基本內容
粘液腺 ,
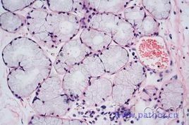
一般指分泌粘液的外分泌腺而言。由1個乃至多個粘液細胞構成,是與漿液腺相對而言的。廣泛分布於動植物體,在高等動物多散在於口腔、鼻腔、氣管、食管、胃、腸、排泄器官等處,參與粘液的形成。粘液含有粘蛋白前身物質(稱粘朊原粒)的小滴,生活時核一般不增殖。用蘇木素-伊紅染色時,粘液細胞多染成紅色,漿液細胞多染成藍色,如用粘朊卡紅染色則前者為紅色(粘蛋白的反應)而後者不被著染,在粘液腺中也有混雜漿液細胞的混合性粘液腺(唾腺等)。
粘液腺
一般指分泌粘液的外分泌腺而言。由1個乃至多個粘液細胞構成,是與漿液腺相對而言的。廣泛分布於動植物體,在高等動物多散在於口腔、鼻腔、氣管、食管、胃、腸、排泄器官等處,參與粘液的形成。粘液含有粘蛋白前身物質(稱粘朊原粒)的小滴,生活時核一般不增殖。用蘇木素-伊紅染色時,粘液細胞多染成紅色,漿液細胞多染成藍色,如用粘朊卡紅染色則前者為紅色(粘蛋白的反應)而後者不被著染,在粘液腺中也有混雜漿液細胞的混合性粘液腺(唾腺等)。
粘液腺 ,
一般指分泌粘液的外分泌腺而言。由1個乃至多個粘液細胞構成,是與漿液腺相對而言的。廣泛分布於動植物體,在高等動物多散在於口腔、鼻腔、氣管、食管、胃、腸、排泄器官等處,參與粘液的形成。粘液含有粘蛋白前身物質(稱粘朊原粒)的小滴,生活時核一般不增殖。用蘇木素-伊紅染色時,粘液細胞多染成紅色,漿液細胞多染成藍色,如用粘朊卡紅染色則前者為紅色(粘蛋白的反應)而後者不被著染,在粘液腺中也有混雜漿液細胞的混合性粘液腺(唾腺等)。
粘液腺前庭大腺炎(bartholinitis)是前庭大腺的炎症,前庭大腺位於兩側大陰唇下1/3深部,其直徑約為0.5-1.Ocm,它們的出口腺管長約15-2....
概述 病因 發病機制 臨床表現 併發症腺,常用漢字。指生物體內能分泌某些液汁的組織,由腺細胞組成,一般屬於上皮組織。根據腺的生理機能及其是否具排出管,可分為“外分泌腺”和“內分泌腺”。
漢字 分泌結構 調節心臟粘液瘤是原發於心腔內最多見的一種真性腫瘤。一般認為屬良性,有一些複雜的表現和惡性傾向,但也有人認為是惡性程度較低的真性腫瘤。
病理改變 組織學的鑑別診斷要點 免疫組化檢查 分類 臨床表現粘液腺囊腫(mucocele)為口腔黏膜小唾液腺導管阻塞後分泌液瀦留而形成的淺表囊腫。粘液腺囊腫為口腔黏膜常見病。主要是因輕微的外傷使唾液腺導管破裂;涎...
基本概述 症狀 病因 臨床診斷 治療腺病毒性腸炎由腺病毒感染所引起。感染高峰年齡為5歲以下兒童,特別是2歲以下嬰幼兒。病後免疫持續時間較長,免疫力隨年齡增長有增強。流行季節不明顯,托幼單位...
疾病概述 發病機制 流行病學 臨床表現 疾病檢查粘液水腫性昏迷(myxedemacoma),為粘液性水腫疾病中最嚴重表現。粘液水腫性昏迷是由於長期缺乏補充甲狀腺素而導致內分泌功能紊亂所引起的。如不積極...
基本資料 疾病症狀 臨床表現 易發人群 併發症紡績腺一種存在於蜘蛛類腹中的特殊腺體,蜘蛛腹部後方有一個紡績器,內通紡績腺。該腺體分泌的蛋白質粘液能夠在空氣中凝結成極牢固的蛛絲。
簡介 位置鼻腔黏膜的呼吸區黏膜大部分由柱狀纖毛上皮覆蓋,上皮細胞表面有從纖毛細胞生長出來的纖毛,每個柱狀纖毛細胞大約有250~300根纖毛,纖毛的運動方向自前向後...
