疾病概述
局限性骨膿腫--X片局限性骨膿腫通常發生於長骨的乾骺端,多見於脛骨、股骨與肱骨。產生局限性膿腫的主要原因是在感染時由於細菌毒力低而機體的抵抗力相對強時感染可被局限於骨的乾骺端,形成局限性骨膿腫。本病因最早由英國醫生Brodie(1880)首先報導,故亦Brodie膿腫膿腫內為黃白色稠厚膿液或肉芽膿液培養可無細菌生長。膿腫中期為炎性肉芽組織所替代後期則形成感染性瘢痕組織。
本病多發於青少年,以脛骨下端及上端、橈骨下端等處多見,亦可見於股骨及肱骨。患者多有急性感染史,以後遺留有局限性疼痛。重者可有紅熱、腫脹等局部表現,但少有嚴重者。一般無全身症狀可有間歇期,並呈急性發作。
血源性骨髓炎的病史病程,往往遷徙性持續數年之久,當勞累或輕微外傷後,局部有疼痛及皮溫升高。罕見有皮膚發紅使用抗生素後炎症表現迅速消退。少數病例炎症不能控制穿破流膿。X線片表現為乾骺端囊性病變,周圍有硬化骨區需與骨囊腫,鑑別骨囊腫周圍只有薄層成帶狀硬化骨。
發病機制
局限性骨膿腫經血源性感染病情長期穩定,勞累或輕微外傷可致發病。在感染時由於細菌毒力低而機體的抵抗力相對強時,感染可被局限於骨的乾骺端,形成局限性膿腫。
產生Brodie膿腫的主要手術原因是細菌的毒力不大和病員的抵抗力較高膿腫的內容物初期為膿液或炎性液體中期為炎性內芽組織培養所替代後期則為感染性瘢痕組織診斷。
臨床表現
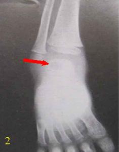
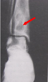
局限性骨膿腫患者表現為局部隱痛、腫、熱,有時毫無不適。一旦體質差,可局部急性發作。X片示乾骺端囊樣破壞區,周圍骨質硬化,直徑1~7cm不等,有時在病灶內可能有小死骨碎片。經抗生素治療和休息可好轉,但不能根治,易復發。
本病的併發症較少見,除了引起全身發熱,局部隱痛、腫、熱外。如膿腫區破壞且破壞區涉及骨的邊緣或皮質時,臨近可見到條狀骨膜反應,偶見死骨。有一些情況下還可以引起骨皮質增生硬化和骨性關節炎。
鑑別診斷
局限性骨膿腫1、骨樣骨瘤
骨樣骨瘤多見於20~40歲成人,好發於脛骨股骨等長骨幹,這與骨幹皮質者相似。但是,骨樣骨瘤有持續局限性疼痛,其疼痛程度較一般良性腫瘤明顯,且夜間痛加重,阿斯匹林可緩解。檢查局部有壓痛,病程長才有肌萎縮。X線見硬化的骨皮質內有一卵圓形透光影—稱為“病巢”,其長軸通常<2.0cm。
2、非骨化性纖維瘤
非骨化性纖維瘤多見於青少年,亦好發於股骨脛骨等長骨,局部疼痛一般較輕微,這些與本症相似。非骨化性纖維瘤可位於乾骺端,亦有位於骨皮質者。位於後者表現為向外突出骨殼變薄。而其基底有骨質硬化增厚。腫瘤區為低密影,其範圍有大有小。這與骨感染病灶四圍均硬化增厚有明顯區別。
3、骨囊腫
骨囊腫是一種常見的良性骨腫瘤樣病變,多見於青少年和兒童,好發於長管狀骨幹骺端,最常見部位是股骨、肱骨上端,其次是脛骨近端、股骨下端、腓骨、尺骨、橈骨、跟骨、距骨、髂骨等,病因不清。多數患者無明顯症狀,有時局部隱痛或肢體局部腫脹,絕大多數患者發生病理性骨折後就診。X線表現病變多位於長管狀骨的乾骺端,髓腔呈現出中心性、單房性、橢圓形透亮區,邊緣清晰而硬化,骨皮質有不同程度膨脹變薄,且骨皮質越接近囊腫中心越菲薄。
局限性骨膿腫1、X線檢查:表現為長骨幹骺端有橢圓形密度減低區,邊緣有清晰的骨質硬化,病變與鄰近正常骨髓腔境界清楚。需與骨囊腫鑑別。骨囊腫周圍只有薄層成帶狀硬化骨。
2、CT檢查:CT掃描顯示病區為一卵圓形低密度影,其邊界有骨質硬化環。
X線片表現為骨端有局限性密度減低區,其周圍骨質有炎性反應性增高陰影,且與周圍骨質分界不清一般多無骨膜反應及死骨。此種狀態應與骨囊腫鑑別後者主要顯示為囊腔周圍只有薄層帶狀硬化骨。
病員通常無急性血源性骨髓炎的病史。病程往往遷徙性,持續數年之久,當勞累或輕微外傷後局部有疼痛及皮溫升高,罕見有皮膚發紅,使用抗生素後炎症變化迅速消退。少數病例炎症不能控制穿破流膿。
疾病治療
林可黴素1.急性發作期急性發作時應全身套用抗生素常用林可黴素,0.6g肌內注射2次/d;或1.8g靜脈滴注。也可選用其他廣譜抗生素。
2.非急性期此期可偶有發作仍可以使用廣譜抗生素。對反覆急性發作的患者需手術治療手術時間應選在兩次急性發作的間歇期術前術後都需使用抗生素。手術方法為徹底刮除病灶內的炎性組織,沖洗乾淨後取自體髂骨骨松質咬成小粒,與抗生素粉劑混合後填充骨腔傷口縫合後可望一期癒合。也有分期植骨的即先在骨腔內填充慶大黴素-骨水泥珠鏈,2周后取出再植以自體骨松質粒。
局限性骨膿腫的治療以手術為主。位於乾骺端者,開窗將病灶刮除後,植以松質骨,位於皮質骨者將外層骨質切除後,將病灶刮除即可。一般可一期癒合。術後按病灶大小決定是否要石膏外固定。
局限性骨膿腫根據病程早晚,治療原則不同。早期以排除鬱積滯留骨膿腫液,防止骨膿腫積液再生為宗旨,晚期則以手術切除不能復原的病變組織或以分流術治療局限性骨膿腫阻塞為目的。
局限骨膿腫加壓器1.體位引流肢下下垂狀態使組織間隙中骨膿腫液滯留加重,抬高患肢30~40cm利用重力作用可促進骨膿腫液回流,減輕水腫。此未能簡單有效,但作用不持久,患肢下垂水腫再度加重。
2.加壓包紮在體位引流基礎上,在患肢指高事用彈力襪或彈
局限性骨膿腫力繃帶加壓包紮,擠壓組織間隙,協助骨膿腫回流。彈力繃帶鬆緊應適宜。也可用間隙加壓器(intermittentcompressionpumps)多次和長時間使用,對改善水腫有一定療效。文獻報導國外目前採用 (lymha-press)一種更為先進有效的加壓充氣裝置,充氣裝置分9~12塊,每塊可以單獨充氣加壓,加壓從肢體遠端逐漸向近端進行,一個循環周期為25少。這種局限骨膿腫加壓順較其他簡單加壓裝置的充氣加壓時間大大縮短(簡單加壓充氣裝置循環周期100秒左右),同時可產生較高壓力達15.6~20.8kPa(120~160mmHg),比外科手術和單純彈力襪在消腫方面更為有效。但它的使用較複雜,也不能減少組織間隙中的蛋白成份,只適用於急性期及術前準備等短期治療。
3.限制鈉鹽攝入和使用利尿劑急性期適當限制氯化鈉攝入,一般1~2g/d,以減少組織鈉、水瀦留。同時使用適量利尿劑、加快水鈉排出。可用雙氫克尿噻每次25mg,每日3次,並適當補鉀,待病情穩定後停服。
4.預防感染選用抗真菌的油膏、撲粉,保持足趾乾燥是預防和控制真菌感染最為有效的方法;足趾甲床下細菌感染也較為多見,應勤剪指趾甲,清除污垢,減少細菌入侵途徑。當鏈球菌感染全身性症狀時,應選用青黴素等藥物,配合臥床休息,積極控制感染。晚期局限性骨膿腫並發皮膚皸裂可採用油膏外敷保護並潤滑皮膚。
此外,多種疫苗、牛奶和異性蛋白注射法,是沿用已久的抗感染療法。人體的各種防禦機構藉此獲得提高。國外學者證明在注射傷寒三聯疫苗時,輸出骨膿腫管中的骨膿腫球增多,血液中的丙種球蛋白也有所提高,有防止發生永久性骨膿腫阻塞的作用。有作者推測異性蛋白可能通過垂體及腎上腺起作用。
(二)非手術治療的烘繃治療和各種手術治療。
電輻射熱治療2.手術治療大多數局限性骨膿腫不需外科手術。約15%的原發性局限性骨膿腫最終需行下肢整形手術。現有手術方法除截肢手術均不能治癒局限性骨膿腫,但可明顯改善症狀。
⑴手術適應證:①肢體功能損害:由於肢體粗重易疲勞和關節活動限制。②過度腫脹伴疼痛。③反覆發作的蜂窩織炎和骨膿腫管炎經內科治療無效。④骨膿腫管肉瘤:長期局限性骨膿腫惡性的致死性原因。⑤美容:大多數原發性局限性骨膿腫患者為年輕婦女,對於腫脹明顯並有美容要求者可考慮手術,但應以改善功能為主,美容國輔,否則療效可能不盡人意。
骨牽引⑵術前準備對手術效果有重要作用。它們包括:①臥床休息抬高患肢:使肢體水腫減少至最低限度。有下肢墊高、下肢懸吊和骨牽引等方法,下肢抬高以60o為宜。②控制感染:對反覆發作的急性蜂窩組炎和急性骨膿腫,應選用敏感藥物於術前、術中靜脈或肌注給藥,減少術後皮瓣感染機會。③清洗皮膚:達到潰瘍癒合或控制局部感染的目的。④保持術後引流通暢;分離的粗糙面可有毛細血管持續滲血。必須放置負壓引流,保持皮瓣下無積血積液,減少影響皮瓣血供的因素,防止皮瓣坯死、感染,降低手術失敗率。⑤術後繼續抬高患肢,減輕患肢水腫,有利於靜脈及骨膿腫回流。
⑶手術分類:局限性骨膿腫手術可分為兩類:①病變組織廣泛切除術。②骨膿腫回流重建術。根據實驗及臨床證據,後者的部分或大部分良好效果事實上是在廣泛病變組織切除的基礎上取得的。單純重建骨膿腫回流,手術操作十分精細,但療效甚微。由於繼發性局限性骨膿腫骨膿腫阻塞點近遠端的骨膿腫系統功能完好,外科手術重建區域性骨膿腫回流應可獲得良好療效,相反,大多數原發性局限性骨膿腫的近遠端骨膿腫管發育不良,經不住期待重建骨膿腫回流手術能改善症狀。
疾病預防
本疾病多發生於青壯年,多見於脛骨上端,股骨下端和上端、肱骨上端等長骨兩端。本病主要是由於感染引起,故注意平時的體育鍛鍊,增加身體的抵抗力,有利於本病的預防。
在抗生素的控制下,行局部病灶清除術,用松質骨填塞,一般可一期癒合。術後按病灶大小決定是否要石膏外固定。
