基本概述
閉合性骨折臨床上閉合性骨折處有假甘關節活動,稱為閉合性骨折不化癒合或骨不連線。閉合性骨折不癒合多由於閉合性骨折端間較多軟組織,開放性閉合性骨折性創時去除的骨片較多造成的骨缺損,多次手術對骨的血液供應破壞較大等因素所致。閉合性骨折不癒合,不可能再通過延長治療時間而達到癒合,而需切除硬化骨,打通骨髓腔,修復骨缺損。一般需行植骨、內固定,必要時還需加用石膏繃帶外固定予以治療。
帶血管蒂的骨膜和骨移植以及吻合血管的游離骨膜和骨移植已成為治療閉合性骨折不癒合的重要方法。近年來也套用低頻電磁場治療無骨質缺損的閉合性骨折不癒合成功者,可使某些病例免去手術。閉合性骨折畸形癒合即閉合性骨折癒合的位置未達到功能復位的要求,存在成角、鏇轉或重疊畸形,畸形癒合可能由於閉合性骨折復位不佳,固定不牢固或過早地拆除固定,受肌肉牽拉,肢體重要和不恰當的負重的影響所致。
畸形較輕,對功能影響不大者,可不予處理,畸形明顯影響肢體功能者需行矯正,如閉合性骨折癒合時間在2—3個月,骨痂尚不堅固,可在麻醉下行手法折骨,將其在閉合性骨折處折斷,重新復位和固定,使其在良好的位置癒合,如閉合性骨折癒合已很堅固,則應行截骨矯形術。
診斷檢查
閉合性骨折a、畸形、閉合性骨折段移位可使患肢外形發生改變,主要表現為縮短、成角或鏇轉畸形。
b、異常活動:正常情況下肢體不能活動的部位,閉合性骨折後出現不正常的活動。
c、骨擦音或骨擦感:閉合性骨折後,兩閉合性骨折端相互摩擦時,可產生骨擦音或骨擦感。具有以上三個閉合性骨折特有體徵之一者,即可診斷為閉合性骨折。但閉合性骨折的異常活動和骨擦音感應在初次檢查病人時予以注意,不可故意反覆多次檢查,以免加重周圍組織損傷特別是重要的血管、神經損傷,值得注意的是,有些閉合性骨折如裂縫閉合性骨折和嵌插閉合性骨折,可不出現上述三個典型的閉合性骨折特有體徵,應常規進行X線拍片檢查,以便確診。
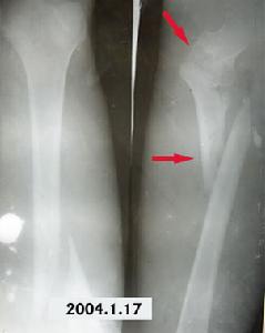
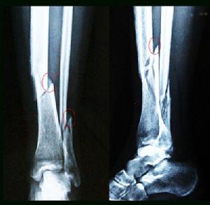
閉合性骨折的X線檢查X線檢查對閉合性骨折的診斷和治療具有重要價值。凡疑為閉合性骨折者應常規進行X線拍片檢查,可以顯示臨床上難以發現的不完全性閉合性骨折,深部的閉合性骨折、關節內閉合性骨折和小的撕脫性閉合性骨折等。即使臨床上已表現為明顯閉合性骨折者,X線拍片檢查也是必要的,可以幫助了解閉合性骨折的類型和閉合性骨折端移位的情況,對於閉合性骨折的治療具有重要指導意義。
閉合性骨折的X線檢查一般應拍攝包括臨近一個關節在內的正、側位片,必要時並拍攝特殊位置的X線片,如掌骨和跖骨拍正位及斜位片,跟骨拍側位和軸心位,腕舟狀骨拍正位和蹀位,有時不遺確定損傷情況時,尚需拍對側肢體相應部位的X線片,以便進行對比,值得注意的是,有些輕微的裂縫閉合性骨折,急診派片未見明顯閉合性骨折線如臨床症狀較明顯者,應於傷後2周拍片複查,此時,閉合性骨折端的吸收常可出現閉合性骨折線,如腕舟骨閉合性骨折。
組織修復
閉合性骨折b、重要軟組織修復:肌腱、神經、血管等重要組織損傷,應爭取在清創時採用合適的佛祖予以修復,以便早日恢復肢體功能。
c、創口引流:用矽膠管,置於創口內最深處,從正常皮膚處穿出體外,並接以負壓引流瓶,於24—48小時候拔除。必要時,在創口閉合前可將抗生素或抗生素緩釋劑置入創口內。
閉合創口
閉合性骨折a、直接縫合:皮膚無明顯缺損者,多能直接縫合,垂直越過關節的創口,雖然沒有皮膚缺損,也不宜直接縫合,以免創口瘢痕攣縮,影響關節的活動,應採用Z字成形術予以閉合。
b、減張縫合和植皮術:皮膚缺損,創口張力較大,不能直接縫合,如周圍皮膚及軟組織損傷較輕,可在創口一側或兩側作與創口平行的減張切口。縫合創口後,如減張切口可以縫合者則直接縫合,否則於減張缺口處植皮,如創口處皮膚缺損,而局部軟組織床良好,無骨和神經、血管等重要組織外露,亦可在創口出直接植皮。
c、延遲閉合:第三度開放性骨折,軟組織損傷嚴重,一時無法文化確定組織壞死情況,感染的機會較大,清創後,可將周圍軟組織覆蓋骨折處,敞開創口,用無菌敷料濕敷,觀察3—5天,可再次清創,徹底切除失活組織,進行游離植皮,如植皮困難,可用皮瓣移植覆蓋。
d、皮瓣移植:伴有廣泛軟組織損傷的第三度開放性骨折,骨折處外露,缺乏軟組織覆蓋,機易導致感染,應設法將視窗用各種不同的皮瓣加以覆蓋,如局部轉移皮花瓣,帶血管蒂島狀皮瓣吻合血管的游離皮瓣移植等。
治療方案
閉合性骨折(1)手法復位
1)四肢大多數新鮮穩定骨折,均可採用手法復位及外固定。
2)麻醉,可酌情選用局麻、神經阻滯麻醉或全身麻醉等。
3)按上述的復位與固定原則進行。
(2)持續牽引
1)股骨骨折、不穩定性脛腓骨骨折、手法復位困難或嚴重腫脹的肱骨髁上骨折等,宜用持續牽引復位治療。
2)小兒骨折可採取皮牽引。4周歲以內幼兒股骨幹骨折,可採用Bryant懸吊牽引;12歲以上兒童可用骨牽引,但應注意勿損傷骨骺。
3)在持續牽引的同時可加用石膏托或小夾板固定,以糾正骨折端側方移位和成角畸形。
4)持續牽引至骨折端出現纖維性癒合及較為穩定(一般3~4周)後可改用石膏管型、石膏托或小夾板固定,亦可持續牽引至骨折臨床癒合。
2、適應證
(1)手法不能復位的骨折,例如骨折端有軟組織嵌入以及某些關節內骨折。
(2)手法復位固定不能保持對位者,如有移位的髕骨骨折、尺骨鷹嘴骨折等。
(3)合併神經、血管損傷需要手術探查者。
(4)某些部位的骨折內固定有明顯優越性者,如股骨幹中、中上及中下1/3橫形骨折、股骨頸骨折等或同一骨骼多段骨折用閉合復位及外固定無法兼顧者。
(5)骨折畸形癒合影響功能者。
(6)同一肢體多發骨折。
(7)對小兒骨折行手術復位及內固定術應持慎重態度,切勿損傷骨骺。
3、術前準備
(1)按一般手術前常規處理。
(2)根據具體情況選擇內固定器材,如適當規格和大小的鋼板、螺釘及髓內釘等。在同一創口內只許用同種金屬製造的內固定器材,以免發生電解作用,影響骨折癒合。
4、注意
(1)嚴格無菌操作,儘量少剝離骨膜。
(2)選擇與骨折類型、部位等相適合的內固定物,如髓內釘、Ender釘、鋼板、鋼絲、螺絲釘、螺栓、克氏針及縫合線等。
(3)術中再次觀測內固定物與骨折端的解剖特點是否適應,如髓內釘的直徑和髓腔是否一致。
(4)內固定物欠牢固者,術後應輔以確實外固定直至臨床癒合,內固定物牢固者術後可根據情況決定是否以石膏托保護。髖部內固定後可輔以皮牽引或穿木板鞋,以防患肢外鏇。
5、術後處理
(1)按一般手術後常規處理。
(2)定期X線拍片觀察內固定物的位置及骨折癒合情況。內固定物有滑出、變位者應設法糾正,癒合延遲者應予以確實外固定。
