發病機理
肘外翻1.未經復位或復位不良的兒童肱骨髁上骨折和肱骨遠端骨折是肘外翻畸形發生最常見的原因。其原因是肱骨遠端內外側生長的不均衡。
2.兒童肱骨內外髁骨折未能及時復位或復位不良、肱骨外髁骨骺早閉或缺血性壞死可致肘外翻;肱骨內髁骨折引起肘外翻則是由於肱骨內髁過度生長所致。
3.未經復位或復位不良的肘關節脫位。
4.橈骨小頭切除後:其發生肘外翻的原因是由於切除橈骨小頭後橈骨近端重要的機械阻擋作用消失,使肘關節和前臂生物力學發生異常。
病因病理
肘外翻骨性標誌與結構肱骨遠端與尺、橈骨上端連結構成肘關節,肱骨遠端內外側骨性突起部髁,即內外側髁、肱骨在髁上逐漸變扁增寬,在兩側形成骨嵴,在此作內固定較難,常需要剷除部分骨嵴。後有鷹嘴窩,前有冠狀窩,兩窩之間僅有一層薄骨片,易發生骨折。(1)內上髁;①為前臂屈肌群的起點、前臂屈肌劇烈收縮時可引起內上髁撕脫性骨折。②其後下有一溝槽即尺神經溝。(2)內髁:即滑車,呈鞍狀,與尺骨鷹嘴形成肱尺關節,是肘關節的主體。(3)外上髁:為前臂伸肌群的起點。(4)外髁:亦稱肱骨小頭,呈半球形,與橈骨小頭凹形成肱橈關節。成人切除此關節後,對功能無明顯影響,但力量有所減弱。(5)前傾角:肱骨下段與肱骨幹兩軸線形成30°~50°的前傾角。復位時應注意恢復此角。(6)提攜角:上臂與前臂形成10°~15°的外翻角。小於此角為肘內翻,提物不便,外形難看。大於此角為肘外翻,可引起遲發性尺神經炎。
神經、血管(1)尺神經:經尺神經溝繞向前方。內髁骨折可能損傷尺神經。(2)橈神經:在外上髁上方約10cm處穿外側肌間隙至肘窩前下緣,髁上骨折易損傷橈神經。(3)肱動脈、正中神經從肱二頭肌內緣深面下行經肘窩正中,伸直型髁上骨折易損傷此血管神經。
臨床表現
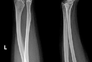
肘外翻肘關節伸直位時肘部外翻角增大,可達30°以上;肘關節活動一般無明顯障礙;晚期肘關節的關節面損傷可引起疼痛。對嚴重外翻病人,由於尺神經處於高張力牽拉狀態,或外傷後因尺神經粘連而經常受到摩擦,可發生遲發性尺神經炎而出現尺神經損傷表現。
病症分析
臨床主要根據骨折部位和損傷程度分為A、B、C三型。A型:關節外骨折;髁上骨折(又分為伸直型、屈曲型、粉碎型)多見於10歲以下小兒;外上髁骨折,很少見;內上髁撕脫性骨折,較多見。B型:關節內單髁骨折;外髁骨折包括外上髁和肱骨小頭,較多見;肱骨小頭骨折,少見;內髁骨折,包括以內上髁和滑車;滑車骨折,少見而處理困難。C型:髁間粉碎性骨折,成人多見。輕者,為“T”型或“Y”型骨折;重者,支離破碎,四分五裂,處理難度大。
治療措施
肘外翻正常肘關節完全伸直時有一輕度外翻男性約10°,女性約15°,這個外翻角稱為攜帶角。若這個角度增大,即前臂過於外展,稱為肘外翻畸形。肘外翻最常見的原因是未經復位或復位不良的兒童肱骨髁上骨折和肱骨遠端骨折。兒童肱骨內外髁骨折未能及時復位或復位不良、肱骨外髁骨骺早閉或缺血性壞死及未經復位或復位不良的肘關節脫位均可致肘外翻。
一般對無肘關節功能障礙和疼痛症狀的肘外翻可不予治療。
1.保守治療:適用於早期肘關節骨性關節炎而臨床症狀輕且肘關節功能障礙不明顯的病人疼痛是最常見的症狀可進行理療按摩等物理治療或服用阿司匹林等藥物。
2.手術治療:手術指征包括:
①嚴重肘外翻畸形且畸形穩定年以上者。
②關節的疼痛和無力症狀明顯影響肘關節功能者。
③伴有創傷性關節炎者。
④伴有遲發性尺神經炎者手術方式為肱骨髁上截骨矯正及尺神經前移術截骨矯形的目的主要為矯正畸形穩定關節減輕疼痛和改變關節的受力不均防止關節退變的加重。
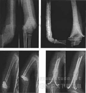
(1)適應症:①合併血管神經損傷者;②軟組織嵌入骨折間隙;③閉合復位失敗者;④外固定難以穩定復位者;⑤畸形癒合,明顯影響功能和外觀者。(2)手術固定方式的選擇;①內上髁折:兩根細克氏針或細松質骨拉力螺釘;②外髁骨折、內髁骨折:兩顆松質骨拉力螺釘或兩顆克氏細針或可吸收螺釘;③髁上骨折:交叉克氏針,欠穩定需輔以外固定;或1/3管狀鋼板或重建鋼板均可;④肱骨小頭或滑車骨折:兩根細松質骨螺釘由關節面向上穿;⑤C型骨折:“T”型或“Y”型骨折,(A)空心螺釘固定內外髁,1/3管狀鋼板固定髁與乾;(B)人字塑形鋼板;(C)交叉長螺釘或克氏針加外固定。碎塊多的C型骨折,需要多種固定材料,可分四步行術,①克氏針固定內外髁;②以克氏針為導針鑽入一4mm空心松質骨拉力螺釘,再鑽入一3.5mm全螺紋空心螺釘加強固定內外髁;③內側用一5~7孔的1/3管狀鋼板,外側用一5~7孔重建鋼板固定髁與乾。④可吸收螺釘固定關節面小碎片。缺損較多者應植松質骨。(3)手術中及術後注意要點;①鷹嘴窩的小碎片宜清除,避免影響伸肘;②外側入路應注意橈神經,內側或後側入路應游離尺神經,以免損傷;③外髁骨折復位時不可將伸肌腱完全剝離,術中常需伸肌腱來定位骨折面;④如內固定不可靠需輔以外固定四周以上者,可考慮切除鷹嘴尖5mm,有利於伸肘。
3.非手術治療
(1)適應症;①無明顯移位的各類型骨折。②髁上骨折多採用手法閉合復位。③無翻轉的外髁骨折。④Ⅱ°以內的內上髁骨折。⑤難以進行有效內固定的C型骨折。(2)復位和固定方式;①中醫傷科手法整復。(應配合局麻或臂叢麻醉)。②尺骨鷹嘴牽引輔以手法復位。③固定,多固定於90°功能位,也可超過90°,一般固定3~4周。④石膏固定:無明顯移位或復位後較穩定者。⑤小夾板固定:復位後不穩定或有殘餘移位者。⑥鷹嘴牽引加小夾板固定,適宜極不穩定者。(3)藥物治療:①中藥:按骨折三期辨證施治,即早期:活血化瘀,消腫止痛為主以“復元活血湯”、“桃核承氣湯”等方為主,加減治療;中期:接骨續筋、和營通絡為主,以“新傷續斷湯”“和營止痛湯”為主方加減治療;後期:補氣血、補脾胃、補肝腎為主,以“參苓白朮散”、“左歸丸”、“右歸丸”等為主加減治療。解除固定後可外用中藥疏筋通絡活血散結,中藥熏洗,藥酒外擦等。②西藥:按外骨科常規用藥。
用藥原則
1.對輕度畸形者,不需任何治療。2.出現遲發性尺神經損傷者,以手術治療為主,可輔以神經營養藥物。
3.對明顯畸形者,以手術治療為主,術後套用抗生素,可根據具體情況選擇不同的抗生素。

