概述
大骨節病大骨節病(Kaschin-Beck病)是一種地方病,流行於我國北方地區。最早在東北發現此病,後來又在西北地區發現。在西北地區,又稱柳拐子病。發病大都集中在一個地區,成為疫區。本病大都發生在青少年時期,男性多見。在幼年時離開疫區,很少發病,在12歲以後離開疫區,也可得病,但發病較遲。
本病在各個年齡組都有發生,但多發於兒童和青少年,成人很少發病,無明顯的性別差異。本病常常多發性、對稱性侵犯軟骨內成骨型骨骼;導致軟骨內成骨障礙、管狀骨變短和繼發的變形性關節病。臨床表現為關節疼痛、增粗變形,肌肉萎縮,運動障礙。現在本病的國際通用英文名稱為KashinBeckdisease。
病因學
大骨節病大關節病的病因至今未明。曾懷疑為口慢性中毒所致,但未能證實。大多數人認為可能與穀物中的致病黴菌有關。動物實驗發現:凡用帶有致病黴菌的穀物飼養的動物,其骨骼中所出現的病理改變與大關節病很相似。致病黴菌可能為留鐮刀菌,但未能完全證實。 當前因內外主要有3種病因學說。
生物地球化學說
最初由原蘇聯學者提出,認為本病由1種或幾種元素過多、不足或不平衡所引起。早期曾認為與水、土鈣少及鍶多、鋇多有關。後來又主張因病區水土和主副食中含磷、錳過多而致病。這些都未能人病人體內或實驗研究中找到確切根據。
中國科學家發現大骨節病與環境低硒有密切關係:
① 中國本病病區分布與低硒土壤地帶大體上一致,大部分病區土壤總硒總量在0.15mg/kg以下,糧食硒含量多低於0.020mg/kg;
② 病區人群血、尿、頭髮硒含量低於非病區人群,病人體內可查出與低硒相聯繫的一系列代謝變化;
③ 病區人群頭髮硒水平上升時,病情下降;
④ 補硒後能降低大骨節病的新發率,促進乾骺端病變的修復。
但也有一些重要事實不支持低硒是本病的病因:
① 有些地區低硒,並不發生大骨節病,如陝西的榆林、洛南以及四川、雲南一些克山病病區;有些地方硒並不很低,卻有本病發生,如山東的益都,山西的左權、霍縣,陝西的安康,青海的斑瑪等;
② 補硒後不能完全控制本病的的新發;]
真菌毒素真菌毒素說
認為病區穀物被某種鐮刀菌污染並形成耐熱的毒性物質,居民因食用含此種黴素的食物而得病。這一學說最初在1943-1945年間由原蘇聯學者提出,並未得到學術界普遍承認。
60年代以後,中國學者楊建伯等繼續進行這一方面的研究,注意到病區玉米中檢出最多的真菌是尖孢鐮刀菌;並在病區玉米粉和麵粉中檢出多量鐮刀代謝產物蘇糖醇和木糖醇,其含量與大骨節病病情之間存在“劑量效應”聯繫。用病區穀物分離的鐮刀菌接種於非病區玉米製成菌糧,按10%比例加入正常飲料餵養雛雞,可引起雛雞膝關節骺板軟骨帶狀壞死。
真菌黴素說當前面臨的主要問題是:
① 在流行病學上如何解釋病區近距離灶狀分布問題,用溫度、濕度、糧食收割貯存條件等難以作出令人信服的解釋;
② 各病區分離出的菌種不盡相同(例如有些病區分離出的的優勢菌種是互隔交鏈孢霉而不是鐮刀菌),病區與非病區間的差別不夠規律;
③ 細胞培養證明,鐮刀菌毒素(如禾穀粉紅色鐮刀菌的TDP-1、梨孢鐮刀T-2等)對軟骨細胞並無選擇性毒性作用。
阿魏酸有機物中毒說
認為本病系由於病區飲水被腐殖質污染所致。在中國許多病區,民間早就把本病起因歸之於水質不良。日本學者瀧澤等人研究飲水中植物性有機物與大骨節病的關係,認為有機物中阿魏酸對羥基桂皮酸可能為致病因素。
中國在1979-1982年的永壽縣大骨節病科學考察中,測得水中腐殖酸總量和羥基腐殖酸含量與大骨節病患病變率呈正相關,與硒含量呈負相關。近年來對病區飲水中有機物的分離鑑定表明,病區與非病區腐殖酸結構的核心部分無明顯差異,小分子有機物如酚醌類、含硫和氮的苯並噻唑類化合物在病區飲水中較多出現。用遇子自鏇共振(ESR)進行檢測,發現病區飲水中有明顯的自由基信號。
有些學者認為低硒、真菌毒素和飲水中有機物3者在本病可能有其內在聯繫。即糧食受真菌污染和飲水受有機物污染的共同結果,都產生自由基(半醌自由基),增多的自由基進入人體可損傷軟骨細胞;在病區環境缺乏足夠的硒的保護情況下,便引起發病。這一觀點所面臨的主要問題是,自由基和過氧化損傷為何只選擇性作用於軟骨細胞,而對其他組織不帶來明顯損害。
實驗動物模型研究
為了探討病因與發病機制,多年來國內外許多學者都致力於本病實驗動物模型的研究。
中國研究者一般都以軟骨損害作為判定動物模型的基本形態學指標。但以往用大白鼠或狗所做的實驗,在骺板和關節軟骨所看到的多是散在性軟骨細胞壞死、基質變性、較小的無細胞區等缺乏特徵的輕度改變,和對照組相比缺乏質的差別,因而難以判斷其價值。近年來比較成功的是在恆河幼猴用病區糧、水所進行的實驗。在飼以病區水或糧6個月或18個月後,大部分猴的關節軟骨和骺板軟骨深層出現灶狀、帶狀壞死及壞死後的一系列繼發變化,基本上重現了大骨節病的病理髮展過程和主要病變特徵。實驗結果提示病區水和糧中都有致病因素存在;這類致病因素對實驗動物的致病作用並沒有隨該病區病情減輕而變弱;單用病區水亦可引起明顯軟骨壞死,故基本病因不太像是某種微量元素的缺乏。
病理
大骨節病軟骨壞死以累及成熟中的軟骨細胞(肥大軟骨細胞)為主,呈現近骨性分布。壞死擴大時,也會波及其他層次的軟骨細胞。壞死灶常為多發性,大小不一,呈點狀、片狀或帶狀。
2、骺板軟骨病變
骺板軟骨的壞死主要發生於肥大細胞層,重者可貫穿骺板全層。骺板深層發生壞死後,該部由乾骺端來的血管不能侵入,正常的軟骨內成骨活動停止;但壞死灶上方存活的增生層軟骨細胞還能繼續增生、分化,導致骺板的這一局部增厚。在壞死灶的近骨緣常發生退行性鈣化,並可沿壞死灶的乾骺緣沉積骨質,形成不規則的骨片或橫骨梁,表示正常骨化過程停頓。而骺板的其他部分成骨活動仍在繼續,因而造成骺板的厚薄不均和骨化線的參差不齊。
當壞死灶貫穿整個骺板時,由骺板和乾骺端兩個方向進行壞死物的吸收、機化和骨化,終於導致骺板提前骨性閉合,該管狀骨的縱向生長早期停止,造成短指(趾)或短肢畸形。
由於乾骺端血管豐富,骺板軟骨壞死後的吸收、機化和骨化發展較為迅速,因而其X線影像在較短時間(數月於1年)內可明顯加重或好轉愈復。
3、關節軟骨病變
大骨節病和骺板軟骨的壞死灶一樣,關節軟骨的病變也呈近骨性分布,即首先是深層成熟中的軟骨細胞受累。由於此部壞死物質的吸收較為緩慢,壞死存在時間較久,故壞死灶周邊部增生垢軟骨細胞團往往更引人注目。在較大的壞死灶當壞死物質崩解、液化後,形成裂隙或囊腔。在重力和磨擦等機械作用下,其表層軟骨組織每易成片剝落(分離性骨軟骨炎),形成關節游離體(關節鼠),而局部關節面則留下大小不等的潰瘍。重者病變部關節軟骨可全層破壞消失,造成大片骨質裸露。在關節面的邊緣部分,與軟骨壞死相伴隨常有軟骨增生反應,導致關節邊緣部分增厚,且可骨化而形成骨性邊緣增生物,由此而引起患者骨端增大,關節變形和活動受限。後期關節滑膜結締組織增生、鈣化和骨化,更加重了關節粗大。由於關節軟骨的變性壞死、崩解剝落和修筆增生等過程反覆進行,以致晚期病例表現為變形性關節病的改變。但從未見發生骨性關節強直。
關節軟骨壞死的吸收機化只能板殼的正常缺點口處開始,修復反應相對較弱,病變發展較為緩慢。因此,在X線下關節面(骨端)的病變往往比干骺端的病變顯影較晚,修復過程發展緩慢,歷經較長時間而變化甚微。
4、軟骨損害的發生機制 目前主要有以下3種見解:
一種意見認為,本病軟骨損害的生物化學基礎是硫代謝障礙。硫酸軟骨素(Chs)是軟骨基質的重要成分。持這種見解的研究者發現本病病人尿中Chs的排泄量增高,硫酸化程度降低,分子量變小,尿中各種氨基多糖的比例失調;他們認為這些變化提示有硫的利用障礙。體內Chs的硫酸化受肝、腎等臟器產生的硫酸化因子(SF)所調控。他們發現本病兒童患者血清SF活力明顯低於當地健康對照兒童,後者又低於非病區對照兒童;他們認為硫代謝障礙是SF活力降低的結果,本病的致病因素是通過干擾SF的生物功能而引起一系列軟骨損害的。
磷脂還有一種意見認為,外源性自由基源既可引起軟骨細胞壞死,又可導致軟骨細胞代謝異常。後者將合成和分泌富含Ⅰ型膠原的異常基質,發生速度快、粒度小、結晶度低的異常礦化,從而引發本病的病理化學過程。用病區糧、水飼養小鼠,發現軟骨基質中Ⅰ型膠原增多。Ⅰ型/Ⅱ型之比增加。
上述氨基多糖、膠原和細胞膜系統的變化,都為探討軟骨損害的發生機制提供了有益線索。但對於合理解釋病因如何選擇性作用於軟骨的特定部位和啟動一系列特徵性改變,還存在較大距離。
臨床表現
本病常在不知不覺中起病,病人初期可能自覺缺乏,四肢無力,皮膚感覺異常(如有蟻走感、麻木感等),肌肉酸麻、疼痛等。這些症狀常常不衡定,不明顯。其主要的、典型的臨床表現都與骨軟骨損害和關節功能狀態密切相關。
早期表現
發病初期多數病人無明顯自覺症狀,部分病人自覺易疲乏,四肢關節發緊運動不靈活、有關節磨擦音或輕微疼痛、脹痛、酸痛或“骨縫痛”,有時有蟻走感和麻木感。關節疼痛往往為多發性、對稱性,常先出現於活動量大的指關節和負重量大的膝、踝關節。這些症狀一般在晨起後明顯,待稍活動後可緩解。關節疼痛隨病情進展而加劇,在病情活躍的病區中,病人常在關節增粗的前幾個月,就感到踝、掌、指、肘、膝等關節處有對稱性斷續疼痛,特別是在起床、就寢、走路及勞動以後,天氣變化或身體不適時更為明顯。
大骨節病
指端末節呈鵝頭狀下垂,即第2、3、4指的末節向掌心方向彎曲呈弓狀,常大於15°,這是本病出現最早的體徵,在病區對早期診斷具有一定意義。指末節彎曲常與手指歪斜並存,歪斜以食指多見,其次是中指、環指。末節的背側可觸到一個拱起的“脊”,即Heberden(霍伯登氏)結節,這種病人發生在學齡期兒童(5~12歲),部分可幼年發病。
進展期表現
關節增粗變形多見於手(指)、足(趾)間關節、掌指關節,逐漸發展到腕、肘、膝關節,晚期重症病人肩關節和髖關節受累。常先出現在第2、3、4指的第1指間關節,以近位指間關節最為明顯,由於指骨關節端變扁平和向外膨大,而致關節隆起。踝關節增粗、變性,在早期檢出率相當高,僅低於指關節,踝關節增粗常伴有足跟外形臃腫、足弓扁平畸形。少數病人在指關節增粗前,先出現肘關節彎曲,左右肘關節彎曲程度常不相同。膝關節亦可出現增粗、變性。關節增粗呈多發性、對稱性。受累關節部位的皮膚和軟組織無發紅、腫脹等改變,也很少有壓痛。關節摩擦音:從細小捻發音到粗糙的摩擦音不等。
大骨節病
輕度以上患者四肢肌肉特別是手掌大、小魚際肌、上臂肱二頭肌、肱三頭肌及小腿腓腸肌可見肌萎縮,這種現象在關節有明顯改變之前就可出現。
增粗關節活動範圍變小,關節活動受限。肘關節屈伸受限,彎曲呈挎筐狀;肩關節受累;膝關節內翻或外翻,出現下蹲困難,直立曲膝,代償性腰椎前彎,臀部後突,扁平足。嚴重者腳步掌狀如熊掌,此時病人步態搖擺,即所謂的“鴨步”。踝關節跖屈和背伸障礙。
少數病人因病變關節軟骨的剝脫,關節腔內出現游離體(關節鼠)。游離體也可由增生的滑膜絨毛脫落而來,多為細小的米粒小體。當關節鼠嵌在關節間隙,關節出現絞鎖症狀,動則劇痛。
大骨節病
嚴重病人出現手指、足趾與年齡身高不符,明顯短縮,有時伴有關節半脫位,手指向尺側或橈側彎曲,即所謂的短指(趾)畸型。四肢與頭和軀幹相比表現為勻稱短縮,上臂與前臂相比特別短,手指不能觸及大轉子;脛腓骨短,與肱骨及軀幹相比不成比例。因此病人坐如常人高,立起則矮半截,呈矮小畸型。病人因關節增粗變形,運動障礙和疼痛,勞動能力下降,甚至完全喪失勞動能力,至生活不能自理。
病人自覺症狀常在勞累、受涼或天氣變化時加重。
病理變化
大骨節病除胸鎖關節外,全身關節均有不同程度的病理變化,但主要病變在四肢管狀骨的關節軟骨及骺板,下肢較上肢為嚴重。病變呈對稱性,左右兩側關節同時受累,主要以軟骨的變性及壞死為特徵。
1、關節軟骨病變最早的改變是軟骨基質的變性。基質由正常輕度嗜鹼性變為嗜酸性,呈深紅染。進而基質開始溶解、變稀薄淡染,以致顯現排列方向較一致的膠原纖維(原纖維顯現)。病變如進一步發展則液化溶解形成空泡或裂隙。隨著基質的變性,軟骨細胞發生空泡變性,嚴重時,胞漿變為蜂窩狀,胞核常被擠到一側。有時可見軟骨基質中水分增多,液化而淡染,其中游離的軟骨細胞由正常的圓形變為星芒狀,似粘液細胞,稱為軟骨粘液變性。變性嚴重時可發生壞死,軟骨細胞核固縮消失,最後只剩下細胞輪廓。
軟骨的壞死首先出現於關節軟骨的深層與骨質交界處,早期為灶性或片狀,以後相鄰病灶互相融合而形成明顯的壞死帶,有人認為這種帶狀壞死對本病有診斷意義。在軟骨的壞死區邊緣或帶狀壞死的一側健存的軟骨細胞活躍增生,通過細胞直接分裂而形成大小不等的軟骨細胞團,一般呈圓形或橢圓形,由數個或數十個細胞構成。這些軟骨細胞體積較小,其間的軟骨基質也很少。
2、骺板軟骨及乾骺端病變在未成年患者,骺板軟骨的病變較明顯。骺板軟骨可呈現與關節軟骨完全相同的變性和壞死。病變輕者,軟骨細胞柱變短,排列紊亂,病變重者軟骨組織可出現變性及壞死,以後出現不規則早期鈣化。骺板軟骨下小血管侵入變性和壞死的骺板內,並由破骨細胞溶解、吸收以及形成不規則新生骨組織,造成早期骨化。由於骨化過程紊亂,新生骨小梁不僅較為稀疏變短粗,而且新生骨小梁的方向由正常時的縱向排列變為橫向,這是最主要的改變,使骨的縱向生長受阻。橫行的骨小梁貼附於骺板軟骨表明骨的生長已停頓。
乾骺端的松質骨,由於骨小梁稀疏,骨髓腔明顯擴大,形成典型的骨質疏鬆。有時可見骨小梁的斷裂或破碎,甚至有小囊腔形成。
大骨節病的肉眼改變,早期在關節軟骨不明顯。病變較重時關節軟骨質地變脆,色暗,表面粗糙,有小溝紋,壞死軟骨作瓣狀脫落而形成大小不等的潰瘍。軟骨組織成片脫落時則形成關節內游離體。軟骨壞死周邊部分及骨骺側壁的軟骨、軟骨外膜及肌腱附著部的纖維軟骨以及關節軟骨周圍的滑膜及結締組織亦常增生,並漸漸骨化,結果在關節周圍形成許多骨贅;在關節運動的壓力作用下,骨贅成為盤狀或唇狀突起,致使關節腫大,形成大骨節病的外觀。增生的滑膜絨毛以及骨贅亦可脫落成為游離體,存在於關節腔內。
骺板軟骨在早期也無明顯的肉眼觀改變,病變較重時肉眼上骺板厚薄不均,彎曲呈波浪狀,與同齡健康人相比,骺板較薄。
臨床表現
大骨節病1、早期表現 在關節明顯變大、出現短指(趾)畸形之前,早期症狀、體徵多缺乏特徵性。根據大量調查和隨訪觀察,以下幾種表現值得重視。
⑴ 關節疼痛:往往為多發性、對稱性,常先出現於活動量大的指關節和負重量大的膝、踝關節。病人感覺為脹痛、酸痛或“骨縫痛”。
⑵ 指未節彎曲:即第2、3、4指的末指節向掌心方向彎曲,常大於15º。這是本病出現最早的體徵,在病區對早期診斷具有一定意義。但非病區少數兒童也可有程度較輕(小於15º)的指末節彎曲現象;病區沒有指末節彎曲的青少年也可發生本病。指末節彎曲常與手指歪斜並存。歪斜以食指多見,其次是中指、環指。
⑶ 弓狀指:手指向掌側呈弓狀屈曲。
⑷ 凝狀指節增粗:一般發生在中節。2、病情發展後的表現 本病病情發進展以後,除關節疼痛等早期表現繼續加重外,主要有以下症狀體徵出現:
⑴ 關節增粗:最多見的是多發性、對稱性指間關節增粗,常先出現在第二、三、四指的第一指間關節。一般右手指關節增粗比左手明顯,受機械損傷的關節或婦女帶頂針的指關節增粗較重。
⑵ 關節活動障礙:在手表現為晨起感覺握拳僵硬,握拳不緊,指尖不能接觸掌橫紋,握住的拳不能迅速伸展。肘關節屈伸受限,呈屈曲攣縮。肩關節受累時病人用手從頭後摸不到對側的耳朵,甚至洗臉洗不著前額。膝關節內翻或外翻,呈羅圈腿或剪刀形腿。由於膝、髖關節屈曲變形,病人蹲下困難,腰部脊柱代償性前凸,臀部後凸,走路時步幅小,出現搖擺或瘸拐,呈“鴨行步態”,踝關節跖屈和背伸障礙。病人的疼痛和活動障礙常表現為休息後或晨起加重,稍事活動症狀減輕。不少病人晨起後,需先扶床沿“遛遛”,然後才能邁步。
⑶ 關節磨擦音:從細小捻發音到粗糙的磨擦音不等。由於關節面不光滑、關節囊滑膜絨毛的增生、脫落等因素引
起。⑷ 關節游離體:既可來源於剝落的關節軟骨碎片,也可由增生的滑膜絨毛脫落而來,後者多為細小的米粒小體。游離體在關節腔內活動可能被卡住,形成關節絞鎖而引起劇痛;隨關節活動使游離體鬆動而得到緩解。
⑸ 骨骼肌萎縮:本病的四肢肌肉,特別是小腿和前臂的屈側肌肉常見萎縮,有時甚至出現在關節有明顯改變之前。本病後期由於疼痛和關節活動受限制,更有廢用性因素參與,以致萎縮更加嚴重。
⑹ 短指(趾)畸形:指節發育比常人短,手小形方。或因各指(趾)發育障礙程度不同,其長短失去正常互相間的比例關係。
⑺ 短肢畸形,身材矮小:各管狀骨發育障礙程度常不均等。有的病人橈骨早期生長停止,尺骨相對較長,尺骨莖突向下主背側移位,手向橈側傾斜,造成巴德隆畸形。發病年齡小而病變重者可形成大骨節病性侏儒,病人肢體與頭及軀幹不成比例,一般上臂明顯短於前臂,小腿明顯短於大腿,軀幹接近正常人。
輔助檢查
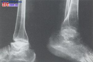
大骨節病 X線表現1、X線表現
⑴ 乾骼型:以乾骼端改變為主,包括臨時鈣化帶變薄、模糊、中斷、消失,乾骼端出現凹陷、硬化等。乾骺型發生於學齡前及學齡兒童,反映骺板軟骨壞死後的繼發變化,代表大骨節病較早的損害,臨床症狀多為陰性或非常輕微。乾骺型的X線變化除很明顯的硬化在非病區兒童中較少見外,其他徵象均可在非病區兒童中出現。因而在同一地區沒有發現Ⅰ度以上典型病例的情況下,不宜僅憑某幾點乾骺端X線改變就診斷為本病。前面談過的日本發現的所謂大骨節病,就是由於沒有充分注意到這一點。
⑵ 乾骺骨骺型:除上述乾骼端變化外,骨骺也有變化,如骨骺常呈錐狀或其他變形,嵌入凹陷的乾骺端等。此型多發生於學齡及青春期,反映骺板軟骨的一部分發生全層壞死,其乾骺側和骺核側同時有生長障礙和骨質變化,局部骺板早期穿通化骨。這是乾骺型的進一步發展。
⑶ 骨端型:以骨端改變為主,包括骨性關節面模糊不整、變薄、中斷、凹陷變形、硬化、甚至碎裂等改變。多發生於學齡兒童至青春期以後年齡段,反映關節軟骨深層壞死繼發的骨質改變。骨端的變化發展較慢,合併其他關節損害多。骨端出現變化的診斷意義比干骺端的變化更重要,更具有特異性。
⑷ 骨關節型:見於骺線閉合、骺板軟骨消失之後,包括骨關節面的嚴重破壞、凹凸不平、增生硬化、骨刺形成、骨質碎裂、囊性變、骨端粗大畸形等改變。常累及多關節,X線所見類似退行性(增生性)關節病,是本病的晚期表現。
2、與骨、軟骨代謝有關的檢查
⑴ 血漿鹼性磷酸酶(ALP)活性升高,特別是X線有典型改變的大骨節病兒童較病區健康對照和非病區健康對照均有顯著增高。在沒有明顯肝、腎等臟器官損害的情況下,ALP主要來自骨骼,反映成肌細胞功能活躍。
⑵ 尿中羥賴氨酸明顯增高,且隨X線所反映的病情加重而上升。側同樣為膠原分解產物的羥脯氨酸變化卻不太規律。有時報告中尿羥脯氨酸在活躍重病區有增高趨勢,有的報導則相反。
⑶ 尿中硫酸軟骨素(Chs)的排泄量升高,反映軟骨基質的分解增多。Chs的硫酸化程度降低,用醋酸纖維素薄膜電泳法查出病人尿中Chs的電泳遷移率明顯變大,說明Chs的分子量變小。
鑑別診斷
大骨節病 X線表現臨床上需要與大骨節病鑑別的疾病主要有2類,一類是引起關節粗大、疼痛的疾病;一類是引起軟骨內成骨障礙、短肢畸形、身材矮小的疾病。鑑別時主要應掌握各自疾病的特徵,以及大骨節病有地區性等特點。
1、退行性骨關節病(骨關節炎、增生性關節炎):其與晚期大骨節病的相同之處是有關節軟骨的退行性變和破壞脫落,發生關節疼痛、僵硬、關節粗大、活動愛限制。和大骨節病不同之處在於:
① 多發生於40歲以後的成人,青年人少見,幾乎不見於兒童;
② 無短指(趾)、短肢畸形;
③ 關節受累為非對稱性;
④ 肌萎縮不明顯。
2、離性骨軟骨炎:在關節軟骨部分分離形成關節游離體、引起關節交鎖方面,與大骨節病晚期有相似之點。主要不同之點是:
① 受累部位主要是雙膝關節或革單一關節(如踝部),手指改變少見;
② 不影響骺板軟骨生長,無短指、短肢畸形;
③ 多有外全國各地史。
鑑別診斷 類風濕關節炎3、類風濕關節炎:在好發生於青少年,開始我累及手指小關節,有多發、對稱的指關節腫大、疼痛等方面與大骨節病有些類似。明顯不同之點是:
① 受累關節周圍軟組織有腫、熱等炎症表現,關節腫脹呈紡錘形;
② 重症病例關節最終常出現纖維性強直;
③ 無短指(趾)畸形;
④ 類風濕因子(IgM)在70-80%患者中為陽性;
⑤20-25%患者皮下有類風濕結節。
4、痛風:雖然也有多關節受累和手、腕、足、踝等部關節腫痛。但以下各點和大骨節病明顯有別:
① 發病年齡大部分在40歲以下;
② 多有家族遺傳史;
③ 受累關節有紅、腫、熱、痛等急性炎症表現,發病急驟,疼痛劇烈;
④ 在關節或其他部位皮下有痛風石,皮膚如潰瘍排出白色尿酸鹽結晶;
⑤ 關節損害為非對稱性;
⑦ 給予秋水仙鹼治療,症狀迅速緩解。因此容易和大骨節病鑑別。
5、氟骨症:氟骨症患者晚期亦可發生廣泛的關節退行性變,關節邊緣骨刺增生,關節活動障礙,步態蹣跚。但與大骨節病不同之處甚多,例如:
① 發病地區不同。2種病重疊的地區很少;
② 發病年齡一般都在成年以後;
③ 多有氟斑牙;
④ 以脊柱及四肢大關節受累為主;
⑤ 骨骼病變以骨硬化為主,伴有骨周軟組織的廣泛鈣化、骨化;
⑥ 椎管變窄,椎間孔變小,造成脊髓和神經根損傷。故不難與大骨節病鑑別。
6、軟骨發育不全:在短肢畸形、身材矮小方面與大骨節病性件儒相鑑別。其主要不同之點是:
① 為先天性,出生後即四肢短小,生長緩慢;
② 前額明顯突出,鼻樑深度凹陷;
③ X線全身多處有軟骨發育不全畸形;
④ 骨骺增大呈喇叭形,長骨兩側膨大非常明顯;
⑤ 關節不痛或很輕。
鑑別診斷 克汀病8、克汀病:雖然也有身材矮小,但生後不久即表現出生長發育滯後;有明顯智力和性功能障礙;有不同程度的聽力和語言障礙;X線骨齡明顯落後,乾骺閉合延遲。容易和大骨節病區別。
治療
1、針對可能的病因與發病機制的藥物 這類藥物適用於早期病人,旨在阻斷病情發展,促進病變修復。常用的
有:⑴ 亞硒酸鈉和維生素E:針對病人體內有低硒的改變和膜損傷的表現而採用。一般用亞硒酸鈉片口服,每片含亞硒酸鈉1mg,用量通常為10歲以下兒童每周服1片,10歲以上兒童每周服2片,服用至少6個月以上。同時服用維生素E,每日10-20mg,能增強效果,永壽大骨節病考察表明,以X線下乾骺端變化來判斷,服藥1年時療效達81.9%,與病人脫離病區到非病區後病變修復過程相近。由於硒的生理適宜用量範圍較窄,因此要嚴格控制劑量,不可濫用。
⑵ 硫酸軟骨素片劑(康得靈):針對病人有硫酸軟骨素代謝障礙而採用。片劑每片0.12g,每次5片,每日2次,3個月為一療程。
⑶ 硫酸鹽:也是針對硫代謝障礙。常用複方硫酸鈉片,每片含無水硫酸鈉0.36g,檸檬酸0.09g,還有適量澱粉、硬脂酸鎂等賦形劑。用量10歲以下每日4片,10-15歲每日5片,15歲以上每日6片。每日2次飯後服用。6-8個月為一療程。也可用硫酸鎂片,10歲以下每日2g,10-15歲每日3g,15歲以上每日4g。每日2次飯後服用。6-8個月為一療程。還可口服1%稀硫酸,每日口服1次,每次5-10mg,加溫開水200ml,飯後服用。
2、針對關節疼痛、活動障礙的藥物 這類對症治療藥物甚多,可用於各個時期的病人。常用藥物有:
⑴ 水楊酸類:可用腸溶型阿司匹林片或其他水楊酸製劑。據報導不僅有止痛作用,還能抑制蛋白質水解酶,促進軟骨病變修復。但長期服用應注意其副作用。
治療 針炙3、針炙、理療 針炙、理療也是止痛、解痙和改善關節功能的對症療法。除傳統的針炙、拔火罐、按摩之外,還可因地制宜採用泥療、蠟療、礦泉浴等療法,也可使用熱電刺激療法、離子導入療法等。離子導入的溶液可用5%硫代硫酸鈉。
4、手術治療 對嚴重關節畸形、關節攣縮或時有關節交鎖的Ⅱ、Ⅲ度病人可施行矯形外科手術,剔除關節游離體,清理關節內部,矯正畸形。常能收到良好效果 。

