概述
乾骺端(metaphysis; metaphyseal; metaphyses; )骨骼中又長骨,比如說腿上和胳膊上的骨頭 ,在長骨形成之前,先是軟骨形成骨的雛形,然後骨化、變硬 ,最後在兩端形成軟骨,軟骨繼續骨化,增長最後在骨的兩端的軟骨和骨之間形成了骺線,即骨和軟骨之間的線,乾骺端即是那一部分。
乾骺端
乾骺端(黑短箭) 由松質骨組成,骨小梁彼此交叉呈海綿狀(骨紋理),周邊為薄的骨皮質。頂端為一橫形薄層緻密影,為乾骺端的臨時骨化帶,是骨骺板軟骨位乾骺端軟骨基質的鈣化,經軟骨內成骨即為骨組織代替,形成骨小梁,經改建塑形變為乾骺端松質骨結構。此臨時鈣化帶隨著軟骨內成骨而不斷向骨骺側移動,骨即不斷增長。骨幹與乾骺端間無清楚分界線。是骨髓炎常發地帶脛骨或股骨的乾骺端,都容易發生骨髓炎,一般都是沿板障血管,通過血栓性靜脈炎向四周擴大。顱骨幹骺端發育不良在這些疾病中相對少見,是常染色體顯性遺傳.嬰兒期出現鼻旁隆起,並且顱骨和下頜骨進行性地增大和變厚使下頜和臉扭曲.骨的侵蝕導致顱神經, 尤其是第7,第8對顱神經,受損和功能障礙.下頜的咬合不正可能是麻煩的,鼻旁竇部分阻塞使鼻呼吸道易於發生反覆的感染.身高和全身健康是正常的,但有罕見的進行性的嚴重併發症,顱內壓升高.
小兒長骨
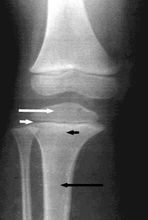
分為骨幹(diaphysis)、骨骺(epiphysis)、乾骺端(metaphysis)、骨骺板/線(epiphyseal plate or line)幾個部分。1. 骨幹(黑長箭) 骨皮質外面是外骨膜,為軟組織密度,故在X線片上不顯影。骨皮質含鈣多為骨密質。X線表現為密度均勻的緻密影,骨幹中部最厚,向兩端延伸性變薄,外緣光滑整齊。骨幹中央為骨髓腔,含造血組織和脂肪組織,X線表現為由骨幹皮質包繞的無結構的半透明區。
2. 乾骺端(黑短箭) 由松質骨組成,骨小梁彼此交叉呈海綿狀(骨紋理),周邊為薄的骨皮質。頂端為一橫形薄層緻密影,為乾骺端的臨時骨化帶,是骨骺板軟骨位乾骺端軟骨基質的鈣化,經軟骨內成骨即為骨組織代替,形成骨小梁,經改建塑形變為乾骺端松質骨結構。此臨時鈣化帶隨著軟骨內成骨而不斷向骨骺側移動,骨即不斷增長。骨幹與乾骺端間無清楚分界線。
3. 骨骺(白長箭) 在胎兒及兒童時期多為軟骨,即骺軟骨,X線片上不顯影。骺軟骨有化骨功能,在骨化初期於骺軟骨中出現一個或幾個二次骨化中心,即骺核。X線表現為小點狀骨化影。骺軟骨不斷增大,而骺核也不斷骨化增大,形成松質骨,邊緣由不規則變為光整。X線片上,常將這樣的骺核稱之為骨骺,其邊緣仍有薄層軟骨。骨骺的乾側軟骨成骨逐漸停止,形成一層薄的骨質,為骨骺終板,X線表現為一條骨性緻密影。
骨骺4. 骨骺板/線(白短箭) 當骨骺與乾骺端不斷骨化,兩者間的軟骨呈板狀時,則稱為骨骺板。隨著骨的生長,骨骺軟骨板逐漸變小呈線狀結構,X線片上呈橫形透明線,位於骨骺與乾骺端之間,稱之為骺線。最後骨骺線消失,即骨骺與骨幹結合,完成骨的發育。X線表現為骺線消失。
發育不良
乾骺端發育不良(Pyle病)是一種罕見的常染色體隱性遺傳性疾病,常常在名稱上與顱骨幹骺端發育不良相混淆(見下文).受累患者除了外翻膝畸形外,臨床表現正常,但是偶爾會發生脊柱側凸和骨骼變脆。常常是由於其他的原因作X線檢查時偶然發現。

