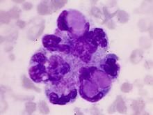
適應證
進行狼瘡細胞檢測的指征有:①發熱、發作性對稱性關節痛,腫脹、肌痛和肌無力及四肢皮疹與腎臟病變等系統性紅斑狼瘡症狀。②紅斑狼瘡。
臨床意義
當狼瘡細胞檢測結果為陽性時,則多見於系統性紅斑狼瘡,其活動期較緩解期陽性率高。此外,狼瘡細胞偶見於下列疾病和情況:如風濕病、類風濕關節炎,硬皮病、結節性動脈周圍炎、進行性系統硬化症、肝炎、皮肌炎和其他變態反應性疾病。
另外,下列藥物可引起或誘發系統性紅斑狼瘡:普魯卡因醯胺、異煙肼、抗驚厥藥、巴比妥類、甲基多巴、甲基硫氧嘧啶、口服避孕藥、青黴素、酚噻嗪、奎尼丁、利血平、鏈黴素、磺胺類、四環素等。故在套用上述藥物時需要多注意。
正常值參考範圍
陰性。
注意事項
狼瘡細胞檢查前禁忌:避免使用可引起狼瘡活動的藥物,如青黴素類、避孕藥、磺胺類等藥物,能引起狼瘡活動的藥物頗多。

