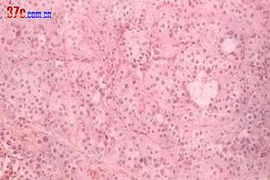
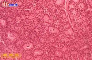
病理
可分為三種類型:
1、支氣管類癌(bronchialCarcinoid)又稱類癌型腺瘤(Carcinoidadenoma)
支氣管類癌2、腺樣囊性癌(adenoidcysticcarcinoma)原稱圓柱瘤
腺樣囊性癌3、粘液上皮樣瘤(mucoepidermoidtumor):源於大支氣管的粘液腺,是種罕見的腫瘤,約占支氣管腺瘤的2%~3%。一般呈無蒂的支氣管內腫塊生長,可阻塞管腔並侵犯局部。切面見多個充滿粘液囊腔。鏡檢見角化細胞,分泌粘蛋白細胞及中間型或過渡型細胞組成瘤。組織學上又分為:分化高的腫瘤較多見,界線清楚,向外部生長,由核小而規則,胞漿豐富,無有絲分裂相的細胞組成;杯狀細胞多,腺腔形成突出;過渡型和鱗形細胞罕見。分化低的腫瘤較為少見,界限不清,向內生長,有局部壞死,細胞核大而多形,胞漿稀少並有絲分裂;杯狀細胞和鱗形細胞罕見,腺腔形成少見;過渡型細胞多;具局部侵蝕,也可惡變。
臨床表現
支氣管腺瘤的確診年齡較支氣管癌早。症狀隨腫瘤生長部位和支氣管腔有否阻塞,局部浸潤和遠處轉移而異。發生出肺的邊緣部多無症狀,常在X線檢查時發現。若發生於較大的支氣管,初期即出現刺激性乾咳,反覆痰血。腫瘤增大,可發生局部阻塞性肺氣腫和局限性固定哮鳴音。管腔全部阻塞,可出現肺不張。阻塞遠端的肺繼發感染,可發生肺炎、肺膿瘍或支氣管擴張。由於腺瘤為良性,故症狀存在時間較長,有的長達5~15年才確診。若發生惡變轉移,其症狀與其他癌腫轉移相似。少數支氣管類癌患者可出現陣發性皮膚發紅、腹痛、腹瀉、哮喘和心動過速等類癌綜合徵,或向心性肥胖、高血壓、水腫、乏力、低血鉀性鹼中毒及色素沉著等異位ACTH綜合徵表現。
影像學檢查
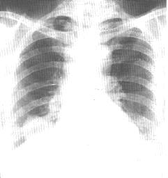
1、X線表現:
(1)中央型:可呈肺氣腫或支擴引起的柱狀密度增高影,呈手套征。腫瘤較大時可表現為一側肺、肺葉或肺段阻塞性肺炎或肺不張。管外型或混合型瘤體在肺門區可形成圓形或橢圓形腫塊。體層攝影可見支氣管內息肉狀或球形軟組織影,邊緣光滑銳利、密度均勻。也可顯示管壁增厚,管腔狹窄,圍繞支氣管的軟組織腫物影。腔內生長可見局部管腔略增寬。
(2)周圍型:可見肺內球形或不規則形腫塊陰影,邊緣光滑銳利,密度中等,沒有鈣化,以2.5~5cm大小多見。無特徵性改變。
支氣管腺瘤 X線表現 | 支氣管腺瘤 CT表現 | 支氣管腺瘤 CT表現 |
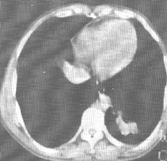
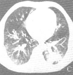
2、CT表現:
(1)氣管、主支氣管和葉支氣管腺瘤表現為管腔內結節狀腫塊,邊緣光滑。有壁外延伸時可並存管腔外腫塊。病變遠側常有阻塞性肺炎或肺不張。
(2)外圍型腺瘤表現為肺內軟組織密度結節,邊緣光滑。
診斷
支氣管腺瘤鑑別診斷
須與腺瘤鑑別的肺腫塊有以下疾病:
1、周圍型支氣管癌:發生的年齡相對地比腺瘤大,生長快。X線上腺瘤的結節狀或圓形灶邊界較肺癌銳利,但有時難於區別。診斷困難時,應及時剖胸探查,以免失去根治的機會。
2、肺結核球:好發於兩肺上葉尖後段或下葉背段,周圍常有衛星灶,病灶中常有向心性或密集的鈣化灶。
3、肺錯構瘤:呈圓形或分葉狀塊影,邊緣清楚,病灶內有鈣化點,有時呈爆玉花樣。
治療
手術治療
支氣管腺瘤 X線表現
支氣管腺瘤 CT表現
支氣管腺瘤 CT表現