名稱概述
脂肪瘤是一種良性腫瘤,多發生於皮下。瘤周有一層薄的結締組織包囊,內有被結締組織束分成葉狀成群的正常脂肪細胞。有的脂肪瘤在結構上除大量脂肪組織外,還含有較多結締組織或血管,即形成複雜的脂肪瘤。
脂肪瘤細胞圖脂肪瘤(lipoma)由成熟的脂肪組織所構成,在小兒較纖維瘤多見,凡體內有脂肪存在的部位均可發生。脂肪瘤有一層薄的纖維內膜,內有很多纖維索,縱橫形成很多間隔,最常見於頸、肩、背、臀和乳房及肢體的皮下組織,面部、頭皮、陰囊和陰唇,其次為腹膜後及胃腸壁等處;極少數可出現於原來無脂肪組織的部位。如果腫瘤中纖維組織所占比例較多,則稱纖維脂肪瘤。
症狀特點
此類腫瘤好發於肩、背、臀部及大腿內側,頭部發病也常見。位於皮下組織內的脂肪瘤大小不一,大多呈扁圓形或分葉,分界清楚;邊界分不清者要提防惡性脂肪瘤的可能。腫瘤質軟有彈性(注意與較大的囊腫區別),有的可有假性波動感。腫瘤不與表皮粘連,皮膚表面完全正常,基部較廣泛。檢查時以手緊壓脂肪瘤基部,可見分葉形態。皮膚可出現“桔皮”狀。腫瘤發展甚緩慢,大多對機體無嚴重不良影響,惡性變者甚少。
此外另有一類多發性圓形或卵圓形結節狀脂肪瘤,常見於四肢、腰、腹部皮下。腫瘤大小及數目不定,較一般脂肪瘤略硬,壓迫時疼痛,因而稱為痛性脂肪瘤或多發性脂肪瘤。
病理病因
一、發病原因
一般分為高脂蛋白血症性黃色瘤及非高脂蛋白血症性黃色瘤兩大類。高脂蛋白血症的病因可分為原發性和繼發性。原發性者病因不明,大多為家族性,系由於脂質和脂蛋白代謝的先天性缺陷所致,可能與脂蛋白脂酶的遺傳缺陷或活性降低而影響脂蛋白分解有關。非家族性者為某些環境因素,如飲食營養和藥物等通過某種機制所致。繼發性者見於動脈粥樣硬化、甲狀腺功能減退、糖尿病、黏液性水腫、腎病綜合徵、胰腺炎、肝膽疾病、痛風等疾病患者,也可因雌激素治療、酒精中毒、肥胖等引起。非高脂蛋白血症性黃瘤包括正常脂蛋白血症性黃瘤及其他罕見的先天性脂質代謝疾病。
二、發病機制
引起黃色瘤有下列因素:
1.大多數病例血漿中脂蛋白增高。
2.血管壁通透性異常。
3.血清脂蛋白透過血管壁,沉積在血管周圍結締組織。
4.血管外膜細胞攝入和處理脂蛋白,巨噬細胞聚集。脂蛋白滲出後,這些細胞轉變為空泡化的泡沫細胞,血清脂蛋白在泡沫細胞內代謝。泡沫細胞一致性地含有相應的溶酶體酶結構,新發生的黃瘤有與血中大致相同的脂蛋白譜。隨後再發生膽固醇酯、膽固醇及磷脂聚集。一些高脂蛋白性黃瘤是可逆的。根據血脂的特徵,世界衛生組織將原發性家族性高脂蛋白血症分為5型,其發病機制分別為Ⅰ型:高乳糜微粒血症,脂蛋白酶缺陷;Ⅱa型:高β-脂蛋白血症;Ⅱb型:高-β脂蛋白血症及高前β-脂蛋白血症Ⅴ,固醇代謝紊亂;Ⅲ型:寬β-疾病,高前β-脂蛋白血症和高乳糜微粒血症,脂蛋白代謝紊亂;Ⅳ型:高前β-脂蛋白血症,糖代謝紊亂,酒精中毒、痛風;Ⅴ型:Ⅰ和Ⅳ型聯合。不同類型高脂蛋白血症發病數差異也很大,其中以Ⅱ型最常見,其他按發病數高低順序為Ⅳ、Ⅲ、Ⅴ、Ⅰ型。非高脂蛋白血症性黃瘤可由於血清蛋白異常或某些細胞的異常增殖所致,如見於巨球蛋白血症、粒細胞性和淋巴細胞白血病,組織細胞增生症等。
症狀
根據臨床及形態特點,分為以下幾種類型:
1、原發性高脂蛋白性黃色瘤
(1)扁平黃色瘤:皮損為圓形或橢圓形、扁平柔軟、淡黃色或橘黃色斑或略隆起的斑塊。米粒至5cm大小。好發於眼瞼、頸、軀幹、肘窩、膕窩、股內側、臀部和手掌。黏膜不受累。好發於眼瞼者稱為瞼黃疣。對稱性發生於上眼瞼內眥處,單個或多個,發展緩慢,可波及兩側上下眼瞼,甚至形成環繞瞼周的黃色圈。多見於中年婦女,約25%患者伴高脂蛋白血症Ⅱ型,表現為血漿膽固醇水平增高。發生於手掌者,可呈隆起的條紋狀損害,稱為掌紋黃瘤,常是高脂蛋白血症Ⅲ型的特殊病徵。泛發性扁平少黃色瘤見。扁平橘黃或棕黃色斑和斑塊對稱出現於面部眼瞼周圍、頸部兩側、軀幹上部和上臂。一般見於中老年人,預後較好。高脂蛋白血症可有可無。
(2)結節性黃色瘤:此型常伴有Ⅱ型和Ⅲ型高脂蛋白血症。早期皮疹為柔軟的小丘疹或結節,鮮紅或橘黃色,逐漸融合或增大達直徑2~3cm大小的斑塊。質堅硬,表面呈半球狀或可分葉、帶蒂,微有彈性,壓之微痛,自覺症狀缺如或感瘙癢,好發於伸側,如肘、膝、指關節伸面及臀部等處。好發於肌腱部者稱為腱黃瘤,多見於手足伸側,肌腱及跟腱,皮損自黃豆及雞蛋大小不等。結節深在,光滑、堅實、大小不一,表麵皮膚可移動如常。腱黃瘤幾乎總是表示潛在的全身性疾病。
(3)發疹性黃色瘤:常迅速成批發出,分布於臂部、肢體伸面、胸、背和面部,為針頭或火柴頭大小丘疹,橘黃色伴紅色基底,有時口腔黏膜也可累及,經處理後可迅速消退而不留痕跡。此類皮疹最常見於Ⅰ型高脂蛋白血症者,Ⅲ、Ⅳ、Ⅴ型高脂蛋白血症及繼發性高脂血症者都可見到。
2、原發性非高脂蛋白性黃色瘤病
(1)播散性黃色瘤:起病於青少年,表現為黃色、橘黃色或棕黃色丘疹或結節,初起分散繼而成片狀,主要分布於腋下、腹股溝、頸、肘、膝等身體大皺褶處,基本對稱,約1/3患者有黏膜損害,如口腔、咽、喉甚至氣管,有時嚴重影響功能如引起窒息威脅生命。約1/3患者由於下丘腦-神經垂體的損害而引起暫時性或輕度尿崩症。皮疹及尿崩症均可自發緩解。一般預後好。
(2)泛發性扁平黃瘤病:多在40~50歲後發病。最常見於瞼周,可集中於上瞼內側,也可遍及整個上瞼甚或整個眼瞼。廣泛的可對稱地波及軀幹和肢體,以面、頸、軀幹上部和臂為主。一般預後好。應注意區別繼發於網狀內皮系統的黃瘤病。
(3)幼年性黃色肉芽腫:又名痣性黃色內皮細胞瘤,青少年黃色瘤病。常於出生後6個月內發病,偶有家族史。皮損為單個或多個黃色或紅色針頭至豌豆大小丘疹或結節,圓形或橢圓形。好發於四肢伸側、顏面、頭皮、軀幹。也可累及口腔黏膜、眼及內臟,累及內臟者極少。血清脂質不升高,預後佳,大多數於數年後或至青年發育期自行消退。
3、繼發性黃色瘤
指繼發於各種原因的黃色瘤,可伴有血脂增高或血脂正常。常繼發於下列情況:甲狀腺功能低下、腎病綜合徵、胰腺炎、糖尿病、肝病、造血系統疾病等。
根據比較堅實的黃色、橘黃色丘疹和結節性損害可初步診斷為黃色瘤。重點在於區分原發性和繼發性,原發性中為高脂蛋白血症性或非高脂蛋白血症性黃瘤病。注意有無系統性疾病,特別是心血管、胰腺、肝臟、內分泌、造血系統病變,測定血脂是必不可少的。組織病理有輔助診斷價值。
並發病症
黃色瘤部分患者還可有黏膜損害,甚至發生尿崩症,病程較長且可自行緩解。也可發生血脂升高,伴有冠心病等。
檢查鑑別
一、檢查
1、血脂測定、紙上電泳測定 可測定膽固醇、三醯甘油、HDL、LDL、VLDL等。高脂蛋白血症Ⅱ型又稱家族性高膽固醇血症,為多基因性高膽固醇血症,在瞼黃瘤,腱黃瘤及結節性黃瘤中經常發生,屬常染色體顯性遺傳。高脂蛋白血症Ⅳ型又稱家族性高三醯甘油血症或家族性聯合高脂蛋白血症,在扁平黃瘤和結節性黃瘤中經常發生。
2、口服葡萄糖耐量試驗了解空腹及餐後血糖水平,以除外糖尿病及糖耐量減低(餐後高血糖)型血糖異常所引起的高脂血症及高脂蛋白血症。
3、肝功、腎功、甲狀腺功能測定 了解白蛋白、總蛋白及免疫球蛋白水平等以除外膽汁性肝硬化、腎病綜合徵及黏液性水腫等疾病引起的繼發性黃色瘤病。
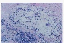
組織病理:黃瘤病是反應腫瘤,不同型別黃瘤顯微結構相近,無需鑑別診斷。主要表現為黃瘤外周血管周圍出現淋巴細胞和組織樣細胞,這些細胞含有脂質。在切片固定過程中,脂質發生溶解,細胞質呈現泡沫現象。泡沫細胞即充滿吞噬脂質的巨噬細胞,為黃瘤的主要成分。另外,還有具有特徵性的多棱成環狀排列的巨細胞即Touton細胞。被吞噬脂質的超微結構包括含脂蛋白、雙折射膽固醇晶體和磷脂的空泡,且磷脂呈現胞內髓鞘質圖像;另外還存有脂肪酸和中性脂肪。其他一些特徵包括發疹型黃瘤呈一致性炎症現象和時間較長的黃瘤呈現纖維化增加的成纖維細胞反應。需要注意的是在組織中見到泡沫細胞或脂質時,需排除麻風、深部真菌病、組織細胞瘤及類脂質漸進性壞死等。
二、鑑別
應與痛風鑑別,後者皮損主要發生於關節及軟骨組織處,為正常皮色的硬結,常伴發關節炎,患處疼痛明顯。與鈣質沉著症鑑別,後者以皮膚堅硬的丘疹結節或腫塊為特點。並可破潰排出乳酪色油狀物質,創口是瘢痕癒合。
治療
較小脂肪瘤,發展緩慢,無臨床症狀者一般無需處理。雷射手術治療脂肪瘤有多種方法,但對小的脂肪瘤採用微切口雷射切除分葉取出。較大脂肪瘤根據部位按外科要求選擇切口摘除,雷射摘除脂肪瘤極方便。
1、治療
1.藥物治療 可給予降脂藥物,如考來烯胺(消膽胺)、煙酸、非諾貝特、潔脂、洛伐他汀(美降脂)、辛伐他汀(舒降之)、紅曲提取物(脂必妥)或藻酸雙脂鈉等,一般採用1或2種即可。中藥可採用澤瀉、虎杖、首烏、山渣、毛冬青或決明子等。
2.局部治療 較小黃色瘤可選用電分解術、電凝術、液氮冷凍療法,CO2雷射燒灼術,40%三氯醋酸腐蝕法等。皮損較大者則採用外科手術切除治療。
3.原發疾病治療 如同時患有糖尿病、腎病綜合徵、甲減、膽汁性肝硬化、胰腺炎、痛風或骨髓瘤等病,必須同時治療。
2、預後
皮疹及尿崩症均可自發緩解。一般預後好。血清脂質不升高,預後佳,大多數於數年後或至青年發育期自行消退。
疾病預防
保持良好的飲食習慣,注意飲食調節,不過量攝入高脂、高糖、高膽固醇食物。

