疾病名稱
屈曲型肱骨髁上骨折
疾病概述
肱骨髁上骨折是指肱骨幹與肱骨髁交界處發生的骨折。肱骨幹肘線與肱骨髁肘線之間有30度—50度的前傾角,這是容易發生肱骨髁上骨折的解剖因素。多發於10歲以下兒童。 根據暴力來源及方向可分為伸直型和屈曲型。
疾病分類
普通外科
疾病描述
多為間接暴力引起。跌倒時,肘關節處於屈曲位,肘後方著地,暴力傳導致肱骨下端導致骨折。
症狀體徵
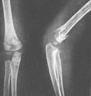
受傷後,局部腫脹,疼痛,肘後吐起,皮下淤斑。檢查可發現肘上方壓痛,後方可捫到骨折端,X線拍片可發現骨折的存在及典型的骨折移位,即近折端向後下移位,遠折端向前移位,骨折線呈由前上斜向後下的斜形骨折。由於肘後方軟組織較少,折端銳利,可刺破皮膚形成開放骨折,由於暴力作用的方向及跌倒時的體位改變,骨折可出現尺側或蹺側移位。少有合併神經血管損傷。
疾病病因
多為間接暴力引起。跌倒時,肘關節處於屈曲位,肘後方著地,暴力傳導致肱骨下端導致骨折。
病理生理
多為間接暴力引起。跌倒時,肘關節處於屈曲位,肘後方著地,暴力傳導致肱骨下端導致骨折。
併發症
一、前臂骨筋膜室綜合徵
伸直型肱骨髁上骨折由於近折端向前下移位,極易壓迫肱動脈或刺破肱動脈,加上損傷後的組織反應,局部腫脹嚴重,均會影響遠端肢體血循環,導致前臂骨筋膜室綜合徵。表現為前臂高張力腫脹,手指主動活動障礙,被動活動劇烈疼痛,橈動脈搏動捫不清,手指皮溫降低,感覺異常。如一確診,應緊急手術,切開前臂掌、背側深筋膜,充分減壓,同時給與脫水、擴張血管藥物治療,可預防發生。
二、缺血性肌攣縮
如前臂骨筋膜室綜合徵未能及時診斷治療,可導致缺血性肌攣縮,嚴重影響手的功能和肢體的發育。如已經出現5P征疼痛(pain)、蒼白(pallor)、感覺異常(paresthesia)、麻痹(paralysis)、無脈(pulselessness),即便手術減壓也難以避免缺血性肌攣縮。
診斷檢查
受傷後,局部腫脹,疼痛,肘後吐起,皮下淤斑。檢查可發現肘上方壓痛,後方可捫到骨折端,X線拍片可發現骨折的存在及典型的骨折移位,即近折端向後下移位,遠折端向前移位,骨折線呈由前上斜向後下的斜形骨折。由於肘後方軟組織較少,折端銳利,可刺破皮膚形成開放骨折,由於暴力作用的方向及跌倒時的體位改變,骨折可出現尺側或蹺側移位。少有合併神經血管損傷。 治療的基本原則與伸直型肱骨髁上骨折相同,但手法復位的方向相反,在肘關節屈曲40度左右行外固定,4~6周后開始主動練習肘關節屈伸活動。 兒童期肱骨髁上骨折復位時,橈側或尺側移位未得到糾正,或合併了骨骺損傷,骨折癒合後,可出現肘內、外翻畸形。不嚴重的畸形可在兒童生長發育過程中逐漸得到糾正,經過觀察,畸形有加重的趨勢,合併有功能障礙者,在12~14歲時,可作肱骨下端截骨矯正術。術中注意橈神經和尺神經的牽拉損傷,可先解剖神經,再作截骨矯正術。
疾病治療
伸直型
1、手法復位外固定:受傷時間短,局部腫脹輕,沒有血循環障礙者可進行。復位後用後側石膏托在屈肘位固定4—5周,X線證實骨折癒合良好即可開始功能鍛鍊。傷後時間較長,骨折部出現嚴重腫脹者應臥床休息,抬高患肢,或用尺骨鷹嘴懸吊牽引,加強手指活動,待腫脹消退後進行手法復位。
2、手術治療:手法復位失敗、小的開放傷口污染不重、有血管神經損傷可選擇手術治療。
3、術後治療:無論手法復位還是切開復位,術後應嚴厲觀察肢體血循環及手的感覺、運動功能。伸直型肱骨髁上骨折嚴重併發症為前臂骨筋膜室綜合徵,可導致缺血性肌攣縮,嚴重影響手的功能和發育。一旦確定骨筋膜室高壓存在應緊急手術充分減壓,附以藥物治療則可能預防前臂缺血性肌攣縮的發生。
屈曲型
治療基本原則與伸直型基本相同但手法復位方向相反。在肘關節屈曲40度左右行外固定,4—6周后開始主動練習肘關節屈伸活動。
兒童期肱骨髁上骨折復位時,橈側或尺側移位未得到糾正或合併嚴重骨骺損傷,骨折癒合後可出現肘內外翻畸形。經過觀察畸形有加重的趨勢合併有功能障礙者可在12—14歲時行肱骨下端截骨矯正術。
疾病預防
避免創傷。
用藥安全
肱骨髁上骨折多發生10歲以下兒童,成年人很少見。

