病理概述
骨囊腫為骨的瘤樣病變,又名孤立性骨囊腫、單純性骨囊腫(simplebonecyst)。囊壁為一層纖維包膜,囊內為黃色或褐色液體。主要以手術治療為主,預後良好。骨囊腫的確切病因不明,學說很多,Mirra推測可能是在胚胎時期少許具有分泌功能的滑膜細胞陷入骨內,結果引起滑液聚集而形成骨囊腫。
骨囊腫為良性病變,亦稱單純性骨囊腫或孤立性骨囊腫。病因尚未明了。有學者認為骨囊腫是由於骨內血管末梢阻塞,血液瘀滯所致;也有認為本病系某種腫瘤、炎症組織的退行性變,其生長、代謝阻礙的結果或與骨發育異常有關;也有認為可能系外傷出血形成局限性包囊,進而局部吸收骨化而成。骨囊腫較小者可因骨折後骨痂而消失;囊腫較大者也可因之縮小;偶爾可因血腫骨化而消失
骨囊腫在其發展過程中很少出現症狀,大部分病人是由於外傷造成病理性骨折後產生局部腫痛、腫脹、壓痛、不能活動等骨折表現而發現。少數病例表現為局部包塊或骨增粗,關節活動多正常,肌肉可輕度萎縮。發生在下肢的患者,偶有跛行。一般來講,骨囊腫均需手術治療,手術最好在骨骺癒合施行,目的為減少復發的機會。骨囊腫偶有惡變為肉瘤的可能。骨囊腫極少發生於頸椎。本病多發於長管骨骨端,好發於20歲的青少年,男性多於女性。
病理病因
骨囊腫(UBC),又叫單純骨囊腫,其病變腔內充填為液體,四壁為薄的殼膜。單純性骨囊腫常發生於5到15歲的兒童,男性發病多於女性,比率約為2:1。病變部位多在長骨的乾骺端。最常見部位為肱骨近端,其次為股骨近端。活動性(active相對具有侵襲性的)骨囊腫靠近骨骺區,隨著兒童年齡增大,病灶會逐漸遠離骨骺,成為非活動性(inactive)。在年齡超過17歲的患者,病變會在非長管骨發生,如跟骨、骨盆等。
單純性骨囊腫的發生機理尚不清楚,但多認為與創傷後的反應有關。最流行的發生學理論便認為局部靜脈回流障礙,導致壓力升高,造成局部反應性的骨吸收。試驗數據證明,單純骨囊腫囊液所富含的前列腺素和白介素IB均可獨立地造成骨吸收。多數骨囊腫並無臨床症狀,往往在發生病理骨折時才被發現。
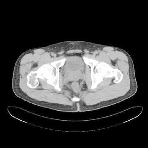
有經驗的骨腫瘤醫生僅憑X線平片就可以作出骨囊腫的臨床診斷。病變灶為邊界清晰的液性低密度灶,四壁為薄層的硬化灶殼。病變灶略向近骨骺的乾骺部位擴大。病灶非偏心性,也不破壞骨外殼,更不會突破骨質形成骨膜外反應骨,除非是在病理骨折後的癒合期。有時脫落的骨皮質成份落入囊腔中,X片顯示被稱為“落葉征”(FallenleaforFallenfragment)。當病灶發生在骨盆,CT掃描對病灶部位及囊腫形態的判斷有價值。MRI可以明確囊內富含的液性成分。骨ECT掃描表現為外周薄的濃集而中央病灶冷區。
骨囊腫組織學檢查會發現腔壁的內膜為一層扁平,立方的生髮細胞,形同內皮樣細胞。囊液成份近似滑膜液。骨折發生時,常伴血腫,肉芽增生,鈣化成分,並可見巨細胞,易造成誤診。
治療醫生必須完全肯定自己的診斷,並應對選擇的治療方法充滿信心,必須與骨腫瘤專家進行術前的諮詢、討論,因為治療方法有多種。當伴有病理性骨折時,保守治療,使骨折閉合性癒合是首選。有時病理骨折的的自然癒合也能解決骨囊腫自身病灶。經皮醋酸去甲基氫化可的松囊腔內注射1次/2月,1-3次治療後可獲得滿意效果。以2-5ml的MPA通過雙腔管注入骨囊腫腔內,消除靜脈內血腫、阻塞,並保持藥效長期作用,消除病因,為目前提倡的方法。
臨床醫師應避免盲目決定手術治療,遇到復發的或部位複雜的骨囊腫,最好轉院至骨科腫瘤中心。由於完全切除病灶,骨連續性損失太大,單純刮除手術套用較普遍,但復發率竟高達40%-45%。另外手術治療時,謹防損傷病灶附近的生長板,以免影響骨生長。
單純骨囊腫與動脈瘤樣骨囊腫鑑別UBCABC輕微痛、除非伴有骨折劇痛、即使無骨折無創傷史可有局部撞擊史液性腔內填充血性腔內填充輕度擴張明顯擴張性X-Ray極少分腔多有分腔MRI顯示有液平面無液平囊內壁清晰囊內壁模糊
臨床表現
骨囊腫1.好發於4-20歲,多見於5-15歲兒童,少見於成人。好發於股骨頸、股骨上端和肱骨上端。隨著年齡增長,囊腫逐漸向骨幹方向移動。
2.一般無明顯症狀,多數因病理性骨折,出現疼痛、腫脹,功能障礙而就診,X線攝片才發現此病。僅有隱痛或間歇性不適或勞累後出現酸痛。
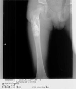
3.X線攝片顯示長骨幹腄端或骨幹部位有橢圓形溶骨破壞,邊界清楚,其周圍可見薄層硬化帶,骨皮質可有輕度膨脹變薄。
4.80%患者有外傷史。
5.常合併有病理骨折。
6.常為單發,偶為多發。
診斷依據
1.多見於兒童及少年,好發於長骨幹骺端。
2.無明顯症狀,或有輕微疼痛和壓痛,病理性骨折可為最早症狀和體徵,或經X線攝片發現病變。
3.X線攝片顯示長骨幹骺端有橢圓形密度均勻的透明陰影,病變局限,與正常骨質間有明顯界線,骨皮質膨脹變薄。
4.病理檢查可確診。
輔助檢驗
X線表現病損為界限清楚的射線透亮區,外有一薄層骨硬化邊緣,由於囊腫膨脹性生長,造成骨皮質不規則變薄,X線片常呈假分葉狀表現,尤多做囊腫在肱骨或股骨的乾骺端向下擴展至骨幹,向上擴展雖接近骨骺,但後者可被累及,病理性骨折很常見,囊腫可有骨嵴假象,病理檢查見病損為單房的囊腔,其中充滿清液,囊內襯以薄層纖維組織,骨折後腔內含血性液體並出現骨痂。
影像表現
一X線:
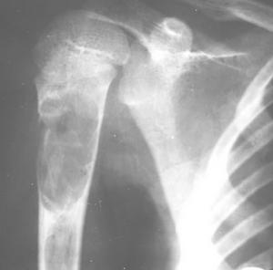
骨囊腫X線平片位於長骨幹骺端,呈圓形、卵圓形或柱形,沿長骨縱軸發展,表現為輕度膨脹性生長,局部骨皮質變薄,邊緣光整,無骨膜增生。合併病理骨折時,骨碎片向囊內移位,稱“碎片陷落征”,有助於鑑別。
二CT:
1.骨囊腫一般多呈圓形、卵圓形低密度骨質缺損,邊緣清晰,無硬化。
2.局部骨皮質變薄呈囊性膨脹。
3.少數囊腫內可見骨性間隔,呈多房改變。
4.骨囊腫內的CT值多為水樣密度,有出血時密度可升高。
5.增強掃描囊腫不強化。
6.鑑別診斷
1)骨巨細胞瘤:多見於20歲以上者,好發於骨端而非乾骺端,病變區膨脹更明顯,膨脹方向呈橫行,腫瘤內實性部分有強化。
2)動脈瘤樣骨囊腫:膨脹明顯,病變偏心發展,病灶內有骨嵴形成,液—氣液平面較常見,囊變區之間實質部分可鈣化或骨化。
MRI表現三MRI表現
1.多發在長管骨的乾骺端,病灶呈圓形或橢圓形,其長軸與長骨縱軸一致。
2.病灶於T1WI上多呈低或中等均勻信號,T2WI呈明顯均勻高信號,若囊液內有出血或含膠樣物質則T1WI和T2WI上均呈高信號,少數呈多房改變時T2WI上可見低信號纖維間隔。
3.病灶周邊骨殼呈圓圈樣低信號,一般完整,邊緣清晰。局部骨皮質變薄,無骨膜反應。常伴發病理性骨折,表現為骨皮質斷裂,骨片陷落而插入病灶內,稱之為骨片陷落征(fallenfragmentsign),此征在T2WI上顯示較清晰即在高信號的囊液中見低信號的骨片線條影。
4.增強掃描:病灶不強化。
治療原則
1.骨囊腫以手術治療為主。手術刮除、植骨,術中需徹底刮除纖維包膜,以防復發。
2.合併病理性骨折者,有時骨囊腫可自行癒合。若骨折癒合後,仍殘留囊腫,則應作手術。
3.對於兒童患者,可試用醋酸甲基強的松龍注入骨囊腫腔內。注射量40—200毫克,按囊腫的大小和兒童的年齡而定。
用藥原則:
1.骨囊腫病者以手術刮除植骨術治療為主。
2.近十多年來國內外有用醋酸甲基強的松龍囊腫腔內注射多次,藥量示囊腔大小和兒童年齡而定,一般用40—200mg,2個月1次。
輔助檢查
骨囊腫診斷根據臨床表現及X線攝片,一般可確診,查血伊紅細胞主要與嗜酸性肉芽腫相鑑別有關。住院手術病人,除基本檢查外,酌情選用可選檢查專案,一般無需特需檢查。
疾病治療
骨囊腫可自愈,特別是骨折後,囊可被新生骨填塞,目前有人主張在囊腔內注入甲荃淨的松龍,取得良好療效,每2月可重複注射1次,80-200mg,最多可注射7次,平均為2-3次即可,注射治療後,可恢復正常骨結構,對病理性骨折,按骨折治療原則治療,若囊腫仍存在,可作刮塗術,刮除應徹底,因為殘留囊壁是囊腫復發的主要原因,剝除後,植入碎骨片。
治療醫生必須完全肯定自己的診斷,並應對選擇的治療方法充滿信心,必須與骨腫瘤專家進行術前的諮詢、討論,因為治療方法有多種。當伴有病理性骨折時,保守治療,使骨折閉合性癒合是首選。有時病理骨折的的自然癒合也能解決骨囊腫自身病灶。經皮醋酸去甲基氫化可的松囊腔內注射1次/2月,1-3次治療後可獲得滿意效果。以2-5ml的MPA通過雙腔管注入骨囊腫腔內,消除靜脈內血腫、阻塞,並保持藥效長期作用,消除病因,為目前提倡的方法。
臨床醫師應避免盲目決定手術治療,遇到復發的或部位複雜的骨囊腫,最好轉院至骨科腫瘤中心。由於完全切除病灶,骨連續性損失太大,單純刮除手術套用較普遍,但復發率竟高達40%-45%。另外手術治療時,謹防損傷病灶附近的生長板,以免影響骨生長。
個案治療
1臨床資料
骨囊腫臨床資料A組是待病理性骨折癒合後再治療骨囊腫,共48例,年齡為6-43歲之間;男39例,女9例。肱骨上端20例,肱骨中段6例,股骨上端9例其中(5例髖內翻),遠端3例,股骨頸2例,橈骨遠端2例,尺骨遠端1例,脛骨上端4例,腓骨頭1例。B組是囊腫及骨折一併治療,共6例,男5例,女1例。肱骨3例,股骨上端1例,股骨頸2例。
2診斷主要通過X線片及病理來診斷。X線片示,多發生於長管狀骨的乾骺端,髓腔中心呈圓形或卵圓形的透光區,邊緣清晰而硬化,長軸與骨的長軸一致,多呈中心性生長,無骨膜反應,可見一銳利透光線橫過骨病損區。病理:囊內可有少量黃色或血性稀薄液體,囊腫壁內襯一薄層纖維組織,囊內可有骨嵴分隔。鏡下見囊壁由成纖維細胞、多核細胞和膠原纖維構成。
3治療方法A組48例中先採用小夾板、石膏固定,骨牽引,每周X片複查1次,待骨折癒合後再行囊腫開窗或開槽,徹底刮除囊腫組織後行植骨。股骨病損大的3例術後行骨牽引保護,
肱骨2例術後小夾板保護。B組骨折時立即行囊腫開窗或開槽,徹底刮除囊腫組織後行植骨,術中行內固定或外固定。肱骨3例行外支架固定,股骨上端1例無內翻畸形行鋼板固定,股骨頸2例無內翻畸形行中空釘固定。1.4結果A組術後隨訪1-8年,囊腫完全消失,未發現1例復發。B組術後隨訪1-6年,肱骨1例、股骨頸1例分別術後3年、5年囊腫復發並病理性骨折,分別行小夾板固定、骨牽引,骨折癒合後再行囊腫開窗病灶清除加植骨,治癒。肱骨1例骨折延遲癒合。
動型骨囊腫4討論
骨囊腫術後復發的相關因素
(1)囊腫的分型活動型骨囊腫和靜止型骨囊腫。骨囊腫發生在骺板或靠近骺板處稱活動型骨囊腫,骨囊腫發生在乾骺端或骨幹處,離開骺板稱靜止型骨囊腫。Neer將位於骺板5mm以內骨囊腫稱活動型骨囊腫,距骺板5mm以上骨囊腫稱靜止型骨囊腫。活動型骨囊腫有復發傾向,而靜止型骨囊腫一般不易復發。
(2)治療方法囊腫刮除是否徹底及植骨是否充分是復發重要因素之一。我們體會是囊腫開窗或開槽要大,囊壁內容物刮除徹底,尤其是囊腔的兩端及骨嵴凹陷處,骨嵴用圓形磨鑽磨除。隨後95%酒精燒灼殘腔壁,植骨填塞必須緻密,不留死腔。我們主張採用顆粒狀骨質植骨。
(3)年齡年齡越小,囊腫越易復發。
治療方案對預後的影響A組是等骨折癒合後,病變組織與正常組織分界清楚,容易徹底清除。骨痂大量生長,骨皮質較厚,骨強度增加,擴大開窗或開槽而不必擔心骨折、延遲癒合、甚至不癒合。骨囊腫患者在發生病理性骨折後,囊液流出囊腔,自然地降低囊腔內壓力,明顯改善骨髓血運。一方面減少滲出液瀦留,降低炎性因子白介素-1、前列腺E等含量,從而減少炎性因子刺激破骨細胞引起正常骨質吸收,降低了病灶骨的破壞,另一方面骨髓血運改善,刺激了成骨系統,促進新生骨形成,囊液刺激骨膜增強骨的形成,而且股骨上段骨囊腫並發病理性骨折所造成的髖內翻畸形經骨牽引治療骨折癒合後,髖內翻畸形已矯正。B組患者中,囊腔骨皮質本身較薄,骨強度低。骨折後,局部正常骨質丟失,如立即病灶清除,特別是擴大清除範圍,一方面容易造成骨質大量丟失,加重局部血運破壞,導致骨折延遲癒合甚至不癒合。
骨囊腫--保守治療而且骨強度明顯降低,須採用外固定支架或內固定物起加強作用,另一方面,骨折時局部組織腫脹囊液流出與血痂混合,瘤樣組織與正常組織界限不清,病灶清除時病變組織不易徹底清除且易造成正常骨質丟失,從而導致癒合慢且易復發。
治療方案的選擇骨囊腫治療手段很多,主要分為保守治療和手術治療兩種。保守治療包括激素注射、自體紅骨髓注射,手術治療包括鑽孔引流、病灶刮除加植骨術。部分骨囊腫患者在發生病理性骨折後囊腫能自愈。囊腫並發病理性骨折治療主要涉及兩個方面,骨折畸形矯正、固定及癒合,囊腫的根除。Deyoe等主張骨囊腫並病理性骨折優先採取保守治療。採用A組治療方案治療48例,其中髖內翻畸形5例、活動型骨囊腫8例,無一例復發,無一例骨折不癒合,骨折畸形矯正,採用B組治療方案治療6例,其中活動型骨囊腫1例、靜止型骨囊腫1例復發,後採用A組治療方案治癒。1例造成骨折延遲癒合,經綜合治療後才癒合,而且B組治療需採用內固定物或外固定物來維持固定。因此,對骨囊腫並病理性骨折患者,我們主張採用A組治療方案,這不僅有利於防止病灶復發及骨折不癒合,而且更具有經濟效應。
併發症
骨囊腫最常見的併發症是病理性骨折,當骨囊腫合併病理性骨折時,因囊內的液體流出致骨折片向囊腔內移位,這一徵象稱為“碎片陷落征”,是Reynolds氏提出的。
預防
本病目前病因尚未明了,暫無有效預防措施,故早期發現,早期診斷,早期治療是本病的防治關鍵。

