘結,舌質紅或暗紅、苔黃,脈弦或弦細。本證為肺氣賁郁,血瘀痰壅。治宜宣肺理氣,化瘀除痰。方用千金葦莖湯加味。處方:葦莖30g,桃仁、生薏苡仁、茯苓、冬瓜仁各15g,浙貝母20g,桑葉、三七各10g,守宮5g,法半夏12g,陳皮、甘草各6g。
氣虛痰濕型症
咳嗽痰多,胸悶短氣,少氣懶言,納呆消瘦,腹脹便溏。舌質淡黯或淡紅、邊有齒印、苔白膩,脈濡或滑。證屬肺氣虛弱,子病及母,脾失健運,痰濕內阻。治宜補氣健脾,除痰散結。方用參苓白朮散加減。處方:黨參、生薏苡仁各20g,茯苓、白朮、浙貝母、白扁豆、炒穿山甲(先煎)各15g,山藥25g,桔梗、砂仁(後下)各10g,陳皮、甘草各6g。
陰虛痰熱型症
咳嗽少痰,或乾咳,咽乾不適,或咯痰帶血絲,胸滿氣急,潮熱盜汗,頭暈耳鳴,心煩口乾,小便黃,大便乾結。舌質紅絳、苔光剝或舌光無苔,脈弦數無力。本證為肺腎陰虛、痰熱互結,治宜滋腎清肺,除痰清熱。方用瀉白散加味。處方:桑白皮、生地黃、知母、沙參、麥冬、浙貝母、鱉甲(先煎)、生薏苡仁、魚腥草各15g,甘草6g。
氣陰兩虛型症
乾咳痰少,咳聲低微,或痰少帶血,消瘦神倦,口乾短氣,目瞑失寐,煩躁心悸,納差體乏,舌紅乾或嫩紅、苔白乾或無苔,脈沉細。證屬肺脾兩虛,腎陰枯竭。治宜益氣養陰,扶正除積。方用生脈散合六味地黃湯加減。處方:黨參、麥冬、五味子、茯苓、熟地黃、山茱萸、百合、浙貝母各15g,山藥25g,桔梗10g,冬蟲夏草、甘草各6g。
肺功能檢查對能否手術並不提供明確答案,但有幾條肯定可以作為胸廓切開術的簡單標準。要記住,切除的範圍只能在手術時才能確定,而且可能需要作肺切除.肺切除的肺功能標準是,第一秒用力呼氣量(FEV1)>2L,即大於預計用力肺活量(FVC)的50%。而且,PaCO2 在靜息時應正常.如果任何一條不符,則應通過灌注定量掃描,如可能的話,加上通氣掃描,對局部肺功能加以評估(預計的手術後FEV1 等於未切除肺的灌注百分數乘以手術前FEV1)。如果這些檢查表明,病人的FEV1 在肺切除後將仍然>800ml或術後仍大於正常FEV1 預計值的30%~40%.則可以接受這種危險性,如數值越接近這些標準,病人的活動能力將會受到限制。
已證實放療對控制骨痛,上腔靜脈綜合徵,脊髓壓迫,腦轉移,咯血和支氣管阻塞有好處。採用術後放療對Ⅰ期和Ⅱ期肺癌並無益處或有改善。有時放療也用於因心肺功能不足或其他嚴重疾病不能行胸廓切開術者.放療後3個月,應嚴密觀察病人有無放射性肺炎的 X線及臨床症狀(包括咳嗽,呼吸困難和發熱),可用強的松60mg/d口服控制持續1個月,以後逐漸減量用以控制放射性肺炎。預防性頭顱放療對於小細胞肺癌治療完全緩解者可不使用。該方法可減少腦轉移,但尚未顯示可延長總的生存期。近距離放療對支氣管內病灶阻塞了大支氣管時,可緩解症狀。
在小細胞肺癌病人,採用多種藥物,特別是順鉑和拓撲異構酶抑制劑聯合或不聯合放療的生存率高於手術治療。極少有治癒。曾有一些採用藥物化療改善病情的報導,但對支氣管癌最有效的聯合化療方案的研究尚在進行中。對手術無法切除的Ⅲ A,ⅢB期非小細胞肺癌,化療可將中期生存期提高6~12周並能改善病人的症狀。有效的藥物包括含鉑製劑(順鉑和卡鉑),長春花鹼類(長春鹼,長春新鹼和異長春新鹼),紫杉鹼類(docetaxel和paclitaxel)以及多種拓撲異構酶抑制劑。
氣道阻塞可用支氣管擴張藥物,氧氣,雷射支氣管鏡和物理療法,抗生素用於合併感染者。
對於孤立的或偶見多發性肺轉移瘤,通常都是在摘除原發腫瘤之後將其切除,5年生存率約為10%。
未治癒的肺癌病人常有焦慮和持續性疼痛。需聯合使用鎮靜劑,麻醉劑和其他藥物(參見第167節癌性疼痛).
鑒於肺癌病人死亡率高,需提早給予臨終關懷。在臨終期,可給予大劑量嗎啡靜脈滴注以緩解缺氧和疼痛等痛苦。採用經皮用藥(如芬太尼)有利於臨終關懷,可使更多的病人在家中平靜地死去。
如組織學上確診為上腔靜脈阻塞綜合徵,治療包括化療(對小細胞肺癌,淋巴瘤或生殖細胞瘤)或放療(對乳腺癌,鱗癌或淋巴瘤)。儘管皮質激素對由肺癌引起的該綜合徵的作用小於由其他疾病(如淋巴瘤)引起者,但仍可有一定的作用。
良性支氣管腫瘤由於不良的局部作用,可繼續長大或惡變,大多數良性周圍型腫瘤在手術探查和切除之前無法確診。
