概念
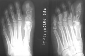
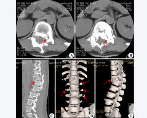
粉碎性骨折屬於完全性骨折,指骨質碎裂成三塊以上,又稱為T或Y型骨折。粉碎性骨
完全性骨折分類
骨折分類及治療方法將骨折範圍在3cm內稱為一般粉碎性骨折,超過3cm者稱為嚴重粉碎性骨折。
臨床表現
粉碎性骨折的主要臨床表現為:骨折部有局限性疼痛和壓痛,局部腫脹和出現瘀斑,肢體功能部位或完全喪失,完全性骨質尚可出現肢體畸形及異常活動。
鑑別診斷
骨關節外傷——指粉碎性骨折2、骨裂(醫學上稱為:裂紋骨折):裂紋骨折是眾多骨折中症狀比較輕微的一種,因而常常被忽視。但是,小問題如果不及時治療,也是有可能演變成大問題的。裂紋骨折如果沒有採取恰當的治療,也會發生移位,造成比較大的麻煩。裂紋骨折又稱骨裂,由於沒有明顯的移位,因而無法引起足夠的重視。它一般是由於直接的打擊、撞擊等造成的。
3、撕脫骨折:肱骨內上髁骨折常見於平地跌倒或投擲等運動性損傷。跌倒時前臂後伸並外展,前臂屈肌猛烈收縮時,肱骨內上髁被屈肌群牽拉而造成撕脫骨折。
4、螺鏇形骨折:螺鏇形骨折屬於完全性骨折。完全性骨折是指骨的完整性或連續性全部中斷,管狀骨骨折後形成遠、近兩個或兩個以上的骨折段。
治療
1、粉碎性骨折就是斷骨處斷裂成幾塊,如果選用石膏固定,骨頭接上,稍有錯位,就會留下後遺症,再說石膏並不能固定正骨,因為石膏是軟體的,只是在原有的基礎上固定而已,石膏上久了,會使關節僵硬,無法彎曲,對以後的生活帶來諸多不便。
2、也可用夾板體外固定復位,然後選用野生草藥外敷快速接骨,一般3天就可接上,骨頭接上時疼痛明顯減輕80%左右,再用藥保養15到20天就可痊癒,不會留下後遺症。在治療期間,不要過多活動患肢,以免影響骨頭的癒合,忌吃含激素的藥物。
3、在身體及經濟條件允許情況下可考慮行切開復位內固定手術,粉碎性骨折的治療要選擇合適的時機,手術後可較早活動肢體,進行功能恢復,預後較好。
飲食調理
1、將蜂蜜直接塗擦在皮膚或傷口上,有消炎、止痛、止血、減輕水腫、促進傷口癒合的作用。
2、增加維生素C的攝入量可以在一定程度上預防老年動脈硬化、促進鐵吸收、增強機體的抗病能力、促進
完全性骨折3、蘆薈肥厚的葉片中含有豐富的膠粘液體,這種膠粘液體具有防治潰瘍,促進傷口癒合,刺激細胞生長和止血的作用。
適宜傷口癒合的食物
鋅缺鋅會使纖維細胞功能下降。鋅主要存在於木耳、海帶等食物中。
脂肪脂類的缺乏會導致傷口癒合缺損。魚油中含有豐富的脂肪酸,具有抗炎作用,對傷口癒合有一定益處。
葡萄糖糖是人體主要的供能者,供給充足的能量是傷口癒合不可缺少的。在傷口癒合期可多吃含糖豐富的水果,既增加糖分,又能攝取足量的維生素。
蛋白質飲食中增加蛋白質能促進傷口癒合,減少感染機會。含蛋白質豐富的食物有各種瘦肉、牛奶、蛋類等。
維生素A能夠促進傷口癒合。它主要存在於魚油、胡蘿蔔、西紅柿等食物中。
維生素C可以促使傷口癒合。存在於各種蔬菜、水果中,大棗、辣椒是維生素C的寶庫。
不利於傷口癒合食物
比如獐肉、腐乳、蔥、辣椒、韭菜等因為它們容易引發感染、不利於傷口癒合。

