淋巴瘤樣肉芽腫流行病學
淋巴瘤樣肉芽腫淋巴瘤樣肉芽腫病散見於各年齡組由Liebon於1972年首先報告其為系統性血管浸潤性伴有血管中心壞死性肉芽腫反應的血管炎其發病原因不明病變原發於肺部可侵入皮膚腎臟和中樞神經系統對此病的性質尚有爭論。1984年Jaffe提出其是一種血管中心性免疫增生性病變(angiocentric immunoproliferative lesionAIL)曾名為多形性網狀細胞增生症(polymorphic reticulosis,PMR)。1988年Caulard通過電鏡和組織學研究,發現本病有異常的T-cell phenotype,推測可能為血管中心性T淋巴瘤的變異,目前稱之為血管中心性免疫增殖性病變(Angiocentric immuno-proliferative lesionAIL)或血管中心性淋巴瘤(angiocentric lymphoma)。
本病可發生於任何年齡,平均年齡為50歲,發病年齡最小者為8歲最大者為85歲,以20~60歲最多見。兩性均可發病男性略多於女性,男女發病比例為1.7∶1死亡率為60%。
病因
淋巴瘤樣肉芽腫——病因病因不明。主要侵犯肺部表現為壞死性肉芽腫和壞死性血管炎伴異形淋巴樣細胞浸潤,部分最後發展為淋巴瘤有人認為是淋巴瘤的變形。從組織病理上看本病既有血管炎改變,又有肉芽腫反應這些改變符合變態反應。從而推測淋巴瘤樣肉芽腫可能是一種伴有變態反應的腫瘤性疾病伴有的變態反應可能是針對尚未證實的一種腫瘤抗原的抗原抗體反應。體內免疫反應失調或損傷性疾病如腎移植病毒性肝炎、乾燥綜合徵及類風濕關節炎,常並發淋巴瘤樣肉芽腫,這種相關作用及淋巴瘤樣肉芽腫,與非典型性淋巴網狀細胞浸潤有一定的相似性。用慢性免疫抑制治療某些先天性免疫缺損狀態如Wishkott-Aldrich綜合徵、Louis-Bar綜合徵,偶爾也可並發淋巴瘤樣肉芽腫以上臨床觀察說明淋巴瘤樣肉芽腫可能是一種繼免疫失調或受損而發生的免疫增生性疾病,也有人考慮過自身免疫機制對淋巴瘤樣肉芽腫的致病作用另據部分患者存有T淋巴細胞功能不全有腎移植後發生LYG的病例以及LG和類風濕性關節炎或乾燥綜合徵伴發故考慮免疫異常和LYG的發生可能有關
部分患者在病程中檢出EB病毒感染的證據嗜異性凝集試驗陽性故提示病毒可能參與其發病過程此外,部分病例可發展為非霍奇金淋巴瘤中的血管中心性淋巴瘤(angiocentric lymphomaAL),因此有作者認為LG是淋巴瘤前期階段甚至將全部LYG歸入惡性淋巴瘤的少見特殊類型。
發病機制
淋巴瘤樣肉芽腫——發病機制發病機制還不很清楚有人認為是淋巴瘤的變形。表現為壞死性肉芽腫和壞死性血管炎伴異形淋巴樣細胞浸潤就實驗模型來說慢性同種異體抗原刺激能激活宿主的慢性免疫活性細胞,並誘致非典型性淋巴增殖及淋巴樣組織發生腫瘤。病毒對本病的發病可能起重要作用它可通過改變宿主的膜抗原性而啟動自身免疫反應,或通過致腫瘤病毒直接刺激網狀內皮系統增生而造成非典型性或明顯的淋巴網狀細胞增殖到目前為止,仍不能排除某些環境因素對本病的誘發作用。
抗原抗體反應免疫失調、病毒感染和環境因素等可能為單個因素也可能為多種因素的綜合作用,而導致本病的發生。
淋巴瘤樣肉芽腫主要侵犯結外器官,累及的器官依次為肺(80%)、皮膚(40%~50%)中樞神經系統(30%)肝(25%)、腎、骨髓眼等而淺表淋巴結受累少見。
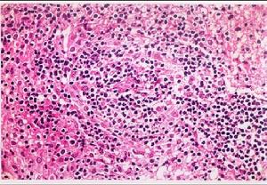
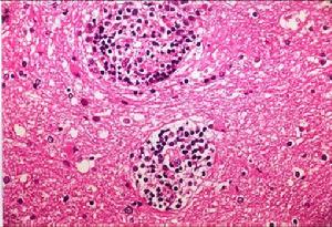
本病的病理特徵表現為浸潤細胞是由具有漿細胞樣特徵的非典型性淋巴網狀細胞及少量中性粒細胞或嗜酸粒細胞組成的。非典型性淋巴網狀細胞主要以成熟的淋巴細胞和漿細胞占優勢此類細胞比成熟淋巴細胞有較大的胞體和較多的細胞質具有免疫母細胞的許多特徵常顯示為有絲分裂相本病血管炎性改變較明顯,但並不一定同時具有幾個系統的壞死性血管炎改變有的有典型的白細胞破碎性或原發性纖維蛋白樣壞死性血管炎它是一種血管破壞性和血管營養性病變,主要累及中小動脈和靜脈。脈管病變是由非典型性淋巴網狀細胞浸潤所造成的浸潤細胞可使血管內皮隆起血管內膜增厚,造成管腔狹窄最後發生血栓性閉塞和廣泛性血管壞死和血管重新形成。根據浸潤細胞的類型及壞死範圍可分為Ⅲ級G1:主要由小淋巴、組織及漿細胞浸潤,無不典型淋巴細胞及免疫母細胞,一般無壞死。G2:形態學介於G1和G3之間的過渡類型。G3:浸潤細胞以非典型淋巴細胞為主多形性的炎症背景常不明顯,壞死較突出。G3又稱血管中心性淋巴瘤。上述增生的淋巴細胞電鏡及免疫學檢測證實屬外周T細胞主要為T4,通常不能檢出TCR基因重組。
本病出現的細胞浸潤在組織學上表現為顯著活躍增生這就使病變具有了惡性變的特徵。但它又與淋巴瘤不同細胞浸潤變化呈多樣性成熟與未成熟的淋巴樣細胞常混合存在,可伴有廣泛壞死性嚴重血管炎,甚至在距離浸潤灶很遠的部位也可見有壞死性血管炎而浸潤灶附近的淋巴組織卻不受侵犯,這些都與淋巴瘤顯著不同。然而,某些病例也可發展為免疫母細胞肉瘤或非典型性淋巴肉瘤,從而提示在本病與淋巴瘤之間可能存在一定的關係
一致認為LG是一種獨特的多形性細胞浸潤形成的血管中心性淋巴瘤。PCR和原位雜交強烈提示EB病毒參與肺血管中心性淋巴瘤的發病開始曾認為這些病變是周圍T細胞淋巴瘤,因為免疫分型研究證實它是以表達T細胞相關抗原的不典型細胞為主。最近PCR和免疫組化證實有大的、不典型、EBV陽性B細胞單克隆亞群,提示很多LYG型血管中心性淋巴瘤實際上為EBV陽性B細胞淋巴瘤伴大量反應性T細胞。然而有些病變表現為周圍T細胞淋巴瘤,這些腫瘤為EBV陰性。上述病理改變可累及氣管支氣管肺、脾腎、腦及淋巴結。
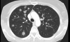
肺臟常受侵犯,通常為多發性結節性浸潤。病變大小不同在梗死樣壞死區偶有空洞形成是本病肺部浸潤的特徵。有時病變也可為泛發性,同時伴有多發性肺膿腫表現為一葉肺或一側肺化膿性改變或破壞Saldmm認為,本病發生的肺壞死與韋格內肉芽腫不同前者主要是凝固性壞死後者則為液化性壞死。某些病例尚可見到肺部機化性癒合區又發生完全性透明變性,還有些病例除有特徵性血管向心性浸潤外,尚可見有顯著的成纖維細胞增生但無非典型性淋巴網狀細胞並且壞死的程度也很輕。除廣泛性血管炎和壞死外常可見有由非典型性淋巴組織細胞浸潤形成的肺實質腫塊和結節現已證明本病的某些組織學特徵對預後有一定影響在炎性浸潤灶內半數以上浸潤細胞為非典型性淋巴網狀細胞,提示預後不良而浸潤細胞主要為小淋巴細胞或者漿細胞大於10%,預後較好壞死的程度對預後無影響。
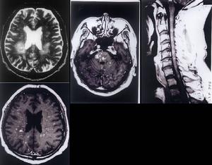
神經系統也是本病常見的受累部位。屍解發現腦膜血管和腦實質有典型性且具有漿細胞樣多形細胞廣泛浸潤在廣泛壞死區內可見有神經細胞喪失和白質碎裂,也可見有腦血管局灶性阻塞伴管壁壞死,管壁呈非典型性淋巴網狀細胞浸潤血栓形成,管腔狹窄和動脈瘤形成。部分死亡病例屍解時尚可見腦和脊髓內有廣泛性壞死區,可伴有免疫母細胞肉瘤,個別病例屍解時發現中腦和腦橋有廣泛壞死,其腦組織由非典型性淋巴組織細胞所取代。
皮損的組織學所見與肺所見相似可見到輕到重度皮膚血管中心性和血管破壞性血管炎及混合細胞性肉芽腫性浸潤也可見到不典型的淋巴網狀細胞,但嗜酸細胞少見。可出現皮膚附屬結構如汗腺和神經的繼發炎症和破壞。深靜脈一旦受累,則可因鄰近脂肪組織壞死而導致脂膜炎從超微結構上看,組織細胞增生表現出一定特點,包括細胞膜邊緣波動、高爾基器發育良好以及胞漿內微絲、微管的聚集等。皮下組織受累時典型改變為局灶性脂肪壞死,並伴有異物反應。
腎臟的組織學改變表現有典型淋巴網狀細胞浸潤性結節這種改變類似梗死並可見有壞死和血管炎動靜脈閉塞,病變只見於腎實質而腎小球無改變肝臟的病理特徵表現為在肝實質內可見有散在的局灶性浸潤大塊壞死性病變在壞死區內可見有大量膠原沉著血管周圍有緻密的非典型淋巴組織細胞浸潤等。
臨床表現
淋巴瘤樣肉芽腫症狀LYG的臨床表現與其他類型肺淋巴瘤有較大重疊主要受累器官為肺(80%)、皮膚(40%~45%)中樞神經系統(30%)肝(25%);其次為腎、消化道骨髓和眼等。全身症狀包括發熱、周身不適乏力、體重減輕、關節疼痛和皮膚損害等。通常在出現症狀14個月內死於泛發性肺部病變和繼發感染。因其主要侵犯肺部故最常見的主訴為下呼吸道症狀如咳嗽咯血胸痛及呼吸困難。有30%出現神經系統損害表現為精神錯亂、共濟失調、癲癇發作及顱神經功能障礙等。屍解發現肝、脾淋巴結腎心臟和胃腸道均可受侵犯肺外的主要表現在皮膚可見於40%~45%病例。皮損主要為浸潤性紅色斑塊及皮下或真皮結節亦可發生潰瘍斑丘疹或紅斑性損害。多對稱發生於下肢和臀部,亦可泛發全身。皮損可先於肺部損害或同時發生而且常伴全身症狀,如發燒、倦怠、體重下降肌痛及關節痛等胸外症狀常見因不同部位受累而出現相應臨床表現。
1.呼吸系統 呼吸道症狀常為主訴,病人大多有咳嗽、咳痰呼吸困難或氣喘、胸痛等。肺部受累是本病最常見的早期表現常伴有不同程度的發熱消瘦少數患者也可只有肺部X線異常而無臨床症狀有些患者起病時就有肺部受累呈進行性發展另有一些患者也可在病程之中發生進行性肺部受累病變主要位於兩下肺野尤以兩肺外帶為多見肺尖部很少受累病變幾乎總是呈雙側性,並且波及範圍很廣但也可為非對稱性。雖然肺部病變具有淋巴瘤的特徵但很少有雙側肺門淋巴結腫大,淋巴結腫大僅發生在其他器官系統而且表現也不典型。臨床病情與淋巴瘤相似的患者,約1/3可出現肺空洞可因大咯血而死亡肺實質大片破壞引起呼吸衰竭也是本病的主要死亡原因本病發生呼吸道受累的範圍一般不大,但有時也可以呼吸道病變為主要臨床特徵,表現為阻塞性細支氣管炎,這是由於大量炎性細胞浸潤和纖維組織增生導致細支氣管潰瘍形成、破壞和閉塞所造成的也可發生肺葉支氣管部分阻塞這是由於壞死組織和炎性細胞廣泛侵犯支氣管內膜所造成的
肺實質內梗死樣壞死,細胞高度浸潤性結節,大塊肺損害,廣泛性肺實變及非典型性間質性肺浸潤等均可發生。非典型性淋巴組織細胞浸潤侵犯肺動脈肺靜脈,偶爾也可引起這些脈管閉塞和廣泛性肺實質壞死此時可造成嚴重咳嗽和呼吸困難
2.神經系統 表現有周圍神經病腦神經麻痹和各種中樞神經系統症狀及體徵。神經系統受累時可出現失語、頭痛、感覺異常偏癱、共濟失調、精神錯亂抽搐等。可發生於肺病變以前、中間、甚至肺部病變緩解時。周圍神經病變多為非對稱性中樞神經系統病變可累及腦和脊髓的任何部位可出現Bell麻痹、暫時性失明復視突眼視力下降或眩暈;常見症狀包括失語、輕偏癱失明運動失調、截癱、動眼神經麻痹、腦神經麻痹、頭痛感覺異常、意識模糊昏迷抽風四肢癱視神經水腫、耳聾面癱感覺遲鈍、腦水腫腦膜腦炎等。周圍神經受累出現下肢感覺異常。可發生在其他系統病變出現之前,甚至當肺內病變在不斷消退緩解時中樞神經系統病變仍可在不斷發展。一個患者多發生上述症狀中的一種或數種神經系統病變的發生與預後直接相關一旦神經系統受累,其死亡率高達80%以上。
3.皮膚 肺外最常見受累部位是皮膚為大片浸潤性紅斑結節、潰瘍,皮膚損害發生率占40%~50%。有10%~25%病人以首發皮膚損害出現;皮損可以先於肺臟受累2~9年出現。Liebow報告的一組40例患者,16例(42.5%)出現了皮膚損害,由於皮膚損害發生率高、活檢容易以及病變的典型組織學所見,因此在疑診淋巴瘤樣肉芽腫時應仔細進行皮膚科檢查最常見的典型的皮損所見是1~4cm大小紅紫色斑疹丘疹或為硬而隆起的皮下結節(有時發生潰瘍) ,直徑2~3cm多位於肢體。病損可發生於任何部位,但常見於臀部、腹部、大腿股部和下肢。修復過程常伴有瘢痕和色素沉著。其他皮損為非特異性改變如小泡廣泛的鱗癬、斑狀脫髮、局部無汗和環狀斑塊皮下結節有時很大偶爾也可為其主要臨床表現主要皮膚損害也可表現為開始呈紅色最後轉變成銅錢色硬結狀的皮下損害。皮膚損害通常與肺部病變同時發生,但可發生在肺部病變之前或之後數月到數年有無皮膚損害與預後無關。
4.腎臟受累 約半數患者有腎臟組織學改變但無臨床症狀。臨床上明顯腎臟受累罕見而屍檢可發現LG改變。
5.其他 其他病變10%的患者可有肝大肝功能衰竭。少數病人有淋巴結腫大脾大和腹水等肝大也可為本病的早期表現由於本病廣泛浸潤肝臟可造成進行性肝功能衰竭而死亡多數病例可出現淋巴結腫大個別病例可出現巨脾並伴有淋巴瘤樣肉芽腫浸潤可引起白細胞減少。
併發症: 最常見的併發症為呼吸困難,尤其見於縱隔或肺的淋巴結腫大者臨床病情與淋巴瘤相似的患者,約1/3可出現肺空洞,可因大咯血而死亡。也可發生肺葉支氣管部分阻塞肺實質大片破壞引起呼吸衰竭也是本病的主要死亡原因。中樞神經系統病變可累及腦和脊髓的任何部位,可出現失語輕偏癱失明、運動失調截癱動眼神經麻痹腦神經麻痹、頭痛感覺異常、意識模糊昏迷、抽風四肢癱視神經水腫耳聾、面癱感覺遲鈍腦水腫腦膜腦炎等廣泛浸潤肝臟,可造成進行性肝功能衰竭而死亡。屍解發現肝、脾、淋巴結腎、心臟和胃腸道均可受侵犯。
診斷
除臨床表現外,主要靠肺活檢和皮膚活檢證實有特徵性病理改變皮膚損害的病理改變與肺內改變相似表現為非典型性淋巴細胞和漿細胞浸潤,此改變主要位於真皮附屬器周圍有些皮膚活檢標本無血管炎或很難見到典型血管改變,但可見到其他改變。
1.診斷標準
(1)發病年齡和性別:本病可見於各年齡階段,老年相對多見,平均發病年齡為50歲,男女比為1.7∶1。
(2)臨床表現:呼吸道症狀最多見(80%)。可伴發熱,消瘦皮膚病變也較多見(40%~50%)表現為大片浸潤性紅斑、結節、潰瘍等中樞神經系統也常常受累(30%)可表現為精神異常共濟失調偏癱抽搐;腦神經受累可出現Bell麻痹、暫時性失明復視、突眼視力下降或眩暈;周圍神經受累出現下肢感覺異常。少部分患者有肝臟受損(25%),可有肝脾大等,但淺表淋巴結極少受累這一點與淋巴瘤相反。
2.診斷步驟 臨床上出現上述肺部病變或伴隨皮膚神經系統病變或伴肝脾淋巴結腫大時要考慮到LG的可能進一步可行胸部X線檢查,如出現多髮結節影伴空洞形成是重要的診斷線索但必須經病理證實才能最後確診本病肺部病變極為常見常為患者就診的主訴應引起重視。
臨床出現上述肺部病變,或伴隨皮膚神經系統病變時要考慮到LG的可能,胸部X射線檢查顯示伴空洞形成的多髮結節陰影是重要的診斷線索,但必須經病理證實才能最後確診。
鑑別診斷
本病診斷困難為確定診斷需要活體組織檢查需與Wegener肉芽腫及轉移性腫瘤等下列疾病相鑑別:
1.淋巴瘤 該病也常見血管浸潤及廣泛壞死LG患者主要表現為縱隔增大,肺門淋巴結腫大以及肝、脾淺表淋巴結腫大時需和惡性淋巴瘤鑑別鑑別還是靠病理,淋巴瘤浸潤的細胞較為均一,免疫組化染色檢測為單克隆性而LG主要表現血管壞死性肉芽腫,伴有各種類型的細胞浸潤免疫組化顯示淋巴細胞主要為CD4+ 陽性的T細胞TCR基因克隆性重排(-),兩者顯然不同以下特點可與LG區別:
(1)常伴淺表、肺門縱隔淋巴結及肝脾腫大。
(2)浸潤細胞常為單一種細胞。
(3)免疫過氧化物酶檢查為單克隆免疫球蛋白,而LYG為多克隆免疫球蛋白但LG中如發現灶性單一異型淋巴細胞浸潤時應警惕其發展為惡性淋巴瘤的可能
2.韋格內肉芽腫(Wegener肉芽腫WG) 與LG相似,肺部受累最為常見。但本病臨床上更為少見,無性別差異以40~50歲多見患者除有發熱、關節痛肌肉痛、貧血白細胞增多、血沉增快外,呼吸道症狀早期表現為鼻中耳、鼻竇的炎症及咽喉、支氣管的潰瘍性損害在中末期出現灶性腎小球腎炎,皮膚及黏膜廣泛性出血性皮疹弛張熱,多因尿毒症或全身衰竭而死亡病程平均約6個月,多在3個月以內十分兇險。此病雖和LG均有血管壞死性肉芽的病理特點但WG具有特徵性的多核巨細胞、肉芽腫常有較多的中性粒細胞及細胞碎屑而淋巴細胞較疏鬆,且凝固性壞死少見另外血清中抗中性粒細胞抗體(ANCA)陽性是診斷WG的重要依據其特異性為86%敏感性為78%,可與LG相鑑別病理上浸潤細胞主要由中性粒細胞組織細胞及少量嗜酸粒細胞組成,並間雜有稀疏的淋巴細胞和漿細胞群,無淋巴瘤樣肉芽腫出現的特徵性非典型性淋巴網狀細胞浸潤明顯的增生活躍現象韋格內肉芽腫在浸潤灶內或其附近可見有嗜酸粒細胞而淋巴瘤樣肉芽腫浸潤灶無此改變。另外,類上皮樣細胞和巨細胞是韋格內肉芽腫常見的組織學特徵但很少見於淋巴瘤樣肉芽腫。其他肺血管炎和肉芽腫病LG和Wegener肉芽腫鑑別困難但後者浸潤細胞無異型淋巴細胞。
3.感染性肉芽腫病 在確定LG之前仍需除外分枝桿菌、真菌等感染性疾病所致的肉芽腫病。
4.阻塞性支氣管炎 由於肉芽腫病變破壞支氣管壁及纖維增生而造成管腔狹窄或閉塞,可誤診為阻塞性支氣管炎必須取肺組織活檢以排除阻塞性支氣管炎
5.肺轉移性腫瘤 肺轉移性腫瘤也常可表現為肺部多發性結節當尚未發現原發灶時應與LG鑑別。轉移性腫瘤的結節常為圓形邊緣清晰、光滑,密度均勻無空洞一般無大片浸潤影而LG常表現為伴有空洞的結節形成可見到肺大片浸潤性陰影病理上兩者截然不同肺轉移瘤大多可查到原發灶如肝、前列腺乳腺等,伴有原發病灶的症狀可資鑑別。
檢查
淋巴瘤樣肉芽腫——檢查實驗室檢查: 1.血常規及血沉 少數患者有嚴重貧血,白細胞可升高或降低,淋巴細胞可增多血沉加快。
2.尿常規 一般正常有時可見有輕度蛋白尿和白細胞。
3.生化學檢查 當肝實質廣泛受侵犯時轉氨酶可升高
4.免疫學檢查 約半數患者可有IgG或IgM升高,細胞免疫試驗多為陰性類風濕因子、狼瘡細胞、抗核抗體均為陰性
5.外周血檢查 可有貧血白細胞減少或增多,淋巴細胞增高或降低
6.血液檢查 血沉可正常或增快。類風濕因子可陽性。RF常陽性,ANA常陰性
7.免疫球蛋白檢查 免疫球蛋白IgAIgG可輕度增高
8.病理檢查 主要在真皮深層附屬器周圍有中性粒細胞浸潤還可見淋巴細胞漿細胞和組織細胞偶見異形淋巴樣細胞其核大深染,形態不規則,可見不典型有絲分裂典型浸潤以血管為中心並破壞血管若皮下組織受累可引起脂膜炎和灶性脂肪壞死出現異物巨細胞反應和多種炎症細胞浸潤血管炎在炎細胞浸潤稀疏區更明顯,主要侵犯細動脈。血管內皮腫脹腔內有血栓形成管壁有纖維蛋白樣沉積和炎症細胞浸潤,浸潤中可見異形淋巴樣細胞浸潤區內皮膚附屬器常被破壞肺部浸潤由小淋巴細胞漿細胞以及不等量異形淋巴樣細胞組成腎損害主要為腎間質浸潤和血管炎中樞神經損害也為壞死性血管炎和異形淋巴樣細胞浸潤腫塊以血管為中心的壞死性肉芽腫血管被多種細胞浸潤,包括小淋巴細胞、組織細胞免疫母細胞、漿細胞等,主要累及中等大小動靜脈血管內膜增厚,管腔狹窄或閉塞可有血栓形成。根據浸潤細胞的類型及壞死範圍可分為3級增生的淋巴細胞主要是T細胞,為CD4+ 的T細胞TCR基因重排常陰性。淋巴結活檢大多示反應性增生
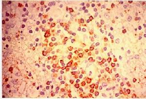
9.免疫表型 EBV陽性B細胞常表達CD20和CD79a,CD15陰性;LMP1陽性。部分單克隆細胞胞質Ig陽性不典型淋巴細胞可CD3陽性,其中CD4+ 細胞為多。
其它輔助檢查: 1.X線檢查 X線胸片所見依病變進展時期而不同典型者表現示兩肺中、下葉有多發性結節狀陰影大小不一,直逕自數毫米至10cm不等,1/3伴有厚壁空洞形成,20%左右僅為單側肺結節陰影。少數表現為肺大片浸潤性陰影1/3可見胸膜腔積液。但肺門淋巴結不腫大。偶爾可見兩肺呈瀰漫性網狀結節性和絨毛狀肺泡浸潤或呈多發性結節性病變,類似於轉移性肺癌病變多為雙側性,主要累及兩下肺野,特別是兩肺外帶結節影可迅速增大或縮小而且甚至可以完全消失。少數患者有縱隔或肺門淋巴結腫大
2.根據病情臨床表現、症狀體徵、選擇做心電圖、B超CT、MRI等檢查。
相關檢查: 免疫球蛋白A 免疫球蛋白G 免疫球蛋白M 總膽固醇 抗核抗體漿細胞 淋巴細胞 狼瘡細胞 類風濕因子 腦脊液免疫球蛋白 血沉
治療
本病治療至今尚無滿意的方法據報導在病程早期用糖皮質激素治療,可獲得一定療效用激素與免疫抑制劑聯合治療較單用激素治療效果好這些藥物的用法和劑量與韋格內肉芽腫相同。有人報告本病即使接受激素或免疫抑制劑治療也不能阻止其發展。多數學者認為當本病已出現肺內廣泛性病變或者中樞神經系統病變時即使進行充分的化療也難取得滿意的療效這充分說明早期診斷與治療本病的重要意義。
1982年Fauci用潑尼松(1mg/(kg·d),2個月後減量,持續2年余)及環磷醯胺[2mg/(kg·d),持續達37個月]治療使46%病人得到5年左右緩解。局限性病變可行放療G1型宜單用腎上腺皮質激素G2或G3型可選用治療ML的聯合化療方案約半數患者可完全緩解。本病中丘疹和皮下結節可自然消退更多見復發全身性皮質激素和環磷醯胺治療皮損有效對某些難治性皮損可套用放射治療。
1.內用治療 皮質類固醇激素適用於早期限局性病變即良性淋巴細胞性血管炎及肉芽腫採用中量到大劑量的皮質類固醇激素可緩解病情常用量潑尼松60~80mg/d亦可套用免疫抑制劑治療早期聯合套用環磷醯胺和皮質激素可使病情長期緩解。
2.放射治療 孤立性病灶可行小劑量放射治療。
預後預防
預後: 本病預後不良,大多在發病後2年死亡平均存活11.3個月死亡率達65%~90%,其中50%死於呼吸衰竭約10%~50%病例發展為惡性淋巴瘤。本病預後與肺和肺外部位受累程度以及組織學分級相關一般說來預後與異型大細胞百分比成反比。一般可用由Lipford等設計出評價“血管中心性免疫增殖性損害(AIL)”計分系統來進行組織學分級一級AIL相當於“良性淋巴細胞血管炎”,對苯丁酸氮芥治療有效;二和三級AIL代表“血管中心性淋巴瘤”,其中二級AIL相當於“經典LG”或“混合淋巴細胞性和大淋巴細胞性血管中心性淋巴瘤”,三級AIL相當於“大淋巴細胞性血管中心性淋巴瘤”直到最近近2/3的二或三級血管中心性淋巴瘤在診斷一年內死亡化療的進展對預後略有改善。
多死於肺部病變和中樞神經系統病變。神經系統病變的發生與預後直接相關,一旦神經系統受累其病死率高達80%以上若在病程早期用激素和免疫抑制劑治療,則可使部分患者的症狀獲得較長期的緩解有12%病人發展為惡性淋巴瘤。死亡率為60%通常在出現症狀14個月內死於泛發性肺部病變和繼發感染1/4患者可帶病生存,中數生存期約2年臨床上肺部雙側病變伴神經系統損害,病理上以不典型淋巴細胞為主者,預後均差。
預防: 1.維護環境衛生,加強身體鍛鍊,提高自身免疫功能,防止感染。
2.注意生活規律,勞逸結合心情舒暢,避免劇烈精神刺激
3.加強營養禁食生冷油膩,注意溫補
4.避免感冒受涼防止繼發細菌感染。
5.早期診斷早期治療
