類型
感染性
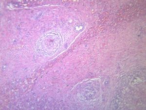
肉芽腫如結核病是由結核分枝桿菌引起的肉芽腫性炎,其病變特徵是形成典型的結核性肉芽腫(tuberculousgranuloma),即結核結節(tuberculousnodule),該結節的中央為乾酪樣壞死,周圍伴有增生的上皮樣細胞和朗漢斯多核巨細胞(langhansmultinucleategiantcell),並伴有淋巴細胞和成纖維細胞圍繞。
異物性
是指由異物(外科縫線、粉塵、滑石粉、木刺等)引起的肉芽腫。病變以異物為中心,周圍有多量巨噬細胞、異物巨細胞(foreginbodygiantcell)、成纖維細胞和淋巴細胞等包繞,形成結節狀病灶。
結節病
是指結節病時發生的非壞死性上皮樣細胞肉芽腫。結節病是一種尚未明確病因的全身性疾病。該肉芽腫主要由上皮樣細胞、多核巨細胞和淋巴細胞構成,無乾酪樣壞死。
細胞成分
上皮樣細胞
肉芽腫多核巨細胞
肉芽腫內的多核巨細胞由上皮樣細胞融合而來,其胞體巨大(40~50μm)胞漿豐富、嗜酸,胞核數十至數百不等。據其胞核分布特點,可將多核巨細胞分為規則型和雜亂型兩大類。前者為朗漢斯巨細胞langhansgiantcell),其細胞核排列在細胞周邊部,依切面不同,可呈現花環狀或馬蹄形,常見於感染性肉芽腫;後者細胞核在胞質內的分布雜亂無序,常見於異物性肉芽腫,故名異物巨細胞(foreignbodygiantcll)。
如何預防
(1)加強營養,增強體質。
(2)預防和控制感染,提高自身免疫功能。
(3)避免風寒濕,避免過累,忌菸酒,忌吃辛辣食物。
早期診斷,了解感染情況,做好臨床觀察,早期發現各個系統的損害,早期治療,主要控制感染。
注意肺、腎、心及皮膚病變,並注意繼發性感染的發生。此外,神經系統、消化系統亦可能被累及,套用中藥可有調節免疫,清熱解毒,活血化瘀的功效。
原因和引起
肉芽腫2、變態反應或自身免疫在毛細血管壁內有免疫球蛋白沉積,並在疾病活動期病人血清中出現免疫複合物,套用免疫抑制劑治療,症狀緩解時則消失。免疫螢光試驗,發現腎小球甚底膜有C3和lgG,電鏡檢查看到基底膜內有免疫複合體一樣的粗顆粒狀物,環免疫複合物升高;皆為自身免疫性疾病。
3、細菌病毒感染學說新近研究發現,在採取肉芽腫組織進行細胞培養及病人血清內,均找到細菌和病毒小體,故認為與細菌病毒感染有關。

