概述
慢性化膿性骨髓炎 慢性化膿性骨髓炎是急性骨髓炎治療不及時或不徹底,引流不暢,在骨內遺留感染病變,死骨或膿腫,即轉為慢性骨髓炎。如骨內病灶處於相對穩定狀態,則全身症狀輕微。
但是一旦身體抵抗力低下,炎症化膿仍可發展,再引起急性發作。病變可遷延數年,十數年甚至數十年,局部竇道流膿,時好時壞,竇道長期不癒合。
病因
病理性骨折 在急性期中,經過及時、積極的治療,多數病例可獲得治癒,但仍有不少病人發生慢性骨髓炎。形成慢性骨髓炎常見的原因如下:
(1)在急性期未能及時和適當治療,有大量死骨形成。
(2)有死骨或彈片等異物和死腔的存在。
(3)局部廣泛疤痕組織及竇道形成,循環不佳,利於細菌生長,而抗菌藥物又不能達到。
病理
從急性到慢性是一連續的過程,即由顯著的骨破為持征的急性期逐漸發展為以修復增生為主的慢性期。
病靜止或亞急發作——局部和全身無症狀。
炎症繼續發展——排除膿液和死骨。
病理特點:增生、硬化、壞死、死腔、包殼、痿孔、竇道、腫脹並存反覆化膿不愈。
診斷
慢性化膿性骨髓炎 1、有急性化膿性骨髓炎,開放性骨折合併感染等病史。
2、局部有壓痛、叩擊痛。
3、有竇道數量不一,流膿,不暢時可包性發作。
4、患肢增粗。
5、病程長,反覆發作,全身虛弱。
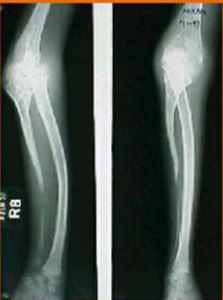
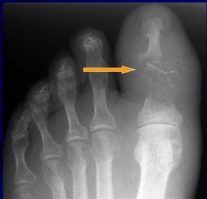
6、X射線:骨幹增粗密度大硬化不規則。骨腔變窄或消失、死骨形成等。
7、化驗:創口分泌物應做塗片檢查及細菌培養,並做抗生素敏感度測定 。
鑑別診斷
該病主要需與關節結核和其他非感染性關節炎鑑別。關節結核發病較緩慢、病程長、局部症狀和功能障礙不如化膿明顯,患病關節骨破壞常呈邊緣性小缺損,且常上下對稱,有較明顯的骨疏鬆,關節間隙呈緩慢狹窄,骨增生不如化膿嚴重。晚期骨端可破壞嚴重,關節半脫位或全脫位,且很少發生骨性強直。
其他非感染性關節炎(如風濕性關節炎、類風濕性關節炎等)以成年人或青年人多見,也大都缺乏急性病程和嚴重的骨破壞,有關實驗室檢查可協助鑑別,關節內穿刺抽液檢查,可快速作出正確診斷。
併發症
慢性化膿性骨髓炎 1、關節強直:產節軟有破壞、纖維性或骨性強直。
2、屈曲畸形:未牽引,軟組織孿縮所致。
3、患肢增長或縮短:炎生刺激骨骺、骺板破壞、致過度生長或障礙。
4、關節內、外翻畸形:骨骺、骺板受累使發育不對稱所致。
5、病理性骨折或脫位:骨皮質破壞致骨折、肌肉牽拉致脫位。
6、癌變:反覆炎性刺激皮膚,為鱗狀上皮癌。
治療
屈曲畸形 慢性化膿性骨髓炎的治療,一般採用手術、藥物的綜合療法,即改善全身情況,控制感染與手術處理。由於重病長期臥床,尤其在血源性急性發作後,極需改善全身情況。除用抗菌約物控制感染外,應增進營養,必要時輸血,手術引流及其他治療。
藥物套用宜根據細菌培養及藥物敏感試驗,採用有效的抗菌藥物。無明顯死骨,症狀只偶然發作,而局部無膿腫或竇道者,宜用藥物治療及熱敷理療,全身休息,一般一、二周后症狀可消失,無需手術。
如有死骨、竇道及空洞、異物等,則除藥物治療外,應手術根治。
(1)病灶清除開放引流法。
(2)清除病灶、滴注引流法。
(3)消滅死腔的手術。
(4)病骨切除。
(5)截肢。
火器傷慢性化膿性骨髓炎的處理,要徹底清除病灶,用滴注引流法根治。
護理
1、慢性骨髓炎沒有急性的全身症狀,主要有面色蒼白、消瘦等營養不良表現。可協助患者做一些力所能及的功能鍛鍊,病情較輕者,可讓其散步等,以增強體質。
2、隨時觀察傷口變化,如傷口的大小、形狀、邊緣與顏色,以及肉芽組織的生長情況和膿液的多少、性質、顏色、根據情況辨證用藥。
3、創口要保持清潔,做好帶菌傷口的無菌操作。
典型病例
男孩愛吃零食患病 右腿比左腿短近10厘米
