病理改變
初期為髖關節滑膜腫脹、充血、關節積液及關節內壓增高。
早期骨骺軟骨下骨質缺血,骨內各種細胞迅速壞死解體,骨細胞所在的骨陷窩變空,骨小粱壞死,繼而引起周同正常組織的反應性改變,後者表現為骨組織充血,肉芽組織增生,並通過肉芽組織內的巨細胞、吞噬細胞及破骨細胞吸收死骨,而使股骨頭骨骺內出現囊狀或不規則低密度透光區,同時,因重力作用骨骺化骨中心發生壓縮骨折,骨小梁相互嵌插,骨骺扁平。隨著病程進展,壞死骨塊及碎片可逐步被吸收,骨骺內的肉芽組織經纖維和軟骨成骨重建化骨中心骨結構。上述骨質壞死、再生及修復可因反覆輕微外傷而交替進行。
晚期骨骺骨軟骨結構可完全恢復,但可遺留扁平畸形,並導致關節的早發性退行性變。
臨床表現
本病好發於3—12歲男孩,尤以5—9歲最多見。多單側受累,也可雙側先後或同時發病。主要症狀為髖部疼痛、乏力和跛行,可有間歇性緩解,患側下肢稍短,呈輕度屈曲或內收畸形,髖關節活動範圍受限.尤其是內旋和外展,有輕度的股直肌萎縮。
治療
三、影像技術優選與評價
X線平片是本病滲斷的主要檢查方法,但不能顯示初期病變。CT檢查可顯示平片可疑或難以顯示的壞死早期修復改變。MRl是診斷本病初期壞死較為敏感和特異的方法,對平片和CT陰性者可及時作出診斷。
四、影像學表現
(—)平片
初期,骨質無改變,僅表現為髖關節間隙內側輕度增寬,股骨頭輕度外移,關節囊外上方軟組織腫脹,正常脂肪間隙扭曲或模糊,股骨頭外形、大小基本保持正常。
早期,以骨質硬化及骨發育遲緩為主。骨成熟延緩,多延緩3個月~3年;股骨頭骨骺骨化中心變小.密度均勻增高,骨紋部分消失;股骨頭骨骺前上部因承重受壓輕度變扁,並出現軟骨下骨折和節裂,股骨頭骨骺上緣弧形線狀透亮影,乾骺端改變包括股骨頸粗短,骨質疏鬆.骺線不規則增寬.鄰骺線骨質內出現囊狀缺損區(圖9-1)。
進展期,骨骺壞死與再生修復同時進行.以再生修復為主;骨骺壞死加重,骨骺更為扁平,中心部呈不均勻性密度增高,壞死骨質節裂成多數小緻密骨塊,有時出現多發大小不等囊狀透亮區,囊變周圍逐漸形成數量不等的新生骨;骺線不規則增寬,有時可見骨骺早期閉合,乾骺部增粗、變短,局限性骨質疏鬆和囊樣變更為明顯;關節間隙增寬或正常(圖9-2、9-4、9-6a)。
晚期,若臨床治療及時,骨骺的壞死骨可以被吸收,碎裂消失,新骨逐漸出現.骨結構可完傘恢復正常,骨骺亦逐漸恢復其光滑整齊的外形。若治療延遲或不當,常遺留股骨頭蕈狀或圓帽狀畸形,股骨頸粗短,大轉子升高,頭部前下偏斜,頸乾角變小形成髖內翻和髖關節半脫位,髖臼上部平直,形態不規則;部分患者晚期髖關節間隙變窄,出現繼發性退行性骨關節病表現。
(二) CT
初期可見關節積液和關節內滑膜肥厚現象,即股骨頭骨骺、乾骺端與關節囊之間低密度影以及髖關節間隙輕度增寬,以內側為主。以後各期所見基本與x線平片相似(圖9-5)。
(三)MRI
初期,主要為滑膜炎和少量關節積液.關節積液為線樣長T1、長T2信號,位於頭臼關節軟骨之間和骺軟骨及乾骺與關節囊之間,於髖臼邊緣處可呈三角形。早期短T1、中等T2信號的骨骺出現延遲或變小,骺軟骨及骺板軟骨增厚。
進展期,骨骺變扁,並呈長T1、短T2信號改變,或同時出現條帶狀、結節狀及不規則狀長T1、長(短)T2信號區。乾骺端近骺板處示類圓形長T1、長T2信號結節,伴長T1、短T2信號邊緣,和(或)乾骺端大部呈長T2、等長 T2信號區;骺軟骨及骺板軟骨厚薄不均(圖9-6b~9-6d)。
病變晚期,骺線不均勻變窄或提早閉合消失。股骨頸粗短,大轉子相對增大並上移。骨骺信號可逐漸恢復正常,但可較對側扁平。骺軟骨不同程度增厚,厚薄不均.甚至不連續。關節囊亦較健側增厚3mm左右。關節內游離體T1Wl和T2Wl均呈低信號。
鑑別診斷
本病主要與髖關節結核鑑別,後者表現為股骨頭骨骺局限性骨質破壞,進行性加重,甚至骨骺完全消失,骨破壞周圍較少有骨硬化帶,鄰關節骨質疏鬆廣泛,較早期即有關節間隙狹窄,無明顯骺板和乾骺端增寬。
股骨頭壞後圈9-1左股骨頭骨骺缺血性坪死(早期)
A b平片.示左側股骨頭骨骺輕度變扁,密度均勻增高,乾骺端增寬,鄰骺線處出現帶狀低密度區。
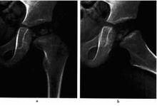
股骨頭骨骺缺血性壞死圖9-2左股骨頭骨骺缺血性壞死(進展期)a,b.平片,示左股骨頭骨骺變扁,密度不均勻增高並夾雜囊變透亮區,關節面欠光整.關節間隙稍增寬
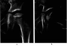
3左側投骨頭骨骺缺血性壞死(進展期)圈9-3左側投骨頭骨骺缺血性壞死(進展期)
a.b平片,示左股骨頭骨骺密度變扁、碎裂,密度不均勻增高,乾骺端稍增寬
雙側股骨頭骨骺缺血性壞死(進展期)圖9-4雙側股骨頭骨骺缺血性壞死(進展期)
a.b 平片,示雙側股骨頭骨骺變扁.密度增商.其中右側頭骺及左側乾骺端夾雜囊變透亮區
左股骨頭骨骺缺血性壞死(進展期)圖9-5左股骨頭骨骺缺血性壞死(進展期)
CT平掃,示左髖股骨頭骨骺變扁.密度增高,關節面不平整,間隙增寬
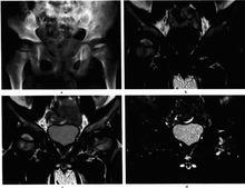
左股骨頭骨骺缺血性壞死(進展期)圖9-6左股骨頭骨骺缺血性壞死(進展期)
。雙髖正位平片,左股骨頭骨骺變扁,密度均勻增高,骨紋消失,骺線不規則增寬,乾骺部稍增粗變短;b.MRI冠狀位T1Wl;c T2Wl;d T2Wl抑脂像,示左股骨頭骺變扁,並呈長T1短T2信號改變,乾骺端內側近骺板處見不規則長T1、長T2 異常信號,抑脂像顯示乾骺端水腫,關節囊少量積液

