特徵
杯狀細胞功能
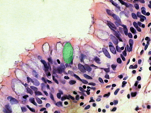
杯狀細胞杯狀細胞(gobletcell)的超微結構:細胞核,細胞質,分泌顆粒。杯狀細胞在HE染色時,黏原顆粒被染料溶解,所以呈現出空泡狀。

杯狀細胞亦稱杯細胞,是混在黏膜上皮中的粘液分泌細胞,底部狹窄,頂部膨大,充滿粘原顆粒,HE(蘇木精—伊紅)染色為藍色或空泡狀,多為空泡狀。
杯狀細胞
杯狀細胞色素細胞(Chromatophores)有時稱為色素體,是兩棲動物、魚類、爬行動物、甲殼動物、頭足綱動物中的一種含有生物色素的細胞。
名詞解釋 分類 藍色素細胞 發育過程 色素易位蕈狀杯形珊瑚,珊瑚綱,石珊瑚目,拉丁學名為Pocillopora fungiformis,是水螅型的單體或群體動物,習單體或群體生活,生長在平坦海域的環...
基本信息 物種概述 分布範圍 保護等級疣狀杯形珊瑚,動物界,屬刺胞動物門。
物種概述 分布範圍 保護等級腸道對細菌產生過度不良反應 杯狀細胞 在粘液上皮中負責產生粘液的細胞...吸引中性粒細胞和嗜酸性粒細胞到病症部位及分泌組織胺 單核細胞 樹突狀細胞...巨噬細胞或樹突狀細胞 朗格漢斯細胞 於皮膚表面的一種樹突狀細胞,向大腦傳遞...
作品背景 故事內容 登場角色 用語解說 分卷劇情細胞自噬(autophagy),是真核生物中進化保守的對細胞內物質進行周轉的重要過程。該過程中一些損壞的蛋白或細胞器被雙層膜結構的自噬小泡包裹後,送入溶...
自噬含義 命名自噬 突破進展 自噬形式 研究方法鱗狀上皮細胞,是上皮細胞組織的一種,分布在身體表面和體內各種管腔壁的表面。上皮組織也叫做上皮,它是襯貼或復蓋在其它組織上的一種重要結構。由密集的上皮細胞...
被復上皮 腺上皮 健康檢查 上皮組織實驗環繞細胞,生物化學術語,在副衛細胞母體分裂過程中形成的,離保衛細胞較遠而與保衛細胞不相鄰的變異細胞。
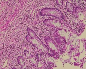
胃的組織學-胃黏膜表面上皮細胞和胃腺細胞 參考資料