歷史背景
1895年德國物理學家倫琴(W.C.RÖntgen)在研究陰極射線管中氣體放電現象時,用一隻嵌有兩個金屬電極(一個叫做陽極,一個叫做陰極)的密封玻璃管,在電極兩端加上幾萬伏的高壓電,用抽氣機從玻璃管內抽出空氣。為了遮住高壓放電時的光線(一種弧光)外泄,在玻璃管外面套上一層黑色紙板。他在暗室中進行這項實驗時,偶然發現距離玻璃管兩米遠的地方,一塊用鉑氰化鋇溶液浸洗過的紙板發出明亮的螢光。再進一步試驗,用紙板、木板、衣服及厚約兩千頁的書,都遮擋不住這種螢光。更令人驚奇的是,當用手去拿這塊發螢光的紙板時,競在紙板上看到了手骨的影像。這次重要的發現對現在骨齡和骨骺線的測定及其他醫學放射奠定了基礎。
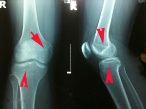
何為骨骺線
骨骺線閉合
這也就是說,我們在青春期發育後,骨骺線閉合後,就不會再長高了(只考慮長骨),因為長骨不再長了,就是腿,胳膊不再變長。之所以有二十三,竄一竄的說法,是因為是我們可以通過 非長骨的組織來長高一些,尤其是脊椎變長,包括骨和骨間組織 (這個對相當一部分人還是很明顯的) 。骨骺線模糊是表示要閉合了,但是 下肢的閉合會比上肢晚一些。男生會比女生晚一些(這也是性發育,激素分泌的效果)。 對於一般人來講二十一,二(男生)也算是最晚的實現了。一定要加強鍛鍊和營養,鍛鍊是良性刺激,會使骨頭更努力的生長,而營養保證了原料的供給。
成長
儲備期(6~10歲)“清+補”抑制早發育,培養一個有利長高的內部環境,適時補充生長元素及綜合骨骼營養,突破遺傳困擾,並為青春期突增打下良好的基礎。突增期(10~14歲)“追+補+修”。追趕性生長,促進生長素分泌,加速骨骼細胞分裂,補充骨骼生長物質,修復受損骨齡。經調整,可延長孩子"躥個"的時間,保持良好長勢。
挖掘期(14~22歲)“追+拖”。補充生長元素,加速骨細胞堆積,補充骨骼延緩素,延緩骨骺線閉合時間。使年長幅度多增加幾厘米,骨骼生長周期多延長几年。
影響
骨骺線先天性因素:(1)營養代謝障礙(維生素A、D過剩症);(2)骨折(外傷性、病理性);(3)放射性損傷;(4)骺板軟骨區感染(化膿性、結核性);(5)骺板軟骨燒傷、凍傷、創傷等;(6)大骨節病;(7)氟中毒;(8)小兒氟骨症。導致骨骺早閉的病因發生越早,畸形會越重,愈後也就越差。對國家、社會、家庭均帶來較重的經濟負擔,給患兒也會帶來一定的思想和精神壓力,。學者認為有些引起骺早閉的病因是完全可以避免的,有些病因雖能導致患兒致殘,但如果積極防治可降低致殘率的發生和減輕畸形。為此應注意以下幾個方面:
1、防止並且減少遺傳性疾病,作好衛生常識宣傳,杜絕近親婚配,這樣可減少導致骨骺早閉的先天因素。
2、杜絕不負責任的亂用藥,正確使用藥量,以避免醫源性維生素A或D過剩症的發生。
3、教育兒童加強自我保護避免各類創傷。骨關節跌傷後,應立即到有經驗的骨傷科(矯形外科)去整復治療,以免延誤診治,造成嚴重骨骺早閉畸形。
4、對一些導致骨骺早閉的地方病,意外事故、車禍、燒傷、凍傷等均應進行有針對性的積極防治,儘可能將畸形減少到最低程度。
目前各種骨骺早閉畸形肌體可以進行手術矯正及整形,使殘疾關節與畸形肌體功能得到部分恢復和改善。

