症狀體徵
膈膨出的症狀雙側膈膨出較罕見,多見於左側,而部分性膈膨出則多見於右側,多數膈肌膨出者無症狀,僅在X線檢查時才被發現,部分病人可出現呼吸道或消化道症狀。而成人與兒童膈膨出症狀則不盡相同。成人膈膨出症狀多為下咽困難,上腹牽拉感或上腹脹痛,上腹燒灼感和噯氣。且在平臥,或飽食後胃腸道症狀加重,改側臥位時可緩解。呼吸道症狀則有活動時感呼吸困難、氣短、咳嗽、喘鳴等。兒童患完全性膈膨出時可引起呼吸困難,一般無發紺,平時易患支氣管炎及肺部感染部分患兒可出現胸痛和腸道症狀,如食慾不佳或間歇性腸梗阻等。體徵膈膨出時可發現患側胸壁呼吸運動受限,叩診為濁音,無肺泡呼吸音,但可能聽到腸鳴音,重者縱隔可向對側移位,當膈完全膨出高位時可有深吸氣時患側下胸過度伸展,被稱為Horner征。腹扁平,肝脾常不易觸及。
疾病病因
膈膨出原理膈肌膨出是指一側或雙側膈肌部分或全部發育異常。膈肌纖維萎縮、缺如、膈肌變薄呈膜狀,膨出部分為菲薄的纖維組織和肌纖維薄膜。該病由於膈肌發育不全或膈肌萎縮,使各級呈薄膜狀,張力降低,因腹腔壓力高於胸腔壓力,造成膈肌異常抬高成為膈膨出。
先天性(膈膨出)是由於膈在胚胎時發育障礙、膈肌纖維發育不全或完全不發育,並有粗大膠原纖維層缺如。在腹內壓增高、胸內負壓增大時,膈肌進行性膨出至胸腔內,產生消化、呼吸、循環系統各種併發症狀。
後天性(膈麻痹)常由於膈神經質損傷引起膈肌萎縮或肌纖維退化,變薄的部分由彈性纖維組織組成。常見於外傷、手術及損傷、頸胸部炎症、神經炎、腫瘤或脊椎結核等壓迫損害膈神經。右膈神經分支明顯,故膈膨出多見於右側,雙側少見,而後天性膈膨出的發病原因較多,不好判斷具體的原因,所以給治療帶來了一定的麻煩。往往患有其他呼吸性疾病的患者常伴有此病。
診斷檢查
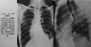
膈膨出檢查診斷:根據臨床表現,輔助檢查如X線檢查可見患側膈肌升高,可升到第三、四前肋間隙高度,膈下緊貼胃泡,膈肌厚度明顯變薄,胸透可見患側膈肌活動受限或消失,有時可見矛盾運動,尤其是後天性膈膨出者更為明顯。
實驗室檢查:如肺部感染時血白細胞可增高。
其他輔助檢查:膈膨出主要靠X線檢查作出診斷,胸部X線檢查可見患側膈肌升高,可升到第三、四前肋間隙高度,膈下緊貼胃泡,膈肌厚度明顯變薄,胸透可見患側膈肌活動受限或消失,有時可見矛盾運動,尤其是後天性膈膨出者更為明顯。心臟可向健側移位,並可隨首呼吸發生輕度來回擺動,即在吸氣時擺向健側,呼氣時又返向患側。左側膈膨出時有
膈膨出的病人可因胃體隨上升的膈肌上行而發生胃扭轉,由於胃體部翻轉到胃底上方,胃大彎緊貼於升高的模膈下方,其曲度延長,小彎顯著縮短,胃底倒置,膈下的胃泡氣影則上升到胃體部,在直立前後位檢查時胃底與胃體影重疊,可顯示兩個液平面,在右前斜位形成兩個囊袋,呈倒置“U”字形,在側位檢查時,兩個液平面在前方者屬於幽門竇,在後方者側位於胃底內。
鑑別診斷
膈膨出1.膈疝為先天性或後天性原因導致腹腔內臟器通過膈肌缺損處進入胸腔形成。胸透時亦可見膈肌局部隆起,但於膈上隆起部分可見胃囊或腸腔的空腔影,運用氣腹技術檢查則可見患者直立位時氣體升入胸腔內,即在膈上的疝囊內,而膈膨出則見氣體在膈下,胃腸道造影或鋇灌腸則更能清楚的看到升高的胃或結腸與膈肌的關係。
2.肺底積液肺底積液病人於X線檢查時常可見患側“膈肌抬高”影,一般在改變體位胸透或行B超檢查後即可區分。
3.橫膈腫瘤極少見,多無特異症狀。X線檢查可見膈肌上面顯示邊緣光滑的圓形或卵圓形緻密陰影,可隨膈肌運動而上下移動,其形態和大小不隨呼吸而改變,診斷性氣腹有助於診斷。
治療方案
膈膨出無臨床症狀或臨床症狀較輕者,無論膈膨出的範圍如何,均不需外科治療。在新生兒或兒童有嚴重呼吸困難者,應急症手術。因胃扭轉引起消化道症狀的人,也是手術的適應症。由膈神經麻痹引起的膈膨出,有逐漸恢復的可能,可暫觀察並對病因進行治療。
氣腹術有助於本病診斷,並可與膈描顯示高位的膈,對疑難病例的診斷有幫助。
手術包括切除或縮小膈的薄弱部分,將膈摺疊或行“十”字切開對角、重疊交叉縫合於呼吸中期的中間位,療效較佳。而且手術的成功率是非常高的。
誤診事件
膈膨出膈膨出並不多見,與外傷有關的限局性、右側膈膨出更為罕見,臨床上常被誤診,本文報告1例,並分析誤診原因。
患者,男,53歲、因咳嗽1周來診,患者因1周前受涼後感冒咳嗽,自行抗炎無明顯好轉,遂來我院。
查體:T36.5℃,P80次/分,BPl20/80mmHg,雙肺呼吸音略粗糙,未及明顯乾濕囉音,行胸片示肺內腫物,約5cm×5cm,後患者去某醫院。
X線示①右斜裂下段葉間胸膜肥厚與包裹性積液;②胸膜間皮瘤待除外,建議穿刺活檢,2天后經各科會診,行核磁提示,局限性膈膨升,肝臟位置上升,因患者無明顯症狀,未予特殊治療後出院。追溯病史患者7年前曾有明確腹部外傷史。
討論:
膈膨出一般以左側多見,可為局限性,也可為整個膨出[1],成人與外傷有關的,右側限局性膨出罕有報導,極易誤診造成患者較重的心理負擔,甚至可能因探查,造成無謂的身體、經濟雙重損害。
誤診原因分析:
①類似病例極為少見,醫技臨床認識不足。
②診斷思路狹窄。因膈膨出一般以左側多見,多有消化道、胸部症狀,本例為無意中發現,且忽略了7年前該患曾因車禍致腹外傷,腹壓增加因素,X線示腫物密度均勻,實為肝臟。肝臟位置較固定,可隨膈肌上下移動[2]。局限性膨升可能性較小,故未多做考慮。
③相關知識缺乏。現代醫學要求精尖的同時,也需要各科密切配合相互了解,該患經各科會診後行核磁檢查,避免了盲目穿刺。
總之,我們在臨床工作中,一定要拓寬思路,豐富知識,儘量避免對一些少見病的誤診。
相關詞條
呼吸內科疾病
| 研究範圍及進展呼吸內科是研究呼吸系統疾病的學科。它是既古老又年輕的學科,說它古老是因為,自從人類認識疾病以來,呼吸系統疾病就一直是危害人類健康的常見病和多發病,八十年代中期的統計資料表明,呼吸系統疾病仍然是導致死亡的主要疾病。在死亡的順序上排列第二。現在我們來認識一下這些可怕的疾病吧? |
