疾病概述
肩關節脫位肩關節的關節盂小,肱骨頭大並且其活動範圍大,故穩定性差,易發生脫位。脫位可由直接暴力和間接暴力引起。根據受傷的時間可分為新鮮脫位和陳舊性脫位;根據肱骨頭脫出的位置又分為前脫位和後脫位。而前脫位最多見,並可分為盂下、喙突下、鎖骨下和胸腔內脫位。
臨床表現,肩部腫脹疼痛,功能障礙,呈“方肩”畸形,搭肩試驗陽性。X線片可確診並可除外有無合併骨折。治療,急取儘早復位。復位手法有拔伸足蹬法、椅背整復法、拔伸托入法、牽引迴旋法等。復位後用繃帶將上臂固定於胸壁,前臂懸吊於胸前2-3周。固定期間做肘、腕、手指關節的屈伸鍛鍊。
肩關節脫位最常見,約占全身關節脫位的50%,這與肩關節的解剖和生理特點有關,如肱骨頭大,關節盂淺而小,關節囊鬆弛,其前下方組織薄弱,關節活動範圍大,遭受外力的機會多等。肩關節脫位多發生在青壯年、男性較多。肩關節是全身大關節中運動範圍最廣而結構又最不穩定的一個關節,外傷時很容易引起脫位,在全身關節脫位的發生率中,肩關節居第二位,它可分為前脫位與後脫位兩種,常見的是前脫位。
疾病病因
肩關節脫位肩關節脫位分前脫位和後脫位兩種。以前者多見,多因間接暴力所引起。如當上肢外展、外鏇及後伸時,手或肘部著地,暴力即沿肱骨縱軸向近側端衝擊,肱骨頭突破關節囊前壁或自下方脫出,移位至喙突下或鎖骨下方。肩關節脫位多見於青壯年及男性中學生,有的病人還伴有肩部骨折。
肩關節脫位多由傳達暴力或槓桿作用所致,一般來說,側方跌倒,手掌著地,軀幹傾斜,肱骨幹高度外展、外鏇位,由手掌傳達到肱骨間的外力可衝破關節囊的前壁,向前滑出,造成肩關節前脫位;當肩關節前方受到衝擊時,可使肱骨頭向後衝破關節囊造成肩關節後脫位,此時,肱骨頭強力過度內鏇亦可造成肩關節後脫位。肩關節後脫位臨床較為少見。
臨床表現
肩關節脫位病人多採用坐位,頭偏向傷側,傷肩下垂,輕度外展,肘屈曲,並用健側手托著傷側前臂的姿勢,肩部變平,肩峰突出,腋前皺壁下降,呈方肩。檢查時,當患側肘部靠近胸壁時,患側手指不能摸到對側肩峰部,醫學士稱此為“杜加氏征陽性”。局部腫痛,在喙突下或鎖骨下可摸到肱骨頭,肩關節活動受限。主要表現為:
1、一般表現:
外傷性肩關節前脫位主要表現為肩關節疼痛,周圍軟組織腫脹,關節活動受限。健側手常用以扶持患肢前臂,頭傾向患肩,以減少活動及肌牽拉,減輕疼痛。傷肩腫脹,疼痛,主動和被動活動受限。患肢彈性固定於輕度外展位,常以健手托患臂,頭和軀幹向患側傾斜。
肩關節脫位2、局部特異體徵
①彈性固定:上臂保持固定在輕度外展前屈位,任何方向上的活動都會導致疼痛;Dugas征陽性:患肢肘部貼近胸壁,患手不能觸及對側肩,反之,患手已放到對側肩,則患肢不能貼近胸壁;
②畸形:從前方觀察患者,患肩失去正常飽滿圓鈍的外形,呈“方肩”畸形,肩峰到肱骨外上髁的距離多增加;肩三角肌塌陷,呈方肩畸形,在腋窩,喙突下或鎖骨下可觸及移位的肱骨頭,關節盂空虛。
疾病檢查
肩關節脫位--檢查1.“A”項檢查即可診斷。
2.需手術復位者,則要選擇檢查框限“A”和“B”。
診斷依據
1.有肩部或上肢外傷史。
2.根據上述症狀和體徵。
3.X線攝片可明確脫位類型及有無骨折。
治療原則
1.手法復位:足蹬法(Hippocrater)鏇轉法(Kocher),外展復位法(Milch)。切開復位:手法復位失敗者;或伴骨折或肌腱嵌頓者;陳舊性或習慣性脫位者。
2.固定:肩關節內收內鏇,屈肘90°,腋窩處置一大棉墊,用膠布及繃帶環形固定,前臂用三角巾懸吊三周。
3.功能鍛鍊:解除固定後主動活動肩關節,配合理療和體療。
治療方法
肩關節脫位--手術復位脫位後應儘快復位,選擇適當麻醉(臂叢麻醉或全麻),使肌肉鬆弛並使復位在無痛下進行。老年人或肌力弱者也可在止痛劑下(如75-100毫克杜冷丁)進行。習慣性脫位可不用麻醉。復位手法要輕柔,禁用粗暴手法以免發生骨折或損傷神經等附加損傷。常用復位手法有三種。
(1)足蹬法(Hippocrate`s法)。
(2)科氏法(Kocher`s法)。
(3)牽引推拿法。
2.手術復位。有少數肩關節脫位需要手術復位,其適應症為:肩關節前脫位並發肱二頭肌長頭肌腱向後滑脫阻礙手法復位者;肱骨大結節撕脫骨折,骨折片卡在肱骨頭與關節盂之間影響復位者;合併肱骨外科頸骨折,手法不能整復者;合併喙突、肩峰或肩關節盂骨折,移位明顯者;合併腋部大血管損傷者。
3.習慣性肩關節前脫位的治療。習慣性肩關節前脫位多見於青壯年,究其原因,一般認為首次外傷脫位後造成損傷,雖經復位,但未得到適當有效的固定和休息。用手術治療,目的在於增強關節囊前壁,防止過分外鏇外展活動,穩定關節,以避免再脫位。手術方法較多,較常用的有肩胛下肌關節囊重疊縫術(Putti-Platt氏法)和肩胛下肌止點外移術(Magnuson氏法)。
用藥原則:
1.手法復位時需用止痛藥,鎮靜藥或麻醉藥。
2.手術復位時用抗生素防感染。
3.可輔以中藥活血化瘀,消腫止痛,如桃紅四物湯等。
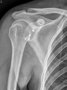
影像學表現
X線徵象是構成肩關節的肩腫骨、肩盂和肱骨頭的兩關節面失去正常平行的關係。按肱骨頭分離的程度和方向,分為以下幾型:
1.肩關節半脫位
關節間隙上寬下窄。肱骨頭下移,尚有一半的肱骨頭對向肩盂。
2.肩關節前脫位
最多見。其中以喙突下脫位尤為常見。正位片可見肱骨頭與肩關節脫位
肩盂和肩胛頸重疊,位於喙突下0.5cm-1.0cm處。肱骨頭呈外鏇位,肱骨幹輕度外展。肱骨頭鎖骨下脫位和盂下脫位較少見。
3.肩關節後脫位
少見。值得注意的是正位片肱骨頭與肩盂的對位關係尚好,關節間隙存在,極易漏診。只有在側位片或腋位片才能顯示肱骨頭向後脫出,位於肩盂後方。
病人護理
肩關節脫位--病人護理急性肩關節脫位,應及早復位和固定,防止再次脫位和形成習慣性脫位,如離醫院近者可送醫院。如不能去醫院,可由他人先試行復位,復位方法如下:
1.患者仰臥於床上或桌子上,長條椅子上也可以,術者站於患側,雙手握住患側手腕部,將足跟伸入患者腋下,蹬其附近胸壁,右肩用右足左肩用左足,徐徐牽引患肢的同時將患肢內外鏇轉。當聽到“咯噔”聲響時,即表示已復位。
2。術者—手握住傷員前臂,使肘關節屈至90度,另一手握住肱骨下端,持續牽引並輕度外展。然後逐漸將上臂外鏇,在上臂外展外鏇牽引的情況下,逐漸將上臂內收,使肘關節沿胸壁移至中線,再將上臂內鏇。當聽到“咯噔”聲時,即表示已復位。復位後,即將患肢手置於對側肩上,肘貼胸壁用繃帶固定,外用膠布加強,防止鬆脫。3-4周后拆除固定,並逐步練習肩關節活動。
注意事項
1.檢查病人時,應注意是否有骨折、神經、血管損傷。有條件的可做X線拍片檢查。
2.復位後的固定時間要充分。
3.不能過早的活動肩關節。

