月骨脫位疾病概述
月骨脫位是指月骨本身脫離與橈骨和其他腕骨的正常毗鄰關係而移位;而月骨周圍脫位則是指月骨和橈骨的關係正常周圍其他腕骨離位;經舟骨、月骨周圍脫位,是指舟骨骨折,其骨折近端和月骨與橈骨之間的關係正常,其遠端及其他腕骨發生脫位。
月骨脫位腕骨中以月骨最易脫位。在月骨前後橈月前、後韌帶,血管通過韌帶進入月骨。月骨凸面與橈骨下面構成關節。其凹面與頭骨相接觸。月骨的前面相當於腕管,為屈指肌腱和正中神經的通道。
疾病原因
1、病因
月骨脫位月骨脫位,根據損傷程度與位置分為三型。
1.橈月後韌帶撕裂或月骨后角發生撕脫骨折,向掌側脫位後,凸面向後,凹面向前。
2.後韌帶撕裂後,月骨鏇轉270°,位於遠端前部,凹面向後,凸面向前。
3.外力更大,橈月前後韌帶均斷裂,月骨移位至橈骨遠端掌側,凸面向後,凹面向前。脫位的月骨與前韌帶相連,則月骨有生活力,如前後韌帶均斷裂,則可能發生壞死。
2、發病機理
脫位多由間接外力引起,手掌著地摔傷,腕部處於極度背伸位,外力自上而下之重力與自下而上的反作用力,使橈骨遠端諸骨與頭狀骨相擠壓,橈骨與頭狀骨之間的掌側間隙增寬,頭狀骨與月骨間的掌側韌帶與關節囊破裂,月骨向掌側脫位。如月骨留於原位,而其他腕骨完全脫位時,即稱為月骨周圍脫位。
月骨脫位--影像3、併發症
(1)正中神經麻痹:及時復位可使正中神經早期即可完全恢復。若延期復位.恢復可能不完全.但很少需其他處理。
(2)Sudeck萎縮:此為本病常見的併發症;
(3)缺血性壞死:可導致月骨塌陷及繼發性骨關節炎,後者進展很快。所有月骨脫位患者在傷後6個月內均應每月複查X線,以及時發現此併發症。若早期發現,可予切除月骨,以防發生進行性骨關節炎。對於許多病例.當然是晚期患者.傾向於行腕關節固定術。注意,腕部反覆損傷而不伴有月骨脫位也可有相似的X線表現(K詎nbock病)。其多見於體力勞動者,如木匠、鞋匠及反覆使用鐵錘者。
臨床表現
月骨脫位在臨床中骨關節脫位較少見,易漏診造成腕關節功能障礙而給患者帶來痛苦。
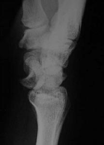
月骨脫位--CT月骨周圍脫位者,月骨留在原位,其他腕骨向背側移位,並向橈側變位形成畸形。X線正位片顯示,脫位的月骨呈三角形(正常月骨應為四方形)。且投影與頭狀骨下端重疊。側位像顯示,月骨脫向掌側,半月形凹面也轉向掌側。
患腕常有明確的背伸外傷史,如行走跌倒時以手掌撐地等關節疼痛腫脹及壓痛範圍大於單一的腕骨骨折,但晚期也可局限在較小的區域,運動幅度及握力明顯下降。月骨掌側脫位可增加指屈肌腱張力,手指呈半屈曲狀被動伸展或主動屈曲手指時疼痛加劇。腕關節掌側飽滿,觸診可感覺皮下有物體隆凸月骨掌側脫位可增加腕管內壓導致正中神經受壓橈側3個半手指感覺異常。陳舊性脫位有時可致指屈肌腱自發性斷裂。
月骨周圍脫位多為背向脫位,而且常並發腕骨或橈尺骨遠端骨折,如舟骨骨折、頭狀骨骨折等並發舟骨骨折者,稱經舟骨月骨周圍骨折一脫位或經舟骨月骨周圍脫位,以此來標明其損傷範圍與單純的月骨周圍脫位有所不同,如果骨折發生於其他骨骼診斷名稱可依此類推。如經頭骨月骨周圍骨折脫位,經三角骨月骨周圍骨折脫位。經橈骨莖突月骨周圍骨折脫位等。如果為多發骨折可將受累骨名稱依次排列。如並發舟骨和頭狀骨骨折的月骨周圍脫位,稱經舟骨經頭骨,月骨周圍骨折一脫位。月骨脫位有掌側與背側脫位兩種形式,後者極少見。
疾病檢查
檢查
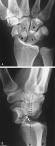
月骨脫位--檢查(1)X線正位片:可見腕骨排列紊亂,頭狀骨與月骨影重疊,舟月間隙增大,舟骨長軸變短,呈皮質環征或舟骨鏇轉,月骨脫位失去四邊形結構,呈三角形影。
(2)X線側位片:出現月骨周圍背側脫位,第3掌骨、頭狀骨與月骨、橈骨失去正常共軸線關係,第3掌骨及頭狀骨的軸線位於月骨及橈骨軸線背側,在此基礎上當月骨向掌側傾斜時,提示為動態性月骨周圍背側脫位,月骨掌側脫位時可見第3掌骨、頭狀骨、橈骨共軸承關係不變,而月骨位於以上諸骨軸線掌側。
其它輔助檢查
月骨周圍脫位線正位片可見腕骨弧線中斷頭狀骨與月骨橈骨與舟骨投影重疊加重,腕中關節間隙消失,舟月骨間關節間隙變寬,月骨周圍腕骨及橈尺骨遠端可有骨折,X線側位片可見舟骨掌屈加大,縱軸與橈骨縱軸近乎垂直,近極位於橈骨遠端關節面背側緣或掌側緣上,月骨與橈骨遠端關係正常,橈月關節間隙無明顯異常,其餘腕骨向背側或掌側脫位其中,頭狀骨最突出。頭由月骨遠側凹面內脫出,位於月骨背側或掌側月骨周圍腕骨如有骨折。其遠側段多脫向背側或掌側,而近側段仍滯留在原位與月骨保持正常關係。
主動或被動活動腕關節,有時可聞及骨擦音。閉合復位失敗者月骨周圍背側脫位有時可轉變成月骨掌側脫位,即復位前為月骨周圍背側脫位,復位失敗後變為月骨掌側脫位,或是兩者並存月骨周圍背側脫位不但未矯正,月骨反而掌屈加大,橈月關節背側間隙增寬,呈現月骨掌側脫位。系復位過於粗暴橈腕背側韌帶撕裂所致。
月骨脫位X線正位片可見月骨輪廓,由梯形變為三角形。周圍關節間隙不平行或寬窄不等,側位見月骨掌側脫位輕者,月骨仍位於橈骨遠端凹面內,掌屈過度,橈月關節背側間隙變寬,頭狀骨與月骨背側面相對重者,月骨掌屈大於90°進入腕管內與橈骨遠端、頭狀骨完全分離。月骨周圍脫位與月骨脫位X線片影像雖然顯著,但漏診率至今仍居高不下。恐怕與X線側位片骨影相互重疊,單一腕骨輪廓難於分辨有關。診斷困難者可做CT檢查。
疾病診斷
1、診斷
月骨脫位--X片2、診斷說明
症狀與診斷有明顯外傷史,傷後腕關節腫脹,疼痛、活動受限,由於月骨向掌側脫位,可壓迫屈指肌腱,致使手指屈伸受限,並可壓迫正中神經,出現橈側3個手指麻痛、刺痛消失或異常,拇指掌側外展受限。
根據X線片檢查不僅可以明確診斷,尚可對脫位類型進行分類。正常時腕關節正位片上月骨呈四方形,位於橈骨與頭狀骨之間,在側位片上頭骨、月骨、橈骨三者呈直線關係排列,上述關係的異常很易在X線上發覺,因此診斷並不困難。
3、鑑別診斷
本病要注意經舟骨、月骨周圍背側脫位與月骨周圍背側脫位伴舟骨骨折的鑑別。
(1)二者鑑別要點是舟骨近側部骨塊與月骨的關係,如果與月骨關係保持不變,則為經舟骨、月骨周圍背側脫位,否則為月骨周圍背側脫位伴舟骨骨折。
(2)舟骨、頭狀骨、月骨周圍背側脫位與舟頭綜合徵的鑑別,前者頭狀骨近側骨塊及舟骨近側骨塊與月骨關係保持不變,而其餘腕骨均向背側脫位,而後者是在前者的基礎上,脫位腕骨因反彈而復位,頭狀骨近端出現了鏇轉,故頭狀骨近端復位困難且血運嚴重受損,需手術復位及重建血運。
疾病治療
手法復位手法復位步驟:
(1)拇指整復法:患者坐位或沙灘椅位,麻醉生效後,肘關節屈曲90。患腕背伸位。兩助手分別握住肘部和手指對抗拔伸牽引,徐徐使前臂鏇後(即仰掌),腕關節背伸,使橈骨與頭狀骨之間的關節間隙加寬,術者兩手握住患者腕部,兩手拇指用力推壓月骨凹面的遠端,迫使月骨回納入橈骨和頭狀骨間隙,助手同時使腕在對抗牽引中逐漸掌屈,當月骨有滑動感,中指可以伸直時.則表明已復位。複查X線片以證實。
(2)針撥復位法:患者取坐位或沙灘椅位,麻醉生效後,在嚴格無菌操作及X線透視下,兩助手作患腕背伸對抗牽引,術者用20號注射針頭或細鋼針,頂月骨凹面的遠端,使之復位,此時中指可以伸直,表示已復位。然後固定患腕於掌屈40。
2、骨牽針復位:病程在1周內的誤診病例,局部腫脹明顯,手法復位成功的機會不大,可用克氏針作2-5掌骨頸部骨牽引48小時後,再進行手法復位,有可能將月骨推回原位。X線片證實復位後,按上述方法進行石膏固定。
手術復位4、月骨周圍脫位的治療與月骨脫位類似:先用手法牽引手指,然後將脫位的腕骨由背側向掌側推壓,很易復位,復位後處理同月骨脫位。伴有舟狀骨折的月骨的月骨周圍脫位,治療方法應按舟狀骨骨折處理。
5、新鮮月骨脫位,對1、2型脫位,應儘早手法整復。向遠側牽拉患手,腕關節背伸,再將月骨壓回原位。將腕關節在掌屈45℃位固定1周后再將腕關節放平固定2周。除去外固定後練習活動。對第3型脫位,因前後韌帶已斷裂,血運完全喪失,可能發生壞死,宜早行切除術。月狀骨周圍脫位,手法整復不困難,術後處理同前。
陳舊性月骨脫位。對1、2型脫位傷後3-4周者,手法復位,不易成功。應行切開復位。術後處理同前。術中如發現軟骨已有退行性變時,則應切除。固定數日後即可開始活動。對第3型脫位者,則應予以切除。
月骨脫位月骨掌側脫位大多發生在患者跌倒時,手支撐著地,腕極度背屈位,頭狀骨與撓骨相擠後韌帶斷裂,而使月骨向掌側脫位。因前韌帶尚保存,月骨血運影響較小,月骨早期復位後,月骨可存活,腕關節功能也較好。
月骨周圍脫位月骨與橈骨仍保持正常關係,而其他腕骨向背側脫位。此脫位主要發生在頭月骨之間,由於頭狀骨與舟狀骨、三角骨之間有較緊密的韌帶相連,因此往往隨頭狀骨一起向背側後脫位。因月骨血供未破壞,只要早期復位療效較好。
經舟骨月骨周圍脫位在月骨周圍脫位的同時伴有舟狀骨骨折,致使舟狀骨的近側半與月骨相連,繼續與橈骨保持正常關係,而舟狀骨的遠側半隨頭狀骨及其他腕骨一起向背側脫位。
疾病預防
本病主要是由外傷造成,故平時要注意安全,防止意外傷害。另外在診治上還有以下幾點需要注意:由於月骨脫位後很容易發生月骨缺血性壞死,因此早期明確診斷,及時閉合手法復位或經皮克氏針撬撥復位,是避免月骨發生缺血性壞死的關鍵所在。對陳舊性及遠距離脫位的病例,因其掌背側韌帶均已斷裂,月骨血液運行已中斷,成為死骨,應予切除。
