簡介
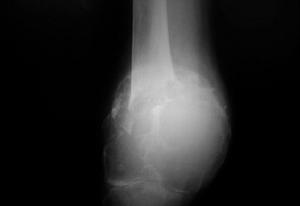
病理性骨折X片內分泌紊亂由甲狀旁腺腺瘤或增生引起的甲狀旁腺功能亢進,可導致骨的脫鈣及大量破骨細胞堆積,骨小梁為纖維組織所取代。此時雖有新骨形成,但只能形成纖細的編織骨或非鈣化的類骨組織,而極易發生多發性病理性骨折。
骨的發育障礙有多種屬於這類的先天性骨疾患可以引起病理性骨折。例如先天性成骨不全,為一種常染色體顯性遺傳性疾病,在胎兒或兒童時期發病,乃由於先天性間充質發育缺陷,不易分化為骨母細胞,同時骨母細胞合成骨基質中Ⅰ型膠原纖維障礙,因此長骨骨皮質很薄,骨細而脆,極易發生多發性病理性骨折,故又稱為脆性骨綜合徵。而骨折後新形成的骨痂為軟骨性,或為纖維性,難以發生骨化。病理性骨折時,骨的原有病變往往使骨折癒合遲緩,甚至幾乎沒有修復反應。也常使骨原有病變的組織學圖像發生改變或複雜化。
病因
1.骨的原發性或轉移性腫瘤是病理性骨折最常見的原因,特別是溶骨性的原發或轉移性骨腫瘤。原發性骨腫瘤如多發性骨髓瘤、骨巨細胞瘤及溶骨性成骨肉瘤等;屬於轉移性骨腫瘤的如轉移性腎癌、乳腺癌、肺癌、甲狀腺癌及神經母細胞瘤等。不少原發性和轉移性骨腫瘤有時因病理性骨折後才被發現。
2.骨質疏鬆(osteoporosis)老年、各種營養不良和內分泌等因素可引起全身性骨質疏鬆,表現為骨皮質萎縮變薄,骨小梁變細、數量減少。主要影響脊椎骨、股骨頸、掌骨等。老年尤其是絕經後老年婦女胸、腰椎壓縮性骨折,股骨頸、肱骨上端及橈骨下端骨折較為多見。肢體癱瘓、長期固定或久病臥床等可引起局部廢用性骨質疏鬆而造成骨折。
3.內分泌紊亂由甲狀旁腺腺瘤或增生引起的甲狀旁腺功能亢進,可導致骨的脫鈣及大量破骨細胞堆積,骨小梁為纖維組織所取代。此時雖有新骨形成,但只能形成纖細的編織骨或非鈣化的類骨組織,而極易發生多發性病理性骨折。
4.骨的發育障礙有多種屬於這類的先天性骨疾患可以引起病理性骨折。例如先天性成骨不全(osteogenesisimperfecta),為一種常染色體顯性遺傳性疾病,在胎兒或兒童時期發病,乃由於先天性間充質發育缺陷,不易分化為骨母細胞,同時骨母細胞合成骨基質中Ⅰ型膠原纖維障礙,因此長骨骨皮質很薄,骨細而脆,極易發生多發性病理性骨折,故又稱為脆性骨綜合徵(brittlebonesyndrome)。而骨折後新形成的骨痂為軟骨性,或為纖維性,難以發生骨化。
病理性骨折時,骨的原有病變往往使骨折癒合遲緩,甚至幾乎沒有修復反應。也常使骨原有病變的組織學圖像發生改變或複雜化。
診斷檢查
病理性骨折影像1、直接暴力直接作用使受傷部位發生病理性骨折,常伴有不同程度軟組織損傷。如車輪撞擊小腿,於撞擊處發生脛排骨骨幹病理性骨折。
2、間接暴力通過傳導、槓桿、鏇轉和肌收縮使肢體遠處發生病理性骨折,如跌倒時以手掌撐地,暴力向上傳導,依其上肢與地面的角度不同,力的傳導可致燒骨遠端病理性骨折或肱骨髁上病理性骨折,驟然跪倒時,股四頭肌猛烈收縮,可致髕骨病理性骨折。
3、積累性勞損長期、反應、輕微的直接或間接損傷可致使肢體某一特定部位病理性骨折,如遠距離行軍易致第二、三跖骨及腓骨下1/3骨幹病理性骨折,成為疲勞性病理性骨折。
1、詢問傷情
包括受傷原因、時間、地點、受傷時身體姿勢及何部先著地,如有創口或出血,還應詢問創口處理經過,是否用過止血帶及上止血帶時間。
2、全面體檢
注意有無休克、軟組織傷、出血、檢查創口大小、形狀、深度及污染情況。有無骨端外露,有無神經、血管、顱腦、內臟損傷及其他部位的骨折。對嚴重傷員必須快速進行。
症狀體徵
休克、軟組織傷、出血、骨折。治療方案
病理性骨折損傷2、對局部良性腫瘤所致者,可行腫瘤切除(或刮除)加植骨術,腫瘤範圍廣泛者則需行截除術,並酌情考慮修補性手術。
3、因惡性腫瘤所致者,如全身無轉移,可根據腫瘤的性質、病程、分期及全身與局部情況酌情行廣泛性或根治性手術。對已有全身轉移者,可考慮選用藥物或放射療法,局部予以適當固定,以減少患者痛苦。
4、因成骨不全、畸形性骨炎等疾病所致者,局部以非手術療法為主。如施行手術治療,則應充分考慮由於骨質本身結構異常和整個肢體畸形所帶來的困難。
5、X線檢查除正、側位X線攝片外,尚應根據傷情拍攝特殊體位相,如開口位(上頸椎損傷)、動力性側位(頸椎)、軸位(舟狀骨、跟骨等)和切線位(髕骨)等。複雜的骨盆骨折或疑有椎管內骨折者,尚應酌情行體層片或CT檢查。
造成各種不同移位的影響因素為:
a、外界暴力的性質,大小和作用方向。
b、肌肉的牽拉,不同病理性骨折部位、由於肌肉起止點不同。肌肉牽拉造成不同方向移位。
c、病理性骨折遠側段肢體重量的牽拉,可致病理性骨折分離移位。
d、不恰當的搬運或治療。
病理性骨折常由較嚴重的創傷所致。在一些複雜的損傷中,有時病理性骨折本身並不重要,重要的是病理性骨折伴有或所致重要組織或重要器官損傷,常引起嚴重的全身反應,甚至危及病人的生命。病理性骨折治療過程中出現的一些併發症,將嚴重地影響病理性骨折的治療效果,應特別注意加以預防並及時正確予以處理。
併發症狀
病理性骨折簡易保護方法2、脂肪拴塞綜合症發生於成人,是由於病理性骨折處髓腔內血腫張力過大,骨髓被破壞,脂肪滴進入破裂的靜脈竇內,可引起肺、腦脂肪栓塞,亦有人認為是由於創傷的應激作用,使正常血液中的乳糜微粒失去乳化穩定性,結合成直徑達10—20vm的脂肪球而成為栓子,阻塞肺毛細血管。同時,在肺灌注不良時,肺泡饃細胞產生脂肪酶,使脂肪栓子中的整形脂肪小滴水解成甘油與游離脂肪酸,釋放兒茶酚胺,損傷毛細血管壁,使富於蛋白質的液體漏至肺間質和肺泡內,發生肺出血,肺不張和低血氧,臨床上出現呼吸功能不全,發紺、胸部拍片有廣泛性肺實變。動脈低血氧可致煩燥不安。嗜睡、甚至昏迷和死亡。
3、重要內臟器官損傷:
a、肝、脾破裂:嚴重的下胸壁損傷,除可致肋骨病理性骨折外,還可能引起左側的脾或右側的肝破裂出血,導致休克。
b、肺損傷:肋骨病理性骨折時,病理性骨折端可使肋間血管及肺組織損傷,而出現氣胸、血胸或血氣胸,引起嚴重的呼吸困難。
c、膀胱和尿道損傷:由骨盆病理性骨折所致,引起尿外滲所致的下腹部、會陰疼痛、腫脹以及血尿、排尿困難。
d、直腸損傷:可由骶尾骨病理性骨折所致。而出現下腹部疼痛和直腸內出血。
4、重要周圍組織損傷:
a、重要血管損傷:常見的有股骨髁上病理性骨折,遠側病理性骨折端可致蟈動脈損傷。脛骨上段病理性骨折的脛前或經後動脈損傷,伸直型肱骨髁上病理性骨折,側病理性骨折端易造成肱動脈損傷。
b、周圍神經損傷:特別是在神經與其骨緊密相鄰的部位如骨中、下1/3交界處極易損傷緊貼肱骨行走的蹺神經。腓骨頸病理性骨折易致腓總神經損傷。
c、脊髓損傷:為脊柱病理性骨折和脫位的嚴重併發症,多見於脊椎頸段和胸腰段。出現損傷平面以下的截癱,,雖有不少關於脊髓損傷再生的研究,尚未取得突破性進展,脊髓損傷所致的截癱可導致終身殘廢。
5、骨筋膜室綜合症即由骨、骨間膜、肌間隔和深筋膜形成的骨筋膜室內筋肉和神經因急性缺血而產生的一系列早期症候群。最多見於前臂掌側和小腿,常由創傷病理性骨折的血腫和組織水腫使其室內內容物體積增加或外包紮過緊、局部壓迫使股筋膜室容積見效而導致骨筋膜室內壓力增高所致,當壓力達到一定程度(前臂8.7kPa(65mmHg)小腿7.3kPa(55mmHg)可使供應肌肉的動脈關閉,形成缺血—水腫—學血的惡性循環,根據缺血的不同程度而導致
a、瀕臨缺血性肌攣縮—缺血早期,及時處理恢復血液供應後,可不發生或僅發生極小量肌肉壞死,可不影響肢體功能。
b、缺血性肌攣縮—較短時間或程度較重的不完全缺血,恢復血液供應後大部分肌肉壞死。形成攣縮畸形,嚴重影響患肢功能。
c、壞疽—廣泛、長時間完全缺血,大量肌肉壞疽,常需截肢,如有大量毒素進入血循環,還可致休克、心率不齊和急性腎衰竭。
健康保健
病理性骨折2、開放性骨折應及時徹底清創,並酌情選用抗生素防止感染,同時給予破傷風抗毒血清注射。
3、骨折後力爭早期復位固定。
4、忌用食物辣椒、生蔥、芥末、胡椒,酸辣、燥熱、油膩之物;應給予介於正常飲食和半流質飲食之間所謂軟飯菜,供給的食物必須少含渣滓,便於咀嚼和消化,烹調時須切碎煮軟,不宜油煎、油炸。
注意事項
1、優先處理危及生命的併發症(休克、大出血、脂肪栓塞等)及內臟傷(顱腦、胸、腹、骨盆等),待病情穩定後再處理骨折,但骨折局部應予臨時固定。2、開放性骨折應及時徹底清創,並酌情選用抗生素防止感染,同時給予破傷風抗毒血清注射。
3、骨折後力爭早期復位固定。

