疾病概述
頜骨囊腫疾病分類
頜骨囊腫1.根尖周囊腫:是由於根尖肉芽腫,慢性炎症的刺激,引起牙周膜內的上皮殘餘增生,增生的上皮團中央發生變性與液化,周圍組織液不斷滲出。逐漸形成囊腫。如果根尖肉芽腫在拔牙後未作適當處理仍殘留在頜骨內而發生的囊腫,則稱為殘餘囊腫。
2.始基囊腫:發生於成釉器發育的早期階段,釉質和牙本質形成之前,在炎症和損傷刺激後,成釉器的星形網狀層發生變性,井有液體滲出。蓄積其中而形成囊腫。
3.含牙囊腫又稱濾泡囊腫:發生於牙冠或牙根形成之後,在縮余釉上皮與牙冠面之間出現液體滲出而形成含牙囊腫,可來自一個牙胚(含一個牙),也有來自多個牙胚(含多個牙)者。
4.牙源性角化囊腫:系來源於原始的牙胚或牙板殘餘。囊內為白色或黃色的角化物或油脂樣物質。角化囊腫可以癌變.
疾病病因
本病的病因需考慮以下的幾個因素:(一)頜骨囊腫發生於頜骨而與成牙組織和牙有關。根據其來源不同,分為以下幾種:
1、根尖囊腫是由於根尖肉芽腫、慢性炎症的刺激,引起牙周膜內的上皮參殘餘增生。增生的上皮團中央發生變性與液化,周圍組織液不斷滲出,逐漸形成囊腫,故亦可稱根尖周囊腫。
2、始基囊腫始基囊腫發生於成釉器發育的早期階段,牙釉質和牙本質形成之前,在炎症或損傷刺激後,成油器的星網狀層發生變性,並有液體滲出,蓄積其中而形成囊腫。
3、含牙囊腫又稱過濾泡囊腫,發生於牙冠或牙根形成之後,在縮余釉上皮與牙冠面之間出現液體滲出而形成含牙囊腫。可來自1個牙胚(含1個牙),也來自多個牙者。含牙囊腫是最常見的牙源性頜骨囊腫之一,占18%,僅次於根尖囊腫。
4、牙源性角化囊腫系來源於原始的牙胚或牙板殘餘,有人認為即始基囊腫。角化囊腫有典型的病理表現,囊壁的上皮肌纖維包膜均較薄,在囊壁的纖維包膜內有時含有子囊(或稱衛星囊腔)或上皮島。囊內為白色或黃色的角化物或油脂樣物。占牙源性頜骨囊腫的9.2%。
(二)非牙源性囊腫非牙源性嫩中是由胚胎髮育過程中殘留的上皮發展而來,故亦稱非牙源性外胚葉上皮囊腫。
1、球上頜囊腫發生於上頜側切牙與尖牙之間,牙常被排擠而移位。X線片上顯示囊腫陰影在牙根之間,而不在根尖部位。牙無齲壞變色,牙髓均有活力。
2、本齶囊腫位於切牙管內或附近(來自切牙管殘餘上皮)。X線片上可見到切牙管擴大的囊腫陰影。
3、正中囊腫位於切牙孔之後,齶中縫的任何部位。X線片上可見縫間有圓形囊腫陰影。亦可發生於下頜正中線處。
4、鼻唇囊腫位於上床底和鼻前庭內。可能來自鼻淚管上皮殘餘。囊腫在骨質的表面。X線片上骨質無破壞現象。在口腔前庭外側可捫出囊腫的存在。
臨床表現
頜骨囊腫 1、頜骨進行性無痛性腫大,進展緩慢,多無自覺症狀。
2、較大者捫診有桌球樣壓彈感。
3、常有牙的病變(根端囊腫)或缺牙。
4、穿刺抽出草黃色液體,鏡下可見膽固醇結晶。角化囊腫(頜骨囊腫的一種類型)的囊液為乳白色角化物或皮脂樣物。
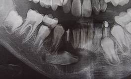
5、X光表現為頜骨內的囊性透光影。此透光影邊界光滑平緩,有一緻密白色硬化邊。
6、對於臨床表現較典型,術前診斷已較明確者檢查專案以檢查框限“A”為主;
7、對於臨床表現不典型,鑑別診斷較困難者可包括檢查框限“B”和“A”。
疾病檢查
1、X線平片
頜骨囊腫在X線平片上表現為圓形或卵圓形密度減低區,邊界清楚,邊緣光滑銳利,其內可以是單房或多房。隨著囊液積聚,囊腫具有一定的膨脹性,可引起臨近牙移位,少數可見牙吸收。周圍骨質吸收,囊腔壁為緻密白線(骨皮質線)。
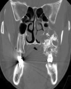
2、計算機X線體層攝影(computedtomography,CT)
CT平掃時,囊腫為圓形或卵圓形,邊緣光滑。囊腫的密度與囊內容物有關,一般有兩種情況:多數表現為低密度,少數為等或高密度。前者與囊腫內容物是液態脂類物質和膽固醇有關,後者與囊內容物是角化物、出血和鈣化有關。增強CT上,囊壁可有輕度強化,囊液無增強。其內可見殘留的牙根或牙齒,可見間隔,骨皮質連續性可有中斷,周圍軟組織內可見膨脹。
3、磁共振(MagneticResonanceImage,MRI)
口腔頜面部MRI檢查具有以下的特點:
(1)對人體沒有放射性危害;
(2)軟組織解析度優於CT;
(3)沒有射線硬化的偽影;
(4)不需靜脈注入對比劑即可鑑別血管和軟組織;
(5)能多平面成像;
(6)可以獲得三維圖像。
併發症
頜骨囊腫會引起併發症:
頜骨囊腫的一些患者,當囊腫的病源牙根端突入囊中,牙齒根尖骨質會被吸收傾斜或脫落。角化囊腫易繼發感染,皮層吸收而致邊緣不清楚,從而造成慢性感染骨質增厚緻密,較大的囊腫可影響鼻腔、上頜竇腔、眶內及翼後窩等結構。
嚴重的患者骨質逐漸向周圍膨脹,可形成面部畸形。對於囊腫患者進行手術後,術中稍不小心可引起其它術後併發症,且發病率較高,其中包括術後感染、復發及瘺的形成等。就頜骨囊腫疾病是一定要有足夠的認識的。
治療措施
頜骨囊腫 頜骨囊腫治療方法多樣。傳統的囊腫刮除術手術創傷大。由於不能保證完全刮除囊壁的子囊,因此術後復發率較高;而頜骨切除術雖然減少了復發,但往往導致外形改變及功能障礙,而且手術難度較大,基層醫院難以推廣,現採用“開窗減壓術”使囊腫變小,再用小手術的方法徹底刮除囊腫,獲得了理想的效果。
1.開窗減壓術
病人經常規術前準備後,在局麻下手術。開窗部位在口腔前庭囊腫最膨隆最薄弱的部位,有時選擇離囊腫最近處的唇頰側靠近牙槽突的區域。切開約1cm×1.5cm大小粘骨膜瓣後,剝除粘骨膜,用骨鑿或咬骨鉗去除暴露的薄骨片,顯露囊壁,切取同樣大小囊壁組織送病理檢查。檢查囊腔,利用彎血管鉗伸入囊腔中穿通可能存在的間隔。用生理鹽水徹底沖洗囊腔,隨後填塞碘仿紗條引流。術後適當運用抗炎止血、消腫藥物。一周后去除引流碘仿紗條,沖洗囊腔。立刻製作一囊腫塞保持開窗處創口不癒合並保持引流口通暢。
2.囊腫塞的製作
先用碘仿紗條暫時鬆散填塞囊腔,位置略低於骨創口(以免取模時印模材料溢入囊腔內),用變色龍印模材料取模(範圍包括視窗周圍2-4個鄰牙及2cm的牙槽嵴),取模後注意清除囊腫創口處殘留的印模材料,用石膏灌注。囊腫塞是卡環或彈性塑膠固位於囊腫創口近側鄰牙上,基托厚約2mm,覆蓋囊腫創口處牙槽嵴,邊緣向頰舌側及近遠中伸展5~1mm(防止進食物殘渣進入囊腔)。可用自凝或熱凝塑膠製作。
3.沖洗方法
教會患者如何摘戴囊腫塞,囑其每餐後及睡前用10ml注射器接細導尿管(因其質地較軟,末端光滑並有側面開口,易進入囊腔且損傷囊壁),吸取生理鹽水或溫開水,沖洗囊腔數遍(因囊膜完整,骨面未暴露,不會引起感染)。囊腫腔一直戴用,每天睡前用牙刷刷淨表面的食物殘渣。每個X線檢查囊腔縮小情況及決定是否行囊腫刮除。
頜骨囊腫治療方法術後半年複查曲面斷層片,囊腔外形輪廓改變,囊腔體積變小,囊壁與鄰近結構如牙齒、上頜竇、下牙槽神經管的距離變化,腔內密度增高,有不同程度的新骨形成,在囊腫周圍可見放射狀骨小梁結構。開窗減壓的優點是該手術一般在局麻下完成,手術簡單,創傷小,風險低,經濟性好,術後復發率低,患者痛苦少,尤其是保留了頜骨原有的完整性,咀嚼功能不受影響,甚至膨隆的頜骨隨時間的推移也慢慢恢復正常,大大提高了患者的生存質量,患者容易接受。頜骨囊腫治療方法開窗減壓術在臨床套用中有一定適應證,對於單囊及多囊性的較大的牙源性頜骨囊腫,只需開一個視窗,即可達到治療目的。但對於囊壁突破骨皮質,周圍組織嚴重移位和頜骨嚴重變形的囊腫,不主張套用此方法。總之,此術作為治療較大頜骨囊腫的一種辦法,值得推廣。
治癒標準
1.治癒:囊腫完整摘除,創口基本癒合。
2.好轉:治療後,囊腫尚有殘留。
3.未愈:未行手術治療,外形及功能無改善。
疾病預防
1、早期預防
由於恆牙的形成、生長和發育是在胚胎期和兒童期完成的,因此,在兒童期要做好牙病預防,少食精製的甜食,每日刷牙2-3次。一旦發現牙病要及時治療。2、早期檢查
在換牙期間,家長要仔細觀察孩子口腔內有無畸形牙,到期該換的牙齒是否按期萌出,鄰近未萌出牙的牙齒有無傾斜、移位等。如發現疑點,要及時帶孩子到醫院就診。拍一張口腔全景x線片,了解所有牙齒的位置情況。如發現恆牙在頜骨內有倒生、水平阻生、移位或恆牙被鄰牙根阻擋不能正常萌出,應視情況及時拔除不能萌出的恆牙,並定期攝片觀察。對於有面部腫脹史、經常抗炎治療不能消除腫脹者,一定要攝片檢查,以確定頜骨內有無囊腫形成。
對於本病的預防,早診斷早治療是本病的防治關鍵。另外還需要注意,本病的患者中,大多數與死髓牙有關,因此應儘早處理由外傷、齲齒或畸形牙引起的牙髓病變,對預防或減少根尖囊腫的發生有重要意義。

