病因
肱骨髁上骨折多系間接暴力所致。肱骨髁上骨折多發生於運動傷、生活傷和交通事故。通常將骨折分為伸直型和屈曲型,根據骨折移位情況伸直型又分為伸直尺偏型和伸直橈偏型。
臨床表現
患者多見於兒童,有外傷史,傷後肘關節局部不能活動,腫脹明顯。肘部骨性三角關係存在,表示未脫位。肘處於半屈位,肘窩飽滿。有時可在肘窩觸到肱骨骨折端。如因腫脹、疼痛重無法做仔細檢查,應迅速拍X線正、側位片以確定骨折及移位情況。
在5~6歲以下的兒童,肱骨髁上骨折應注意和肱骨遠端全骺分離相鑑別。因肱骨小頭的骨化中心在1歲左右出現,而滑車的骨化中心在10歲左右才出現,故骨骺全分離在X線片無骨折線,橈骨縱軸線與肱骨小頭關係不改,但與肱骨下端關係改變,肘部腫脹,環周壓痛。單純肱骨小頭骨折,則在X線片上可以發現橈骨縱軸線不通過肱骨小頭而確診。在診斷中應注意橈動脈搏動及正中神經的功能。
伸直型肱骨髁上骨折的特點是:骨折線位於肱骨下段鷹嘴窩水平或其上方,骨折的方向為前下至後上,骨折向前成角,遠折端向後移位。屈曲型肱骨髁上骨折的骨折線可為橫斷,骨折向後成角,遠折端向前移位或無明顯移位。
檢查
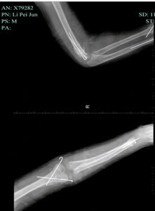
本病的輔助檢查方法主要是X線檢查:對患者使用X線檢查時,除正、側位X線攝片外,尚應根據傷情拍攝特殊體位相,尚應酌情行體層片或CT檢查。
診斷
主要依據以下內容:
1.外傷史
以生活及運動意外為多發,且多見於學齡前兒童。
2.臨床表現
以肘部腫脹(多較明顯)、劇痛及活動受限為主,並應特別注意有無血管損傷。
3.影像學檢查
常規正、側位X線片即可確診及分型。
鑑別診斷
肱骨髁上骨折主要需與肘關節脫位鑑別。
併發症
1.Volkmann缺血性肌攣縮
是肱骨髁上骨折常見而嚴重的併發症。其早期症狀為劇烈疼痛,橈動脈搏動消失或減弱,末梢循環不良,手部皮膚蒼白髮涼,被動伸直屈曲手指時引起劇痛等。應立即將肘伸直,松解固定物及敷料,經短時間觀察後血運無改善者,應及時探查肱動脈。痙攣的動脈可用溫鹽水濕敷,動脈用普魯卡因封閉。確有血管損傷者,應行修補手術。前臂腫脹加重,骨筋膜間室壓力高者,應切開骨筋膜室減壓。
2.肘內翻
是常見的髁上骨折晚期畸形,發生率達30%。在整復骨折復位後1周,拍X線正位片,根據骨痂在骨折端內、外分布情況預測肘內翻發生與否。若預知有肘內翻發生,在充分麻醉下手法輕揉折骨矯正於伸直位固定。肘內翻畸形並不影響肘關節的伸屈活動,但影響外觀及患者心理。畸形超過20°以上,傷後1~2年畸形穩定則可行肱骨髁上外側楔形截骨術矯正。
3.肘外翻
肘外翻很少發生,可見於肱骨外髁骨折復位不良病例。嚴重時引起尺神經炎,應及早行神經前移或截骨矯正術。
4.神經損傷
正中神經損傷較多見,橈神經及尺神經損傷少見,主要因局部壓迫、牽扯或挫傷,斷裂者少見。隨著骨折整復大多數於傷後數周內可自行恢復,若傷後8周仍無恢復,可考慮手術探查並做適當處理。
5.骨化性肌炎
在功能恢復期,強力被動伸屈肘關節,可導致關節周圍出現大量骨化塊,致使關節又腫脹,主動屈伸活動逐漸減少。遇此種情況,應制動數周,以後再重新開始主動練習關節屈伸活動。在兒童很少有手術切除增生骨性組織的必要。
治療
本病的治療需根據病情的不同給於相應的治療:
1.青枝骨折
骨折端無移位,若前傾角消失,不需復位;前傾角增大,在臂叢麻醉或全麻下,輕柔手法復位,長臂石膏固定於功能位3~4周。
2.有移位的骨折
在臂叢或全麻下手法復位,長臂石膏固定4~6周。
3.牽引治療
適用於骨折超過24~48小時,軟組織嚴重腫脹,已有水皰形成,不能手法復位,或復位後骨折不穩定者。
4.手術治療
適用於手法復位失敗者;開放性骨折;骨折合併血管損傷者;骨不連;骨折畸形連線或肘內、外翻畸形嚴重者,可行截骨術矯正。
5.缺血性攣縮
關鍵是早期診斷和預防。對出現5“P”征者,首先復位骨折、解除壓迫因素。仍無改善者,即應早期探查、修復血管,必要時行筋膜間室切開減壓。

