疾病簡介
骨巨細胞瘤骨巨細胞瘤(giantcelltumor,簡稱GCT)為骨原發的良性侵襲性腫瘤,占原發骨腫瘤的20%,早期將其分在低度惡性中,後分為中間性(良惡性之間),現在的分類為良性侵襲性腫瘤(3期)。可以看出骨巨細胞瘤生物學行為複雜,多變。骨巨細胞瘤病因不明。
疾病相關
疾病名稱:骨巨細胞瘤
疾病分類:腫瘤科,普通外科
疾病病因:病因不明。
疾病描述:巨細胞瘤很可能起源於骨髓結締組織間充質細胞,以基質細胞核和多核巨細胞為主要結構,是一種潛在惡性或介於良好惡之間溶骨性腫瘤。好發年齡20-40歲,性別差異不大,好發部位為股骨下端和脛骨上端。X線片表現:骨骺處有局限的囊性改變,一般呈溶骨性破壞,也可有“肥皂泡”樣改變,其擴展一般為軟骨所限。不破入關節,少有骨膜反應,腫瘤範圍清楚,初發時病變在骨骺內旁側,發展後可占骨端的全部,骨皮質膨脹變薄,有的可以穿破,進入軟組織。X線片可顯示其一般特點,但仍不足以確診。主要的症狀為疼痛和腫脹,與病情的發展相關,局部包塊壓之有桌球樣感覺,病變的關節活動受限。骨巨細胞瘤多發生於四肢長骨的骨骺端,尤以股骨下端及脛骨上端為多見,約占半數左右,其次為橈骨下端、尺骨下端或肱骨上端等部位。長骨以外則以脊椎為多見。
病理變化
肉眼觀,本瘤常侵犯骨骺線已閉合的長骨端,大多數位於骨骺,早期常為偏心性生長,增大的腫瘤使骨皮質受累而向外膨脹。在腫瘤周圍往往有菲薄的骨殼,乃由骨內、外膜反應性新生骨構成,腫瘤的境界比較清楚。腫瘤內原有松質骨大部分或全部消失,瘤內常有纖維組織或骨性間隔。由於腫瘤組織的溶骨性破壞,常造成病理性骨折。腫瘤組織呈灰紅色,質軟而脆,較大的腫瘤常合併出血及壞死,並伴有囊性變而形成大小不等的空腔,囊腔內含有漿液性或血性液體。晚期病例骨性包殼如果被破壞,則可侵犯軟組織形成腫塊。關節軟骨有抗腫瘤浸潤的作用,關節軟骨下骨間質可完全被破壞,致使關節軟骨失去支持而扭曲變形。
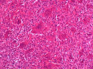
鏡下,腫瘤主要由單核基質細胞及多核巨細胞等兩種細胞組成,間質血管豐富。基質細胞為梭形、卵圓形或圓形,細胞境界不清楚,常見胞漿突起。細胞核較大,染色質量中等,可具有一個核仁。多核巨細胞常較均勻地散布在基質細胞之間,是為本瘤的特點。多核巨細胞的直徑常為30~60μm,核數一般為15~20個,最多可達100個以上,常聚集在細胞的中央。核的形態與單核基質細胞相似。細胞邊界不規則,但分界較清楚,胞漿豐富,略呈嗜鹼性,有時還可見含大量脂類的泡沫細胞。本瘤間質血管豐富,有多少不等的膠原纖維。腫瘤本身無成骨現象,但有時見有類骨組織及新生骨小梁,常見於纖維組織的周圍,可能是一種反應性新骨形成或病理性骨折後形成的骨痂。
病因概述
骨巨細胞瘤由軟而脆且易出血的肉芽樣組織所構成,無纖維包囊。由於瘤組織易出血和壞死,故可出現多種多樣的病變。因血紅蛋白的變化,可使腫,自呈紅棕色或綠色。血腫的纖維化可使腫瘤呈灰白色。瘤組織壞死,可使腫瘤呈黃色或形成假囊腫,囊內可能含有膠狀或棕色液體,骨質因腫瘤擴張壓迫而萎縮,當骨膜下的皮質骨萎縮消失後,骨膜即產生新生骨,在腫瘤進展中新骨消失和再生繼續反覆,以致在x線照片上皮質骨似乎有被腫瘤由內向外擴張而變薄的錯覺。在顯微鏡下可見骨巨細胞瘤的主要組織為多核巨細胞和梭形或圓形基質細胞。此種多核巨細胞為巨細胞中最大者,含胞核數目最多,可多達200個,普通在50個左右,均集中於細胞中心部位。胞核形狀與基質細胞的胞核同,故多數學者認為此種巨細胞系由基質細胞融合而成。基質細胞的形狀、分布和排列,對骨巨細胞瘤的性質有極重要的意義。
一個比較良性的典型骨巨細胞瘤(又稱一級骨巨細胞瘤),所含的巨組胞體積大,數目多,分布均勻;胞核數目一般在50個以上,形狀、染色均與基質細胞核相同;基質細胞以梭形為多,圓形次之,胞漿少,胞膜不清,大小一致,染色淺,分布比較疏鬆,不成束條或漩渦狀。
有惡性傾向的骨巨細胞瘤(又稱二級骨巨細胞瘤),其基質細胞分布緊密,成束條或漩渦狀,胞核大,形狀不一,染色深,巨細胞數目較少,體積減小,分布不勻,胞核少,體形增大,染色加深。具有十足惡性的骨巨細胞瘤(又稱三級骨巨細胞瘤),基質細胞排列緊密紊亂,胞漿多,形狀不一,胞核增大增多,染色深,核分裂多,骨巨細胞體積小,數目少,分布不勻,胞核增大,數目稀少,染色深。
流行病學
骨巨細胞瘤II-III級臨床症狀
(一)多發於四肢長骨,其中尤以股骨遠端,脛骨近端,橈骨遠端及股骨近端為多見。(二)腫瘤生長速度較快,比一般良性腫瘤快,又比惡性腫瘤慢。
(三)主要症狀是局部疼痛及壓痛。腫瘤發展,局部腫脹變形,溫度略有增高。因骨質膨脹擴張,觸之有捏桌球樣感覺。
(四)腫瘤穿破骨組織波及軟組織時形成較大的腫塊,皮膚緊張光亮,顏色暗紅;靜脈充盈;瘤體質地硬韌,但在軟化波動處,可形成潰瘍。
(五)大量骨質破壞、容易形成病理性骨折。
(六)主症
①局部疼痛:最初多是局部麻木,酸脹或間歇性隱痛,勞累後加重,休息則緩解,隨病變發展疼痛加劇,且由間歇性發展為持續性,夜間尤甚,這與氣滯血瘀密切相關。
②腫脹或腫塊:一般在疼痛發生了一定的時間後才會出現,可觸及骨骼膨脹變形。局部皮膚潮紅,血管顯露豐富,生長迅速的有囊性感或搏動,中醫辨證為熱毒蘊結。
③功能障礙:骨巨細胞瘤後期,因疼痛腫脹而患部功能障礙,可伴有相應部位肌肉萎縮。這與筋脈失養相關。
影像學
骨巨細胞瘤-術前CT 在確定腫瘤範圍方面優於X 線平片。其可精確確定腫瘤在皮質內的範圍, 腫瘤與其他結構的關係,皮質是否完整和確定腫瘤的侵襲範圍。在CT片中,皮質表面及滑膜的反應性改變和水腫酷似腫瘤的一部分。另外,非強化下CT 也不能區分腫瘤與肌肉, 因為兩者之間的衰減係數相同。CT只能通過重建的方式才可顯示軟骨下骨的破壞程度。腫瘤內能見到液-液平面,這是骨巨細胞瘤合併動脈瘤樣骨囊腫所致。
磁共振 對於骨巨細胞瘤來說, 磁共振(MRI) 是最好的影像學檢查方法, 具有高質量的對比度和解析度,並可多平面成像。無論是水平軸位、冠狀軸位還是矢狀軸位,和大多數骨腫瘤一樣,骨巨細胞瘤顯示出長的縱向弛豫時間和長的橫向弛豫時間。腫瘤在縱向弛豫時間表現為低強度信號,在橫向弛豫時間表現為高強度信號。因此看髓內病變最好用縱向弛豫時間 加權像,在觀察皮質外病變時最好用橫向弛豫時間加權像。CT 不能確定皮質外腫瘤的範圍,MRI 也不能,因為腫瘤與相鄰肌肉的衰減係數相同。用CT 確定微小的皮質破壞更好一些, 因為MRI 對於空間存在的解析度很差。
骨掃描 也用於骨巨細胞瘤的診斷, 在骨巨細胞瘤累及的部位,放射性核素99mTc 的攝取量增加。放射性核素攝取升高的情況可能是彌散的,血液集中在邊緣部分,而中央部分的濃聚較低。放射性核素攝取可以超過腫瘤的邊界,因此無法用來正確判斷其在髓腔內的侵及範圍。位於軟組織的腫瘤對放射性核素的攝取很低,亦無法用來確定腫瘤的骨外範圍。放射物攝取增加可以發生在與腫瘤相鄰的關節,未被腫瘤侵及的關節同樣可以發生放射性濃
聚。骨掃描既不能確診骨巨細胞瘤, 也不能確定腫瘤的侵及範圍,所以用途是有限的。骨掃描可以除外或幫助確診多發病變。
病理生理
骨巨細胞瘤1級,基質細胞頗稀疏,核分裂少,多核巨細胞甚多。
2級,基質細胞多而密集,核分裂較多。
3級,以基質細胞為主,核異形性明顯,分裂極多,多核細胞很少,因此1級偏良性,2級為侵襲性,3級為惡性。
雖然腫瘤的生物學行為,良惡性並不完全與病理分級一致,但分級對腫瘤屬性和程度的確定及治療方案的制定有較大程度的參考價值。
診斷
X線主要表現為骨端變心位溶骨性破壞而無滑膜反應,病灶骨皮質膨脹變薄,呈肥皂泡樣改變。
輔助診斷
X線片表現:骨骺處有局限的囊性改變,一般呈溶骨性破壞,也可有“肥皂泡”樣改變,其擴展一般為軟骨所限。不破入關節,少有骨膜反應,腫瘤範圍清楚,初發時病變在骨骺內旁側,發展後可占骨端的全部,骨皮質膨脹變薄,有的可以穿破,進入軟組織。X線片可顯示其一般特點,但仍不足以確診。
治療
骨巨細胞瘤以手術治療為主,採用切刮術加滅活處理,植入自體或異體松質骨或骨水泥,但易復發,對於復發者,應作切除或節段截除術或假體植入術。屬G1-2T1-2M0者,採用廣泛或根治切除,化療無效,對發生於手術困難部位如脊椎者,可採用放療,但放療後易肉瘤變,應高度重視。
治療措施
(1)局部切除 如病變部分切除後對功能影響不大 ,最好完全切除,如腓骨上端、尺骨下端、橈骨上端、手骨、足骨等。
(2)徹底刮除,50%氯化鋅燒灼加植骨術。對鄰近大關節的良性骨巨細胞瘤,如採用單純刮除植骨法,復發率可高達40~70%,所以不少學者採取破壞性的大手術,如連同關節面一起作瘤段切除,然後以屍體骨關節或人工假體置換,此法合併症多,如骨不連線,關節僵直,假體鬆動、感染等,可造成嚴重病廢,甚至導致截肢。其實,所謂復發,乃手術刮除不徹底所致,為了減少復發,人們設計了如下方法:適當暴露腫瘤部位,直視下徹底刮除腫瘤組織,然後以50%氯化鋅周道地燒灼骨壁,以殺滅殘存瘤細胞,經用生理鹽水徹底沖洗乾淨後,再用自體松質骨植骨(必要時植部分同種異體骨)。實驗證明,50%氯化鋅有較強的穿透能力,可殺滅5毫米深處的瘤細胞,且對植骨癒合無不良影響,刮除後的骨殼仍有良好的血液供應,保證了植骨的癒合。另外,關節四周的正常軟組織附著不受任何影響,術後的關節功能得以保證。自1964年來,用此法處理130例骨巨細胞瘤,復發率下降至10%,個別復發病例經用同法處理,仍得到治癒。
(3)切除或截肢 如為惡性,範圍較大,有軟組織浸潤或術後復發,應根據具體情況考慮局部切除或截肢,有的切除腫瘤後失去關節作用,如股骨頸,可考慮切除後套用人工關節或關節融合術。
(4)放射治療 在手術不易達到,或切除後對功能影響過大者,如椎體骨巨細胞瘤,可考慮放射治療,劑量要足夠。有一定療效,少數病人照射後可發生惡變。經手術或放射治療的病人,要長期隨診,注意有無局部復發,惡性改變及肺部轉移。
病變鑑別
骨巨細胞瘤骨巨細胞瘤(giantcelltumorofbone,GCT)又稱破骨細胞瘤,是一種較常見的骨腫瘤,好髮長骨骺端。因其病理形態和臨床表現與幾種骨的瘤樣病變相似,易引起混淆或誤診,而它們的生物學行為和預後並不相同,予以鑑別診斷十分必要。
GCT臨床病理特徵 好發20歲~40歲青壯年,男女發病差別不大,特發部位為長骨骺端,尤以股骨下端、脛骨上端、橈骨下端多見。鏡下由單核基質細胞和多核巨細胞構成,多核巨細胞數量多,均勻分布,間質出血明顯。GCT具有明顯的局部侵襲性,復發率高,並可發生轉移,用原來的腫瘤病理組織學分級預測預後,並非絕對可靠。
棕色瘤 多骨受累,成年女性多見,早期症狀為骨痛,實驗室檢查血鈣升高,血磷降低,血中AKP、PTH升高,好髮長骨骨幹或骨幹骺、髂骨、手足骨等。鏡下在正常骨結構消失的基礎上出現大量纖維組織增生,小型多核巨細胞分布不均,並見出血灶及吞噬含鐵黃素的巨噬細胞,病灶周圍可見骨樣基質和新生骨小梁及破骨細胞吸收後殘存板層骨。切除甲狀旁腺原發病變後,骨骺病灶可隨之修復。
骨巨細胞瘤動脈瘤樣骨囊腫 多發生於20歲以下的青少年。好發椎骨及扁骨,但也可發生於長骨幹。X線上與GCT相似,呈骨的偏心膨脹,骨皮質消融,與GCT鏡下不同的是多核巨細胞分布不均且多位於血管囊腫和出血灶附近,胞體較小,間質為成熟的纖維組織。單純病灶刮除四分之一會復發,大塊切除或刮除並結合骨移植效果較好。多核巨細胞性骨病變十分複雜,稍不警惕就易造成誤診,對於患者是兒童,病變在除骶骨外的椎骨、頜骨和手足骨,病灶多發,通常不是GCT。特別值得一提的是骨折時可因壞死、出血及多核巨細胞反應而誤診為GCT合併病理性骨折,應加以鑑別。
預防措施
1、保持精神樂觀.大量的研究已充分證實.任何不良的情緒都能削弱免疫功能.是一種強烈的“促癌劑”.而精神樂觀可以提高人體的免疫功能.是最好的“抗體”.因此.要培養開朗樂觀的性格.學會自我調節情緒.做到寬宏大度.笑口常開.確保心理健康。
2、注意清潔衛生.現代研究發現.80%~90%的癌症是生活環境中的致癌因索引起的.所以應養成良好的衛生習慣.如刷牙.漱口是預防口腔癌的好方法;勤曬衣被.常洗澡.保持下體清潔.可預防陰莖癌.子宮癌等;避免和儘量少吸油煙等異常氣體.可減少肺癌的發生;不過度暴曬太陽.可防止發生皮膚癌。
3、積極參加運動.運動可提高人體的免疫功能.使氣血流暢.推陳出新.有的癌症患者在體育鍛鍊後.癌細胞可自行消退.因而堅持鍛鍊.持之以恆.必能增強體質.防病治病。
4、認真把好飲食關.不偏食.不反覆食用同一食品.飲食不過量.過飽.同時不食發霉.燒焦.過燙.過硬及辛辣食物.平時多吃些有抗癌作用的食物.如富含胡蘿蔔素和維生素A的新鮮蔬菜和水果.大蒜.蘑菇.海帶.西紅柿.菠菜.黃瓜.茄子以及乳類.豆製品.茶.蜂王漿等.都具有一定的防癌作用。
5、戒菸少酒.吸菸有百害而無一利.菸草中含有尼古丁等30多種有毒物質.吸菸的人不僅肺癌的發病率高.食管癌.口腔癌.胃癌.鼻咽癌等的發病率也明顯高於一般人.為了健康應該戒菸.飲酒也要講究科學.飯後少量飲用葡萄酒.啤酒等低度酒.可舒筋活血.幫助消化.但大量飲用烈性酒.可損傷消化道引起原發性肝癌等消化道癌症.因此酒不宜多飲.尤忌空腹飲酒。

