疾病描述
發病機理急性出血期為突然起病,發作性呼吸困難、咳嗽、咯血、貧血,咯血量可多可少。患者自覺胸悶、氣短、呼吸加快,心悸、疲乏,低熱。慢性反覆發作期有咳嗽、咯血,呼吸困難反覆發生,肺泡反覆出血,最後導致肺廣泛間質纖維化。患者常有慢性咳嗽、氣短、低熱,貧血貌,全身倦怠乏力。
症狀體徵
臨床表現與病變時期、程度不同而表現各異。急性出血期為突然起病,發作性呼吸困難、咳嗽、咯血、貧血,咯血量可多可少。患者自覺胸悶、氣短、呼吸加快,心悸、疲乏,低熱。患者面色蒼白,肺部檢查可正常。可聞及哮鳴音,呼吸音減低,或可聽到細濕性囉音,嚴重者可發生心肌炎、心律失常、房室傳導阻滯甚至猝死。
慢性反覆發作期有咳嗽、咯血,呼吸困難反覆發生,肺泡反覆出血,最後導致肺廣泛間質纖維化。患者常有慢性咳嗽、氣短、低熱,貧血貌,全身倦怠乏力。病程後期可並發肺氣腫,肺動脈高壓,肺心病和呼吸衰竭。部分病人可有杵狀指,少數患者可有肝脾腫大。
疾病病因
病毒分子2.肺彈力纖維異常彈力纖維存在異常的酸性黏多糖,使血管壁削弱並擴張。
3.牛乳過敏有些患兒牛奶皮內試驗陽性,血清中發現對牛奶抗原反應的沉澱素。停用牛奶後,臨床症狀即消失。作者Heiner報導個例小兒牛奶過敏者中4例確診患IPH者,對此類患者稱為Heinersyndrome。但牛奶過敏不能解釋所有的患兒發病。
4.與接觸有機磷殺蟲劑有關Cassimos在希臘對30例證實為此病的兒童進行了調查,發現其中80%的兒童在鄉村生長,經濟條件差,飲食中蛋白質較少;50%患兒有持續接觸有機磷殺蟲劑史。Cassimos認為殺蟲劑對某些患兒可能誘發本病,更確切的依據尚需進一步調查證實。
5.遺傳因素此病患者有因父母系近親婚配,或同胞兄弟、雙胞胎髮病,故認為與遺傳因素有關,但無基因證實。
6.免疫因素許多學者認為本病與免疫有關。患者血清IgG、IgA、IgM均增高,以IgA更明顯,部分患者嗜酸性粒細胞增高,肺內肥大細胞集聚。可有抗核抗體,冷球蛋白抗體陽性。部分病例經腎上腺皮質激素,免疫抑制劑或血漿置換有效。這些均支持本病與免疫功能異常有關。
病理生理
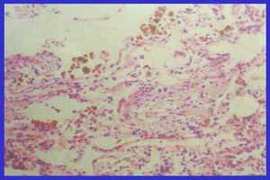
特發性肺含鐵血黃素沉著症2.光學顯微鏡檢查肺泡上皮細胞腫脹、變性、脫落和增生,肺泡腔內可見含有紅細胞或含鐵血黃素的吞噬細胞,肺泡壁彈性纖維變性,毛細血管增生,基底膜增厚,肺內小動脈彈性纖維變性,含鐵血黃素沉著,內膜纖維化、玻璃樣變。淋巴管周圍有淋巴細胞、漿細胞和含鐵血黃素巨噬細胞浸潤,淋巴管擴張。疾病後期可導致瀰漫性肺纖維化,肺氣腫,支氣管擴張等。
3.電子顯微鏡檢查廣泛的肺泡毛細血管損害,內皮細胞水腫,Ⅱ型肺泡上皮細胞增生,基底膜呈灶性破裂,蛋白沉積於基底膜,基底膜失去正常的結構。
診斷檢查
檢查診斷患者有反覆咯血(尤其是兒童),不明原因缺鐵性貧血,胸片上出現彌散性小結節狀或片狀、網狀陰影,應疑為本病。需作進一步檢查或肺活檢,如找到典型的含鐵血黃素巨噬細胞可明確診斷。
實驗室檢查:
血象顯示缺鐵性小細胞低色素性貧血,網織紅細胞增多。由於鐵沉積於肺泡巨噬細胞中,不能轉運作為合成血紅蛋白之用,血清鐵和鐵飽和度顯著降低,紅細胞鹽水脆性試驗正常。末梢血嗜酸性粒細胞可增高,血沉增快。由於血紅蛋白在肺泡內破壞,故血清膽紅素可以增高,血清IgA增高,直接試驗,冷凝集試驗、噬異凝集試驗可呈陽性,血清乳酸脫氫酶可增高,累及心臟者心電圖可異常。痰、胃液、支氣管肺泡灌洗液或肺活檢組織中找到典型的含鐵血黃素巨噬細胞對診斷有重要意義。肺活檢和纖維支氣管鏡檢查:肺泡出血多時,纖支鏡在支氣管內可見到血液,通過纖支鏡肺活檢或經開胸肺活檢等方法可做光鏡和電鏡的病理學觀察,以明確肺泡出血原因。血氣分析:患者早期多正常,肺泡出血多或廣泛肺間質纖維化時,PaO2降低,正常或下降,重者可呈現為Ⅰ型呼吸衰竭,後期肺氣腫,肺心病和出現呼吸衰竭時,PaO2下降外PaCO2可升高,血氣分析可表現為Ⅱ型呼吸衰竭。肺功能檢查:急性期因肺泡出血,紅細胞血紅蛋白可攝取一定量的CO,故CO測定的肺彌散功能dco反而增加,貧血時Dco須用血紅蛋白值校正。慢性期肺纖維化時,肺彌散功能減退,肺順應性、肺總量及殘氣量下降,呈限制性通氣功能障礙。後期合併肺氣腫、肺心病時,最大通氣量、一秒用力呼氣(FEV1)下降,則示混合性通氣功能障礙。
其他輔助檢查:
1.X線檢查
(1)急性發作期:胸部X線可正常,也可顯示多種多樣的表現。多見兩肺紋理增多,兩肺瀰漫性斑片、斑點樣影,以中下肺野和肺內帶明顯,有時可融合成大片狀或雲絮狀陰影,少數患者表現局限性或單側肺的病變,肺門、縱隔淋巴結可腫大。多數病例肺部病變在1~2周內明顯吸收,有的可延續數月或反覆出現。
(2)慢性發作間歇期:見廣泛間質纖維化改變,重者肺片中可有囊樣透明區。
2.胸部的CT檢查胸部CT檢查可較早發現雙側中下肺為瀰漫性小結節狀陰影。
鑑別診斷
病毒結構2.血行播散型肺結核本病胸片亦可見瀰漫性小結節,陰影以兩上肺野為多。患者有結核中毒症狀,很少咯血,也無貧血,痰含鐵血黃素巨噬細胞陰性,抗結核治療有效。
3.肺出血-腎炎綜合徵(Goodpasturesyndrome)此綜合徵特點是反覆咯血,胸片呈雙肺散在的小結節狀或片狀陰影。臨床有腎小球腎炎的表現。患者血清中能檢出抗腎小球基底膜(抗-GBM)抗體;免疫螢光檢查腎小球和肺泡毛細血管的基底膜上有免疫球蛋白IgG和C3沉著,這與IPH有重要區別。
治療方案
藥物治療1.對症治療急性發作期應臥床休息,吸氧,停服牛乳,給予止血劑,貧血者則應補充鐵劑,必要時需輸血。
2.腎上腺皮質激素腎上腺皮質激素控制急性期症狀療效較為肯定。急性期常用氫化可的松4~5mg/(kg?d),以後可改口服潑尼松1~2mg/(kg?d),症狀緩解後2~3周逐漸減量至最低維持量,持續用藥半年,若有反覆,維持量可用至1~2年。
3.免疫抑制劑腎上腺皮質激素治療無效者,可加用免疫抑制劑硫唑嘌呤1.2~2.5mg/(kg?d),成人患者用量為50~100mg/d,無副作用可持續用藥1年以上。療程1.5年效果良好。
4.血漿置換血漿置換能去除免疫複合物所產生的持久性的免疫損傷,使患者臨床症狀、胸部X線、肺功能得到改善。
5.鐵去除法為防止過度的鐵沉積於肺內造成肺組織損傷,可用鐵絡合劑驅除肺內沉積的鐵,阻止肺纖維化的發展。可用去鐵胺(去鐵敏,deferoxmine)治療,劑量25mg/(kg?d),肌注,用藥後可使鐵從尿內排出量明顯增加。因鐵絡合劑有一定的毒性作用,故未能廣泛使用。
6.對症治療對合併肺部感染,肺動脈高壓,肺心病,呼吸衰竭患者,需作相應的治療。
流行病學
1864年Virchow首先報導,1931年Ceelen於屍體解剖時發現此病,並提出IPH診斷,故又稱Ceelen綜合徵。我國自1960年至1983年共報導100例,作者所在單位曾報導12例。本病多見於兒童,成人約占20%,多在20~30歲,個例報導老年人發病。男女發病率大致相同。
食療方法
兔肉蘑菇絲原料鯉魚250克,鮮芹菜
50克,澱粉、薑絲、蒜絲、醬油、白糖、醋、精鹽、味素、黃酒、泡酸辣椒、菜油適量。
製作將鯉魚切成絲,芹菜切段,把醬油、白糖、醋、味素、黃酒、鹽、澱粉,上湯調成汁。炒鍋置旺火上,下油燒至5成熱,放人魚絲熘散,瀝去余油,放薑絲、泡酸辣椒。芹菜段炒出香味,而後烹入芡汁,放人亮油,起鍋即可。
2.兔肉蘑菇絲
原料熟兔肉100克,蘑菇
50克,蔥白25克,辣椒油、醬油、醋、白糖、香油、芝麻醬、花椒粉、味素適量。
製作將熟兔肉、蔥白分別切絲,蘑菇煮熟。蔥、蘑菇墊底,兔絲蓋面,盛入盤內。用醬油把芝麻醬分次調散,香油調勻成味汁,淋於兔絲卜即可食用。
3.鵪鶉百合湯
原料鵪鶉1隻,百合25克,生薑、蔥、味素、細鹽適量。
製作將鵪鶉殺後去毛、去腳爪、去內臟洗淨,放人開水中焯一下,撈出切塊;將百合掰瓣,洗淨,備用。將姜、蔥洗淨,姜拍破,蔥切段。鍋置於旺火上,倒入適量清水,放人鵪鶉,燒開,下百合、姜塊、蔥段,改用小火燉至鵪鶉熟時,加入鹽、味素燜數分鐘,入湯碗即可食用。
4.瘦肉白菜湯
原料瘦肉、大白菜心各100克,姜、蒜、鹽、味素、雞油少許。
製作瘦肉切絲,白菜洗淨、切絲,放入沸水中,剛熟時撈出,放清水漂淨,濾乾水分待用;鍋置於旺火上,下雞油燒五成熟,放人蒜,炒金黃色,再加瘦肉合炒,加入細鹽,人湯煮熟,再加白菜心煮沸,放入味素即可食用。
呼吸內科疾病
| 研究範圍及進展呼吸內科是研究呼吸系統疾病的學科。它是既古老又年輕的學科,說它古老是因為,自從人類認識疾病以來,呼吸系統疾病就一直是危害人類健康的常見病和多發病,八十年代中期的統計資料表明,呼吸系統疾病仍然是導致死亡的主要疾病。在死亡的順序上排列第二。現在我們來認識一下這些可怕的疾病吧? |

