成人呼吸窘迫綜合徵(簡稱ARDS)是急性呼吸衰竭的一種類型,以急性呼吸窘迫和低氧血症為主要表現,血氣檢查PaO2〈8.0KPa,常在嚴重創傷、大手術或危重內、外科疾病後發生。
疾病概述
成人呼吸窘迫綜合徵雖其病因各異,但肺組織損傷的病理和功能改變大致相同,臨床表現均為急性呼吸窘迫,難治性低氧血症,因其臨床類似嬰兒呼吸窘迫征,而它們的病因和發病機制不盡相同,故遂冠以“成人”,以示區別。
現在注意到本徵亦發生於兒童,故歐美學者協同討論達成共識,以急性(acute)代替成人(adult),稱為急性呼吸窘迫綜合徵,縮寫仍是ARDS。
病因病理
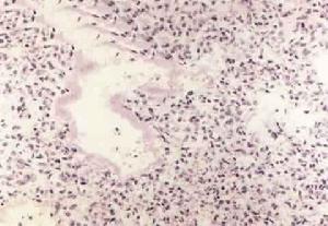
成人呼吸窘迫綜合徵ARDS時,病肺重量增加,呈暗紅色或暗紫色的肝樣變,肺泡含氣量少或不含氣。鏡下見肺微血管淤血、血流停滯,微血栓形成及小灶性出血。肺泡和間質內水腫,透明膜形成。灶性或大片的肺泡萎陷,後期可有炎性細胞浸潤和不同程式的上皮增生或纖維化。
儘管引起ARDS的基礎病多種多樣,但ARDS時肺臟發生的病理生理改變大同小異,主要是肺毛細血管內皮細胞通透性增加,肺泡表面活性物質減少,最終造成肺間質和肺泡水腫及難以糾正的低氧血症。
病狀體徵
成人呼吸窘迫綜合徵[影像學表現]
1.早期:肺紋理增重模糊,可有小斑片狀陰影,也可無異常X線表現。2.中期:肺內斑片狀或大片狀融合陰影,兩肺外帶比內帶重。3.晚期:兩肺廣泛的片狀陰影,甚至兩肺廣泛實變,心影輪廓消失,僅肋膈角處有少量含氣陰影。此期常合併感染,出現團塊、空洞或膿胸。
4.恢復期;約在發病1周后,病變陰影逐漸消失。5.必須結合病史、臨床表現和血氣分析綜合判斷,氧分壓小於8kPa(60mmHg),一般給氧治療無效,並需除外心源性或非心源性肺水腫。
[鑑別診斷]需與心源性或非心源性肺水腫鑑別
注意呼吸是否頻數(大於28次/min),有無發紺及胸部異常體徵。
成人呼吸窘迫綜合徵除原發病如外傷、感染、中毒等相應症狀和體徵外,主要表現為突發性、進行性呼吸窘迫、氣促、紫紺、常伴有煩躁、焦慮表情、出汗等。其呼吸窘迫的特點不能用通常的療法使之改善,亦不能用其他原發心肺疾病(如氣胸、肺氣腫、肺不張、肺炎、心力衰竭)解釋。
診斷檢查
成人呼吸窘迫綜合徵檢查兩肺有無肺紋理增加、斑片狀陰影或兩肺廣泛密度增加及呈“白肺”外觀。
2、血氣分析
①PaO2:吸空氣小於8.0kPa(60mmHg),吸純氧小於46.5kPa(350mmHg);
②PA-aO2:吸空氣大於6.65kPa(50mmHg),吸純氧大於13.3kPa(100mmHg);
③PaO2/F1O2<40kPa(300mmHg)診斷為急性肺損傷,而PaO2/F1O2<26.7kPa(200mmHg)則診斷為ARDS;
④PaCO2:早期降低,小於4kPa(30mmHg),晚期升高,大於6.0kPa(45mmHg)。
3、注意有無DIC情況
有條件時進行中心靜脈壓、Swan~Ganz導管檢查以測定混合靜脈血氧分壓和肺毛細血管楔壓以及靜動脈分流占總血流量百分數(Qs/Qt)]、血液膠體滲透壓監測等,了解心、肺及血液膠體情況。
4、排除慢性肺疾病、心源性肺水腫等疾病
可能引起ARDS的患者,當出現明顯呼吸困難和缺氧時應警惕ARDS,如果胸部X射線檢查及動脈血氣分析結果符合ARDS,並能除外造成肺水腫,缺氧的其他疾病,就可診斷為ARDS。
診斷依據:
1.在休克、創傷、燒傷、嚴重感染、中毒等過程中出現非原發病引起的進行性呼吸困難和用一般吸氧方法難以糾正的低氧血症,呼吸頻率〉35次/分,早期肺部無異常體徵,後期可有肺實變體徵或水泡音等。2.胸部X線表現:早期可無異常或有紋理增多,邊緣模糊。病情進展後出現斑片狀陰影,逐漸擴展形成大片實變。3.血氣分析:吸空氣時PaO2〈8.0KPa(60mmHg);吸純氧15分鐘後,PaO2〈46.6KPa(350mmHg);PaCO2〈4.66KPa(35mmHg),後期PaCO2可高於正常;分流率(Qs/Qt)〉10%。4.肺泡氣-動脈血氧分壓差(P(A-a)O2)顯著增大。5.必要時用漂浮導管測定肺楔壓(PCWP)以鑑別因左心衰所致的肺水腫,ARDS時PCWP不超過正常範圍(0.67-1.3kPa,即5~10mmHg)。具備以上1、2、3或1、3兩項者即可作出臨床診斷。本標準僅適用於在海拔不高地區居住的病人。
治療方案
應早期診斷和治療,措施包括:積極治療原發病(如控制感染、抗休克);實行機械通氣並使用呼氣末正壓,以糾正低氧血症;控制液體入量,保持液體負平衡,以解除肺水腫;使用α受體阻斷劑、低分子右鏇糖酐、腎上腺皮質激素學藥物改善微循環;及時發現並處理各種併發症,如消化道出血、急性肝腎功能衰竭、DIC、感染、心力衰竭、心律失常。1、糾正低氧血症(1)氧療:立即給氧並積極清除呼吸道分泌物,保持呼吸道濕化。吸空氣時PaO2入量500ml);②利尿劑套用:呋塞米40mg,每6h一次靜注;③強心劑套用;肺楔壓>3.3kPa(25mmHg)時應給予快速洋地黃製劑靜注;④低鹽白蛋白套用:療效可疑,多主張肺毛細血管通透性改善後再給予。(2)機械通氣:先用間歇正壓通氣(ippv),如吸氧濃度需50%才能使PaO2達理想水平時,應改用呼氣末期正壓通氣(PEEP)。IPPV吸氣末壓力一般用0.78~1.47kPa(8~15cmH2O),PEEP採用呼吸頻率20~30/min,吸氣壓約為3.7kPa(40cmH2O),呼氣末壓0.49~1.47kPa(5~15cmH2O)。應選擇最佳壓力以維持足夠的氧合及足夠的心排血量。慎防壓力過高引起氣胸和縱隔氣腫。(3)高頻正壓通氣(HFPPV)、模式人工肺(ECMO):兩者療效均未完全肯定,且前者易引起CO2瀦留,後者可破壞血液的有形成分,故都只能在有心功能不全時短時間套用。
2、消除肺水腫(1)早期套用大劑量糖皮質激素:地塞米松40mg,1次/6h,靜注,或甲基氫化潑尼松200~400mg,每6h一次,靜注。維持48~72h。
(2)改善微循環:①酚妥拉明5~10mg加入10%葡萄糖液500ml,靜滴,每12h一次,可擴張肺血管,降低肺楔壓,減輕肺淤血;②有DIC存在時可用肝素。
(3)保持液體平衡:①限止入量,保持水的負平衡(每日出量>入量500ml);②利尿劑套用:呋塞米40mg,每6h一次靜注;③強心劑套用;肺楔壓>3.3kPa(25mmHg)時應給予快速洋地黃製劑靜注;④低鹽白蛋白套用:療效可疑,多主張肺毛細血管通透性改善後再給予。
3、防治肺泡群不張
除使用PEEP可減少肺泡不張外,也可套用肺表面活性物質氣管內滴入或霧化吸入,以改善和減少肺泡群不張,進而增加通氣量,改善低氧血症。
4、注意各臟器功能衰竭的防治療5、積極進行病因治療

