病理病因
跟骨骨折(1)跟骨結節縱行骨折多為高處跌下時,足跟外翻位結節底部著地,結節的內側隆起部受剪下外力所致。很少移位,一般不需處理。
(2)跟骨結節水平(鳥嘴形)骨折為跟腱撕脫骨折的一種。如撕脫骨塊小,不致影響跟腱功能。如骨折片超過結節的1/3,且有鏇轉及嚴重傾斜,或向上牽拉嚴重者,可手術復位,螺絲釘固定
(3)跟骨載距突骨折為足內翻位時,載距突受到距骨內下方衝擊而引起,極少見。一般移位不多,如有移位可用拇指將其推歸原位,用短腿石膏固定4-6周
(4)跟骨前端骨折較少見。損傷機制為前足強烈內收加上跖屈。應拍X線斜位片,以排除跟骨前上突撕裂骨折,短腿石膏固定4-6周即可
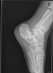
(5)接近跟距關節的骨折為跟骨體的骨折,損傷機制亦為高處跌下跟骨著地,或足跟受到從下面向上的反衝擊力量而引起。骨折線為斜行。X線片正面看,骨折線由內後斜向前外,但不通過跟距關節面。因跟骨為骨松質,因此軸線位觀,跟骨體兩側增寬;側位像,跟骨體後一半連同跟骨結節向後上移位,使跟骨腹部向足心凸出成搖椅狀
引發病症
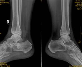
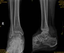
跟骨骨折影像2、距下關節創傷性關節炎:病人常訴跗骨竇處疼健康搜尋對確診者可行關節融合術火罐網。
3、腓骨肌腱卡壓綜合徵:表現火罐網在外踝下方有限局性或廣泛性壓痛及活動時疼痛易被誤診為距下關節創傷性關節炎行三關節融合術,而未能解除疼痛健康搜尋可將增生造成卡壓的跟骨部分廣泛切除並松解肌腱火罐網,即可緩解症狀。
4、屈趾肌腱粘連爪狀趾畸形:見於屈趾及屈肌腱可行肌腱切斷或松解術。
5、跟腱無力:因結節關節角減少跟骨結節上移使跟腱相對鬆弛行走時無力,呈跟足步態可作跟骨截骨術矯正。
6、跟後墊痛:跟墊結構破壞脂肪組織營養不良,痛閾下降。
8、足外翻畸形:跟骨體骨折後其外側骨塊向外移位導致外翻平足可作距下關節融合矯正,或作跟骨截骨術火罐網。
9、跟骨感染:常因撬撥復位或切開復位所致嚴重者可引起跟骨骨髓炎。
病理診斷
跟骨骨折影像病人有典型的外傷史,患足承重困難和足跟疼痛,局部觸痛、腫脹和皮下淤血斑亦多明顯。在較嚴重的壓縮骨折時,除可見到足後跟的高度變低和足跟橫徑變寬以及外踝下部正常凹陷消失外,距下關節話動亦完全喪失。但跟骨周邊骨折僅有局部腫脹及壓痛,而距下關節活動範圍多屬正常。x線正、側、軸位片可明確跟骨的結節關節角和其橫徑寬度的改變。
影像學表現
(1)跟骨前突骨折。
(2)跟骨結節的垂直骨折。
(3)載距突骨折。
(4)跟骨壓縮性骨折。
(5)跟骨粉碎性骨折。
臨床表現
跟骨骨折一般分為以下2型:
1.關節外型指不波及跟距關節的骨折包括:
(1)跟骨後結節骨折火罐網:又有縱形骨折橫形骨折及撕脫性骨折之分。
(2)跟骨前結節骨折:其骨折線穿過跟骨前結節健康搜尋。
(3)載距突骨折火罐網:表現為跟骨之載距突呈斷裂狀,多伴有移位。
(4)結節前方近跟距關節之骨折健康搜尋:實際上此處已波及關節,在處理上應注意健康搜尋。
2.關節型骨折視其形態及受損程度等又可分為以下:
跟骨骨折(1)舌型(tonguetype)骨折:多系垂直暴力所致。
(2)壓縮型(depressiontype)骨折:亦因縱向垂直外力所引起火罐網。
(3)殘株型(stumptype)骨折:即波及距骰及跟距關節的縱(斜)向骨折。
(4)粉碎型(crushtype)骨折火罐網:多由強烈的壓縮暴力所致。
治療措施
跟骨骨折對波及距下關節的跟骨壓縮粉碎性骨折,治療意見分歧,歸納可有四種方法。
(1)保守療法又稱不作整復的運動治療。用彈力繃帶包紮傷足,抬高患肢。鼓勵早期開始患肢功能運動及架拐負重。不少人認為這種方法較固定療法功能恢復快,效果好。一般病人在半年內可恢復正常活動,約有3/4的病人可恢復正常工作,不波及跟距關節的跟骨壓縮骨折,尤為適用。
(2)骨牽引治療跟骨結節持續牽引下,按早期活動原則進行治療,可減少病廢。
(3)開放復位適用於青年人,距骨下面外側塌陷骨折。可先矯正距骨結節角,及跟骨體的寬度,再手術矯正關節面。做跟骨外側切口,將塌陷的關節面撬起,至正常位置後,用骨松質充填空腔保持復位。術後用管型石膏固定8周。有人認為術時行內固定,不做石膏外固定,療效更滿意。
(4)早期關節固定術累及關節的粉碎性骨折,必將引起不可恢復的損害,如於傷後2-3周內手術,行三關節或跟距關節固定術,療效較晚期手術好。
上述方法為一般原則,但波及跟距關節的跟骨骨折,極不規則,無法進行正確分類。治療方法不易統一,康復期長,對晚期效果難以做出正確評價,而且無法對每種類型骨折確定一種特殊有效的治療方法。
病理治療
手法復位以手法復位為主,足跖屈使斷面對位,用石膏靴固定於輕度跖屈位4-6周;也可先試行手法復位,石膏靴固定,並照片檢查骨折對位情況。如手法復位失敗,則可行切開復位以螺絲釘固定,石膏靴外固定4-6周。
2、對骨折影響關節面者
其中部分關節面塌陷骨折者,可在無菌操作下試用撬骨將塌陷的骨塊撬起復位,然後連同撬骨的鋼針一起固定在石膏管型中,3-4周后拆除石膏拔鋼針,逐漸進行功能練習,避免過早負重。如閉合撬骨法復位失敗,可施行切開復位,將塌下關節面撬起至正常關節面,其下填松質骨,並以石膏靴固定6-8周。
對於全部關節面塌陷骨折者:可在麻醉後於下肢螺鏇牽引架上復位,克氏鋼針穿過跟骨後上角,向跟骨後上方牽引10-20分鐘。然後用Bohler氏跟骨壓迫復位器,擠壓跟骨兩側復位。擠壓時間應有力而短暫,以免壓迫皮膚壞死。復位後可再照片複查跟骨復位情況,滿意後用石膏靴將牽引針一起固定,以防跟骨復位後再縮回移位。通常石膏靴固定4-6周拆除。
開放復位可塑形跟骨鈦板內固定是治療嚴重粉碎性骨折的良好方法。
手術方法
手術復位2、手術中的復位、固定單側骨折取側臥位,患足在上。雙側骨折取仰臥位,手術在硬膜麻醉中、止血帶控制下進行,採用標準足跟上外“L”形切口,切口取圓弧形,使切口暴露好。自外踝尖上4-6cm、腓骨緣後1-1.5cm始,縱行向下,至底外側皮膚交接處轉向前,達第5跖骨基底上緣,切開皮膚、皮下組織,勿行皮下剝離,儘可能避免破壞皮膚血運,避免用拉鉤牽引皮膚,並減少皮膚壞死,切開時注意保護腓腸神經、腓骨長短肌腱,自跟骨表面用銳刀直接緊貼跟骨外側壁將整塊皮膚等軟組織向下剝離,達距骨下關節外、後緣,用3枚1.5mm或2.0mm克氏針分別釘入外踝、距骨頭、舟狀骨,將皮瓣、腓骨長短肌腱向上牽開,充分暴露距下關節間隙外、後側。在儘量保持外側壁骨塊形態完整前提下,利用骨膜剝離器撬起塌陷、翻轉的關節面,把外側壁骨塊呈活頁狀分翻開,直視下將關節內骨塊按跟骨解剖形態進行復位;同時用一枚粗克氏針經跟骨結節頂點插入撬撥,足跖屈復位;恢復跟骨前、中、後關節面的正常解剖位置,恢復Bohler’s和Gissane’s角。然後將增寬的跟骨內外側進行對向擠壓復位,恢復跟骨高度,對於骨缺損明顯者,取自體髂骨或同種異體骨植骨(國產,金世植骨靈),骨折復位滿意者,用克氏針臨時固定,復位外側壁並壓平,行可塑形跟骨鈦板固定,克氏針應固定在未碎裂的骨折塊上,或通過鋼板固定到對側的載距突或內側壁的完整骨折塊上,以及跟骨前部、跟骨結節這些不容易移位、密度較高的部位。切開復位的關鍵是恢復結節部骨塊與載距突或內側壁骨塊的軸向排列,保證內側壁骨折無內翻成角。C臂機透視攝片,觀察跟骨形態、關節面是否滿意。關閉創口時,術野內放置引流皮片或膠管,創口加壓包紮,縫合皮下時要做到嚴密縫合和避免損傷腓腸皮神經。患肢小腿石膏托固定於中立位。
紅外線治療儀(1)早期(術後1-7天)預防感染。紅外線治療儀(100W,波長8-14μm)距傷口30cm照射,溫熱量,每天2次,每次30min。指導活動踝、膝關節及足趾。結束後,行踝關節石膏托固定。
(2)中期(8-18天)採用脈衝磁場(磁場強度20mT,頻率22Hz)治療。加強患肢各關節正確功能鍛鍊。
(3)後期(≥18天)一般拆線後出院。去除石膏,中藥“四肢洗方”熏洗;門診指導患者患肢的功能鍛鍊,適當進行踝關節抗阻屈伸運動。定期複查X線片、隨防,根據X線表現,決定部分負重及完全負重時間。本組平均完全負重時間為3個月。
跟骨解剖結構的特點跟骨系不規則的六面體短骨,與距骨形成前、中、後關節,與骰骨形成一個關節。跟骨內密度不一,骨小梁排列特殊,後關節面上骨皮質負重量接近脛骨骨皮質,跟骨前、中部骨小梁相對稀疏,是血管進入髓腔的部分。跟骨處於自然外翻位,距骨外側突騎跨於跟骨的Gissane’s角上。跟骨的負重點位於下肢力線外側,當軸向應力通過距骨作用於跟骨後關節面時,形成由後關節面指向內側壁的剪下力,造成位於Gissane’s夾角附近的骨折,這種骨折線幾乎恆定不變。跟骨是足部最大的跗骨,對足的功能起著重大的作用,跟骨外形為不規則長方體形,內部結構複雜,骨質密度不平衡:
跟骨骨折(2)前部、下部及外側壁骨質密度低,皮質薄,尤其外側壁最為薄弱。
(3)維持跟骨穩定方面,在內側有堅強的三角韌帶、關節囊,跟距骨間韌帶和頸韌帶,使載距突、內側壁與距骨和內踝緊密牢固地聯繫在一起;而外側關節囊、韌帶相對明顯薄弱。(4)上面有三個關節面,且以後關節面、中關節面為主要承重關節面。
(5)跟骨後方有人體最強大的跟腱向上牽拉,小腿伸肌、脛後肌、腓骨長短肌均協力向上牽拉足及跟骨前部。使跟骨的受力呈“倒挑扁擔”與“橋拱”承重模式。另一方面,由於跟骨損傷絕大多數為高處墜落傷,暴力沿著脛骨、距骨向下傳導,“拱橋”中央部分受到向下暴力衝擊。這些特點與機制的結果,與跟骨骨折的臨床特點相吻合。也造成了跟骨骨折中,後、中關節面均有不同程度骨折和塌陷,骨折鏇轉,使跟骨高度、Gissane’s角減小,Bohler角減小至負角。嚴重者關節骨塊與距骨一起陷入體部至底側,使跟骨呈“反張”狀態。薄弱的外側壁均碎裂、褶皺,向外膨出,使跟骨增寬,把腓骨長、短肌腱卡於外踝之間。
飲食調養
跟骨骨折--飲食調養其實,跟骨骨折病人除了在最初一些日子裡可能伴有輕微的全身症狀外,其餘時間裡大多沒有全身症狀,所以和一般健康人的日常飲食相仿,選用多品種、富有各種營養的飲食就可以了。要注意使食物易於消化和吸收,慎用對呼吸道和消化道有不良刺激的辛辣品(辣椒、生蔥、芥末、胡椒)等。在全身症狀明顯的時候,應給予介於正常飲食和半流質飲食之間所謂軟飯菜,供給的食物必須少含渣滓,便於咀嚼和消化,烹調時須切碎煮軟,不宜油煎、油炸。
以上是跟骨骨折病人的一般飲食原則。為了更快更好地促進骨折癒合,骨折病人還應根據骨折癒合的早、中、晚三個階段,根據病情的發展,配以不同的食物,以促進血腫吸收或骨痂生成。
△早期(1-2周):受傷部位瘀血腫脹,經絡不通,氣血阻滯,此期治療以活血化瘀,行氣消散為主。中醫認為,“瘀不去則骨不能生”、“瘀去新骨生”。可見,消腫散瘀為骨折癒合之首要。飲食配合原則上以清淡為主,如蔬菜、蛋類、豆製品、水果、魚湯、瘦肉等,忌食酸辣、燥熱、油膩,尤不可過早施以肥膩滋補之品,如骨頭湯、肥雞、燉水魚等,否則瘀血積滯,難以消散,必致拖延病程,使骨痂生長遲緩,影響日後關節功能的恢復。在此階段,食療可用三七10克,當歸10克,肉鴿1隻,共燉熟爛,湯肉並進,每日1次,連續7-10天。
跟骨骨折--牛排湯△後期(5周以上):受傷5周以後,跟骨骨折部瘀腫基本吸收,已經開始有骨痂生長,此為骨折後期。治療宜補,通過補益肝腎、氣血,以促進更牢固的骨痂生成,以及舒筋活絡,使骨折部的鄰近關節能自由靈活運動,恢復往日的功能。飲食上可以解除禁忌,食譜可再配以老母雞湯、豬骨湯、羊骨湯、鹿筋湯、燉水魚等,能飲酒者可選用杜仲骨碎補酒、雞血藤酒、虎骨木瓜酒等。食療可用枸杞子10克,骨碎補15克,續斷10克,苡米50克。將骨碎補與續斷先煎去渣,再入餘2味煮粥進食。每日1次,7天為1療程。每1療程間隔3-5天,可用3-4個療程。
飲食療法
跟骨骨折--赤小豆粥方2豬骨頭1000克,黃豆250克,加水小火燒爛,加鹽姜調味分飲食之。
方3豬脊骨一具,洗淨,紅棗120克,蓮子90克,降香、生甘草各9克,加水小火燒爛,加姜鹽調味分多次飲之。
方4鮮湖蟹2隻,取肉(帶黃),待粳米粥熟時,入蟹肉,再加以適量生薑、醋和醬油服食,常服。
方5烏雄雞1隻(約500克),去皮毛內臟,洗淨,“三七”5克切片,納入雞肚中,加少量黃酒,隔水清燉,熟後用醬油蘸服,常服。
方6生黃芪30-60克,濃煎取汁,加粳米100克,煮粥,早晚服食。
方7當歸20克,黃芪100克,嫩母雞1隻,加水同煮湯食用。
方8紫丹參50克,洗淨,加水煮,取汁,其汁與豬長骨1000克、黃豆250克同煮,待爛熟,加入少量桂皮、鹽即成。
方9生螃蟹500克,搗爛,熱黃酒沖服250克,余渣敷患處,約半日“各各”有聲即好。用於骨折接骨。
禁忌食品
跟骨骨折--少吃肉骨頭(1)忌盲目補充鈣質
鈣是構成骨骼的重要原料,有人以為跟骨骨折以後多補充鈣質能加速斷骨的癒合。但科學研究發現,增加鈣的攝入量並不加速斷骨的癒合,而對於長期臥床的骨折病人,還有引起血鈣增高的潛在危險,而同時伴有血磷降低。此是由於長期臥床,一方面抑制對鈣的吸收利用,一方面腎小管對鈣的重吸收增加的結果。所以,對於骨折病人來說,身體中並不缺乏鈣質,只要根據病情和按醫生囑咐,加強功能鍛鍊和儘早活動,就能促進骨對鈣的吸收利用,加速斷骨的癒合。尤其對於骨折後臥床期間的病人,盲目地補充鈣質,並無裨益,還可能有害。
(2)忌多吃肉骨頭
有些人認為,跟骨骨折後多吃肉骨頭,可使骨折早期癒合。其實不然,現代醫學經過多次實踐證明,骨折病人多吃肉骨頭,非但不能早期癒合,反而會使骨折癒合時間推遲。究其原因,是因為受損傷後骨的再生,主要是依靠骨膜、骨髓的作用,而骨膜、骨髓只有在增加骨膠原的條件下,才能更好地發揮作用,而肉骨頭的成份主要是磷和鈣。若骨折後大量攝入,就會促使骨質內無機質成分增高,導致骨質內有機質的比例失調,所以,就會對骨折的早期癒合產生阻礙作用。但新鮮的肉骨頭湯味道鮮美,有刺激食慾作用,少吃無妨。
(3)忌偏食
跟骨骨折病人,常伴有局部水腫、充血、出血、肌肉組織損傷等情況,機體本身對這些有抵抗修復能力,而機體修復組織,長骨生肌,骨痂形成,化瘀消腫的原料就是靠各種營養素,由此可知保證骨折順利癒合的關鍵就是營養,而偏食的結果便是營養失恆。
(4)忌不消化之物
跟骨骨折病人因固定石膏或夾板而活動限制,加上傷處腫痛,精神憂慮,因此食慾往往不振,時有便秘。所以,食物既要營養豐富,又要容易消化及通便,忌食山芋、芋艿、糯米等易脹氣或不消化食物,宜多吃水果、蔬菜。
跟骨骨折--少喝水(5)忌少喝水臥床
跟骨骨折病人,尤其是脊柱、骨盆及下肢骨折病人,行動十分不便,因此就儘量少喝水,以減少小便次數,如此雖小便次數減少,但更大的麻煩也產生了。如臥床病人活動少,腸蠕動減弱,再加上飲水減少,就很容易引起便秘。長期臥床,小便瀦留,也容易誘發尿路結石和泌尿系感染。所以,臥床骨折病人想喝水就喝,不必顧慮重重。
(6)忌過食白糖
大量攝取白糖後,將引起葡萄糖的急劇代謝,從而產生代謝的中間物質,如丙酮酸、乳酸等,使機體呈酸性中毒狀態。這時,鹼性的鈣、鎂、鈉等離子,便會立即被調動參加中和作用,以防止血液出現酸性。如此鈣的大量消耗,將不利於骨折病人的康復。同時,過多的白糖亦會使體內維生素B1的含量減少,這是因維生素B1是糖在體內轉化為能量時必需的物質。維生素B1不足,大大降低神經和肌肉的活動能力,亦影響功能的恢復。所以,骨折病人忌攝食過多的白糖。
(7)忌長期服三七片
跟骨骨折初期,局部發生內出血,積血瘀滯,出現腫脹、疼痛,此時服用三七片能收縮局部血管,縮短凝血時間,增加凝血酶,非常恰當。但骨折整復一周以後,出血已停,被損組織開始修復,而修復必須有大量的血液供應,若繼續服用三七片,局部的血管處於收縮狀態,血液運行就不暢,對骨折癒合不利。
(8)骨折禁飲果子露。
骨折與一般皮肉損傷不同,堅硬的骨質癒合時間比較長,短則1個月,長則半年以上。在醫院對好位置,作了固定以後,常需在家繼續休養、康復。做好家庭護理,促進癒合,尤其重要。
家庭護理
跟骨骨折--多吃青菜絕大部分骨折雖無內臟損傷,但由於經歷了創傷或手術的打擊、終日休息、運動減少,原先的生活規律被打亂,可能胃口不好,受傷後短時期內較為明顯。老年患者和體質較弱或心理承受能力差的人,更容易發生。在心理護理的基礎上,要在病人飲食花樣、調配上多下功夫,做到營養豐富,色、香、味俱佳,以刺激食慾。手臂活動不便的,還要餵飯。適當多吃一些西紅柿、莧菜、青菜、捲心菜、胡蘿蔔等維生素C含量豐富的蔬菜,以促進纖維骨痂生長和傷口癒合。
骨骼異常堅硬,主要由有機物和無機物所構成。無機物占比例最多的是鈣。人體內99%的鈣集中在骨骼內。受傷發生骨折後,人們自然而然地想到讓傷員多吃些鈣質,以加快癒合。不知從何時起,骨頭湯成了骨折傷員的最好補品。但是,根據醫療經驗及實驗研究,卻沒有發現骨折傷員需要額外補充鈣質的證據。骨折後受傷部位局部血液循環障礙,組織偏於酸性,骨折端可發生脫鈣。但這些脫出的鈣質並沒有被運走、排泄,而是溶解在周圍。等到局部創傷性炎症恢復正常後,便作為修復骨折的主要材料沉積下來。
根據最近的研究成果,跟骨骨折病人需要補充鋅、鐵、錳等微量元素。這幾種元素,有的參與組成人體代謝活動中的酶,有的是合成骨膠原和肌紅蛋白的原料。經測定,骨折後病人體內上述物質的血清濃度均明顯下降。因此,在骨折早期適當補充,可能有利於癒合。動物肝臟、海產品、黃豆、葵花籽、蘑菇中含鋅較多;動物肝臟、雞蛋、豆類、綠葉蔬菜、小麥麵粉中含鐵較多;麥片、芥菜、蛋黃、乳酪中含錳較多,骨折病人可適當多吃。除此以外,也可服用含有這些物質的藥物。
跟骨骨折早期因憂思少動,氣機郁滯,無力推運,常有大便秘結,臥床病人更多見。宜多食含纖維素多的蔬菜,吃些香蕉、蜂蜜等促進排便。
