臨床表現
患牙多有深齲或由於牙髓壞死致牙變色和失去光澤,咀嚼乏力或不適,偶有疼痛。多數無明顯症狀。有叩痛。 X光片示早期根尖區牙周間隙增寬,病程長肉芽腫大者則呈現根尖區界限清楚的圓型透射影像,周圍有薄層阻射的硬骨緣,此表示根尖周病變進行緩慢或處於穩定狀態。但也有部分病例透射影邊界不清,這與根尖周其他疾病不易區別
根尖肉芽腫。
病理分析
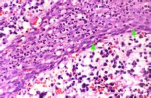
根尖肉芽腫病理分析根尖肉芽腫為附著在牙根尖部約綠豆大小的肉芽,因與牙根尖區牙周膜相連,可隨拔牙時一同拔出(圖2)。 鏡下觀察根尖區可見增生的肉芽組織團塊,周界清楚,主要由新生的毛細血管、成纖維細胞和浸潤的各類炎症細胞構成,炎症細胞包括淋巴細胞、漿細胞、巨噬細胞和中性粒細胞(圖3,4)。毛細血管內皮細胞增生腫脹,巨噬細胞吞噬脂質後形成泡沫細胞。可見含鐵血黃素和膽固醇晶體沉積。膽固醇晶體在製片過程中被有機溶劑溶解而呈現針狀透明裂隙,並可引起多核巨細胞反應。 肉芽組織外周常有纖維結締組織包繞。根尖牙骨質和牙槽骨有吸收(圖5)。 根尖肉芽腫內可見增生上皮團或上皮條索,相互交織呈網狀(圖6,7),這些上皮來源於:(1)Malassez上皮剩餘;(2)經竇道口長入的口腔上皮; (3)牙周袋袋壁上皮; (4)來自呼吸道上皮,此見於病變與上頜竇相通的病例。
根尖肉芽腫的發展變化
:根尖肉芽腫病變可保持相對穩定狀態,維持較長時間,但常常可隨機體抵抗力和刺激因素的強弱而變化。
機體抵抗力的強弱因素
機體抵抗力增強而病原刺激較弱時,肉芽組織纖維成份增多,牙槽骨和根尖牙骨質吸收暫停或出現修復,使病變縮小。當機體抵抗力下降而病原刺激增強時,則炎症加重,浸潤炎症細胞增多,破骨細胞被激活,牙槽骨及根尖牙骨質出現吸收,病變範圍增大。
條件變化因素
根尖肉芽腫也可隨條件變化而急性發作,嚴重者肉芽腫中心發生液化壞死,發展成急性牙槽膿腫,此時可出現急性牙槽膿腫的症狀,並有相應的根尖區牙齦上形成齦竇管,引流後也可形成慢性牙槽膿腫。因此,臨床上常出現反覆疼痛,腫脹的病史。
導致上皮性根尖肉芽腫因素
上皮性根尖肉芽腫,可通過以下方式轉化成根尖囊腫: 1.增生的上皮團中心部分由於營養障礙、液化變性、滲透壓增高吸引周圍組織液,使發展成囊腫。 2. 增生的上皮被復膿腔,當炎症減輕後轉變成囊腫。 3.被增生的上皮包裹的炎性肉芽組織也可發生退變壞死形成囊腫。
其他因素
另有部分年輕患者,抵抗力強,在輕微低毒刺激下,炎症減輕,肉芽腫中纖維增加,病變範圍縮小,吸收的牙槽骨重新沉積,骨小梁增粗,髓腔縮小,骨密度增大,髓腔中纖維組織增生,散在慢性炎細胞浸潤。同時,吸收後根尖牙骨質也出現修復,過度沉積,出現牙骨質增生過長。X光照片示根尖周局灶性阻射影,與正常骨分界不清,此稱緻密性骨炎(condensing osteoitis)。
