病因
異物肉芽腫發病機制
由非機體組織的各種物質進入人體皮膚組織引起機體的組織反應(皮膚異物反應),其結構為肉芽腫性炎症反應。
臨床表現
異物肉芽腫為異物引起的一種過敏反應,多發生於有異物過敏素質者,通常異物進入機體到皮疹出現的時間較長,可由數月到數年不等如矽化物(水泥砂石、玻璃等)可於10年左右方可出現皮疹反應。皮損表現因異物的種類性質及侵入方式不同而異。常見有丘疹、結節斑塊、色素沉著、炎症反應及炎症細胞浸潤等,局部皮膚顏色可呈紅色或紫紅亦可為正常膚色。皮損堅硬,不可能自消,少數因炎症反應強烈或組織壞死,可自行破潰排出異物或壞死物。有時可因皮下植入物(如注射油劑物)形成硬性腫塊或結節多年不消失或致局部萎縮。
檢查
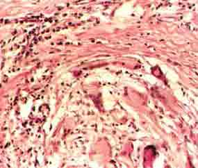
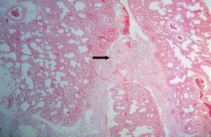
組織病理:
1.典型異物反應為巨噬細胞及異物巨細胞包圍異物,細胞質內可見有吞噬的異物,尚可見異物如縫線、液狀石蠟油、矽鹽毛髮等均可引起異物反應。
2.異物過敏反應,可出現上皮樣細胞構成的結核樣結節,具有巨細胞及乾酪樣壞死,但缺乏或少有吞噬異物現象鈷鈹或紋身顏料可引起異物過敏反應。
3.一些特異性異物肉芽腫,如紋身肉芽腫可見顏料顆粒矽肉芽腫為非結核性肉芽腫為多數巨噬細胞和多核細胞的炎症浸潤,可見折光性強的針狀矽結晶。
治療
較大損害可外科切除,亦可試用液氮冷凍治療,如損害小而無自覺症狀又不影響功能者可不予處理。
預後
有時可因皮下植入物(如注射油劑物)形成硬性腫塊或結節,多年不消失或致局部萎縮。

