疾病概述
腕關節結核腕關節結核比較常見,在上肢三大關節中發病數居第二位,病人多為青壯年,兒童較少。
局部症狀的腫脹、疼痛和功能受限為主。寒性膿腫和竇道常見於腕背側。關節破壞嚴重的可發生腕下垂或尺偏畸形。時有合併腕部腱鞘結核。
手術進路宜在腕背側,一般取縱形、S形或橫切口。對於晚期全關節結核,腕骨破壞嚴重的可行遠、近排腕骨或全腕關節切除術或融合術。
病因病理
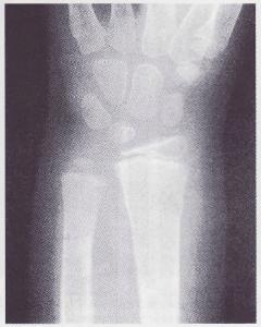
腕關節結核X線表現滑膜型早期可見腕骨小梁模糊,皮質密度變淡,輪廓不完整。晚期由於骨皮質消失及皮質下侵蝕,腕骨可變小。骨型病灶首先開始於橈骨遠端,其次為腕骨(如舟骨、大多角骨、頭狀骨及三角骨),很少繼發於尺骨。病灶常為多發,呈類圓形或不規則形骨缺損,很少有死骨。晚期關節間隙均變窄,病變嚴重者可侵及第2、3掌骨基底部,甚至可達骨幹,可伴有輕度骨質增。生及骨膜反應。病骨往往呈膨脹改變。腕骨結核常合併腱鞘結核,有時可見斑點狀鈣化。兒童的腕關節結核,患側化骨核出現較早。
臨床表現
腕關節結核腕關節由尺橈、橈腕、腕間和腕掌等四個關節腔組成。早期結核疼痛和腫脹從某一個點或某一關節腔開始;而類風溫主要侵犯滑膜,普遍性腫脹是其特點。腕部諸骨中,頭狀骨的化骨核首先出現,結核初染血播時它首當其衝而受累,故頭狀骨結核發病率最高,次為鉤骨和大多角骨等。病變易蔓延至腕骨間小關節累及掌骨和腕的伸肌腱鞘,造成廣泛破壞,在手背形成膿腫與竇道。胸關節滑膜少,故單純滑膜結核少見。
早期腕關節背側腫脹,隨之發生疼痛和活動功能障礙。腕關節嚴重破壞後,可發生腕下垂和尺偏畸形。
腕骨的骨化中心出現較晚,出生後5年內,大致每年出現一個,為此10歲以下兒童腕關節結核較為少見。天津103例中,10歲以下兒童僅7例。腕骨的活動有背伸、掌屈、橈偏、尺偏和鏇轉運動。多並有其他部位的結核病灶。關節結核的臨床症狀,初期可顯患部腫脹,進而可導致骨質改變及關節積液。在病變晚期還可能合併竇道形成,由於病理性脫位或半脫位而導致畸形。
X線攝片,早期單純滑膜結核,可見骨質疏鬆和軟組織腫脹。尺橈骨下端結核可有死骨中心型和溶骨性破壞的邊緣型。晚期可見多個腕骨尺,橈下端和掌骨關節面廣泛破壞。腕關節出現畸形。
鑑別診斷
腕關節結核--X片①缺血性壞死:腕舟骨的缺血性壞死,也可顯腕部腫脹活動受限及壓痛,但其X線顯示受累骨密度增大,變形並有分節,晚期可呈不規則碎裂,有時可見囊性變,關節間隙一般不狹窄,也無骨破壞。
②類風濕性關節炎:可顯示骨質疏鬆,關節邊緣小囊狀缺損,關節間隙變窄,病理性半脫位,或骨性強直,但它常對稱性地累及多關節,其症狀間斷髮作,骨表面糜爛或呈小囊狀吸收,不會有膿腫、竇道或死骨形成。
③Sudeck氏骨萎縮:與腕關節結核早期X線表現相似。前者主要累及骨松質,呈多數斑點狀骨吸收現象,其皮質則光整銳利,不受破壞,關節間隙無改變。
類風濕性關節炎常對稱性侵及多個關節,主要累及滑膜及軟骨,表現為骨質疏鬆,關節面糜爛及小囊狀骨缺損,多出現在骨的邊緣。嚴重者,腕關節可半脫位向尺側偏斜。晚期腕關節強直和肌肉萎縮。
腕關節結核--CT腕月、舟骨缺血性壞死骨密度增高,有時可見囊變,或呈不規則碎裂。腕關節一般無狹窄,亦無骨破壞。
掌、指及指間關節結核
本病極為少見,幾乎均為成人。l臨床症狀和緩,病變進展較慢。X線表現早期可見關節腫脹和局限性骨質疏鬆,數年後可在關節面下出現囊狀骨破壞。病變大多以關節邊緣或乾骺中心開始,並逐漸延及整個關節,而致關節間隙不規則加寬,破壞區內可見死骨,周緣可稍硬化,一般無骨膜增生。病骨幹骺端可稍增寬,經過治療,骨質趨向硬化,病變局限,但囊狀骨破壞卻難以消失。鑑別診斷本病須注意與痛風鑑別。鎖關節結核臨床上極為少見,可由鎖骨的胸骨端。
疾病治療
腕關節結核--治療此期間內可用短石膏托將腕關節固定於背伸30°位使腕關節在功能位強直非手術療法無效時可考慮手術治療由於腕關節的解剖特點以背側入路為佳。
1.單純滑膜結核先採用非手術療法1~2個療程,無效者可作腕關節滑膜切除術背側腫脹明顯的可按背側入路的手術方法將背側滑膜切除掌側腫脹明顯的可另在掌側作縱切口切除滑膜。術後用石膏托固定腕關節3~4周拆除石膏後鍛鍊腕關節功能
2.單純骨結核無明顯死骨的可採用非手術療法進行治療若非手術療法無效。或有明顯死骨的都應及時手術清除病灶按病變部位採用不同的切口顯露對尺橈骨下端病變,可作縱切口;對掌骨基底和腕骨結核可作腕背側橫切口病灶清除後用石膏托將腕關節固定3~4周,以後去托進行功能鍛鍊。
腕關節結核--CT4.晚期全關節結核除對年老體弱者採用非手術療法外,應採用背側途徑作病灶清除術腕骨有嚴重破壞者,可切除一排或兩排腕骨必要時可同時切除橈尺骨下端和掌骨基底對於腕骨切除後所造成的缺損有兩種處理方法。如無混合感染且病灶清除徹底,可用髂骨塊充填骨缺損並用兩根克氏針通過橈尺骨下端植骨塊及掌骨基底加以固定;也可不用任何充填骨塊僅用短石膏托固定患腕於功能位,待局部纖維粘連形成骨端互相接近後再去石膏練習活動在兩種處理方法中以後者簡便易行,而且效果較好;而前者雖可保留長度,但手術操作費事,術後又須長時間外固定,功能效果不佳。
手術治療
1.仰臥位,患肢放在手術台架上。上臂扎氣囊止血帶。從腕部背側第二掌骨基底部經腕部轉向尺側,直到尺橈關節以上3厘米處,作一“S”形切口。切開皮膚、皮下組織和深筋膜,顯露腕背側橫韌帶、拇長伸肌腱和指總伸肌腱。
2.切斷腕背側橫韌帶,向尺側牽開指總伸肌腱,向橈側牽開拇長伸肌腱,顯露腕關節囊。
保守治療3.切除腕背側的關節囊,吸淨膿液,用刮匙刮除肉芽組織、壞死組織和死骨。用鹽水沖洗手術野,松止血帶,仔細止血。關節腔內放人抗菌藥物。分別縫合橫韌帶、皮下組織和皮膚。用前臂石膏將腕關節背屈25—30。固定。
保守治療
保守治療是儀器結合藥物的綜合保守治療。腕關節結核有它一般的結核治療原則,首先是支持療法,要有充分的營養比如蛋白質、維生素,熱量要夠,充足的休息等。另外就是抗結核治療,也就是化療,給予各種抗結核的藥物,需要堅持的時間比較長。但是有些病發展到嚴重的程度了,膿腫、癱瘓等,就要進行手術治療了。手術要把那些已經被結核病破壞掉的骨頭清除乾淨,在基本切除後的基礎上再用其他部位的骨頭,比如髂骨植入進去,目的是讓植入的骨頭和原來即將正常的骨頭慢慢長在一起,融為一體。手術的另一方面需要臨時進行固定,半年後植入骨頭就已經融合了。然後加上藥物治療就可以了。目前進行多數採用保守冶療,其保險係數還是比較高的。
疾病預防
腕關節結核--疾病預防積極治療結核菌病,防止結核菌擴散,是本病防治的關鍵。另外在術後還需積極防止復發,原則上在徹底清除病灶的基礎上,規範和足量的聯合化療,時間不少於1-1.5年。對於關節穩定差,清除病骨過多者,應施行關節融合術,限制關節活動,並加強營養,增強體質,提高機體抵抗力,避免過度勞累和過早負重。
