基本內容
根尖囊腫根尖囊腫由根尖肉芽腫發展而來,也可能是慢性牙槽膿腫發展而來。根尖囊腫生長很慢,多無自覺症狀,由於患牙牙骺已壞死,牙體變色、
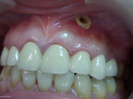
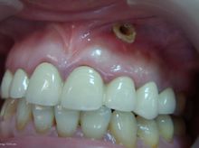
呈深灰色、牙體無光澤。囊腫大小可由腕豆大到雞蛋大,小囊腫不易發現、增大時才被發現。根尖部的齦黏膜呈半球形隆起,手壓時像有桌球感,有彈性。囊腫壓迫鄰近牙時,有鬆動或移動。
症狀體徵
患牙常為深齲、死髓牙或殘冠,有叩診痛。可反覆出現 急 性 炎症 症狀如局部腫脹、 疼痛 等,經治療後可轉變為慢性,並在牙齦形成 瘺管 。
診斷西醫診斷
患者有牙髓病病史,患牙變色.牙髓失去活力。根尖部位有膨隆,表面黏膜顏色正常,X線片上可見患牙根尖周圍有圓形或橢圓形密度減低區,邊界清晰整齊,周圍有清楚的白色不透光射線所包繞。較大囊腫可壓迫鄰牙,使其牙根吸收或移位,感染的根尖囊腫其透光區邊緣不規則。
治療用藥
治療如較小囊腫做根尖切除,囊腫刮治術。較大的囊腫要行手術切除,對囊腫部牙齒要拔除,鬆動的牙不能保留者,也要拔除。簡介人體部位:頭面部就診科室:口腔科相關係統:其他系統相關藥品:抗生素症狀體徵囊腫多見於青少年。初期無自覺症狀。若繼續生長,骨質逐漸向周圍膨脹,則形成面部畸形,根據不同部位可出現相應的局部症狀。診斷檢查可根據病史及臨床表現。X線檢查對診斷有很大幫助。囊腫在X線片上顯示為一清晰圓形或卵形的透明陰影,邊緣整齊,周圍常呈現一明顯白色骨質反映線。
治療西醫治療
治療要點:手術摘除囊腫,並處理病灶牙。較小根尖囊腫亦可通過常規根管治療及根尖切除術,保留患牙。
治療方案
一旦確診後,應及時進行手術治療,以免引起鄰近牙的繼續移位和造成咬合紊亂。一般從口內進行手術,如伴有感染須先用抗生素或其他抗菌藥物控制炎症後再作手術治療。術前應作X線攝片,以明確囊腫的範圍及鄰近組織關係。
疾病原因
是由於根尖肉芽腫、慢性炎症的刺激,引起牙周膜內的上皮參殘餘增生。增生的上皮團中央發生變性與液化,周圍組織液不斷滲出,逐漸形成囊腫,故亦可稱根尖周囊腫。

