簡介
“白肺”病在重症肺炎里是一種死亡率很高的疾病,一直是醫學界的一個診療難題。對“白肺”的診治,總結和歸納出綜合診療方案,充分運用國際最新的診療技術,能使該病有效緩解正確診斷對症治療。
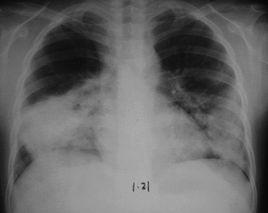
“白肺”病往往病因複雜,來勢兇險,臨床上對於該病的病原學診斷很難。治療該病的關鍵在於尋找病因並及時有效的綜合治療。一位併發症很多的糖尿病患者,2010年11月,在一次感冒後出現呼吸窘迫,經X線檢查顯示兩肺呈白色,被診斷為重症肺炎合併呼吸衰竭,並伴有心臟、腎臟等多個器髒功能衰竭,生命危在旦夕。明確診療,立即採取氣管切開、採用保護性肺機械通氣等措施,改善患者氧氣供應。在此基礎上,治療組根據臨床經驗和實驗數據,選擇對患者最適宜敏感的抗微生物製劑治療,終於挽救了患者的生命。
“白肺”病在藥物治療的同時,氣道管理、呼吸支持治療、營養支持及護理治療、心理疏導同樣重要。
病因
“白肺”最常見的病因是感染,其次是瀰漫性肺泡出血綜合症、急性呼吸窘迫綜合徵(ARDS)等,專家治療組根據“白肺”的不同類型,深入探索全新的治療模式,他們在查閱大量國外文獻的基礎上,結合自己臨床經驗,提出了保護性肺通氣策略,如低潮氣量、低氣道壓、控制過快呼吸頻率等、大劑量丙種球蛋白衝擊治療、床旁持續血液淨化、積極控制感染、控制併發症及多器官衰竭為一體的綜合治療方法等。
“白肺”的病原學診斷非常重要,湘雅醫院呼吸科重症監護學組在常規的痰液檢查、支氣管分泌物和灌洗液檢查的基礎上,採取支氣管黏膜活檢、肺活檢等手段明確病原學,使得原本需要4-5天的確診時間縮短到僅需1-2天,為下一步對症治療贏得寶貴時間,大大提高了診治率。
對於何時用哪種藥物治療,以及何時插管、何時吸痰、何時給氧等都有非常多的講究。同時,還需要密切觀察患者尿量、尿色、排便、體重等變化。對於兒童和老人治療難度和風險則更大。患者慢性支氣管炎、肺氣腫多年,2010年12月在一次感冒後,通過治療出現休克性血壓,當即被送到急診科。初診後發現其嚴重呼吸衰竭,繼而立即給予氣管插管。床旁照片雙肺呈白色,診斷為重症肺炎、敗血症、感染性休克,病情及其危重。由於患者平時營養狀態不佳,加之病情危重複雜、年齡偏大、多器髒衰竭,在經口氣管插管治療1周后,一方面用強有力的抗生素治療嚴重細菌感染,另一方面改善血液循環、調整機體微環境、加強營養支持。

