簡介
氟沉積於骨骼上即稱為氟骨症。氟骨症的損害主要表現為腰腿痛,關節僵硬、骨骼變形、下肢彎曲,駝背,甚至癱瘓。在我國,氟骨症流行的地區分布相當廣泛,無論城市或鄉村、山地或平原,沿海或內地,都有氟骨症流行的報導。另外,隨著社會工業化的迅速發展,環境污染有成了氟骨症流行的病因之一。
病因
氟骨症氟骨病致病原因是由於過量的氟慢性長期地進入人體。
(1)食水水源污染:例如:泉水,特別是溫泉水含氟量過高。
(2)燒煤烘乾糧食:因煤含氟,致使食物污染。
(3)冶煉工業:有些原料含氟,致使在冶煉過程中空氣污染。
(4)氟化物用於治療:氟化物可刺激骨生長,因而被用於治療骨質疏鬆。骨質疏鬆病人用氟化物治療後骨密度可增加,故更引起醫藥界注意。
發病機制
氟經消化道或呼吸道進入人體後,經血液循環散布全身,引起各種變化。
1.在血漿中與鈣離子和鎂離子結合:可使血中的鈣離子和鎂離子濃度下降。有手足搐搦、肌肉痙攣、肌肉疼痛等症狀。再者,凡是要依賴鈣離子或鎂離子幫助方起作用的酶均受到抑制因此,許多代謝過程均受到影響。
2.氟離子的影響:該離子對細胞質是毒物,可影響細胞的功能並可作用於骨骼的磷灰石取代其羥基,因而影響骨代謝,使骨質疏鬆,骨質硬化,或兩者的混合型,使骨骼疼痛、骨折、變形。牙齒在生長期間易受氟的影響,引起氟斑牙。
臨床表現
氟骨症的主要臨床表現是腰腿關節疼痛,關節僵直,骨骼變形以及神經根、脊髓受壓迫的症狀和體徵。
患者常有全身肌肉疼痛、頭暈、心悸無力、睏倦及食慾減退、噁心、嘔吐、腹脹、腹瀉或便秘等症狀,並有肌肉萎縮、肌電圖改變累及甲狀腺、腎上腺、性腺及晶狀體和中樞神經系統時,可引起相應症狀和體徵。
一般女性氟骨症患者的症狀較男性為重飲水氟含量在10mg/L以上的地區,脊柱僵直的女性患者可達50%,男性僅7%,脊柱側彎。駝背或癱瘓的女性為22.2%,男性為7%。這種性別差別可能與妊娠、生育哺乳等有關而且女性接觸燃煤污染的空氣較多。氟骨症的病程可長達數十年。
併發症: 患者多死於慢性營養障礙或其他嚴重合併症。
診斷
氟骨症生活於病區患者有氟斑牙(外來戶成人無氟斑牙),具有骨關節疼痛,功能障礙等臨床症狀和體徵。X線有氟骨症徵象者,結合流行病學資料一般可診斷為本病,必要時可測定血尿氟含量。
2.分級(度) 一般可按下列標準進行分度。Ⅰ度:只有臨床症狀而無明顯體徵。Ⅱ度:有骨關節疼痛、功能障礙等典型臨床表現,但能參加一定的體力勞動。Ⅲ度:喪失勞動能力者。
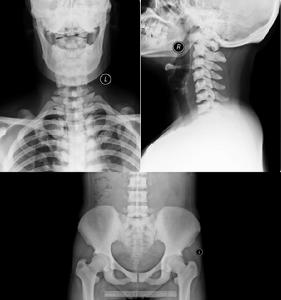
3.氟骨症的X線診斷分型與分度:X線照片要求骨紋顯示清晰,至少包括骨盆及側前壁、小腿正位。
(1)分型:按骨密度和結構的主要改變可分3型:①硬化型:主要有兩種:A.骨密度增高,骨小梁增粗,融合骨皮質增厚,髓腔變窄或消失。B.骨間膜及周圍韌帶骨化。②疏鬆型:亦可分為兩種情況:A.骨密度減低,骨小梁稀疏。骨質有不同程度的吸收脫鈣或造成骨骼變形。B.骨間膜或骨周韌帶骨化。③混合型:兼有以上兩者特點(同時存在不同程度的骨質增生及骨吸收)或松質骨呈網狀或囊狀結構,皮質骨結構鬆散單位面積內骨小梁數目明顯減少。
(2)分度:以上3型中都有不同程度的變化,可分為早期改變及輕、中、重3度。 ①早期改變:有下列徵象之一者可診斷為早期氟骨症:A.長骨骨端、骨盆骨僅見明顯成片的點狀紋理或有增粗紊亂的骨紋。B.四肢長骨皮質緣可出現兩處以上幼芽破土狀骨疣.橈骨脊處多呈波浪狀增生。②輕度:A.骨密度較正常略高,骨小梁粗密,出現骨斑,骨小梁變細,密度減低。B.肌肉韌帶附著處出現尖狀骨化,骨間膜明顯增生。③中度:A.骨密度明顯增高,皮質增厚,骨小梁增粗,部分融合;或有皮質變薄,骨小梁細而稀,密度降低,或骨小梁稀疏,但紋理粗大,密度增高。B.骨間膜及骨周韌帶有較大範圍之骨化。④重度:A.骨小梁增粗,大部分融合成片,髓腔皮質界限不清;或骨質疏鬆呈斑片狀吸收,皮質骨部分中斷消失骨變形較明顯。B.骨間膜及周圍韌帶骨化更明顯,可成橋形,並可出現其他軟組織(如血管)的鈣化影。
4.診斷注意事項
(1)必須有長期生活在高氟區,飲用高氟水,食用被氟污染的糧食或處於氟污染的空氣環境等個人史。另外,性別和腎功能狀況亦與病情有關。
(2)臨床表現為氟骨症所具有的骨關節痛、肢體運動障礙或畸形,伴有氟斑牙(12歲以後遷入高氟區患者可沒有氟斑牙)
(3)骨骼X線改變有骨硬化,骨周軟組織鈣化的特徵性改變。
(4)血、尿氟超過正常範圍。早期氟骨症可能無症狀和X線異常,此時期的鹼性磷酸酶升高,血尿鈣低,尿羥脯氨酸排出高於正常,提示氟已興奮成骨細胞活性,損傷骨膠原蛋白氟骨症患者骨質疏鬆和骨軟化繼發於甲狀旁腺功能亢進時,血漿PTH升高,血中抗酒石酸性磷酸酶升高。結合上述幾方面改變,典型地方性氟骨症的診斷不難。工業性氟骨症患者常屬於骨硬化型,生活和職業環境的氟接觸史有助診斷。
檢查
實驗室檢查 氟骨症
1.尿氟測定 尿氟反映近期氟攝入情況。一般尿氟正常值<1mg/24h。氟中毒者增高若群體尿氟增高提示某種原因使群體發生氟中毒。
2.糞氟測定 糞氟增高表示氟從消化道進入增多。
3.血氟測定 血氟增高對診斷有關鍵性意義。我們對63例慢性氟中毒氟骨病病人進行研究,病人組血清氟0.137±0.11ppm高於正常值0.046±0.01ppm(P<0.05).
4.腎功能 氟對腎有毒性。嚴重氟中毒引起腎功能損害。
5.環境、指甲和毛髮氟測定 在檢查群體慢性氟中毒骨病時,群體飲用水氟增高(正常<1ppm),食物或空氣中氟增高均有診斷意義。毛髮和指甲之氟量代表氟儲存量,亦有診斷意義。
其它輔助檢查
1.X線表現
(1)骨質疏鬆型:骨紋理粗而稀疏可為早期氟骨症的惟一表現。
(2)骨軟化症:以脊柱和骨盆明顯,其骨密度減低,紋理模糊。脊椎側彎、駝背。椎體雙凹變形骨盆縮窄畸形和假骨折線形成骨軟化可與骨質疏鬆,骨硬化和軟組織鈣化同時出現,呈混合型。
(3)骨硬化型:骨硬化常發生在脊柱、骨盆肋骨和顱骨。骨紋理粗如麻袋布或礫砂狀,嚴重者骨紋理融合,結構模糊,透X線度低而似象牙。骨硬化常伴四肢骨的骨端骨質疏鬆在顯著鈣攝入不足時可有繼發性甲旁亢此時四肢骨呈纖維囊性骨炎表現。
2.CT表現:可見脊柱呈竹節樣以胸及上腰段明顯。椎體的附屬檔案密度增高,骨質增生,韌帶骨化。可有骨性椎管狹窄。
3.MRI表現:椎體形態及信號改變較著時MRI有異常表現。椎體有均勻或不均勻的低信號強度。不均勻信號在椎體呈斑塊狀或針狀與正常骨髓相同的信號區。椎體邊緣部分低信號區增厚。旁中央矢狀位層面可見小關節增生及肥厚骨化之黃韌帶呈階梯狀。椎管狹窄,硬膜囊受壓變形骨髓可受壓水腫,T2加權像上呈高信號。
4.SPECT表現:增生部分之放射性信號強範圍較廣泛,但無特異性。
5.骨活檢:脫鈣後切片顯示骨板排列紊亂骨氟、鈣和鎂含量均增高,骨磷和血清磷正常。超微結構也有特異性變化。
治療
1.對症治療
(1)有疼痛者給予適量非甾體類鎮痛劑,如阿司匹林。
(2)有骨骼畸形者應局部固定或行矯形手術防止畸形加劇。
(3)一旦出現椎管梗阻或截癱時。應及早手術,解除神經壓迫。
2.一般治療 多種支持治療或輔助治療對氟骨症病人十分重要。首先要加強營養,補足蛋白質,每天給予維生素D補充多種維生素(特別是維生素C),並鼓勵病人戶外活動採用肌肉按摩等措施,以助病人早日康復。
3.病因治療 儘可能去除引起氟中毒氟骨症的病因,如減少飲水中氟的含量使之達到國家規定的衛生標準改變高氟流行區居民飲食習慣,嚴格執行職業勞動保健措施。避免機體長期攝入過量氟。
預防保健
氟骨症主要是由於飲水含氟量過高所致,因此只要改飲低氟水或儘量去除高氟水中的氟化物,氟骨症是完全可以防治的。另外,在減低氟攝入後腎臟仍有較強的排氟能力,血氟水平下降後又可使蓄積在骨組織和牙齒中的過量氟釋放入血,並經腎臟排出體外,使氟骨症患者的症狀和體徵得以改善。因此通過降低飲水的氟含量來防治氟骨症不僅是必要的,而且是可行的。避免飲用高氟水:在高氟地區居民應儘量不飲高氟水,另尋低氟水源,如深井水、自來水、雨水或雪水等,同時還要定期測量水質。
美國婦女嗜茶成性患罕見骨病
2013年,密西根州一名47歲婦女過去17年嗜茶成性,每天喝100個茶包分量的茶,因吸收過量氟化物,患上罕見骨病“氟骨症”,背部、手臂、腳部及臀部僵硬及疼痛,牙齒變脆弱而必須全部拔掉。主治醫生拉奧表示,根據醫學界標準,每升水的氟化物含量不應超過4毫克,但這名婦女每天吸收多達20毫克,使體內氟化物水平較正常值高4倍,並積聚在骨骼上,導致脊椎骨部分位置骨質密度過高,手臂韌帶出現鈣化。拉奧建議這名婦女減少喝茶後,她的情況改善,骨骼積聚的氟化物逐漸消散。

