病因
腱鞘巨細胞瘤的病因尚不明確。
臨床表現
腱鞘巨細胞瘤多見於青壯年的手部及手指部,足趾部少見。女多於男。好發於腱鞘及滑囊的滑膜,也可發生於非滑膜區,可單發或多發。皮損為圓、橢圓形結節,生長緩慢,通常小於3厘米,呈堅實性無痛性腫塊。腫瘤可侵襲鄰近骨骼。手術切除後可復發,但不轉移。
腱鞘瘤(腱鞘纖維瘤)可能為腱鞘巨細胞瘤的亞型,也侵犯手指和手的屈側肌腱,臨床形態與腱鞘巨細胞瘤相同,平均發病年齡為30歲,較腱鞘巨細胞瘤發病年齡小。
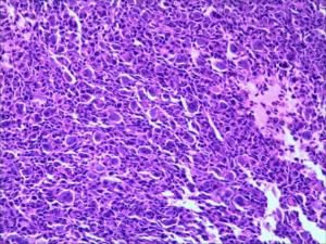
檢查
腱鞘巨細胞瘤的組織病理檢查示此瘤呈分葉狀,小葉由緻密、透明化膠原圍繞。瘤內細胞由組織細胞樣單核細胞、成骨樣多核巨細胞、黃色瘤細胞、慢性炎症性細胞、含鐵血黃素巨噬細胞和膠原化基質以不同比例混合組成。此瘤的另一亞型稱腱鞘瘤,臨床上兩者不能區別。腱鞘瘤無噬脂細胞和含鐵血黃素巨噬細胞,僅偶見少數多核巨細胞。
診斷
根據臨床表現,皮損特點,組織病理特徵性即可診斷。
治療
腱鞘巨細胞瘤以手術切除療效較好,術中對病變邊緣不規則或突出部分要完整地切除,如切除不徹底可致局部復發。
預後
本病系良性腫瘤,但可復發,儘可能完整切除,是防止復發的有效方法。

