病因
病因不明。
臨床表現
非骨化性纖維瘤最常見於兒童及青少年,5~20歲最多見。發病部位以下肢長骨最多見,主要位於膝關節周圍。股骨遠端乾骺端最常見,其次為脛骨近端及遠端乾骺端,腓骨近端乾骺端也常見。
非骨化性纖維瘤也可有多發病灶,可發生於同一骨的不同部位,也可發生在不同骨,這種稱之為多發性非骨化性纖維瘤,其發病年齡與單發相似。多發病灶最常見於單下肢或雙下肢,同時可累及骨盆骨。
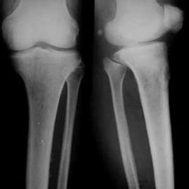
檢查
非骨化性纖維瘤有典型的X線特徵,病變始於長骨的乾骺端,靠近骺板,且總在一側皮質上膨脹、偏心性隨骨的生長發育病變可以逐漸向骨幹移行,病灶內為界限清楚透亮陰影,呈分葉狀卵圓形,周邊有一硬化緣。病變縱軸與長骨一致,病變小自1cm,最大可達15cm。病變發展有侵入髓腔、破壞整個乾骺端導致整個皮質變薄,造成病理性骨折。病變可隨骺板生長而擴大,骺閉合後病變有可能停止生長。
多發非骨化性纖維瘤影像學也有典型特徵性表現,可在同一骨內有多個病灶,也可不在同一骨。
診斷
兒童、青少年出現膝踝或髖關節疼痛,影像顯示為非骨化性纖維瘤,通常誤診為其他腫瘤。
當非骨化性纖維瘤病變擴大侵犯到大部或整個乾骺端或骨幹時影像學不容易診斷。有些病變容易與纖維結構不良、軟骨黏液樣纖維瘤、骨囊腫相混淆,常需手術確診。
多發病變的病例,影像學特徵可與纖維異樣增殖症相混淆,在組織學上某些病變區域非骨化性纖維瘤和纖維異樣增殖症是一致的,可由非骨化性纖維瘤不產生新骨加以區別。
治療
無症狀的非骨化性纖維瘤不需治療。對偶然發現的病灶,可以通過定期隨診。對於有症狀的病灶,病灶在不斷發展擴大且有骨折傾向時,可選擇病灶刮除植骨,預後很好。對於小的病灶,可行單純刮除,無需植骨,也可通過隨診,病灶有可能自愈。

