疾病概述
踝部骨折是組成踝關節的內、外踝與脛骨下關節面的骨折。因受傷情況不同,可造成外翻外鏇型骨折、骨翻型骨折,這兩型骨折均可為單踝骨折、雙踝骨折或三踝骨折(指內踝、外踝加脛骨前緣或後緣骨折),嚴重者可合併脫位和下脛腓韌帶斷裂。骨折後,踝部不單有明顯的疼痛、腫脹、瘀血和功能障礙,也可出現明顯的畸形和反常活動。結合X線也可以了解骨折的情況。因踝部骨折是關節內骨折,因此其治療原則是爭取解剖復位,穩妥固定,適當進行關節活動。儘量恢復其功能,防止繼發創傷性關節炎。對手法或外固定不能成功者,應儘早切開手術復位,用螺絲釘或克氏針內固定。
踝部骨折平時多見,其中以踝部韌帶損傷為最多。一般常在行軍、勞動和體育鍛鍊時發生,通常叫踝部扭傷。但較大的暴力,可引起骨折,如墜落傷、砸傷、輾壓傷等。戰時踝部火器傷也多見。因踝部循環較差,又處於身體低位,損傷後尤易發生水腫,癒合及抗感染能力較差,恢復時間較長;骨關節損傷後易發生畸形和關節僵硬,主要畸形有踝關節跖屈畸形,嚴重地影響患者的承重走路功能,治療中應注意防止。
病理病因
踝部骨折可分III度。
I度:單純內踝骨折,骨折緣由脛骨下關節面斜上內上,接近垂直方向。
II度:暴力較大,內踝發生撞擊骨折的同時,外踝發生撕脫骨折,稱雙踝骨折。
III度:暴力較大,在內外踝骨折同時距骨向後撞擊脛骨後緣,發生後踝骨折(三踝骨折)。
2、外翻(外展)型骨折
按骨折程度可分為III度。
I度:單純內踝撕脫骨折,骨折線呈橫行或短斜行,骨折面呈冠狀,多不移位。
II度:暴力繼續作用,距骨體向外踝撞擊,發生外踝斜行骨折,即雙踝骨折。如果內踝骨折的同時脛腓下韌帶斷裂,可以發生脛腓骨下端分離,此時距骨向外移位,可在腓骨下端相當於聯合韌帶上方,形成扭轉外力,造成腓骨下1/3或中1/3骨折,稱為Dupuytren骨折。
III度:暴力過大,距骨撞擊脛骨下關節面後緣,發生後踝骨折,即三踝骨折。
3、外鏇骨折
發生在小腿不動足部強力外鏇,或足不動小腿強力內轉時,距骨體的前外側擠壓外踝前內側,造成腓骨下端斜行或螺鏇形骨折亦可分成III度。
I度:骨折移位較少,如有移位,其遠骨折端為向外,向後並向外鏇轉。
II度:暴力較大,發生內側付韌帶斷裂或發生內踝撕脫骨折,即雙踝骨折。
III度:強大暴力,距骨向外側移位,並向外鏇轉,撞擊後踝,發生三踝骨折。
4、縱向擠壓骨折
踝部骨折(一)外翻骨折受傷時,踝部極度外翻,或重物壓於外踝,使踝關節極度外翻。因暴力強度的不同,可引起不同程度的損傷。輕者為內踝撕脫骨折,稱單踝(或Ⅰ度)骨折,骨折線呈橫形。若暴力持續,距骨將撞擊外踝,造成外踝的斜形骨折或下脛腓韌帶撕裂,稱兩踝(或Ⅱ度)骨折。當下脛腓韌帶撕斷後,腓骨可在更高的位置骨折,距骨同時向外側脫位。若同時合併外鏇暴力,可引起腓骨螺鏇形骨折。
(二)內翻骨折受傷時,踝部極度內翻,可因不同強度的暴力引起不同程度的損傷。輕者可引起外側副韌帶損傷伴有腓骨尖撕脫或外踝橫形骨折,稱單踝(或Ⅰ)骨折。若暴力持續,距骨將撞擊內踝,引起內踝斜形骨折,稱兩踝(或Ⅱ度)骨折,有時也可引起下脛腓韌帶和距骨跟腓韌帶撕裂,使踝關節不穩定,嚴重暴力可引起雙踝骨折和距骨向內半脫位在上述暴力作用的同時,若踝關節處於內收跖屈位,則暴力可同時向後,引起距骨向後移位,撞擊後踝,引起後踝骨折,稱三踝(或Ⅲ度)骨折。若受傷時,踝關節處於背屈位,可引起脛骨前唇骨折。
疾病症狀
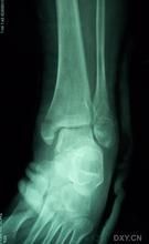
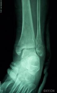
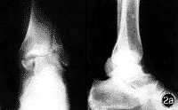
踝部骨折踝部受傷後,局部腫脹明顯,淤斑、出現內翻或外翻畸形,活動障礙,檢查可在骨折處捫局限性壓痛,踝關節正位、側位X線拍片可明確骨折的部位、類型、移位方向,對第Ⅲ型骨折,需檢查腓骨全長,若局部有壓痛。應補充照X線片,以明確高位腓骨骨折的診斷。
2、臨床表現
(1)外傷後關節疼痛,活動受限。(2)關節腫脹、瘀血、畸形,有些可聽到骨擦感。
3、診斷依據
(1)、有明顯的外傷史。(2)上述症狀和體徵,如腫痛、畸形等。(3)X線攝片可見骨折。
踝部受傷後,局部腫脹明顯,淤斑、出現內翻或外翻畸形,活動障礙,檢查可在骨折處捫多局限性壓痛,踝關節正位、側位X線拍片可明確骨折的部位、類型、移位方向,對第Ⅲ型骨折,需檢查腓骨全長,若局部有壓痛。應補充照X線片,以明確高位腓骨骨折的診斷。
辨證原則
1、治療原則
(1):無明顯移位的骨折用石膏外固定。
(2):移位的骨折,手法復位,石膏外固定,手法復位失敗者行切開重定內固定。
2、用藥原則
(1):非手術病人,用止痛藥,早期可用桃紅四物湯,後期八珍湯,並可用舒筋湯外洗。
(2):手術病人用抗生素防感染,術後三天傷口無感染可停藥。
治療方案
踝部骨折Ⅰ型骨折為雙踝骨折,為恢復韌帶的張力,一般均應行切開復位,松質骨螺釘或由高分子材料製成的可吸收螺釘內固定8-12周。
Ⅱ型骨折為三踝骨折,內踝骨折採用松質骨螺釘或可吸收螺釘內固定,外踝骨折常需鋼板固定,影響脛骨1/3—1/4關節面的後踝骨折也需用松質骨螺釘或可吸收螺釘內固定。
Ⅲ型骨折除需對內踝行切開復位,內固定外,外踝或腓骨骨折也應行鋼板螺釘內固定,固定腓骨是保證脛腓下端穩定性的重要方法。
疾病治療
踝部骨折一、無移位骨折
無移位的單踝或雙踝骨折一般只需用小夾板固定,或用管形石膏將踝關節固定於中立位。開始行走。用小腿石膏固定踝關節背伸90°中立位,1-2周待腫脹消褪石膏鬆動後,可更換一次,石膏固定時間一般為6-8周,4周后拆除外固定,開始行走。
二、有移位骨折
有移位的單踝或雙踝骨折在局部麻醉下,作手法復位和小夾板固定,或小腿管形石膏固定。復位手法視骨折的類型而採用不同的方法,基本原則是與暴力相反的方向進行復位。
手法復位外固定
手法復位的原則是採取與受傷機制相反的方向,手法推壓移位的骨塊使之復位。如為外翻骨折則採取內翻的姿勢,足部保持在90°背伸位,同時用兩手擠壓兩踝使之復位。骨折復位後,小腿石膏固定6-8周。外翻骨折復位方法:兩助手各握住傷足和小腿,作相反方向的拔伸牽引。術者一手頂住內踝上方,另一手將外踝和足外側向內擠壓,同時將踝部置於內翻位。若下脛腓韌帶同時有斷裂,距骨向外側移位。術者可用兩掌擠壓兩踝部,使之湊合。如果合併外鏇骨折,復位時加用內鏇手法。
不論是外翻骨折或內翻骨折,經整復後,X線片顯示內踝斷端間對合不良,特別是側位片顯示內踝斷端分離者,說明其間有骨膜或韌帶嵌夾,應將受嵌夾的軟組織撬開,或作切開復位。內踝的不癒合將引起疼痛。
三、踝骨折的復位
1、先手法復位內、外踝,然後再使後踝復位。後踝復位時,足部應先稍跖屈使距骨不致因跟腱的牽拉壓迫脛骨下端關節面,然後用力將足跟向前方推擠,以糾正距骨後移,然後背伸踝關節,用緊張的後側關節囊拉下後踝,直至與脛骨下關節面相平,則後踝的骨折片可復位。
2.手術復位內固定
踝部骨折(一)手法復位失敗者。
(二)踝部多處骨折並有脛腓骨下端分離。
(三)合併有踝部神經、血管傷或開放傷,需施行清創術或探查修復者。
(1)適應證a、手法復位失敗者;b、內翻骨折,內踝骨折塊較大,波及脛骨下關節面1/2以上者;c、外翻外鏇型內踝撕脫骨折,尤其內踝有軟組織嵌入;d、脛骨下關節面前緣大骨折塊;e、後踝骨折手法復位失敗者;f、三踝骨折;g、陳舊性骨折,繼發創傷關節炎,影響功能者。
內翻骨折復位方法:在牽引下,術者一手頂住外踝上方,另一手將內踝和足內側向外擠壓,同時將踝部置於外翻位。若距骨向後脫位,應先將跟部向前推,然後外翻傷足,保持足於外翻背屈位。
(2)手術原則一般原則為:a、踝穴要求解剖對位;b、內固定必須堅強,以便早期功能鍛鍊;c、須徹底清除關節內骨與軟骨碎片;d、手術應儘早施行。
(3)對不同部位骨折採用的方法a、內踝撕脫骨折:用螺絲釘固定即可,如螺絲釘達不到固定要求,可用克氏針與鋼絲行“8”字張力帶加壓固定。b、外踝骨折:可用螺絲釘固定,如腓骨骨折面高於下脛腓聯合以及骨折面呈斜行者,可用鋼板或加壓鋼板固定。c、後踝骨折波及脛骨下端關節面的1/4或1/3,手法復位較為困難且不穩定,一般應開放復位,螺絲釘內固定。d.Dupuytren骨折:可用骨栓橫行固定下脛腓關節,並同時修補三角韌帶。
黃柏初期
治法:活血祛瘀,消腫止痛。
方藥
1、主方肢傷一方(廣東中醫學院《外傷科學》 )
處方:當歸12克,赤芍12克,桃仁10克,紅花6克,黃柏10克,防風10克,木通10克,甘草6克,生地黃12克,乳香5克。水煎服,每日1劑。
2、外用方消腫止痛膏(廣東中醫學院《外傷科學》)
處方:薑黃、羌活、乾薑、梔子、乳香、沒藥各150克。共研細末,用凡士林調成60%軟膏,外敷患處。
中期
治法:接骨續損,舒筋活絡。
方藥
主方壯筋養血湯(錢秀昌《傷科補要》)
處方:當歸9克,川芎6克,白芷9克,續斷12克,紅花5克,生地黃12克,牛膝9克,牡丹皮9克,杜仲6克。水煎服,每日1劑。
後期
治法:補益肝腎,強壯筋骨。
方藥
鉤藤處方:獨活6克,桑寄生18克,防風6克,川芎6克,牛膝6克,秦艽12克,杜仲12克,當歸12克,茯苓12克,黨參12克,熟地黃15克,白芍10克,細辛3克,甘草3克,肉桂2克(煽沖)。水煎服,每日1劑。若局部腫脹難消者,加白朮12克、防己12克。
2、外用方骨科外洗一方(廣東中醫學院《外傷科學》)
處方:寬筋藤30克,鉤藤30克,忍冬藤30克,王不留行30克,劉寄奴15克,防風15克,大黃15克,荊芥10克。解除夾板固定後,煎水熏洗患肢。
踝部骨折的練功活動骨折整復固定後,鼓勵患者進行足趾活動,並逐漸背伸踝部,但應禁止做重複受傷機理的活動。採用襪套牽引者,應多作踝關節的主動屈伸活動。解除固定後,積極鍛鍊踝關節活動,局部可進行按摩,理順筋絡。
專家提示:
踝部骨折為關節內骨折,常並發踝關節半脫位。治療要求骨折解剖或近解剖復位。半脫位要矯正。否則會致關節不穩,或因關節面不光滑,導致創傷性關節炎,影響生活和工作。這類骨折,應到醫院請骨科大夫及時診治。
用藥範圍:
1、非手術病人,用止痛藥,早期可用桃紅四物湯,後期八珍湯,並可用舒筋湯外洗。2、手術病人用抗生素防感染,術後三天傷口無感染可停藥。。用於骨折接骨。
疾病禁忌
踝部骨折(2)忌多吃肉骨頭:有些人認為,踝部骨折後多吃肉骨頭,可使骨折早期癒合。其實不然,現代醫學經過多次實踐證明,骨折病人多吃肉骨頭,非但不能早期癒合,反而會使骨折癒合時間推遲。究其原因,是因為受損傷後骨的再生,主要是依靠骨膜、骨髓的作用,而骨膜、骨髓只有在增加骨膠原的條件下,才能更好地發揮作用,而肉骨頭的成份主要是磷和鈣。若骨折後大量攝入,就會促使骨質內無機質成分增高,導致骨質內有機質的比例失調,所以,就會對骨折的早期癒合產生阻礙作用。但新鮮的肉骨頭湯味道鮮美,有刺激食慾作用,少吃無妨。
(3)忌偏食:踝部骨折病人,常伴有局部水腫、充血、出血、肌肉組織損傷等情況,機體本身對這些有抵抗修復能力,而機體修復組織,長骨生肌,骨痂形成,化瘀消腫的原料就是靠各種營養素,由此可知保證骨折順利癒合的關鍵就是營養。
(4)忌不消化之物:骨折病人因固定石膏或夾板而活動限制,加上傷處腫痛,精神憂慮,因此食慾往往不振,時有便秘。所以,食物既要營養豐富,又要容易消化及通便,忌食山芋、芋艿、糯米等易脹氣或不消化食物,宜多吃水果、蔬菜。
(5)忌少喝水:踝部骨折病人,尤其是脊柱、骨盆及下肢骨折病人,行動十分不便,因此就儘量少喝水,以減少小便次數,如此雖小便次數減少,但更大的麻煩也產生了。如臥床病人活動少,腸蠕動減弱,再加上飲水減少,就很容易引起大便秘結。長期臥床,小便瀦留,也容易誘發尿路結石和泌尿系感染。所以,臥床骨折病人想喝水就喝,不必顧慮重重。
忌過食白糖(7)忌長期服三七片:踝部骨折初期,局部發生內出血,積血瘀滯,出現腫脹、疼痛,此時服用三七片能收縮局部血管,縮短凝血時間,增加凝血酶,非常恰當。但骨折整復一周以後,出血已停,被損組織開始修復,而修復必須有大量的血液供應,若繼續服用三七片,局部的血管處於收縮狀態,血液運行就不暢,對骨折癒合不利。

