自噬含義
細胞自噬雖然人們早就知道自噬存在,但是只有在大隅良典的精巧實驗之後,人們才意識到它的機制、懂得了它的重要性。
諾貝爾生理學或醫學獎表彰的成就是發現並闡釋了細胞自噬的機理,而細胞自噬過程是細胞成分降解和回收利用的基礎。
這一概念最早提出於20世紀60年代,當時研究者們首次觀察到,細胞會胞內成分包裹在膜中形成囊狀結構,並運輸到一個負責回收利用的小隔間(名叫“溶酶體”)里,從而降解這些成分。研究這種現象困難重重,人們對其一直所知甚少,直到20世紀90年代早期,大隅良典做了一系列精妙的實驗。在實驗中,他利用麵包酵母定位了細胞自噬的關鍵基因。之後,他進一步闡釋了酵母細胞自噬背後的機理,並證明人類細胞也遵循類似的巧妙機制。
大隅良典的發現是人類理解細胞如何循環利用自身物質的典範。他的發現為理解諸多生化過程——例如適應飢餓以及對感染的免疫應答——中細胞自噬的重要性打開了一扇窗。細胞自噬基因突變會導致疾病,在嚴重的疾病包括癌症以及神經系統疾病中都包含了細胞自噬過程。
命名自噬
降解:所有活細胞的核心功能之一
20世紀50年代中期,科學家觀察到細胞里的一個新的專門“小隔間”(這種隔間的學名是細胞器),包含消化蛋白質,碳水化合物和脂質的酶。這個專門隔間被稱作“溶酶體”,相當於降解細胞成分的工作站。比利時科學家克里斯汀·德·迪夫(ChristiandeDuve)在1974年因為溶酶體和過氧化物酶體的發現,被授予諾貝爾生理學或醫學獎。
克里斯汀·德·迪夫,1974年獲得諾貝爾生理學或醫學獎,“自噬”這個詞的命名人。
60年代的新觀察表明,在溶酶體內部有時可以找到大量的細胞內部物質,乃至整個的細胞器。因此,細胞似乎有將大量的物質傳輸進溶酶體的策略。進一步的生化和顯微分析發現,有一種新型的囊泡負責運輸細胞貨物進入溶酶體進行降解。發現溶酶體的科學家迪夫,創造了自噬(auotophagy)這個詞來描述這一過程。這種新的囊泡被命名為自噬體。
我們的細胞有不同的細胞“小隔間”,承擔不同的作用。溶酶體就是這樣一種隔間,裡面有用於消化細胞內容物的消化酶。人們在細胞內又觀察到了一種新型的囊泡,叫做自噬體。自噬體形成的時候,逐漸吞沒細胞內容物,例如受損的蛋白質和細胞器;然後它與溶酶體相融,其中的內容被降解成更小的物質成分。這一過程為細胞提供了自我更新所需的營養和材料。
在20世紀70年代和80年代,研究人員集中研究闡明用於降解蛋白質的另一個系統,即“蛋白酶體”。在這一研究領域,阿龍·切哈諾沃(AaronCiechanover),阿夫拉姆·赫什科(AvramHershko)和歐文·羅斯(IrwinRose)因為“泛素介導的蛋白質降解的發現”被授予2004年諾貝爾化學獎。蛋白酶體降解蛋白質的效率很高,一個個單個降解蛋白質,但這個機制沒有解釋細胞是怎么解決更大的蛋白質複合物以及破舊的細胞器的。
突破進展
細胞自噬一項突破性的實驗
2016年諾貝爾生理學或醫學獎得主大隅良典曾經活躍於多個研究領域,但自從1988年建立了自己的實驗室之後,他就主要研究蛋白質在液泡中降解的過程了。液泡也是一種細胞器,它在酵母中的地位和人體中溶酶體的地位類似。酵母細胞相對更容易進行研究,因而常被用作人類細胞的模型;尋那些在複雜細胞通路中發揮重要作用的基因時,酵母特別有用。但大隅面臨著一個重大挑戰:酵母細胞很小,在顯微鏡下不容易看清它的內部結構,因此他起初都無法確定自噬現象是否也會發生在酵母細胞中。大隅推論,如果他能在自噬行為發生的時候阻斷液泡中蛋白質分解的過程,那么自噬體將在液泡中累積,從而在顯微鏡下可見。因此,他培育出因突變而缺乏液泡降解酶的酵母細胞,並通過使細胞飢餓激發自噬。
實驗結果非常驚人,幾個小時內,液泡中就充滿了細小的、未被降解的囊泡,這些囊泡就是自噬體。大隅的實驗證明酵母細胞中也存在自噬現象,然而更重要的是,他發現了一種方法,能夠識別和鑑定涉及這些過程的關鍵基因。這是一項重大的突破,大隅在1992年發表了實驗結果。
在酵母細胞中,有一個大型結構叫做液泡,對應哺乳動物細胞中的溶酶體。大隅培養出缺乏液泡降解酶的酵母,當這些酵母細胞飢餓的時候,自噬體就會在液泡中迅速累積。他的實驗證明了自噬現象也存在於酵母細胞中。接下來,大隅研究了上千種酵母細胞的突變型,識別出15種和自噬有關的關鍵基因。
發現自噬基因
大隅良典接著利用了他改造過的酵母菌株——在這些酵母挨餓時,它們的自噬體會積累起來。如果對自噬過程重要的基因被失活,那么自噬體積累就理應不會發生。大隅良典將酵母細胞暴露在一種能隨機在多個基因里引起突變的藥物中,然後誘導自噬過程。
他的策略奏效了,在他發現酵母自噬一年內,大隅良典就鑑定出了第一批對自噬至關重要的基因。在接下來的眾多巧妙研究中,他對這些基因所編碼的蛋白質的功能進行了研究。
結果顯示,自噬過程是由大量蛋白質和蛋白質複合物所控制的。每種蛋白質負責調控自噬體啟動與形成的不同階段。
自噬——細胞中至關重要的機制
在識別出酵母自噬的機制之後,依然還有一個關鍵問題。其他的生物里有沒有對應的機制來控制自噬過程呢很快人們發現,我們細胞里也有幾乎一樣的機制在運行。現在我們有了探索人體內細胞自噬所必需的研究工具。
在大隅良典發現細胞自噬的關鍵機制之後,研究局面豁然開朗,相關論文發表量驟然上升。
由於大隅良典和緊隨他步伐的研究者的工作,我們現在知道細胞自噬控制著許多重要的生理功能,涉及到細胞部件的降解和回收利用。細胞自噬能快速提供燃料供應能量,或者提供材料來更新細胞部件,因此在細胞面對飢餓和其它種類的應激時,它發揮著不可或缺的作用。在遭受感染之後,細胞自噬能消滅入侵的細胞內細菌活病毒。自噬對胚胎髮育和細胞分化也有貢獻。細胞還能利用自噬來消滅受損的蛋白質和細胞器,這個質檢過程對於抵抗衰老帶來的負面影響有舉足輕重的意義。
未來套用
遭到擾亂的自噬過程與帕金森氏病、2型糖尿病和老年人體內其他疾病都有所關聯。自噬基因的突變可以導致遺傳病,自噬機制受到的擾亂還與癌症有關。目前人們正在進行緊張的研究以開發藥物,能夠在各種疾病中影響自噬機制。
人們知道自噬機制的存在已經50年,但是它在生理學和醫學中的核心重要性只有在大隅良典20世紀90年代開拓性的研究之後才被人們廣泛意識到。因為這些重要發現,他獲得了2016年諾貝爾生理學或醫學獎。
自噬形式
細胞自噬主要有三種形式:微自噬(microautophagy)、巨自噬(macroautophagy)和分子伴侶介導的自噬(Chaperone-mediatedautophagy,CMA)。
微自噬
定義:指溶酶體或者液泡內膜直接內陷底物包裹並降解的過程。
作用時間:多在種子成熟時儲藏蛋白的沉積或萌發時儲存蛋白的降解中起作用。
巨自噬
定義:在其過程中,底物蛋白被一種雙層膜的結構(粗面內質網的無核糖體附著區脫落的雙層膜)包裹後形成直徑約400~900納米大小的自噬小泡(autophagosome),接著自噬小泡的外膜與溶酶體膜或者液泡膜融合,釋放包裹底物蛋白的泡狀結構到溶酶體或者液泡中,並最終在一系列水解酶的作用下將其降解,我們將這種進入溶酶體或者液泡腔中的泡狀結構稱為自噬小體。
作用時間:營養缺乏條件下培養的細胞、植物的免疫反應、葉片衰老及環境脅迫應答。
介導自噬
在動物細胞衰老反應過程中,往往發生分子伴侶介導的自噬過程,保存必須的組成細胞結構的蛋白和其他材料。
研究方法
誘導劑
細胞自噬(2)Carbamazepine/L-690,330/LithiumChloride(氯化鋰):IMPase抑制劑(即Inositolmonophosphatase,肌醇單磷酸酶)。
(3)Earle's平衡鹽溶液:製造飢餓。
(4)N-Acetyl-D-sphingosine(C2-ceramide):ClassIPI3KPathway抑制劑。
(5)Rapamycin:mTOR抑制劑。
(6)XestosponginB/C:IP3R阻滯劑。
抑制劑
(1)3-Methyladenine(3-MA):(ClassIIIPI3K)hVps34抑制劑。
(2)BafilomycinA1:質子泵抑制劑。
(3)Hydroxychloroquine(羥氯喹):Lysosomallumenalkalizer(溶酶體腔鹼化劑)。
除了選用上述工具藥外,一般還需結合遺傳學技術對自噬相關基因進行干預:包括反義RNA干擾技術(Knockdown)、突變株篩選、外源基因導入等。
觀察檢測
細胞經誘導或抑制後,需對自噬過程進行觀察和檢測,常用的策略和技術有:
1、觀察自噬體的形成。
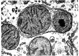
由於自噬體屬於亞細胞結構,普通光鏡下看不到,因此,直接觀察自噬體需在透射電鏡下。Phagophore的特徵為:新月狀或杯狀,雙層或多層膜,有包繞胞漿成分的趨勢。自噬體(AV1)的特徵為:雙層或多層膜的液泡狀結構,內含胞漿成分,如線粒體、內質網、核糖體等。自噬溶酶體(AV2)的特徵為:單層膜,胞漿成分已降解。(autophagicvacuole,AV)。
2、在螢光顯微鏡下採用GFP-LC3融合蛋白來示蹤自噬形成。
由於電鏡耗時長,不利於監測(Monitoring)自噬形成,人們利用LC3在自噬形成過程中發生聚集的現象開發出了此技術。無自噬時,GFP-LC3融合蛋白彌散在胞漿中;自噬形成時,GFP-LC3融合蛋白轉位至自噬體膜,在螢光顯微鏡下形成多個明亮的綠色螢光斑點,一個斑點相當於一個自噬體,可以通過計數來評價自噬活性的高低。
3、利用WesternBlot檢測LC3-II/I比值的變化以評價自噬形成。
自噬形成時,胞漿型LC3(即LC3-I)會酶解掉一小段多肽,轉變為(自噬體)膜型(即LC3-II),因此,LC3-II/I比值的大小可估計自噬水平的高低。
(注意:LC3抗體對LC3-II有更高的親和力,會造成假陽性。方法2和3需結合使用,同時需考慮溶酶體活性的影響)。
4、檢測長壽蛋白的批量降解:非特異。
5、MDC(Monodansylcadaverine,單丹磺醯屍胺)染色:包括自噬體,所有酸性液泡都被染色,故屬於非特異性的。
6、CellTrackerTMGreen染色:主要用於雙染色,但其能染所有的液泡,故也屬於非特異性的。
蛋白定位
在研究自噬相關蛋白時,需對其進行定位。由於自噬體與溶酶體、線粒體、內質網、高爾基體關係密切,為了區別,常用到一些示蹤蛋白在螢光顯微鏡下來共定位:
Lamp-2:溶酶體膜蛋白,可用於監測自噬體與溶酶體融合。
LysoTrackerTM探針:有紅或藍色可選,顯示所有酸性液泡。
pDsRed2-mito:載體,轉染後表達一個融合蛋白(紅色螢光蛋白+線粒體基質定位信號),可用來檢測線粒體被自噬掉的程度(Mitophagy)。
MitoTraker探針:特異性顯示活的線粒體,螢光在經過固定後還能保留。
Hsp60:定位與線粒體基質,細胞死亡時不會被釋放。
Calreticulin(鈣網織蛋白):內質網腔。
揭示機制
細胞自噬研究人員發現,AMPK能以不同的方式,調控一種稱為Vps34激酶家族不同的複合物,一些Vps34酶參與了正常細胞的囊泡運輸——細胞中一種重要的分子運輸,還有一些Vps34複合物則參與了細胞自噬。管教授與其同事們發現,AMPK能抑制那些未參與細胞自噬的酶,而激活參與細胞自噬的Vps34酶。
自噬意義
細胞自噬與細胞凋亡、細胞衰老一樣,是十分重要的生物學現象,參與生物的發育、生長等多種過程。細胞自噬的異常導致癌細胞的出現。

