病理特徵
囊狀支氣管擴張與多發肺囊腫大小不一,直徑多在2~10cm,支氣管組成的囊壁厚薄不等,其外層為平滑肌纖維、粘液腺、軟骨組織及結締組織,內層覆以柱狀或假復層呼吸道纖毛上皮,如有過感染,上皮可化生為扁平上皮,且可見肉芽組織。因囊腫無呼吸通氣,故無碳末沉著,此為先天性囊腫的特徵。
囊內壁可光滑或有網狀小梁,含粘液,囊腫的大小取決於囊
先天性支氣管肺囊腫內容的多少。如囊腫與支氣管不通,稱為閉合囊腫或液性囊腫;如囊腫與支氣管交通,則會引起囊腫感染,而通道狀態也決定了囊腫的狀態,如通道較小,囊內容物部分經支氣管排出,氣體進入囊腔,呈現氣液平,形成厚壁的含氣囊腫,囊內容物可為膿性或血性;如通道較大,內容物排淨,囊腫完全充氣,形成氣性囊腫。如通道呈活瓣狀,可能形成張力性囊腫。縱隔內的囊腫常見有一蒂樣條索與氣管、支氣管相連。
臨床表現
纖維支氣管鏡可發生於任何年齡段,但以10歲以下最為常見,男女發病率相近。
2.年齡:
有出生後即刻出現症狀而手術者,但多在青、中年出現症狀而手術。
3.症狀:
主要引起兩大類症狀,即:壓迫症狀和感染症狀。
壓迫症狀:壓迫支氣管可出現乾咳、氣急、呼吸困難等。如為張力性囊腫,可因囊腫快速、極度的膨脹,出現類似張力性氣胸的症狀。壓迫食管可致梗噎。而在小兒,巨大的囊腫可能壓迫循環系統,造成極度呼吸困難和發紺。囊腫感染及囊內出血可使囊腫短期內迅速增大,並伴有壓迫及疼痛等症狀。
感染症狀:囊腫感染多因其與支氣管相通所致。可出現咳嗽、咳痰、咯血、發熱等,嚴重者,可出現高熱、寒戰、排大量膿痰。
4.X線表現:
透視可見囊腫隨呼吸運動改變其大小。此症在肺內表現為圓形或類圓形陰影,邊緣清晰銳利,在與支氣管相通之前,表現為較高密度且均勻的影像,如與支氣管相通且氣體進入囊腫後,出現氣液平及單腔或多腔表現。如囊腫感染,其邊緣不清,周圍組織肺炎症表現。
5.其他檢查:
支氣管鏡檢查用以除外其他支氣管腔內腫瘤,支氣管造影可除外支氣管擴張,應避免穿刺活檢,以防囊腫破裂、感染。
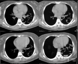
X線表現
右肺上葉支氣管囊腫CT1.單個液氣囊腫:最為常見,囊腫大小不一,可見圓形薄壁囊腫,內有液面。此種囊腫的特點是囊壁菲薄,鄰近肺組織無炎性浸潤病變,纖維性變不多,需與肺膿腫,肺結核空洞和肺包蟲囊腫鑑別。在X線上表現肺膿腫壁較厚,周圍炎症表現明顯,肺結核空洞則有較長病史,周圍有結核衛星灶。肺包蟲囊腫有流行病學的地區特點、生活史和職業史、血像、皮內試驗等有助於鑑別。
2.單個氣囊腫:胸片上示病側肺部含氣囊腫,巨大的氣囊腫可占據一側胸腔,壓迫肺,氣管,縱隔,心臟,需與氣胸鑑別。氣胸的特點是肺萎縮推向肺門,而氣囊腫的空氣位於肺內,往往仔細觀察在肺尖和肋隔角處可見到肺組織。
3.多個氣囊腫:臨床也較多見,胸片上呈現多個大小不一、邊緣不齊的氣囊腫,需與多個肺大皰鑑別。尤其在小兒,肺大皰常伴有肺炎,在X線上以透亮圓形薄壁大皰及其大小、數目、形態的易變性為特徵。每在短期隨訪中就見較多變化,有時可迅速增大,或破裂後形成氣胸。肺部炎症一旦消退,大皰有時可自行縮小或消失。
4.多發性液、氣囊腫:胸片上可見多個大小不一的液、氣腔。尤其病變位於左側者,需與先天性膈疝鑑別,後者也可呈現為多個液平,必要時口服碘油或稀鋇檢查,若在胸腔內見到造影劑進入胃腸道,則為隔疝。
發病時期
肺部胚胎髮育期,因氣管、支氣管異常的萌芽或分支異常發育所致。病變可發生在支氣管分支的不同部位和顯示不同的發育階段。囊腫常為多房性,也可為單房性。囊壁多具有小支氣管壁結構,內層有纖毛柱狀上皮,外層可見散在小片軟骨,壁內可見到平滑肌束和纖維組織。囊狀病變結構內層可見不同的皮皮細胞,有柱狀、立方形和圓形上皮細胞,這顯示出支氣管樹分支發育不完全的不同程度。有些具有分泌粘液的柱狀細胞,腔內充滿粘液。
小的支氣管囊腫在臨床上不呈現症狀,僅在X線胸部檢查或屍檢時才被發現。一旦囊性病變與小支氣管溝通,引起繼發感染或產生張力性氣囊腫、液囊腫、液氣囊腫或張力性氣胸等壓迫肺組織、心臟、縱隔和氣管移位時,就可出現症狀。
(一)嬰幼兒期:張力性支氣管源性囊腫、肺大葉氣腫和肺大皰較多見。臨床上常呈現胸內張力性高壓症狀,表現為呼吸急促、紫紺或出現呼吸窘迫等症狀。體檢見氣管移向對側,患側叩診鼓音,呼吸音降低或消失。胸片顯示患側肺囊性病變引致肺不張,縱隔、氣管移位,並可呈現縱隔疝和同側肺不張,病情危急,不及時診斷和治療,可因呼吸衰竭死亡。
(二)兒童期:較多見的為支氣管源性囊腫。臨床表現為反覆肺部感染。患者常因發熱、咳嗽、胸痛就診。症狀類似支氣管肺炎。
(三)成人期:多見於後天繼發性肺大皰和支氣管源性囊腫。臨床表現均因繼發感染出現症狀,如發熱、咳嗽、膿痰、咯血、胸悶、哮喘樣發作、勞累性氣促和反覆出現氣胸等症狀。需與肺膿腫、膿胸、支氣管擴張、肺結核空洞和肺部腫瘤等鑑別。
各型支氣管囊腫的臨床特點
左下肺多發支氣管肺囊腫並感染在成人,多數非感染性囊腫可無症狀,胸片偶然發現,有症狀者,咯血最常見,這幾乎均與囊腫內或周圍感染有關,如囊腫與支氣管的交通呈活瓣機制,可使囊腫迅速增大。
典型的放射學表現為邊緣清楚、單發、圓形或橢圓形陰影,位於下葉的中三分之一,陰影的大小和形狀很少隨時間而改變,雖然也可見到數年後稍有增大者,75%於支氣管相通,並引起感染,相通後含氣,這類感染病人可因周圍炎性組織而使陰影邊緣變得模糊,而囊腫的陰影特性只有在感染消退後才能顯出。
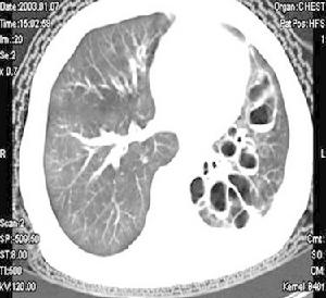
多囊肺
支氣管源性囊腫的分型:依其所在部位分類,分為肺外型和肺內型兩類。依其存在數量分類,分為單髮型、多髮型兩型,後者又分為局部多發(限於肺段或肺葉內)、瀰漫多發(多囊肺)兩個亞型。多囊肺的放射學特徵為多個圓形囊腔如蜂窩狀充滿患肺,有時很像極度充氣的腸袢,故需與膈疝、膈破裂鑑別。
縱隔支氣管囊腫
縱隔支氣管囊腫診斷主要依靠胸部X線檢查,表現縱隔部位圓形或類圓形邊緣光滑或銳利的均勻一致的緻密陰影。CT等有助於鑑別肺與縱隔及周圍重要器官的關係。囊腫較大時纖維支氣管鏡,食管鋇透檢查可顯示相應部位的氣管、支氣管或食管受壓情況。如囊腫與氣管或支氣管相通,囊腫內可見液平。有時在X線透視下囊腫可隨吞咽運動上下活動或變形,囊腫超聲可以鑑別囊內液體的性質,以排除血管性腫物。縱隔支氣管囊腫術前確診比較困難。
食管囊腫
食管囊腫與支氣管囊腫均為前腸發育異常所致,故常被統稱為前腸囊腫,食管囊腫多位於後縱隔食管附近,腔內壁被覆鱗狀上皮,囊壁含骨骼肌,不含軟骨。另外,張力性含氣囊腫還須與氣胸鑑別。
鑑別診斷
肺膿腫症狀先天性肺囊腫與金黃色葡萄球菌性肺炎所致的氣性囊腫不同,後者發展快,變化多,最終可治癒、吸收。另外,張力性含氣囊腫需與氣胸鑑別。
治療與預後
手術治療先天性支氣管肺囊腫成人患者若術前痰量很多,手術時需作雙腔氣管插管麻醉,避免痰液倒流至對側。小兒可採用患側低位的低俯臥位開胸,進胸後先行結紮病肺支氣管。
如病變過於廣泛,肺功能嚴重下降或合併存在嚴重心、肝、腎等器質性疾患時,則禁忌手術。應積極手術切除,時間越早越好,有人主張在1歲內手術為好,因其極少感染,更易行囊腫摘除術。如囊腫已感染,以控制感染3個月後手術為好。切除可治癒,無復發。
相關詞條
呼吸內科疾病
| 研究範圍及進展呼吸內科是研究呼吸系統疾病的學科。它是既古老又年輕的學科,說它古老是因為,自從人類認識疾病以來,呼吸系統疾病就一直是危害人類健康的常見病和多發病,八十年代中期的統計資料表明,呼吸系統疾病仍然是導致死亡的主要疾病。在死亡的順序上排列第二。現在我們來認識一下這些可怕的疾病吧? |
