發病機制
組織細胞纖維瘤肉眼病變呈橢圓形,大小不一,剖面質韌為黃色或銹棕色,不含骨組織腫瘤周圍有一薄的骨質硬化帶。
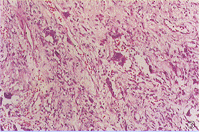
組織形態主要由纖維結締組織構成,排列成漩渦狀或輪輻狀,細胞之間為膠原纖維。不同病灶區內有不同數量的膠原纖維和纖維母細胞,這種梭形纖維母細胞被稱之為兼性纖維母細胞,病灶內還可見散在或成堆的多核巨細胞體積小,核一般為3~10個。也可見吞噬脂質和含鐵血黃素的組織細胞即泡沫細胞當大量泡沫細胞存在時,吞噬大量色素,標本呈銹棕色,易誤診為黃色瘤此外,還可見淋巴細胞和漿細胞分散於組織間,病變內無新生骨形成,周緣可見有反應性骨質硬化增生。
臨床表現
組織細胞纖維瘤組織細胞纖維瘤最常見於兒童及青少年,5~20歲最多見。Schajowicz報導年齡從7個月~69歲,男女發病無明顯差異,有報導男性多於女性。
發病部位以下肢長骨最多見,主要位於膝關節周圍。股骨遠端乾骺端最常見,其次為脛骨近端及遠端乾骺端腓骨近端乾骺端也常見比較少見的部位還有股骨近端乾骺端及上肢骨。單發組織細胞纖維瘤在短骨及扁骨非常罕見。
組織細胞纖維瘤也可有多發病灶,可發生於同一骨的不同部位,也可發生在不同骨,這種稱之為多發性組織細胞纖維瘤,其發病年齡與單發相似。多發病灶最常見於單下肢或雙下肢,同時可累及骨盆骨。
病變多在乾骺端,可隨病情發展,病變可以逐漸向骨幹移行,多位於一側皮質內或骨膜下,病變進一步發展可侵入髓腔使整個乾骺端或骨幹均有病變。
組織細胞纖維瘤多無臨床症狀偶以輕微疼痛為主要表現,國外文獻報導首診以疼痛者占50%,病理性骨折者占16%,偶然攝X線片發現者為32%。
多發的組織細胞纖維瘤可伴有牛奶咖啡斑智力障礙、生殖腺功能不良、眼的先天性異常或血管畸形,而無多發神經纖維瘤綜合徵,這種綜合徵稱為Jaffe-Campanacci綜合徵。
鑑別診斷
組織細胞纖維瘤兒童、青少年出現膝踝或髖關節疼痛,影像顯示為組織細胞纖維瘤,通常誤診為其他腫瘤,而接受手術,大多數組織細胞纖維瘤通常是無症狀的。
當組織細胞纖維瘤病變擴大侵犯到大部或整個乾骺端或骨幹時影像學不容易診斷。有些病變容易與纖維結構不良、軟骨黏液樣纖維瘤、骨囊腫相混淆常需手術確診。
多發病變的病例,影像學特徵可與纖維異樣增殖症相混淆在組織學上某些病變區域組織細胞纖維瘤和纖維異樣增殖症是一致的,可由組織細胞纖維瘤不產生新骨加以區別。
從組織學上還需要排除分化好的纖維肉瘤、骨巨細胞瘤,另外還與良性纖維組織細胞瘤相鑑別。從組織學上,有人認為這兩種組織學表現完全一致,但良性纖維組織細胞瘤多見於成年人,發病年齡偏大,除四肢骨外還可見於扁平骨,
影像學上周圍硬化以組織細胞纖維瘤更明顯等方面加以區別。
檢查
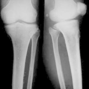
組織細胞纖維瘤有典型的X線特徵有些學者認為不需經組織學檢查,就能對大多數病例作出正確診斷。病變始於長骨的乾骺端,靠近骺板,且總在一側皮質上膨脹、偏心性隨骨的生長發育病變可以逐漸向骨幹移行,病灶內為界限清楚透亮陰影,呈分葉狀卵圓形,周邊有一硬化緣。病變縱軸與長骨一致,病變小自1cm,最大可達15cm。病變發展有侵入髓腔、破壞整個乾骺端導致整個皮質變薄,造成病理性骨折。病變可隨骺板生長而擴大骺閉合後病變有可能停止生長
多發組織細胞纖維瘤影像學也有典型特徵性表現,可在同一骨內有多個病灶,也可不在同一骨。病灶之間不連續。單個病變與單發相似。多表現侵入髓腔,病變起始也在乾骺端,進一步發展向骨幹移行病變常常對稱性存在,這種情況在上肢更為常見,組織細胞纖維瘤導致骨折在下肢病變中更常見。
治療
無症狀的組織細胞纖維瘤不需治療。對偶然發現的病灶,可以通過定期隨診,以觀察病情的變化。對於有症狀的病灶,病灶在不斷發展擴大且有骨折傾向時,可選擇病灶刮除植骨,預後很好。對於小的病灶,可行單純刮除,無需植骨,也可通過隨診病灶有可能自愈。

