疾病概述
過敏性急性小管間質性腎炎觀察症狀體徵
過敏性急性小管間質性腎炎
過敏性急性小管間質性腎炎顯像本病常發生急性腎功能衰竭,其20%~50%的病例為少尿型或無尿型。許多病例,尿檢查結果與急性腎小管壞死(ATN)相似。腎功能衰竭程度各不相同,其中超過30%的患者需要接受透析治療。在多數所報導的早期藥物性ATIN病例,急性腎損害與急性過敏反應臨床表現之間的相關性可提示本病診斷。多中心前瞻性研究評價了速發性變態反應症狀在預示ATIN方面的價值,其中血嗜酸性細胞增多對預示ATIN意義最大。部分病例可以全無上述過敏症狀,腎功能衰竭可單獨發生,特別是30%~40%的病例系非少尿型腎功能衰竭,這些情況下本病診斷尚有困難,因此,過敏性間質性腎炎臨床上常易漏診,除非對所有不明原因的急性腎功能減退均進行腎活檢。
疾病病因
過敏性急性小管間質性腎細胞1.抗生素
(1)β-內醯胺抗生素:二甲氧基苯青黴素、依匹西林、青黴素、氯唑西林、羧苄西林、新青黴素Ⅱ號、乙氧萘胺青黴素、羥氨苄青黴素。
(2)頭孢菌素:先鋒黴素Ⅰ、頭孢拉定、先鋒黴素Ⅳ、甲氧噻吩頭孢菌素、頭孢唑啉、先鋒黴素Ⅱ。
(3)其他抗生素:利福平、米諾四環素、多西環素、慶大黴素、萬古黴素、林可黴素、美洛西林(Mezlocilin)、氯黴素。
2.磺胺增效磺胺甲基異惡唑、磺胺甲基異惡唑、磺胺噻唑、磺胺甲嘧啶。
3.非類固醇抗炎藥苯氧基氫化阿托酸(苯氧布洛芬,Fenoprofen)、對異丁苯丙酸(布洛芬,Ibuprofen)、萘普生(Naproxen)、Glafenenin,甲苯醯毗酸鈉(痛滅定,Tolmetin)、苯醯吡酸鈉(佐美酸鈉,Zomepirac)、吲哚美辛(消炎痛)、二氟尼柳(Diflunisal)、保泰松(Phenylbutazone)、舒林酸(Sulindac)、安替比林(Phenazone)、亞磺比拉宗(Sulfinpyrazone)、氨基比林(Aminopyrine)。
4.抗驚厥藥苯妥因鈉、苯巴比妥、卡馬西平(Carbamazepine)。
6.利尿藥噻嗪類(Thiazides)、速尿、三氨苯蝶啶(Triamterene)、氯噻酮。
8.其他別嘌醇、西咪替丁、卡托普利(開搏通)、益多脂(安妥明)(Clofibrate)、苯異丙胺(Amphetamine)、γ-氨基水楊酸。發現引起急性過敏性間質性腎炎的藥物種類很多,由抗生素引起的占2/3,然而,通常只有幾種藥物常被報導可引起AIN。甲氧西林通常被認為是導致AIN的常見藥物,現在已較少使用。與急性間質性腎炎強相關的藥物有:甲氧西林(新青黴素Ⅰ)、青黴素類、頭孢噻吩(先鋒黴素Ⅰ)、非類固醇抗炎藥和西睬替丁,可能相關的有:羧苄西林(羧苄青黴素)、頭孢菌素類、苯唑西林(新青黴素Ⅱ)、磺胺類、利福平、噻嗪類、呋塞米、白細胞介素、苯茚二酮。弱相關的有:苯妥英、四環素、丙磺舒、疏甲丙脯酸、別嘌醇、紅黴素、氯黴素和益多脂(安妥明)。近年來國內外均有報導由於中草藥過敏所致急性過敏性間質性腎炎,應引起注意。
病理生理
過敏性急性小管間質性腎炎檢測有關本病發病機制的證據來自人體研究,尚無滿意的實驗模型。本病部分病例血清IgE水平增高,腎間質存在大量單個核細胞包括淋巴細胞、單核細胞和多核巨細胞,偶然可發現有IgG、C3沿TBM呈線樣沉積,這些發現是建立本病發病機制假說的3個基本因素。
本病發病機制第1步可能是藥物半抗原與腎間質和(或)小管基底膜(TBM)結構蛋白的結合,從而形成穩定的半抗原-蛋白複合物。該結合抗原應能啟動抗體介導的反應,以及遲發性變態反應,隨後通過體液免疫或細胞免疫引起腎損害。有研究表明抗體與小管間質抗原原位結合,可能通過激活補體引起炎症,或通過誘導趨化反應直接介導炎症,或對小管細胞產生直接的毒性作用,或在抗原與抗體依賴的細胞介導的細胞毒作用之間起橋樑作用。
在少數病例,體液免疫反應生成IgE抗體,生成的IgE抗體能直接與組織嗜酸性細胞、嗜鹼性細胞和肥大細胞特異受體結合,引起這些細胞脫顆粒,釋放蛋白酶、組胺、PAF、白三烯、前列腺素和過氧化物酶,直接造成局部組織損傷。觀察提示,在藥物引起的ATIN的發病機制中存在細胞介導的免疫機制,多數病例可見以單個核細胞為主的細胞浸潤,內含上皮細胞和多核巨細胞,此病變與免疫球蛋白不相關。
有人根據研究結果推測,本病腎損害的發生機制涉及到從致病藥物沿小管基膜(TBM)和(或)間質的沉積,到淋巴細胞對藥物的致敏等多個環節,隨後發生的腎組織淋巴細胞浸潤導致各種淋巴因子和其他造成組織損傷的介質的釋放。研究結果提示藥物半抗原可能結合在小管細胞表面,因此它們也可能作為T細胞介導的細胞溶解或抗體依賴性細胞介導的細胞溶解(ADCC)。
免疫組織學研究發現部分病例浸潤細胞中T淋巴細胞占優勢,在急性間質浸潤時常見CD4+和CD8+T淋巴細胞亞群,在抗生素和NSAID引起的藥物性急性小管間質性腎炎病例尤以CD8+細胞浸潤為主,而在由其他藥物引起的藥物性急性小管間質性腎炎病例以CD4+細胞浸潤為主。
VanYpersele將以往在實驗中得出的各種有關本病發病機制的結論和臨床觀察到的各種免疫紊亂結合起來,提出假說:這些在間質積累的藥物,一方面可能是通過破損的TBM彌散,一方面可能是藥物在小管周圍毛細血管濃縮,另一方面可能是與TBM半抗原結合。
根據免疫學原理,體液免疫可以是系統性的,表現為針對相應藥物或TBM的循環抗體的形成,也可是局部的,表現為單核細胞、淋巴細胞和漿細胞的間質浸潤,這些細胞能在局部合成免疫球蛋白並形成原位複合物。遲發性變態反應則可導致由巨噬細胞激活的淋巴細胞的間質浸潤。因此,一個可以接受的觀點是,相同藥物可以通過不同免疫機理引起同一小管間質損害,而反應類型由患者先天的免疫反應性、免疫刺激的程度和特點以及致病因子的量決定。非甾體類抗炎藥引起的ATIN的發病機制與其他藥物引起ATIN的上述機制不同,它們是通過抑制前列腺素合成等機制介導的。
診斷檢查
過敏性急性小管間質性腎炎檢查1.近期有過敏性藥物用藥史。
2.全身變態反應NSAID類藥導致的AIN不常見;尿液中的嗜酸性粒細胞增高是過敏性間質性腎炎診斷的重要線索,但陽性率往往不高,尿液鹼化有助於發現嗜酸性粒細胞。兩側或單側肋腰部疼痛並不常見,這可能是由於腎臟瀰漫性腫大牽拉腎包膜所致;在炎症細胞浸潤的間質性腎炎中,放射性枸櫞酸鎵顯像常為陽性。尤其在疾病的早期階段,這個檢查顯得更有意義。
3.尿檢查異常無菌性白細胞尿(包括嗜酸性粒細胞尿)可伴白細胞管型,鏡下血尿或肉眼血尿,輕度至重度蛋白尿(常為輕度蛋白尿,但非類固醇抗炎藥引起者蛋白尿可達重度)。
4.在短期內出現進行性腎功能減退近端和(或)遠端腎小管功能部分損傷及腎小球功能損害。
B超示雙腎大小正常或偏大。凡具備以上1,2及3和(或)4者,臨床診斷可以成立。但是,非典型病例(尤其是由非甾體抗炎藥致病者)常無2,必須依靠腎活檢病理檢查確診。腎活檢見病理改變為雙側腎臟瀰漫性病變,腎間質瀰漫或多灶性的炎症細胞浸潤,導致的間質水腫,腎小管有不同程度的退行性改變乃至壞死;腎小球多正常。部分患者可見免疫球蛋白IgG和補體C3的沉積,或血中可測得抗TBM抗體。
腎活檢的指征包括停藥後不能自行恢復和(或)腎功能仍進行性下降。腎活檢有助於和急性腎小管壞死鑑別,該病的組織學特點為廣泛的腎小管損害和缺乏炎症反應。很多情況下腎活檢對於ARF病人來說是必需的,因為組織學診斷對於一些治療有著特別的意義。
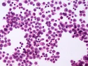
過敏性急性小管間質性腎炎病變1.血常規嗜酸細胞增多。
2.尿常規肉眼或鏡下血尿;白細胞尿,如經Wright染色,主要為嗜酸性粒細胞;可見輕、中度蛋白尿,如腎小球受損可產生大量蛋白尿。
3.血生化BUN、Sc3升高。血免疫球蛋白IgE含量升高。血中可測得抗TBM抗體,部分患者可見血肌酐急性升高。
其他輔助檢查:
1.腎活檢病例檢查本病病理改變為雙側腎臟瀰漫性病變。腎間質瀰漫或多灶性的炎症細胞浸潤,導致的間質水腫,腎小管有不同程度的退行性改變乃至壞死;腎小球多正常。部分患者可見免疫球蛋白IgG和補體C3的沉積。
(1)光鏡檢查:腎活檢可見累及整個皮質的瀰漫性間質水腫,中度到嚴重的間質浸潤,主要由淋巴細胞、漿細胞和嗜酸性細胞組成,嗜酸性細胞一般在較早時間出現並迅速消失。由於臨床上對本病病例的腎活檢常進行較晚,組織中嗜酸性細胞增多可能已不明顯。小管改變包括白細胞浸潤,其特徵性表現是緊密圍繞小管外面的單層小、中淋巴細胞浸潤,而其他淋巴細胞位於小管基底膜對面的位置以及緊密連線的小管上皮細胞之間,可伴或不伴小管基底膜破損。Ooi等將此描述為小管炎(tubulitis)。間質可以出現有巨核細胞的肉芽腫,被認為是對藥物超敏反應的特異表現。在一些報導中,腎間質上皮細胞肉芽腫見於25%~50%的藥物性ATIN。腎小球與血管一般正常,也有腎小球和血管病變的個例報告。
(2)免疫螢光檢查:部分病例可見IgG線樣沉積,偶見沿小管基底膜有C3沉積。這些表現主要見於甲氧西林、青黴素或苯妥因引起的ATIN。使用相應抗體,在3例本病患者檢測到沿TBM呈線狀沉積的甲氧西林抗原-二甲氧苯青黴烯醯基,提示半抗原.載體機制可能與這些病例抗-TBM抗體的誘導有關。在一例苯妥因鈉引起的ATIN患者檢測到抗TBM抗體,同時發現沿TBM沉積的苯妥因鈉。但在多數已報導的病例,免疫螢光檢查未見腎組織有免疫球蛋白、補體和纖維素沉積。
(3)電鏡檢查:有少數文獻報導藥物性ATIN電鏡表現。Ooi等發現小管細胞線粒體腫脹,粗面內質網顯著擴張,遠端小管病變較近端小管嚴重。皮質小管的管周基底膜增厚並分成多層,增厚的原因可能是基底膜物質的增生。由於間質結構的破壞,間質區域的病變被Galpin等描述為混亂病變(chaotic)。炎性浸潤的細胞由淋巴細胞、漿細胞和嗜酸細胞組成,有少量中性粒細胞。腎小球一般正常,只在並發腎病綜合徵的藥物性ATIN病例發現明顯的足突融合。
(4)非甾體類抗炎藥腎病病理改變:非甾體類抗炎藥引起的ATIN的病理變化與上述其他藥物引起ATIN不同,常伴有小球受累。
2.其他B超檢查雙腎體積增大。
鑑別診斷
過敏性急性小管間質性腎炎診斷2.與急性腎衰竭鑑別急性腎小球腎炎、急進性腎小球腎炎、原發性腎病綜合徵、狼瘡性腎炎及急性腎小管壞死所致的急性腎衰竭,均具有急性腎衰竭的共同表現及各自原發病的特殊表現,但沒有全身變態反應及嗜酸性細胞尿等表現。鎵掃描檢查在急性間質性腎炎時其腎攝取密度增加,而急性腎小管壞死則不攝取,亦可助鑑別診斷。
3.在原有慢性腎小球疾病出現腎衰竭的鑑別當出現原因不明的急性腎衰竭或進行性腎衰竭,腎功能下降難以解釋時,應警惕急性過敏性間質性腎炎的可能。尋找全身過敏表現如皮疹、血中IgE升高、嗜酸性粒細胞尿等均有助於診斷。必要時腎活檢明確診斷。
4.與嗜酸性粒細胞尿鑑別嗜酸性粒細胞尿也可見於上、下尿路感染、急進性腎炎、IgA腎病、梗阻性腎病、慢性腎衰竭、腎乳頭壞死、前列腺炎、急性腎移植後排異和動脈粥樣栓塞性疾病。應以各自不同的臨床特點來進行鑑別。
治療方案
過敏性急性小管間質性腎炎試驗2.營養及支持治療急性過敏性間質性腎炎可導致急性腎衰竭,而急性腎衰竭常伴有蛋白質的高分解代謝狀態,加上食入量的限制,往往可導致營養不良。雖然部分病人沒有顯示出明顯的負氮平衡,但大多數病人都有不同程度的淨蛋白分解(即體內的蛋白質合成總量與分解代謝總量的差值為負值),以及水與電解質平衡或酸鹼平衡失調。對於不能進食的急性腎衰竭病人應給予恰當的營養支持和補充輔助療法。
急性腎衰竭病人的營養供給,原則上是量出而入,按需供給。尿素氮顯現值是衡量或評估病人對氮質營養需求大小的常用指標。當病人的尿素氮顯現率較低時,如病人當前沒有接受透析治療,給予含氮量較低[如20~30g/d的必需胺基酸或0.6g/(kg/d)的蛋白質營養飲食或消化道外營養,可能會很有幫助。只要持續1~2周,一般都可維持中性氮平衡或輕微的負氮平衡,使體內氮質產物的積聚率降到最低,故能顯著地減少或避免病人對透析治療的需要。對予尿素氮顯現率>4~5g/d。營養不良、正在接受透析治療或需要較長時期提供營養支持的患者,通常需要給予相當大量蛋白質或胺基酸的飲食或輸液,以補給1~2g/(kg/d)的必需胺基酸和非必需胺基酸。大量氮的攝入可使病人的負氮平衡減輕,但其尿素氮顯現率幾乎總是升高的,而且攝入的大容量液體是供給適量的能量和胺基酸必不可免的,因此會使病人對透析治療的需求明顯增多。對於那些剩餘腎功能較大,對液體負荷耐受性較高以及心肺系統功能較強的病人,通常對大量的氮質營養攝取的耐受性較大;而對於大多數病人來說,只要接受適當的透析治療,是可以耐受高氮量攝入的。
病人攝入營養物的途徑有口服和鼻飼等消化道攝入,以及靜脈輸注即消化道外營養方法。能進食或耐受鼻飼的病人最好不要採用消化道外營養的方法。對於由消化道攝入的病人,所選製劑應以能夠提供足夠蛋白質如透析治療病人為1~2g/(kg/d)的同時,液體容量最少及鉀濃度最低為原則。此外,還應當考慮到製劑中所含必需胺基酸和非必需胺基酸的合理比例。對於不能接受消化道營養的營養不良或在接受透析治療的病人應採用全靜脈營養療法給予1~2g/(kg/d)必需胺基酸和非必需胺基酸補充。若病人並發有嚴重的尿毒症,或容量超負荷,或者病人的血清電解質濃度不正常。或者不能進行透析治療,則應視具體情況調整營養輸液的組成和容量。由於急性腎衰竭病人通常有不同程度的負氮平衡,因此應供給較大量的熱量以減少體內蛋白質和胺基酸的分解,改善和逆轉負氮平衡。通常這類病人的熱量需要量大致為125~188kJ/(kg?d)。有關急性腎衰竭病人對維生素的需要,了解還不是很清楚。適當補充水溶性維生素是必要的,但對於脂溶性維生素的補充則應持慎重態度;電解質的補充應以其血清濃度變化為基準,因人因時而異。
3.藥物治療實驗和臨床套用都提示腎上腺皮質激素治療常獲得利尿、腎功能改善和血肌酐下降至正常之療效。對於血清肌酐輕微升高的病人,或者停藥後3~5天腎功能顯著恢復的病人,多無需激素等特殊治療。對於腎活檢顯示腎臟不可逆損害,免疫抑制藥治療也是不必要的。對於持續性腎衰竭的病人,應早期開始治療。主張激素短程治療,口服潑尼松劑量推薦為30~60mg/d,至少連續套用4周。對於重症腎衰竭的病人,最好由靜脈給藥,一般為甲潑尼龍0.5~1g/d,連用3天。也有報導甲潑尼龍240mg/d對治療急性過敏性間質性腎炎已足夠,並逐漸減量,療程為2~4周,然後改為口服潑尼松2~4個月。對於不適合做腎活檢,而臨床症狀又高度提示急性間質性腎炎的病人,可用1mg/(k/?d)劑量的潑尼鬆口服2~3周,作為診斷性治療。若病人用激素治療後,血肌酐濃度基本無變化或腎活檢顯示輕度或無間質纖維化者,可予糖皮質激素治療的2周內加用細胞毒藥物如環磷醯胺2mg/(kg?d)配合治療,如果仍然療效不明顯,免疫抑制藥應逐漸減量,並在5~6周內停用。如果腎小球的濾過率有改善則繼續用環磷醯胺1~2個月,並逐漸減糖皮質激素。但是在使用免疫抑制藥前最好進行腎活檢確診AIN,因為當病變超過10~14天即可出現腎間質纖維化,此時使用免疫抑制藥則弊大於利。治療急性過敏性間質性腎炎時細胞毒類藥使用時間不宜過長,防止由於用藥引起併發症。
4.水、電解質代謝紊亂的矯正急性過敏性間質性腎炎部分病人可出現少尿型急性腎衰竭,須積極處理液體、電解質、酸鹼、氮代謝的紊亂。
(1)水中毒伴左心衰竭:24h補液量為顯性失液量及不顯性失液量之和減去內生水量。以下幾點可作為觀察補液量適中的指標:
②每天體重不增加,若超過0.5kg或以上,提示體液過多。
③血清鈉濃度偏低,且無失鹽基礎,提示體液瀦留。
④中心靜脈壓正常在0.59~0.98kPa(6~10cmH2O),若高於1.17kPa(12cmH2O),提示體液過多。
⑤胸部X線片顯示血管影,若顯示肺充血徵象,提示體液瀦留。
⑥心率快、血壓升高、呼吸頻速,若無感染徵象,應懷疑體液過多。另外根據每天測量體重來維持液體平衡是簡單而實用的方法。急性腎衰竭病人可能會出現高容量性左心衰竭,主要是套用透析方法、解決過多的水負荷。
(2)鉀平衡紊亂(高血鉀):血鉀輕度升高(<6.0mmol/L),可限制含鉀食物的攝入並停用各種導致血鉀升高的藥物。若血鉀升高到>6.5mmol/L,特別當出現心電圖改變時,應緊急治療。
①注射鈣劑:鈣能對抗鉀對心臟的毒性作用。常用10%葡萄糖酸鈣10~20ml緩慢靜脈推注,嚴密注意心率、心律變化。
②鹼性藥物:鹼性藥物能使血液中的鉀向細胞內轉移,從而降低血鉀;特別是同時伴有代謝性酸中毒的病人更應將其作為首選措施。常用5%碳酸氫鈉250ml靜脈滴注。
③輸注葡萄糖和胰島素:常用25%~50%葡萄糖液250ml,按6g葡萄糖加用1U胰島素進行靜脈滴注。並立即準備行血液透析治療。
過敏性急性小管間質性腎炎治療5.透析療法急性過敏性間質性腎炎出現急性腎衰竭,若病情輕而無明顯的併發症者,採用非手術療法在短期內即有好轉的跡象,是無須進行透析治療的。但如果病人的病情較重並且在進行性發展,而非手術治療無明顯效果或難以進行非手術治療時,就應儘早考慮採用透析治療。臨床上用於急性腎衰竭治療的透析技術主要是血液透析、血液濾過和腹膜透析。三種透析技術各有各的優缺點,可適用於不同臨床背景的急性腎衰竭病人的搶救與治療。但由於血液透析的總體效率較為顯著,而且普及的程度也較高,故血液透析仍是臨床用於急性腎衰竭搶救與治療的最常用透析治療技術。因為它們各自所具有的優點和缺點,一般可分別用於不同的臨床情況。肌酐≥500μmol/L或伴高血鉀應積極行透析治療。
(1)血液透析:可考慮用於以下臨床情況的急性腎衰竭病人的治療:
①分解代謝型急性腎衰竭。
②急需溶質清除,如出現了高血鉀或高血鈣症狀的急性腎衰竭。
③攝入了可被透析清除的毒性物質。
④腹膜透析或血液濾過失敗(通常是由於清除不充分引起),或者因不能建立起適當的血管通路或接受必需的抗凝措施而不能進行血液濾過,以及因腹部手術或感染而不能進行腹膜透析的急性腎衰竭病人。
(2)血液濾過:可考慮用於以下情況。
①血流動力學狀況不穩定但需要進行超濾脫液和(或)溶質清除的病人。
②排尿量恆定但需要超濾的非少尿型病人。
③需要每天進行超濾脫液的病人。
④需要緊急透析治療,但無進行血液透析和腹膜透析的條件者等。
(3)腹膜透析:可考慮用於血液濾過相同的情況,包括:①不能建立適當的血管通路或不能接受必要的抗凝治療者;②無血液透析和血液濾過條件的臨床環境;③血流動力學狀況不穩定但需要進行透析治療者。
(4)急性腎衰竭時的透析治療:首先要解決的問題就是要明確治療指征。能夠被透析療法緩解的死亡前指征就是透析治療的絕對指征。這些絕對指征適當擴展即可成為急性腎衰竭行透析治療的相對指征。
①絕對指征:高鉀血症:與心肌毒性相聯繫的高鉀血症,歷來都是急性腎衰竭病人啟用透析療法的公認指征。高血鉀的發生及其危害性是隨著引起急性腎衰竭的病因及其併發症不同而異的。高鉀血症是少尿型急性腎衰竭病人在少尿期內死亡的主要原因,故一旦發生,應迅速予以糾正。當非手術治療措施不能將血鉀濃度控制在6.5~7.0mmol/L水平時,必須使用血液透析治療。在現有糾正高鉀血症的各種方法中,血液透析是最快而有效的方法。
血容量過多:即使是非少尿型急性腎衰竭病人,並在腎衰竭的早期即開始適當限制液體的攝入量,病人仍可能出現血容量過多。體液過多所引起的臨床表現可分為兩類。一類是血管內容量擴張所引起的高血壓和充血性心力衰竭,另一類體液過多的臨床表現是血管外液過多所引起的,這些臨床病症本身單獨也不能作為判斷是否應進行透析治療的指征。但出現呼吸衰竭前的肺水腫可作為急性腎衰竭病人迫切需要進行透析治療的絕對指征。
尿毒症:是需要進行透析治療的絕對指征,已經趨向於早期套用透析治療,即預防性透析治療。在所有適應透析治療的急性腎衰竭併發症中,經透析治療後,中樞神經系統功能紊亂的改善和提高是最為明顯的。
酸中毒:除非病人並髮長期的嘔吐,或正在接受鼻胃管引流,否則在急性腎衰竭形成過程中多數都伴有代謝性酸中毒。在pH低於7.2以前,酸中毒所引起的臨床症狀是不明顯的,pH低於7.2的酸中毒狀態,存留鹼緩衝容量就非常小了,以至於當血中碳酸輕度降低,即可導致極度的酸中毒和嚴重的心血管效應。這種情況時最好是採用透析療法進行治療,一般來說,對於高分解代謝等產酸迅速增多的病人,血液透析無疑是首選的治療方法。
②相對指征:急性腎衰竭透析治療的相對指征,是一些通常不造成生命威脅,並且往往採用非手術療法即可加以控制的機體代謝紊亂,加上有較低程度的容量負荷或預計會出現營養過度、中度神經功能紊亂或進行外科手術等。
(5)急性腎衰竭透析治療的中止:對於少尿型急性腎衰竭病人,透析治療可以每天最小排尿量達到800ml左右作為中止的標誌,因為排尿量達到這樣的水平,病人自身的腎功能通常已足以使尿素清除率達到透析治療所能達到的水平。每次透析前後所測定的血清肌酐濃度變化也可用於評價腎功能的恢復,尤其是對於非少尿型急性腎衰竭病人,如透析前的血清肌酐濃度與上一次透析結束後的差別不大,甚至低於上一次透析結束後的血清肌酐濃度,則表明病人自身的腎功能已經恢復,即應儘快撤除透析導管,終止透析治療。
總而言之,所有的病人在停用腎毒性藥,或者套用糖皮質激素治療後,很快就會好轉。但是,腎功能卻不一定能夠完全恢復。因此,應該儘快診斷並治療,以減少腎功能的損害。
預後預防
過敏性急性小管間質性腎炎治療儀急性過敏性間質性腎炎預後取決於以下幾個因素:
1.皮質區間質炎性細胞浸潤的範圍及程度,瀰漫浸潤者預後差。
2.浸潤細胞中中性粒細胞比例高,預後差。
3.治療後腎功能無改善者,血肌酐持續升高者預後差。
4.病變累及腎小球和血管者預後差。
5.治療方案與預後密切相關,腎上腺皮質激素治療配合透析療法,可大大改善預後。在一項前瞻性研究中,Kleinknecht及其協作者對藥物性急性腎小管壞死(ATN)和藥物性ATIN的主要特徵進行了比較,結果發現,非少尿型ARF、超敏反應的臨床和生物學表現、腎功能衰竭時間延長、遷延的腎功能損害等情況在ATIN患者更常見。能否良好恢復與治療前腎功能衰竭持續時間有關。Laberke和Bohle的研究表明,ARF持續3周或3周以上的ATIN,其預後顯著比無ARF者、ARF持續2周或2周以下者要差。有無瀰漫性浸潤也與腎功能恢復有關,瀰漫性浸潤常導致腎功能損害的持續存在。引起ATIN的藥物種類也能影響患者長期預後,NSAID更常與不可逆的慢性腎功能衰竭有關。遷延的或未治的間質損害常導致不可逆的慢性間質纖維化。臨床及早考慮到藥物性ATIN,確定並去除致病藥物,是使患者腎功能得到迅速和完全恢復的重要因素。皮質類固醇藥物對加快本病恢復或改善預後的意義尚不肯定,潑尼松(強的松)治療有效的證據只是來自少數缺乏嚴格控制的非隨機性研究和病例報告。Neilson不認為持續的間質性腎炎是一種預後特別良好的病變,並認為,對於腎功能衰竭在撤出致病藥物後仍持續1周以上、並經腎活檢證實的急性間質損害,有限療程的大劑量潑尼松(強的松)治療應謹慎考慮。皮質類固醇對血清肌酐升高達1周以上、但腎功能衰竭持續時間未達數周的病例可能是有效的,如經過3~4周治療而無反應,則應停止類固醇治療。
預防:主要是慎重使用各類易引發本病的相關藥物,對有過敏性疾病者應積極對症治療,預防引起間質腎炎的發生。
