基本內容
軟骨細胞
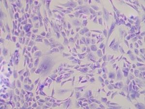
軟骨細胞(chondrocyte):位於軟骨陷窩內。幼稚的軟骨細胞位於軟骨組織的表層,單個分布,體積較小,呈橢圓形,長軸與軟骨表面平行,越向深層的軟骨細胞體積之間增大呈圓形,細胞核圓形或卵圓形,染色淺,細胞質弱嗜鹼性,常見數量不一的脂滴。成熟的軟骨細胞多2~8個成群分布於軟骨陷窩內,這些軟骨細胞由同一個母細胞分裂增殖而成,稱為同源細胞群。電鏡下,軟骨細胞有突起和皺褶,細胞質內有大量的粗面內質網和發達的高爾基複合體及少量的線粒體。
軟骨細胞軟骨是胚胎早期的主要支架成分,隨著胎兒發育逐漸被骨取代,取代過程一直延續到出生後一段時期。在成體內,僅散在分布一些軟骨,其作用依所處部位而異。
釋義 軟骨的結構 軟骨實驗 軟骨病成軟骨細胞是指細胞團中央的細胞經分裂分化後轉變為大而圓的細胞,由這些細胞產生基質和纖維,基質的量繼續增多,細胞被分隔在陷窩內,分化為成熟的軟骨細胞。
在學術文獻中的解釋 成軟骨細胞瘤成軟骨細胞瘤(良性軟骨母細胞瘤)是並不太少見的骨骺軟骨性腫瘤,發生於軟骨內成骨終止以前。多數發生在長骨的骨骺中心,特別是骨端骨骺以外的另一些骨骺內各大轉...
治療措施 病理改變 臨床表現中華預防醫學會權威專家歷時十年研發成功的一項新技術,能夠通過向下肢骺軟骨(生長板)發射軟骨細胞增殖誘導因子及軟紅外熱能,實現下肢骨快速生長。 該項技術是目前世界上唯一一個明確能夠有效通過人工干預方式,沒有...
周圍性軟骨肉瘤是起源於骨外,種植於骨上的軟骨肉瘤。發病率較中心性軟骨肉瘤少。好發於男性,男女之比為2∶1。成人期發病,一般見於20歲以後,青春期前無發病。
病理改變 臨床表現 輔助檢查 鑑別診斷 預後軟骨母細胞瘤,英文名:chondroblastoma ,別名:良性骨骺軟骨母細胞瘤;鈣化巨細胞瘤;含軟骨巨細胞瘤;骨骺軟骨性巨細胞瘤;Codman腫瘤。...
流行病學 病因病理 臨床表現 症狀 診斷關節炎被世界衛生組織稱為“第一致殘疾病”,患病之後,或腫脹,或疼痛,曠日持久,纏綿難愈,直至臥床不起,因此又被稱為“不死的癌症”,嚴重危害病人的生活質量...
介紹 功能 關節軟骨再生研究中心性軟骨肉瘤是肉瘤,其細胞傾向於向軟骨分化。分為:中心性軟骨肉瘤;周圍性軟骨肉瘤;骨膜性軟骨肉瘤。治療僅是手術治療,有相當高的治癒率,放療、化療對軟骨...
治療措施 病理改變 臨床表現 輔助檢查 鑑別診斷