疾病概述
寰樞關節脫位這些患者並沒有經受很大的暴力傷,有些甚至沒有外傷史,只是因為頸痛就診攝了開口位X線片,見到齒狀突與兩側寰椎側塊不等距。有些病例CT橫截面上也見到兩側寰齒側間隙不等距。這些病例都經過了牽引及支具治療,均未能糾正“脫位”,個別病例甚至因此而做了寰樞關節融合術。對這些病例作出“寰樞關節脫位”的診斷是不恰當的。如果有齒狀突骨折,在頸椎側位片及開口位片上可以見到骨折線或骨折移位的影像。橫截面的CT可以觀察到寰椎橫韌帶的起止點是否有撕脫骨折。如果橫截面CT影像見寰樞關節鏇轉角度超過47度,即可診斷寰樞關節脫位。
病因病理
寰樞關節脫位1.年齡
人體於20歲開始出現退變過程,不過直到中年之前並不明顯,55~65歲時約85%X線檢查可發現骨關節的改變。
2.性別
患病男、女相等。直到54歲之前,男、女患病表現形式相似。其後,女性退變進程比男性更嚴重更廣泛。
3.遺傳性
流行病研究顯示骨性關節炎是一種由遺傳性代謝異常引起的一種全身性改變的關節表現。Heberden's結節可以單一的正染色體(antosomal)基因(gene)遺傳性影響,在女性為顯性遺傳,在男性為隱性遺傳。外顯率(penetrance)因年齡而不同。老年女性外顯性發生率最高是30%。在老年男性,由於為隱性遺傳外顯性發生率為3%。精確的遺傳模式尚不清楚。
4.肥胖
退變性關節病在肥胖人發病率增加一倍,主要累及持重關節。肥胖男性退變性關節病表現女性多見的全身性改變。
5.病變範圍
人與人、關節與關節退變表現不同。而且,由人群的檢查發現有幾種類型。在54歲之前,關節受累及形式男、女相似。女性通常多表現退變性關節受累及,第一腕掌關節和遠指間關節往往有改變。在男性,髖關節被累及更常見。可累及任何滑膜關節,但容易承受巨大壓力的關節發生退變最嚴重。由持重、壓力發病的部位有下位脊椎、髖關節和膝關節。由於強大的反覆肌力作用發病的部位有第一掌指關節、第一腕掌關節(大多角骨腕骨關節)和中頸椎關節。一個關節發生骨性關節炎改變,基本為非壓力區域。Trueta檢查不同年齡,由14-100歲的股骨頭顯示軟骨退變,71%股骨頭只限於非壓力區出現退變,僅3%退變發生於壓力區。其餘26%軟骨退變發生於壓力和非壓力區。
誘發因素
寰樞關節脫位(1)炎症過程
如在類風濕疾病,關節周圍和滑膜組織的炎症侵蝕破壞關節軟骨。
(2)代謝疾患
例如痛風性尿酸鹽沉澱,黑尿酸尿性褐黃病的色素沉澱,蓄積於關節軟骨,使關節軟骨性質改變易發生破壞。血色素沉著病作用類似。
(3)生物力學因素
軟骨發生疲勞傾向(例如,巨大應力反覆作用,軟骨發生疲勞)。因此,反覆受力作用,不僅產生膠原纖維斷裂,而且也消耗了軟骨表面的蛋白多糖(Proteoglycan)。骨畸形即可增大軟骨所承受的這種反覆作用的應力。由於關節骨折、脫位、髖臼發育異常、骨骺滑脫和Perthes'病引起結構異常,都將因支持負荷的面積減少而導致接觸壓力增大。骨壞死造成骨質塌陷,導致出現致病性高負荷壓力。關節畸形(例如膝外翻或膝內翻),使關節增加的負荷不平衡,一側分布大,最後軟骨破壞。身體的異常作用力可引起關節的內部紊亂。如採用構想的關節一瞬間的力傳導中心的方法測定關節作用力的方向和速度。通過關節表面的任何一點與一瞬間關節作用力傳導中心的連線,垂直於作用面,即可發現關節正常和異常情況下的不同。正常關節接觸關節面的作用力速度方向與關節面平行,內側半月板撕裂的病人,其產生為一瞬間力傳導中心,由於關節扭動偏移以致膝伸展時,關節作用力速度方向有由股骨傳到脛骨的傾向。這種巨大的接觸作用力造成了半月板撕裂,其後產生了關節退變性疾病。關節面的相對擠壓造成關節軟骨營養障礙,導致軟骨細胞壞死。繼之發生基質蛋白(PG)多糖的消耗,於是關節軟骨經不住關節往返運動的壓力和剪力,發生了退行性改變。膝受長期屈曲作用力固定的一些實驗動物,關節面不相接觸的部分,關節軟骨和滑膜之間發生粘連。可能由於軟骨營養障礙,所以粘連下面的軟骨發生退行性改變。
(4)激素作用肢端肥大症(acromegaly)關節軟骨改變明顯。生長激素(samototrophin)刺激軟骨細胞,導致加速和增強了軟骨細胞的代謝活動。當動物老化時,生長激素缺乏明顯,造成軟骨細胞退變,軟骨細胞代謝降低。糖尿病顯示軟骨細胞進行性異常,極易患骨性關節炎。
(5)化學損傷全身或局部使用化學藥物,傷害了軟骨細胞的生命力和代謝活動性。關節內注射皮質類固醇,產生合成活動大大降低,持續時間從數小時至一周或更長時間。當全身使用皮質類固醇,免疫抑制劑量,同樣引起合成代謝降低,PG(糖蛋白)喪失。組織學改變稱為局灶性軟骨軟化或早期骨性關節炎。鹼性藥物(如氮芥nitrogenmustard或塞替哌thiotape)注射關節內可損傷關節軟骨。
寰樞關節脫位在凝血因子有缺陷的病人,關節內反覆出血可能導致關節軟骨以及軟骨下骨結構的嚴重損害。在軟骨基質內的離子色素可改變軟骨的理化性質,或軟骨細胞吞噬了大量的離子色素性在胞漿內,可引起溶酶體釋放降解酶。出現蛋白糖(PG)濃度降低,軟骨細胞的合成活動減少。一次或偶然關節內出血,可不出現嚴重問題。
(7)年齡老化的改變有些研究人員認為關節軟骨表面的纖維化與年齡有關,某些特殊部位並無症狀(髖:股骨頭內下的股骨頭凹陷,髕骨(內側關節面)有時導致骨性關節炎。關節軟骨的年齡老化改變:在正常人的關節軟骨隨年齡變化發生一些改變。在未成熟軟骨發生的那些與年齡有關的改變,也發生在骨骼發育成熟過程和成人年齡增長過程中。重要的是這些改變與那些疾病過程,特別是那些骨性關節炎的改變不同。
a、細胞改變
未成熟的骺軟骺細胞數與基質比例高於成人。在兩個區細胞有絲分裂活動明顯。細胞分裂是骨骺軟骨逐漸增大的原因。骺軟骨基底部細胞增殖是軟骨內骨化的徵象,形成小的骺板骨化骨骺中心。隨著動物年齡的增長,通常在生後幾個月,細胞有絲分裂在2歲之前軟骨細胞組成進行性減少,成人整個細胞結構不改變。重要的是發現隨年齡增加,軟骨細胞表面的細胞數沒有改變。當完整的關節軟骨發現表面層細胞減少、中層細胞數增加是骨性關節炎的早期表現。
b、膠原
老化與膠原纖維的成熟數量增加有關。整個纖維區直徑增加,常常出現碎片,鄰近退變細胞群往往含有一個鈣化中心。在出生時,膠原纖維區除淺表纖維按切線方向走行外,纖維無排列走行。這種形式除鄰近骨的最深層纖維有垂直走向外,在正常的年齡老化過程中始終如此。表層纖維常不呈束狀排列,但保持垂直於關節面。在老年的纖維組織層由存儲的無形態碎片取代。
c、蛋白和氨基多糖、粘多糖(GAG)的合成
合成率仍然絕對固定不變,以保持破壞分解和合成比例平衡。成年兔關節軟骨的蛋白糖半衰期短,大部分半衰期約8天。其他萬分包括膠原,半衰期很慢。在病理情況下合成的不變比例改變,在某些骨關節炎狀態下和撕裂損傷之後合成活動明顯增加。
寰樞關節脫位e、物理學改變隨老化關節軟骨的滲透性降低,由10~40歲之間關節軟骨滲透性達到最大。而且這種滲透性的改變,在關節軟骨的表淺部分比深層增高更明顯。正常人關節軟骨的彈性不隨年齡改變。當關節軟骨負重之後,發生瞬間的畸形,繼之是一個蠕變狀態(緩變狀態)。除去負重,隨時間關節軟骨又恢復了原來厚度。當負荷迅速去掉後,約90%瞬間畸形恢復。另外,其纖維軟骨負荷後發生畸形極大,恢復慢且恢復不全。關節張力性僵硬指的是平行於關節面的作用力,所產生的繼發性壓縮作用。關於對老化關節面張力的作用尚待進一步研究。骨性關節炎病變主要在關節軟骨表層時,關節僵硬和無力並不明顯,但是隨病變加深關節僵硬增加。
f、關節軟骨的營養只在胚胎和其後一個不長時間內,血管由骨的乾骺端通到關節軟骨的各個部分,並由關節軟骨周邊直接進入骨骺。未成熟關節軟骨,骨骺板尚未閉合,因此由骺板下乾骺端血管和關節分泌的滑液擴散獲得營養。於關節軟骨成熟之後,鈣化帶形成為明顯標誌,此時骨骺板已閉合,幾乎全部營養由關節滑液擴散獲得。在病理情況下,例如骨性關節炎或關節軟骨完全性缺損,明顯的代償性反應,乾骺端血管通過軟骨下骺板,重新穿過軟骨深部鈣化帶。
臨床表現
寰樞關節脫位(1)呼吸中樞受到波及時,於損傷現場致命;
(2)損傷後有一過性神經,表現短暫肢體癱瘓或肢體無力,但能迅速好轉乃至治恢復;
(3)四肢癱瘓,大小便失禁及呼吸功能障礙,此為最嚴重者。如果未獲得及時有效治療,寰椎脫位則更加嚴重,脊髓受壓也隨之加劇;
(4)遲發性神經症狀。損傷在當時和早期並不發生,隨著頭頸活動增加而逐漸出現。寰樞椎脫位典型的臨床表現為頭頸部傾斜。如果單側向前移位時,頭部離開患側向健側傾斜;頸部疼痛和僵直,枕大神經痛等。脊髓壓迫症狀和體徵極少發生。有時微小的創傷就可造成寰樞關節鏇轉移位,頭在鏇轉位置上,取代了寰椎在樞椎上面的運動,兩者僅能有少許活動。
疾病診斷
寰樞關節脫位除外上頸椎的其他部位損傷,必須藉助X線攝片X線張口位攝片,主要特徵表現是樞椎齒狀突與寰椎兩枚側塊間距不對稱。但張口拍片時合作不好可使投影位置偏斜,引起兩者間隙異常,或不能滿意顯示該區解剖結構。必要時多拍幾次片,排除因投影位置不當造成誤診,側位X線片能清醒顯示齒狀突和寰樞椎弓之間的距離變化。正常情況下在3mm以內,必要時CT掃描,與寰椎椎弓骨折及上頸椎畸形鑑別。應注意嚴重的陳舊性半脫位,表現為斜頸及運動受限,頸部活動時疼痛。可導致面部發育不對稱斜,頸的出現可引起對側胸鎖乳突肌痙攣。
其次,橫韌帶是軟組織:在普遍X線不能顯影,其損傷情況應以間接影像加以判斷,寰椎前弓結節後緣中點至齒狀突距離(ADI)比較有用。
(1)寰齒間距增大:側位片可見寰椎前弓後緣與齒狀突相對應點的距離,正常成人和兒童分別為3mm和4mm,如成人寰齒距為3mm-5mm之間,常提示有橫韌帶撕裂。如寰齒距為5mm-10mm則提示橫韌帶有斷裂,並部分輔助韌帶撕裂,如10mm-12mm則證明全部韌帶斷裂。
(2)枕頸伸屈功力性側位片:顯示屈位時寰椎前弓和齒狀突呈“V”型間隙,提示橫韌帶下纖維以外的部分撕裂,使寰樞椎藉助未斷纖維束起支點作用,而顯示寰齒間隙上部分分離呈V型。
(3)枕頸伸屈動力性側位片,顯示寰椎前後不穩徵象,確診為韌帶損傷。
疾病檢查
1、X線檢查:
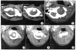
寰樞關節脫位2、CT檢查:
可與寰椎椎弓骨折及上頸椎畸形等疾病相鑑別,特別在頸部有創傷史,有頸部疼痛,僵硬或固定體位。而x線未發現異常時,CT檢查有助於防止漏診。
寰樞關節脫位1、體格檢查
非炎性關節可觸膜和聽到關節發出的乾性吱吱聲。在進行期,關節邊緣性增生,關節囊肥厚,關節增大。運動受限。關節破壞嚴重,運動明顯受限,關節畸形與關節破壞相一致。關節運動從不發生完全喪失。當關節有炎症時,滑液增多,可於關節間隙引起限局性壓痛。無肌肉痙攣和萎縮。Heberden's結節是手指遠指關節背側骨軟骨性增大的特殊表現。該結節通常見於許多手指,可自然發生或發生於創傷之後,尤以絕經的婦女多見。結節不痛或出現後很快伴發疼痛、腫脹和壓痛。腫塊可能為軟的有時為囊性或硬化表現。膨大的包塊主要是軟骨性,因此X線檢查不能發現。一般無全身症狀。年齡為中年或老年。性別:瀰漫性骨關節炎女性較多,在絕經期後的婦女產生骨關節病。男性僅持重關係受累及多見。好發關節,末節指間關節、腰椎、膝、髖、下位頸椎,骶髂關節和肘。病人體形常為肥胖型者。
2、實驗室檢查
血沉、血球計數、血生化正常,熱凝集試驗陽性。10%-30%患者甲狀腺外形顯示功能減退。可用滑液檢查進行退變性關節病與類風濕性關節炎、感染性關節炎鑑別,當急性炎症反應,關節蓄積大量液體時,關節液檢查與正常滑液相同。此時,關節液清亮透明微黃、粘性,不形成凝塊。細胞計數正常60-3000,主要由單核細胞構成。糖濃度與血相同,蛋白含量不超過5.5g/100mL。相反,類風濕性關節炎的滑液在靜置情況下是稀薄、混濁和有凝塊的液體。Ropes試驗陽性,而骨性關節炎卻是陰性。細胞計數常增高3000以上,主要是多形核細胞,滑液總蛋白常常在8g以上,球蛋白濃度往往等於或超過白蛋白。當骨性關節炎合併類風濕性關節炎時,滑液可具有兩種疾病的表現。因此,雖然滑液有典型的類風濕性關節炎的特殊表現,但是患骨性關節炎並不能除外,因此僅由關節滑液只能確診主要病因。另外,滑液有骨性關節炎特點時,也可能類風濕性關節炎處於靜止期。一旦懷疑上述兩種疾病都存在,必須進行反覆的滑液檢查。
寰樞關節脫位本病的退變過程先從關節軟骨開始,由表層關節軟骨改變進行性延及關節軟骨全層。隨生物化學的改變,出現對壓力和張力承受能力降低,大量纖維組織形成,深部劈開碎裂,最後軟骨完全侵蝕,軟骨下骨外露。與軟骨表面早期改變的同時軟骨下骨血管增多,血管深達鈣化層,穿透病灶。由於關節軟骨被侵蝕,軟骨下板層骨及其相鄰骨小梁增厚和變粗。在病理改變上主要是表現為局灶性關節軟骨的退行性變,軟骨下骨質硬化,邊緣性骨軟骨骨贅形成和關節畸形。臨床上表現為反覆發作性疼痛,滲出性滑膜炎、關節僵硬和進行性活動受限。
疾病治療
顱骨牽引1、如果是部分撕裂,通常採取顱骨牽引,或枕頜帶牽引重量1-3kg,牽引3周后即予頭頸胸石膏固定。
2、診斷明確的橫韌帶斷裂,多數學者認為非手術治療不能恢復其穩定性,主張早期手術治療。如若拖延將對復位不利,手術目的在於復位,恢復寰齒關節解剖學的穩定性。
3、通常採用在顱骨牽引下施行寰樞椎固定術,其方法主要有以下幾種:
(1)Gallie法,該法即經後路將寰椎後弓與樞椎棘突用鋼絲紮緊並植骨融合。
(2)Brook法,經寰椎後弓兩側各繞鋼絲,並循經樞椎椎板下穿越,每側各植一骨塊紮緊鋼絲。
二、治療步驟
1、原則:舒筋活血,整復脫位。
2、施術部位:頸項部。
3、取穴:風府、風池、風門、天宗、天鼎及頸部阿是穴。
4、施術手法:推、按、滾、揉、(牽)動。
5、刺激量與時間:手法刺激應輕緩柔和,以不增加病人疼痛為度,施復位手法時,一定要謹慎;每次治療時間十五分鐘左右,隔日或3日1次為宜。
6、手法操作(分以下四個步驟)
(1)推摩揉滾項部法:病人取端坐位。術者立其後方,用一手扶病人頭部,另手自下而上推撫、摩揉項部棘突與兩側數分鐘;繼之,用一手小魚際部來回滾動上述部位數分鐘。以使緊張的筋肉鬆軟。
(2)牽體鏇轉推棘法:接上法,病人坐低凳上,頭頸前屈十五度左右。術者立其後方,用一肘窩部託病人下頜,手扶健側頭部,同時一側在胸部低緊傷側頭部,作向上的提牽動作1分鐘左右,再作左、右三十五度的鏇轉動作數次,在最後一次鏇轉時(已覺頸肌放鬆),另手拇指用巧力輕推偏歪棘突向健側(指下輕微錯動感),即可復位;繼之,將頭部緩慢地前、後、左、右活動各1次,使寰樞關節更加合適。
推摩揉滾項部法(4)按摩俞穴痛點法:病人取坐位。術者一手扶病人頭部或肩部,另手拇指揉壓風府、風池、風門、天宗、天鼎與頸項部痛點各半分鐘,以達通絡止痛之目的。
(5)注意事項
1、施“牽提鏇轉推棘法”時,應遵循穩、準、輕、巧的原則進行,切忌暴力,以防引起不良後果。
2、對於脊髓或脊椎腫瘤引起的高位截癱,禁用手法治療。
3、半脫位整復後,應在頸部墊一沙袋,仰臥休息1周,3周內勿作頭頸鏇轉活動。近年有許多改良技術被採用,經口途逕行寰樞椎關節植骨融合術已有報導。氣管切開,經口或鼻切開,用橡皮條自鼻孔繞口腔緊緊固定懸雍垂,在咽後壁一縱形切口,達寰椎前弓結節並用動力鑽切除前弓結節及齒狀突。兩側關節面軟骨切除,在樞椎椎體前面及寰椎前弓植入自體髂骨,以利寰樞間骨性融合。本手術操作難度較大,術後感染的預防也較困難。
4寰樞椎半脫位的治療較容易,其方法包括牽引復位和固定,也有些病例未採取任何治療。而數天后有可能自然復位,通常套用枕頜帶Glisson牽引,取正中位牽引牽引重量根據年齡而定。成人用2.5-3kg,兒童用1.5-2kg即可,在牽引過程中拍片複查。並根據復位情況對牽引重量和方向作調整,一般2-3天即可復位,維持牽引2周。並用頭頸胸石膏固定或頸部支持牽引2周,並用頭頸胸石膏固定或頸部支架,頑固性半脫位,及陳舊性半脫位可套用顱骨牽引,復位後可考慮採用寰樞融合術。
合理用藥
乙醯水楊酸(一)保守治療 下面對單關節或多關節的非手術治療原則作一介紹。個別關節的手術治療參見骨科手術學。
1、休息:受累關節減少壓力和剪力,使滑膜炎症消失。大多用於關節骨性關節炎症狀劇烈和退變加重的情況。在個別關節的急性發作過程,最好把患病關節放在床上休息,以便關節囊和韌帶鬆弛,從而減少關節面的壓迫。
2、關節運動:為了防止關節囊攣縮,每天關節進行全運動範圍的運動幾次。大多數劇烈的運動將導致關節面明顯受壓的可能,必須避免。
3、可由扶拐或人扶避免受累關節持重:
4、可採用采累關節對側使用手杖減少重力來減少持重關節的垂直負荷:骨性關節炎進行期或雙側關節患病則需雙側手杖、架拐或人扶,應教給病人正確的步態。
5、急性炎症期:尤其對持重關節使用牽引,以防止關節面粘連和關節囊攣縮,一直用到急性炎症消退。
骨科矯形器7、保持良好的力學體位:避免不利的體位力學關節,使用鞋墊和進行全關節的分期功能鍛鍊。
8、骨科矯形器(orthodpaediappliance):可拆卸的石膏夾板以確保休息和每天理療。對於下腰椎的骨關節病,單純的塑膠或紡織品圍腰(corset)即可達到治療作用。支架是制動的較有效的形式。雖然不太提倡使用,但必要時可用普通彈力繃帶限制病患關節過度運動。整個下肢坐骨結節半環支架減少持重的壓力,膝關節另用皮革套制動。
9、電離子透入療法(離子電滲療法iontophoresis):一般使用乙醯甲膽鹼(mecholyl)或組織胺(histamine)。但療效不可靠。
10、X線治療:其作用推測為減輕炎症和減少疤痕形成。雖然有些作用主張使用,但減輕症狀不持久,治療價值不大。
11、皮質類固醇:皮質類固醇混懸液有時為溶液,行關節內注射,在數小時和數天之內即可減輕疼痛和腫脹,並能改進運動。沒有發現全身反應。類固醇是通過抗炎產生作用,症狀減輕時間長短不定,從幾周到幾個月。注射時間(schedule)指定為固定的間隔,由治療作用的時間長短作為間隔多長時間的依據,要保持病人不痛和能繼續治療,不過並未使疾病不再進展。關節內注射皮質類固醇顯示對關節軟骨具有有害作用,損傷軟骨細胞的合成活力,引起軟骨基質內蛋白多糖含量的減少。這種作用在兩周之內是可逆性的,這就表明在兩次關節注射的最小間隔時間。常使用的製劑,有氫化可的松(hydrocortisone)、第三代氫化可的松醋酸丁脂(butylacetate)、去炎松(氟羥潑尼松龍triameinolone)、6-甲基潑尼松龍(6-methylprednisolone)和地噻米松(dexamethasone)。
12、熱、乾的氣候(climate),有益於康復:
非那西汀14、藥物治療:使用藥物可止痛和抗炎,但並不能制止病理過程發展。水楊酸鹽是止痛、抗炎的最好藥物。實驗證明:水楊酸鹽(salicylate)有抑制軟骨降解、減少氨基已糖(hexosamine)和羥脯氨酸(gydroxyproline)的作用,但尚未被證實。
(1)乙醯水楊酸(aeetylsalicylicand,aspirin、阿司匹林):既是止痛藥物又是抗炎藥物,為骨性關節炎主張選用的藥物。藥物必須達到治療量才能有效。藥物劑量640mg,每日可服用四次,逐漸增加劑量直到症狀緩解。老年人更容易發生毒性作用和胃腸道不適。如果耳鳴(timitus)或發生聽力損害,應立即停用(withhold)阿司匹林。有胃腸道症狀可使用抗酸阿司匹林糖衣片,鄰羥苯甲基水楊酸(salicyl-salicylicylicacid),水楊酸鎂鹽和水楊酸膽酸(choline)鹽。
(2)非那西汀(acetophenetidin,phenacetin):如阿斯匹林有反應,可換用非那西汀。一般劑量300mg,一日四次,但不主張長期服用,因為可發生腸源性腎炎。
(3)醋氨酚(acetaminophen、退熱淨):它既是止痛藥又是退熱藥,並無嚴重毒性和副作用,有增加口服抗凝藥物作用。劑量成年人為325-650mgtid,兒童7-12歲162-325mgtid,3-6歲120mgtid。
(4)鹽酸丙氧吩(propoxyphenehydrochloride,右鏇丙氧吩,Parvon):為了止痛必要時可給鹽酸丙氧吩65mg和枸櫞酸愛庚嗪(ethoheptazinecitrate,zactane)75mg,PRN或tid。
(5)鎮痛新(戊唑星,pentazocine,Talwin):疼痛劇烈,口服劑量50mg。常見副作用有:噁心、皮疹和眩暈(light-headedness)。
消炎痛(7)保泰松(phenylbatazone,苯丁唑酮,butazolidin):其派生物質羥保太松(oxyphenylbatazone
)(Tandeari)毒性不大。可能發生的毒性作用有:骨髓抑制,上消化道出血,浮腫(waterretention
)和皮炎。如果說有一個常規使用根據,那就是必須反覆進行血球計數。
(8)擦劑(liniment):如果對患部使用擦劑可能起到“對抗刺激”(counterirritation)性充血和減輕疼痛的作用。常用甲基水楊酸鹽(methylsalicylate)。其作用很可能是心理性的。
預防保健
蔬菜1、控制體重或減肥:
肥胖是本病發生的重要原因,故中老年朋友應控制體重,防止肥胖。一旦超過標準體重,那么毫無疑問,減肥最重要。體重下降後能夠防止或減輕關節的損害,並能減輕患病關節所承受的壓力,有助於本病的治療。
2、避免長時間站立及長距離行走:因為他們會增加關節承受力及加速關節退變。
3、及時和妥善治療關節外傷、感染、代謝異常、骨質疏鬆等原發病。
4、補鈣:應以食補為基礎,要注意營養的平衡,多食奶製品(如鮮奶、優酪乳、乳酪)、豆製品(如豆漿、豆粉、豆腐、腐竹等)、蔬菜(如金針菜、胡蘿蔔、小白菜、小油菜)及紫菜、海帶、魚、蝦等海鮮類。同時應多見陽光及補充維生素D,以促進鈣吸收。必要時,適量補充鈣劑,如葡萄糖酸鈣、巨能鈣是臨床常用物美價廉的補鈣品。但應注意一定要在醫生指導下補鈣。
5、堅持適量體育鍛鍊,防止骨質疏鬆:有規律的運動能夠通過加強肌肉,肌腱和韌帶的支持作用而有助於保護關節,預防骨關節病的發生。
6、注意關節保暖:這一點對於預防骨關節病也很重要。關節受涼常誘發本病的發生

