簡介
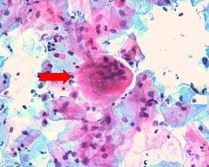
多核巨細胞是一種以溶骨為主要特徵的常見骨腫瘤,在病理形態上是由較多的多核巨細胞和大量的單核基質細胞組成。有學者認為骨巨細胞瘤中的多核巨細胞是破骨細胞的腫瘤性變異,故該腫瘤曾被命名為“破骨細胞
多核巨細胞分析
用倒置相差顯微鏡觀察體外培養的多核巨細胞的一般形態及降鈣素對它的影響;用骨片與多核巨細胞共同培養法觀察多核巨細胞的體外骨吸收功能,用掃描電鏡觀察骨吸收陷窩,Gomori染色觀察多核巨細胞的酸性磷酸酶活性。結果:倒置相差顯微鏡下可見多核巨細胞胞核較多(20個以上),胞漿周邊不規則,有偽足樣突起;胞漿內可見較多大小不等的空泡;降鈣素(100 μg*L-1)可抑制多核巨細胞的偽足樣運動;多核巨細胞與滅活的骨片共同培養時可見骨吸收陷窩形成,掃描電鏡下可見吸收陷窩底面有原纖維;Gomori染色時可見多核巨細胞的酸性磷酸酶呈陽性。結論:證實了多核巨細胞具有破骨細胞的形態特徵與骨吸收功能,可能來源於骨髓的破骨細胞前體細胞。
攜帶病毒
多核巨細胞病毒(CMV)是一種皰疹病毒,分布廣泛。CMV感染可引起泌尿生殖系統、中樞神經系統、肝臟、肺、血液循環系統等病變,並與惡性腫瘤的發生可能有關。新近報導,愛滋病與CMV感染可能有關。常通過性交傳播。故列為性傳播疾病。
巨細胞病毒感染在人群中較廣泛,能引起全身各器官組織病變,胎兒、嬰兒的嚴重損害,甚至死亡,並可能與宮頸癌等惡性腫瘤的發生有關。所以了解巨細胞病毒,積極預防巨細胞病毒感染很重要。
初次感染後,CMV將在宿主細胞中無限期存在成潛伏狀態。可能累及多種組織器官,屍檢提示肺、肝、胰、唾液腺、中樞神經系統及腸也可能是病毒潛伏場所。先天性感染的嚴重程度,與缺乏產生沉澱抗體的能力和T細胞對CMV的應答有關。兒童和成年人感染CMV後,在外周血中出現具有抑制細胞毒表型的活化T淋巴細胞,如果宿主的T細胞功能受損,潛伏的病毒就可能復活並引起多種症候群。組織移植後發生的慢性刺激,為CMV活化,誘發疾病提供了條件。某些針對T細胞的強烈免疫抑制劑如抗胸腺細胞球蛋白,與臨床CMV症候群高發率有關。此外,CMV在功能上可作為輔助因子,使潛伏感染的HIV活化。

