疾病概述
肱骨外髁骨折患者年齡越小,則軟骨越多,在X線片顯示僅為肱骨外髁的骨骺化骨中心與乾骺端骨折片,而軟骨則不顯影,實際骨折塊相當大,幾乎等於肱骨下端骨骺的一半。故在臨床上對骨折塊的大小要給予充分的估計。對這種骨折處理不當,常發生各種畸形與併發症,造成肘關節功能障礙。
疾病原因
肱骨外髁骨折多由間接暴力所致,跌倒時手部先著地,外力沿橈骨向上撞及肱骨外髁而引起骨折。骨折線由內下向外上、後延伸,骨折塊可包括肱骨外上髁骨骺、肱骨小頭骨骺、滑車外側部及屬於肱骨小頭之上的一部分乾骺端。根據骨折塊移位的情況,可分為無移位骨折、輕度移位骨折和翻轉移位骨折三種。
①無移位骨折:暴力的作用較小,僅發生骨折,如裂縫骨折或移位很小的肱骨外髁骨折。
②輕度移位骨折:骨折塊向外移位,或有45。以內的鏇轉移位,骨折塊仍位於肱骨小頭和肱骨近段骨折面之間。
③翻轉移位骨折:翻轉移位骨折又可分為後移翻轉型和前移翻轉型。後移翻轉型又被稱為伸直翻轉移位型,此型相對多見;前移翻轉型又被稱為屈曲翻轉移位型,此型少見。
發病機理
肱骨外髁骨折一般分為3型。根據病理變化分為4型。
Ⅰ型:無移位骨折型。骨膜未撕裂,X線片可見到乾骺端有骨折線。
Ⅱ型:側方移位型。骨塊向側方、前方或後方移位。骨折端間隙增大輕度移位者,骨膜部分撕裂,重度移位者,完全撕裂,復位後骨塊不穩定,在固定中可發生再移位。
Ⅲ型:鏇轉移位型。骨折塊向側方、前方或後方移位。並鏇轉移位。由於局部伸筋膜骨膜完全斷裂,加之前臂伸肌的牽拉,故骨折塊縱軸向外鏇轉移位可達90°-180°。在橫軸上也可發生向前或向後的不同程度的鏇轉。肱尺關節無變化。
Ⅳ型:骨折脫位型。骨折塊可側方移位、鏇轉移位,同時肘關節可向橈側、尺側及後方脫位。關節囊及側副韌帶撕裂,肘部軟組織損傷嚴重。此型骨折並不少見。Hardacre報告46例移位型骨折,合併肘關節脫位者9例,約占20%。因肘部軟組織損傷嚴重,治療較其他三型困難,預後亦較其他三型差。故北京積水潭醫院將此類骨折稱為骨折脫位型,以引起重視。肱骨外髁骨折多系間接暴力所致勱。如跌倒手掌撐地時橈骨頭與肱骨外髁(肱骨頭)相互撞擊及前臂伸展肌的猛烈收縮及牽拉勱造成肱骨外髁骨折及移位。實際上撞擊不僅是橈骨頭尺骨冠狀突也參加撞擊,故骨折塊是肱骨外髁,包含半個滑車由於肘關節,在致傷瞬間所處的位置不同,骨塊移位的方向及大小有明顯不同。移位的嚴重程度與外力和肌肉牽拉作用關係密切,在前臂伸指總肌腱起點及覆蓋骨折端的上方的骨膜未全斷裂時,骨折塊僅向外側移位,無鏇轉。當關節處於內收位時,骨折塊可能完全分離並向前下方移位,伸肌收縮可使骨折塊進一步移位及鏇轉移位,可向外翻90°向後方翻90°。
臨床表現
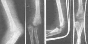
肱骨外髁骨折x片X線照片顯示肱骨小頭的骨折線多超過化骨核的1/2,或不通過小頭化骨核,而通過肱骨小頭與滑車間溝的軟骨在乾骺端處有一骨折線。骨折塊可向外側移位。骨折脫位型X線片,正位片顯示骨折塊連同尺橈骨可向橈側或尺側移位,側位片顯示可向後側移位,偶可見向前移位者。肱骨外髁骨折在X線片上表現為多種多樣,在同一骨折類型中表現也常不一。
疾病診斷
肱骨外髁骨折外傷史,傷後肘部疼痛,腫脹,肘呈半屈曲位。肘外側局限性或廣泛壓痛,有骨擦感,成人X線可顯示骨折線及類型。
X線檢查 除正、側位X線攝片外,尚應根據傷情拍攝特殊體位相,如開口位(上頸椎損傷)、動力性側位(頸椎)、軸位(舟狀骨、跟骨等)和切線位(髕骨)等。複雜的骨盆骨折或疑有椎管內骨折者,尚應酌情行體層片或CT檢查。
2、鑑別診斷:
因兒童骨骺骨化不全,特別是2歲以下的幼兒,應注意與肱骨下端全骺分離及肱骨小頭骨骺分離相鑑別,①肱骨下端全骺分離,表現為肘關節普遍腫脹,及周圍性壓痛,外形類似肱骨髁上骨折或肘關節後脫位,肘後三角關係正常;而伴脫位的肱骨外髁骨折其三角關係失常。肱骨下端全骺分離者,X線片顯示其乾骺端有薄條狀骨折片或肱骨下端,內側有一三角骨片,肱骨外髁骨骺隨同尺橈骨向內、後方移位,肱骨小頭與橈骨小頭的對應關係正常。②肱骨小頭骨骺分離伴移位或鏇轉者,其肱骨小頭與橈骨頭對應關係失常進一步鑑別應做關節內造影,造影劑局限在肘關節腔內者為肱骨下端全骺分離。
疾病治療
肱骨外髁骨折(1)以伸肌總腱的牽拉為主的整復手法臂叢麻醉或不麻醉下.使患肘處於半屈12O-135。位左右,仔細觸摸骨折塊的關節面及外上髁於骺端,辨清移位方向和翻轉程度,然後背伸腕關節,鏇後、外展前臂,推送骨折塊至肘後外方,並順勢矯正橫軸鏇轉,接著在鏇前內收前臂,強力屈腕下,向前、下推送骨折塊或用力向下牽引屈肘,即可復位。該手法的作用機制主要在於:(1)在背伸腕關節、鏇後外展前臂使伸肌總腱完全松馳,可輕易推送骨折塊至肘後方較大間隙以利於復位。(前移翻轉變成後移翻轉);(2)強力屈腕、鏇前內收前臂,使伸肌總腱緊張,牽拉肘後方骨折塊,並利用肱橈間隙加大配以推擠或牽引屈肘的方法,使骨折塊回位。
(2)以推擠按壓等主動作用為主的整復手法此類手法操作步驟較為多樣,但整復要點均在於:根據骨折發生的機制.在摸清骨折片的移位翻轉程度後,按照骨折的原始移位規律,逆損傷機制分別擇用推擠、按壓、捏轉、牽引、搖晃、伸屈等不同手法進行復位。有三點擠壓法:(1)以外翻骨折面(鷹嘴外側緣lcm處)為第一點。在內翻、伸屈肘關節16O-130。時,作向前、向內擠壓。(2)以肘前外側滑車端為第二點,在伸屈肘關節130-90。時作向內向後擠壓;(3)以肘前外側骨折體部為第三點.在搖晃伸屈肘關節90-60。下,作向肘關節內後擠壓,完成復位。
肱骨外髁骨折針拔復位法及其固定對手法復位不成功者,可採用此種半侵入的經皮撬撥復位法,在x光透視或不透視下無菌操作,摸準外髁骨折翻轉的滑車端,伸直並內翻肘關節,用克氏針經皮膚插入推頂滑車端進入肘外側間隙內,同時拇食兩指用力將外髁端向上翻轉、向內推擠.協助撬回骨折片、遂可成功復位。此類做法主要是利用經皮克氏針撬拔的槓桿作用,由於克氏針撬拔力臂較長.故可以用較少的力整復手法所不能或不易整復的骨折。復位成功後,可用一般外固定方法,若對位仍不穩定者可用經皮穿針固定法;術者可在助手固定骨折塊的基礎上,從骨折的外下方斜向內上方經皮膚打一枚或二枚克氏針(可交叉可平行)固定.針尾彎成鉤留於皮外。
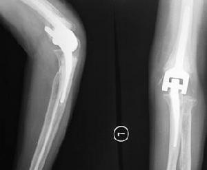
4、手術切開復位內固定要使肱骨外髁這種關節內骨折且又是累及骨骺的骨折,最佳地恢復骨關節形態功能,減少骨關節的生長及活動障礙,其最適宜的處理應該是手術切開使其完全解剖復位,然後穩定的內固定。切開內固定主要有:克氏針固定、松質螺紋釘固定,及粗絲線縫合固定等。手術切開復位內固定在直視下操作,有著解剖復位及堅強固定的良好作用,一般在手法或針拔復位不佳時套用,但應注意,手術中應儘量少剝離骨折塊附著的軟組織,以免引起外髁部缺血性壞死和骨骺過早閉合。
治療方法
肱骨外髁骨折1、骨折無移位型屈肘90°,前臂鏇後位石膏固定4周。
2、側方移位型應進行閉合復位。肘伸直內翻位,使外側間隙加大,前臂鏇後、腕部伸直位,使伸肌群放鬆,用拇指將骨折塊推移,如骨折塊向外後方移位時,拇指將骨塊向前內側推移使之復位。X線檢查證實已復位者,可用長臂後石膏托或夾板固定4-6周,固定時間依據復位後穩定情況,取伸肘或屈肘位及前臂鏇後位。此型骨折為不穩定骨折。如整復失敗或復位後再移位不能復位時,應切開復位用2枚克氏針內固定。
3、鏇轉移位型、骨折脫位型採用閉合復位。要結合X線片摸清骨折塊的方位,使肘關節處於內翻、前臂鏇後位。用手指先矯正鏇轉移位的骨折塊,然後推入關節內使之復位。伴有側方或後方肘關節脫位者,應同時復位。或先將骨折塊推向肘後,再矯正鏇轉後推入關節內,使之復位,固定方法及時間,同側方移位型。閉合復位不成功者,均應切開復位,矯正骨折塊的鏇轉移位。尺可能保留骨折塊上附著的軟組織,以免發生缺血壞死。用2枚克氏針固定,術後用石膏托固定4-6周,拔除鋼針,除去外固定,開始活動肘關節。
4、陳舊骨折一般都不主張手術。在3個月以內,骨折有明顯移位不癒合者,採用切開復位內固定治療。只要術中復位滿意,內固定牢靠,術後積極主動功能鍛鍊,絕大多數患者,仍可獲得較好的結果。即使術前肘關節已僵硬,手術後也能得到部分功能改善。
肱骨外髁骨折--整復(1)、輕度移位骨折
患者坐位或仰臥位,患肘半屈位、前臂鏇後。助手握持患側上臂下段,術者一手握前臂下段,另一手拇指按在向外移位的骨折塊上,其餘四指板住患肘內側。術者兩手向相反方向用力,使患肘內翻,加大關節腔外側間隙,同時拇指將骨折塊向內推擠,使其進入關節腔而復位。
(2)、翻轉移位骨折患者坐位或仰臥位,術者先用拇指指腹或大魚際揉按骨折部,以消腫散瘀;用拇指摸清骨折塊的滑車端和骨折面,辨清骨折塊移位的方向及翻轉程度,但切忌挫捻皮膚。助手握持患肢上臂,術者一手握患肢腕部,置肘關節於屈曲45o、前臂鏇後位,加大肘內翻使關節腔外側間隙增寬,腕關節儘量背伸以使前臂伸肌群鬆弛。術者以另一手指或中指扣住骨折塊的滑車端,拇指扣住肱骨外上髁端,先將骨折塊稍平行向後推移,再將滑車端推向後內下方,把肱骨外上髁推向外
上方,以矯正鏇轉移位;然後用拇指將骨折塊向內擠壓,並將肘關節伸屈、內收、外展,以矯正殘餘移位。若復位確已成功,則可捫及肱骨外髁骨嵴平整,拇指壓住骨折塊進行活動時,肘關節屈伸活動良好,且無響聲。
6、固定方法
骨折整復後,肘關節伸直,前臂鏇後位,肱骨外髁處放一固定墊(應注意墊厚度要適宜,以免引起皮膚壓迫壞死),肘關節內側上、下各放一固定墊。四塊夾板長度從上臂中上段到前臂中下段,四條布帶縛扎,肘關節伸直而稍外翻位固定2周,以後改為屈肘90o固定1周。也可將後側夾板(相當於固定肘關節部分)塑成屈曲30o-60o,其餘三塊夾板長度改為上達三角肌中部水平,內、外側夾板下超肘關節,前側夾板下達肘橫紋,固定墊的位置同上,將肘關節固定於屈曲30o~60o位3周,骨折臨床癒合後解除固定。
7、併發症
⑴肘外翻畸形傷後肱骨遠端橈側骨骺軟骨板損傷,可導致早期閉合。致使肱骨遠端發育不均衡造成肘外翻,肱骨遠端呈魚尾狀畸形。外翻明顯者,可行截骨術矯正。
⑵尺神經炎或麻痹由於肘外翻畸形的牽拉,或尺骨鷹嘴對尺神經的撞擊,均可導致尺神經炎,發現後應及早將尺神經前移,以免發生麻痹。肱骨外髁骨折的藥物治療
初期
消腫止痛膏方藥
1:主方活血止痛湯(趙竹泉《傷科大成》 )
處方:當歸12克,赤芍9克,紫荊藤9克,川芎6克,乳香6克,沒藥6克,落得打6克,蘇木5克,紅花5克,陳皮5克,三七3克。水煎服,每日1劑。
2:外用方消腫止痛膏(廣東中醫學院《外傷科學》 )
處方:薑黃、羌活、乾薑、梔子、乳香、沒藥各150克。共研細末,用凡士林調成60%軟膏,外敷患處。
中期
治法:接骨續損,和營生新。
方藥
主方肢傷二方(廣東中醫學院《外傷科學》 )
處方:生薏苡仁30克,桑寄生30克,當歸12克,赤芍12克,續斷12克,威靈仙12克,骨碎補12克,五加皮12克。水煎服,每日1劑。
後期
治法:補肝腎,壯筋骨。
方藥
1:主方補骨方(廣東省中醫院《四肢骨折和脫臼治療圖解》 )
處方:當歸10克,熟地黃10克,續斷8克,菟絲子10克,黃芪10克,骨碎補6克,土鱉蟲4克,陳皮4克。水煎服,每日l劑。
2:外用方八仙逍遙散(吳謙等《醫宗金鑒》 )
處方:防風3克,荊芥3克,川芎3克,甘草3克,當歸6克,蒼朮10克,牡丹皮10克,苦參15克,黃柏6克。煎水熏洗患處,每日1劑。
肱骨外髁骨折的練功活動有移位骨折在復位後1周內,可作手指輕微活動,不宜作強力前臂鏇轉、握拳、腕關節屈伸活動,以免使前臂伸肌群或鏇後肌緊張,牽拉骨折塊而發生再移位。1周后,逐漸增加指、掌、腕關節的活動範圍。解除夾板固定後,可開始進行肘關節屈伸、前臂鏇轉和腕、手的活動功能鍛鍊。
疾病護理
常規觀察患肢遠端的血液循環、感覺、活動情況,還應注意固定後3-7d內攝片複查,因為肱骨外髁骨折即使無移位,也可以是不穩定的,並且在固定後仍可移位。肱骨外髁骨折早期腕關節固定,禁止做前臂鏇轉活動。
綜述
手法復位肱骨外髁骨折屬關節內骨折,因骨折線跨越了骺板,準確的解剖對位及固定以減少生長障礙的可能性是非常重要的。近1O多年來,由於對骨折(尤其為翻轉移位骨折)的病理力學機制、復位固定途徑、步驟的理論、實驗及臨床研究的深入,湧現出了多種復位成功率高、療效好、併發症少的整復固定方法。(1)以伸肌總腱的牽拉為主的整復手法臂叢麻醉或不麻醉下.使患肘處於半屈12肱骨外髁骨折O-135。位左右,仔細觸摸骨折塊的關節面及外上髁於骺端,辨清移位方向和翻轉程度,然後背伸腕關節,鏇後、外展前臂,推送骨折塊至肘後外方,並順勢矯正橫軸鏇轉,接著在鏇前內收前臂,強力屈腕下,向前、下推送骨折塊或用力向下牽引屈肘,即可復位。該手法的作用機制主要在於:(1)在背伸腕關節、鏇後外展前臂使伸肌總腱完全鬆弛,可輕易推送骨折塊至肘後方較大間隙以利於復位。(前移翻轉變成後移翻轉);(2)強力屈腕、鏇前內收前臂,使伸肌總腱緊張,牽拉肘後方骨折塊,並利用肱橈間隙加大配以推擠或牽引屈肘的方法,使骨折塊回位。
(2)以推擠按壓等主動作用為主的整復手法此類手法操作步驟較為多樣,但整復要點均在於:根據骨折發生的機制.在摸清骨折片的移位翻轉程度後,按照骨折的原始移位規律,逆損傷機制分別擇用推擠、按壓、捏轉、牽引、搖晃、伸屈等不同手法進行復位。有三點擠壓法:(1)以外翻骨折面(鷹嘴外側緣lcm處)為第一點。在內翻、伸屈肘關節16O-130。時,作向前、向內擠壓。(2)以肘前外側滑車端為第二點,在伸屈肘關節130-90。時作向內向後擠壓;(3)以肘前外側骨折體部為第三點.在搖晃伸屈肘關節90-60。下,作向肘關節內後擠壓,完成復位。
外固定方法肱骨外髁骨折即使是無移位骨折也是不穩定的,並且在固定中仍可再移位,所以合適的固定直接決定著該骨折的治療效果。前臂鏇後位屈肘60-9O。固定。此種固定的優越性在於:(1)鏇後位時,鬆弛前臂伸肌群及肘後肌。(2)肱骨遠端在解剖生理上有前傾角4O。左右,在伸肘時有自發向前的趨勢,而在屈肘60-9O。時,橈骨小頭正位於肱骨小頭前方,阻擋並穩定肱骨小頭。(3)伸肘位時滑車端前方軟組織薄弱有自發向前鏇轉的趨勢,而在屈肘位時.尺骨之喙突正位於滑車之前上方,可形成穩定之天然屏障。(4)屈肘6O-9O。鏇後前臂時,肱三頭肌緊張之張力防止骨折塊向後移位,且橈側副韌帶處於正常穩定狀態起著防止骨折塊再度發生移位的穩定作用,此外屈肘位固定操作簡單方便,護理容易,更有利於功能恢復。針拔復位法及其固定對手法復位不成功者,可採用此種半侵入的經皮撬撥復位法,在x光透視或不透視下無菌操作,摸準外髁骨折翻轉的滑車端,伸直並內翻肘關節,用克氏針經皮膚插入推頂滑車端進入肘外側間隙內,同時拇食兩指用力將外髁端向上翻轉、向內推擠.協助撬回骨折片、遂可成功復位。此類做法主要是利用經皮克氏針撬拔的槓桿作用,由於克氏針撬拔力臂較長.故可以用較少的力整復手法所不能或不易整復的骨折。復位成功後,可用一般外固定方法,若對位仍不穩定者可用經皮穿針固定法;術者可在助手固定骨折塊的基礎上,從骨折的外下方斜向內上方經皮膚打一枚或二枚克氏針(可交叉可平行)固定.針尾彎成鉤留於皮外。
4、手術切開復位內固定要使肱骨外髁這種關節內骨折且又是累及骨骺的骨折,最佳地恢復骨關節形態功能,減少骨關節的生長及活動障礙,其最適宜的處理應該是手術切開使其完全解剖復位,然後穩定的內固定。切開內固定主要有:克氏針固定、松質螺紋釘固定,及粗絲線縫合固定等。手術切開復位內固定在直視下操作,有著解剖復位及堅強固定的良好作用,一般在手法或針拔復位不佳時套用,但應注意,手術中應儘量少剝離骨折塊附著的軟組織,以免引起外髁部缺血性壞死和骨骺過早閉合。
相關詞條

